拖鞋综合征的诊断挑战:病例报告。

IF 2.3 Q2 CLINICAL NEUROLOGY
İbrahim Acır, Ahmetcan Sezen, Murat Serhat Aygün, Ayşe Altıntaş
{"title":"拖鞋综合征的诊断挑战:病例报告。","authors":"İbrahim Acır, Ahmetcan Sezen, Murat Serhat Aygün, Ayşe Altıntaş","doi":"10.1177/20552173241312534","DOIUrl":null,"url":null,"abstract":"<p><strong>Background: </strong>SLIPPERS (Supratentorial Lymphocytic Inflammation with Parenchymal Perivascular Enhancement Responsive to Steroids) is a rare variant of a syndrome called CLIPPERS (Chronic Lymphocytic Inflammation with Ponsine Perivascular Enhancement Responsive to Steroids). SLIPPERS is characterized by distinct supratentorial lesions that share radiological and pathological characteristics with CLIPPERS. The ongoing issue is whether these syndromes should be considered as a distinct disease entity or simply a form for a variety of underlying conditions such as granulomatosis, vasculitis, and infectious diseases.</p><p><strong>Case: </strong>We present a unique case of SLIPPERS observed in a 26-year-old woman with no notable medical or familial background. Laboratory findings ruled out certain diseases from the list of differentials and cranial MRI showed T2 hyperintense areas with linear-patchy enhancements, a pattern consistent with SLIPPERS syndrome. Consequently, patient was diagnosed with SLIPPERS syndrome and received methylprednisolone therapy.</p><p><strong>Conclusion: </strong>Both SLIPPERS and CLIPPERS are complicated syndromes posing diagnostic challenges and requiring careful investigation to avoid misdiagnosis. Following a thorough differential diagnosis, appropriate treatment can be initiated, and follow-up is required.</p>","PeriodicalId":18961,"journal":{"name":"Multiple Sclerosis Journal - Experimental, Translational and Clinical","volume":"11 1","pages":"20552173241312534"},"PeriodicalIF":2.3000,"publicationDate":"2025-01-31","publicationTypes":"Journal Article","fieldsOfStudy":null,"isOpenAccess":false,"openAccessPdf":"https://www.ncbi.nlm.nih.gov/pmc/articles/PMC11783460/pdf/","citationCount":"0","resultStr":"{\"title\":\"Diagnostic challenges in SLIPPERS syndrome: Case report.\",\"authors\":\"İbrahim Acır, Ahmetcan Sezen, Murat Serhat Aygün, Ayşe Altıntaş\",\"doi\":\"10.1177/20552173241312534\",\"DOIUrl\":null,\"url\":null,\"abstract\":\"<p><strong>Background: </strong>SLIPPERS (Supratentorial Lymphocytic Inflammation with Parenchymal Perivascular Enhancement Responsive to Steroids) is a rare variant of a syndrome called CLIPPERS (Chronic Lymphocytic Inflammation with Ponsine Perivascular Enhancement Responsive to Steroids). SLIPPERS is characterized by distinct supratentorial lesions that share radiological and pathological characteristics with CLIPPERS. The ongoing issue is whether these syndromes should be considered as a distinct disease entity or simply a form for a variety of underlying conditions such as granulomatosis, vasculitis, and infectious diseases.</p><p><strong>Case: </strong>We present a unique case of SLIPPERS observed in a 26-year-old woman with no notable medical or familial background. Laboratory findings ruled out certain diseases from the list of differentials and cranial MRI showed T2 hyperintense areas with linear-patchy enhancements, a pattern consistent with SLIPPERS syndrome. Consequently, patient was diagnosed with SLIPPERS syndrome and received methylprednisolone therapy.</p><p><strong>Conclusion: </strong>Both SLIPPERS and CLIPPERS are complicated syndromes posing diagnostic challenges and requiring careful investigation to avoid misdiagnosis. Following a thorough differential diagnosis, appropriate treatment can be initiated, and follow-up is required.</p>\",\"PeriodicalId\":18961,\"journal\":{\"name\":\"Multiple Sclerosis Journal - Experimental, Translational and Clinical\",\"volume\":\"11 1\",\"pages\":\"20552173241312534\"},\"PeriodicalIF\":2.3000,\"publicationDate\":\"2025-01-31\",\"publicationTypes\":\"Journal Article\",\"fieldsOfStudy\":null,\"isOpenAccess\":false,\"openAccessPdf\":\"https://www.ncbi.nlm.nih.gov/pmc/articles/PMC11783460/pdf/\",\"citationCount\":\"0\",\"resultStr\":null,\"platform\":\"Semanticscholar\",\"paperid\":null,\"PeriodicalName\":\"Multiple Sclerosis Journal - Experimental, Translational and Clinical\",\"FirstCategoryId\":\"1085\",\"ListUrlMain\":\"https://doi.org/10.1177/20552173241312534\",\"RegionNum\":0,\"RegionCategory\":null,\"ArticlePicture\":[],\"TitleCN\":null,\"AbstractTextCN\":null,\"PMCID\":null,\"EPubDate\":\"2025/1/1 0:00:00\",\"PubModel\":\"eCollection\",\"JCR\":\"Q2\",\"JCRName\":\"CLINICAL NEUROLOGY\",\"Score\":null,\"Total\":0}","platform":"Semanticscholar","paperid":null,"PeriodicalName":"Multiple Sclerosis Journal - Experimental, Translational and Clinical","FirstCategoryId":"1085","ListUrlMain":"https://doi.org/10.1177/20552173241312534","RegionNum":0,"RegionCategory":null,"ArticlePicture":[],"TitleCN":null,"AbstractTextCN":null,"PMCID":null,"EPubDate":"2025/1/1 0:00:00","PubModel":"eCollection","JCR":"Q2","JCRName":"CLINICAL NEUROLOGY","Score":null,"Total":0}
引用次数: 0

