鞍旁包虫囊肿延伸至颈光三角,儿童一例。

IF 1.7 4区 医学 Q4 CLINICAL NEUROLOGY
Journal of Korean Neurosurgical Society Pub Date : 2025-03-01 Epub Date: 2025-02-03 DOI:10.3340/jkns.2024.0184
Mustafa Cemil Kilinc, Altan Demirel
{"title":"鞍旁包虫囊肿延伸至颈光三角,儿童一例。","authors":"Mustafa Cemil Kilinc, Altan Demirel","doi":"10.3340/jkns.2024.0184","DOIUrl":null,"url":null,"abstract":"<p><p>The causes of sudden vision loss in one eye include isolated eye diseases, vascular pathologies, and optic nerve compression. This report highlights a case of parasitosis (Echinococcus granulosus) causing sudden vision loss due to optic nerve compression. To our knowledge, this is the first reported case of a hydatid cyst extending into the optic canal through opticocarotid triangle in a pediatric patient. A 12-year-old girl presented to the ophthalmologist with progressive visual deterioration over a period of 1 week. Examination revealed reduced visual acuity in her right eye. No ocular abnormality was detected on examination, cranial imaging revealed a lesion compressing the right optic nerve and the patient was referred to neurosurgery. The bright white lesion with a microscopic appearance resembling an epidermoid tumor was completely excised after aspirating the contents with transcranial access. Pathology was reported as hydatid cyst. Hydatid cysts invading the optic canal should be considered in the differential diagnosis of sudden visual loss in the pediatric age group; however, it continues to be an important health problem in developing countries. Meticulous excision of the cyst capsule without rupture ensures the success of surgical treatment.</p>","PeriodicalId":16283,"journal":{"name":"Journal of Korean Neurosurgical Society","volume":" ","pages":"229-233"},"PeriodicalIF":1.7000,"publicationDate":"2025-03-01","publicationTypes":"Journal Article","fieldsOfStudy":null,"isOpenAccess":false,"openAccessPdf":"https://www.ncbi.nlm.nih.gov/pmc/articles/PMC11924630/pdf/","citationCount":"0","resultStr":"{\"title\":\"A Parasellar Hydatid Cyst Extending to the Opticocarotid Triangle, Pediatric Case.\",\"authors\":\"Mustafa Cemil Kilinc, Altan Demirel\",\"doi\":\"10.3340/jkns.2024.0184\",\"DOIUrl\":null,\"url\":null,\"abstract\":\"<p><p>The causes of sudden vision loss in one eye include isolated eye diseases, vascular pathologies, and optic nerve compression. This report highlights a case of parasitosis (Echinococcus granulosus) causing sudden vision loss due to optic nerve compression. To our knowledge, this is the first reported case of a hydatid cyst extending into the optic canal through opticocarotid triangle in a pediatric patient. A 12-year-old girl presented to the ophthalmologist with progressive visual deterioration over a period of 1 week. Examination revealed reduced visual acuity in her right eye. No ocular abnormality was detected on examination, cranial imaging revealed a lesion compressing the right optic nerve and the patient was referred to neurosurgery. The bright white lesion with a microscopic appearance resembling an epidermoid tumor was completely excised after aspirating the contents with transcranial access. Pathology was reported as hydatid cyst. Hydatid cysts invading the optic canal should be considered in the differential diagnosis of sudden visual loss in the pediatric age group; however, it continues to be an important health problem in developing countries. Meticulous excision of the cyst capsule without rupture ensures the success of surgical treatment.</p>\",\"PeriodicalId\":16283,\"journal\":{\"name\":\"Journal of Korean Neurosurgical Society\",\"volume\":\" \",\"pages\":\"229-233\"},\"PeriodicalIF\":1.7000,\"publicationDate\":\"2025-03-01\",\"publicationTypes\":\"Journal Article\",\"fieldsOfStudy\":null,\"isOpenAccess\":false,\"openAccessPdf\":\"https://www.ncbi.nlm.nih.gov/pmc/articles/PMC11924630/pdf/\",\"citationCount\":\"0\",\"resultStr\":null,\"platform\":\"Semanticscholar\",\"paperid\":null,\"PeriodicalName\":\"Journal of Korean Neurosurgical Society\",\"FirstCategoryId\":\"3\",\"ListUrlMain\":\"https://doi.org/10.3340/jkns.2024.0184\",\"RegionNum\":4,\"RegionCategory\":\"医学\",\"ArticlePicture\":[],\"TitleCN\":null,\"AbstractTextCN\":null,\"PMCID\":null,\"EPubDate\":\"2025/2/3 0:00:00\",\"PubModel\":\"Epub\",\"JCR\":\"Q4\",\"JCRName\":\"CLINICAL NEUROLOGY\",\"Score\":null,\"Total\":0}","platform":"Semanticscholar","paperid":null,"PeriodicalName":"Journal of Korean Neurosurgical Society","FirstCategoryId":"3","ListUrlMain":"https://doi.org/10.3340/jkns.2024.0184","RegionNum":4,"RegionCategory":"医学","ArticlePicture":[],"TitleCN":null,"AbstractTextCN":null,"PMCID":null,"EPubDate":"2025/2/3 0:00:00","PubModel":"Epub","JCR":"Q4","JCRName":"CLINICAL NEUROLOGY","Score":null,"Total":0}
引用次数: 0