摘要

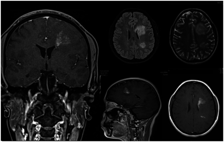
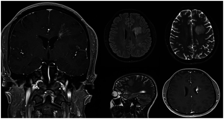
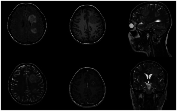
背景:拖鞋(对类固醇有反应的幕上淋巴细胞炎症伴实质血管周围增强)是CLIPPERS(对类固醇有反应的慢性淋巴细胞炎症伴Ponsine血管周围增强)综合征的一种罕见变体。拖鞋的特点是具有明显的幕上病变,与CLIPPERS具有相同的放射学和病理学特征。目前的问题是,这些综合征是否应被视为一种独特的疾病实体,还是仅仅是各种潜在疾病(如肉芽肿病、血管炎和传染病)的一种形式。病例:我们提出一个独特的拖鞋的情况下,观察到一个26岁的妇女没有显著的医疗或家庭背景。实验室检查结果从鉴别列表中排除了某些疾病,颅脑MRI显示T2高信号区具有线状斑块增强,与拖鞋综合征一致。因此,患者被诊断为拖鞋综合征并接受甲基强的松龙治疗。结论:拖鞋和CLIPPERS都是复杂的综合征,给诊断带来挑战,需要仔细调查以避免误诊。在彻底的鉴别诊断后,可以开始适当的治疗,并需要随访。
本文章由计算机程序翻译,如有差异,请以英文原文为准。

Diagnostic challenges in SLIPPERS syndrome: Case report.

Diagnostic challenges in SLIPPERS syndrome: Case report.

Diagnostic challenges in SLIPPERS syndrome: Case report.

Diagnostic challenges in SLIPPERS syndrome: Case report.

Background: SLIPPERS (Supratentorial Lymphocytic Inflammation with Parenchymal Perivascular Enhancement Responsive to Steroids) is a rare variant of a syndrome called CLIPPERS (Chronic Lymphocytic Inflammation with Ponsine Perivascular Enhancement Responsive to Steroids). SLIPPERS is characterized by distinct supratentorial lesions that share radiological and pathological characteristics with CLIPPERS. The ongoing issue is whether these syndromes should be considered as a distinct disease entity or simply a form for a variety of underlying conditions such as granulomatosis, vasculitis, and infectious diseases.

Case: We present a unique case of SLIPPERS observed in a 26-year-old woman with no notable medical or familial background. Laboratory findings ruled out certain diseases from the list of differentials and cranial MRI showed T2 hyperintense areas with linear-patchy enhancements, a pattern consistent with SLIPPERS syndrome. Consequently, patient was diagnosed with SLIPPERS syndrome and received methylprednisolone therapy.

Conclusion: Both SLIPPERS and CLIPPERS are complicated syndromes posing diagnostic challenges and requiring careful investigation to avoid misdiagnosis. Following a thorough differential diagnosis, appropriate treatment can be initiated, and follow-up is required.

求助全文
通过发布文献求助,成功后即可免费获取论文全文。 去求助
来源期刊
CiteScore
4.70
自引率
0.00%
发文量
54
审稿时长
15 weeks
×
引用
GB/T 7714-2015
复制
MLA
复制
APA
复制
导出至
BibTeX EndNote RefMan NoteFirst NoteExpress
×
提示
您的信息不完整,为了账户安全,请先补充。
现在去补充
×
提示
您因"违规操作"
具体请查看互助需知
我知道了
×
提示
确定
请完成安全验证×
copy
已复制链接
快去分享给好友吧!
我知道了
右上角分享
点击右上角分享
0
联系我们:info@booksci.cn Book学术提供免费学术资源搜索服务,方便国内外学者检索中英文文献。致力于提供最便捷和优质的服务体验。 Copyright © 2023 布克学术 All rights reserved.
京ICP备2023020795号-1
ghs 京公网安备 11010802042870号
Book学术文献互助
Book学术文献互助群
群 号:604180095
Book学术官方微信