摘要

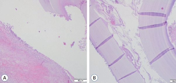
单眼突然视力丧失的原因包括孤立性眼病、血管病变和视神经压迫。本文报告一例寄生虫病(细粒棘球绦虫)因视神经压迫导致突然视力丧失。据我们所知,这是第一例报道的包虫囊肿通过视颈三角形延伸到视神经管的儿童患者。一名12岁女孩因视力恶化1周就诊于眼科。检查显示她右眼视力下降。检查未发现眼部异常,颅脑成像显示右侧视神经受压病变,患者转至神经外科。经颅穿刺抽吸内容物后,显微镜下外观类似表皮样瘤的亮白色病变被完全切除。病理报告为包虫囊肿。儿童突发性视力丧失的鉴别诊断应考虑侵犯视神经管的包虫病;然而,它仍然是发展中国家的一个重要健康问题。在不破裂的情况下对囊肿包膜进行细致的切除是手术治疗成功的保证。
本文章由计算机程序翻译,如有差异,请以英文原文为准。

A Parasellar Hydatid Cyst Extending to the Opticocarotid Triangle, Pediatric Case.

A Parasellar Hydatid Cyst Extending to the Opticocarotid Triangle, Pediatric Case.

A Parasellar Hydatid Cyst Extending to the Opticocarotid Triangle, Pediatric Case.

A Parasellar Hydatid Cyst Extending to the Opticocarotid Triangle, Pediatric Case.

The causes of sudden vision loss in one eye include isolated eye diseases, vascular pathologies, and optic nerve compression. This report highlights a case of parasitosis (Echinococcus granulosus) causing sudden vision loss due to optic nerve compression. To our knowledge, this is the first reported case of a hydatid cyst extending into the optic canal through opticocarotid triangle in a pediatric patient. A 12-year-old girl presented to the ophthalmologist with progressive visual deterioration over a period of 1 week. Examination revealed reduced visual acuity in her right eye. No ocular abnormality was detected on examination, cranial imaging revealed a lesion compressing the right optic nerve and the patient was referred to neurosurgery. The bright white lesion with a microscopic appearance resembling an epidermoid tumor was completely excised after aspirating the contents with transcranial access. Pathology was reported as hydatid cyst. Hydatid cysts invading the optic canal should be considered in the differential diagnosis of sudden visual loss in the pediatric age group; however, it continues to be an important health problem in developing countries. Meticulous excision of the cyst capsule without rupture ensures the success of surgical treatment.

求助全文
通过发布文献求助,成功后即可免费获取论文全文。 去求助
来源期刊
CiteScore
2.90
自引率
6.20%
发文量
109
审稿时长
3-8 weeks
期刊介绍: The Journal of Korean Neurosurgical Society (J Korean Neurosurg Soc) is the official journal of the Korean Neurosurgical Society, and published bimonthly (1st day of January, March, May, July, September, and November). It launched in October 31, 1972 with Volume 1 and Number 1. J Korean Neurosurg Soc aims to allow neurosurgeons from around the world to enrich their knowledge of patient management, education, and clinical or experimental research, and hence their professionalism. This journal publishes Laboratory Investigations, Clinical Articles, Review Articles, Case Reports, Technical Notes, and Letters to the Editor. Our field of interest involves clinical neurosurgery (cerebrovascular disease, neuro-oncology, skull base neurosurgery, spine, pediatric neurosurgery, functional neurosurgery, epilepsy, neuro-trauma, and peripheral nerve disease) and laboratory work in neuroscience.
×
引用
GB/T 7714-2015
复制
MLA
复制
APA
复制
导出至
BibTeX EndNote RefMan NoteFirst NoteExpress
×
提示
您的信息不完整,为了账户安全,请先补充。
现在去补充
×
提示
您因"违规操作"
具体请查看互助需知
我知道了
×
提示
确定
请完成安全验证×
copy
已复制链接
快去分享给好友吧!
我知道了
右上角分享
点击右上角分享
0
联系我们:info@booksci.cn Book学术提供免费学术资源搜索服务,方便国内外学者检索中英文文献。致力于提供最便捷和优质的服务体验。 Copyright © 2023 布克学术 All rights reserved.
京ICP备2023020795号-1
ghs 京公网安备 11010802042870号
Book学术文献互助
Book学术文献互助群
群 号:604180095
Book学术官方微信