恶性副神经节瘤伴头颅转移,表现为复发性儿茶酚胺引起的心肌病。

IF 1.2 Q3 Medicine
Beatrice A. Brumley MD , Run Yu MD, PhD , Shadfar Bahri MD , Jane Rhyu MD
{"title":"恶性副神经节瘤伴头颅转移,表现为复发性儿茶酚胺引起的心肌病。","authors":"Beatrice A. Brumley MD ,&nbsp;Run Yu MD, PhD ,&nbsp;Shadfar Bahri MD ,&nbsp;Jane Rhyu MD","doi":"10.1016/j.aace.2024.09.006","DOIUrl":null,"url":null,"abstract":"<div><h3>Background/Objective</h3><div>Cranial metastases rarely occur in malignant paragangliomas (PGLs) or pheochromocytomas, which usually metastasize to the liver, bone, lungs, and lymph nodes. Early detection and intervention with a multidisciplinary approach are crucial given the critical location.</div></div><div><h3>Case Report</h3><div>Our patient was a 31-year-old man diagnosed with periaortic PGL and succinate dehydrogenase subunit B pathogenic variant at the age of 9 years with cardiac arrest. He developed intra-abdominal and skeletal metastatic disease by the age of 14 years and treated with surgery, chemotherapy, and radiation. After being lost to follow-up, the patient presented emergently with headache, palpitations, hypertensive crisis, type 2 non-ST-elevation myocardial infarction, and catecholamine-induced cardiomyopathy, with plasma free metanephrine level of 61.0 pg/mL (0.0-88.0 pg/mL) and elevated serum free normetanephrine level of 662.9 pg/mL (0.0-210.1 pg/mL). Imaging showed a right frontal calvarial lesion, with 4.9-cm intracranial dural and 4.9-cm extracranial components, and a 1.5-cm occipital bone lesion. Following adrenergic blockade, the patient underwent resection of the frontal lesion with pathology showing metastatic PGL.</div></div><div><h3>Discussion</h3><div>A multidisciplinary team was consulted. Because of potential neurotoxicity, radiology advised against radiotherapy. Oncology advised monitoring. Seven months postoperatively, gallium-68 dodecane tetraacetic acid–octreotate positron emission tomography/computed tomography showed no recurrence at the surgical site, stable occipital lesion, and additional skeletal metastases. The patient is planned for peptide receptor radionuclide therapy.</div></div><div><h3>Conclusion</h3><div>Our case highlights the importance of active surveillance in PGL and pheochromocytoma to allow early intervention for metastatic disease and reviews the controversial management of rare calvarial or cerebral metastases, including peptide receptor radionuclide therapy.</div></div>","PeriodicalId":7051,"journal":{"name":"AACE Clinical Case Reports","volume":"11 1","pages":"Pages 24-28"},"PeriodicalIF":1.2000,"publicationDate":"2025-01-01","publicationTypes":"Journal Article","fieldsOfStudy":null,"isOpenAccess":false,"openAccessPdf":"https://www.ncbi.nlm.nih.gov/pmc/articles/PMC11784624/pdf/","citationCount":"0","resultStr":"{\"title\":\"Malignant Paraganglioma With Calvarial Metastases Presenting With Recurrent Catecholamine-Induced Cardiomyopathy\",\"authors\":\"Beatrice A. Brumley MD ,&nbsp;Run Yu MD, PhD ,&nbsp;Shadfar Bahri MD ,&nbsp;Jane Rhyu MD\",\"doi\":\"10.1016/j.aace.2024.09.006\",\"DOIUrl\":null,\"url\":null,\"abstract\":\"<div><h3>Background/Objective</h3><div>Cranial metastases rarely occur in malignant paragangliomas (PGLs) or pheochromocytomas, which usually metastasize to the liver, bone, lungs, and lymph nodes. Early detection and intervention with a multidisciplinary approach are crucial given the critical location.</div></div><div><h3>Case Report</h3><div>Our patient was a 31-year-old man diagnosed with periaortic PGL and succinate dehydrogenase subunit B pathogenic variant at the age of 9 years with cardiac arrest. He developed intra-abdominal and skeletal metastatic disease by the age of 14 years and treated with surgery, chemotherapy, and radiation. After being lost to follow-up, the patient presented emergently with headache, palpitations, hypertensive crisis, type 2 non-ST-elevation myocardial infarction, and catecholamine-induced cardiomyopathy, with plasma free metanephrine level of 61.0 pg/mL (0.0-88.0 pg/mL) and elevated serum free normetanephrine level of 662.9 pg/mL (0.0-210.1 pg/mL). Imaging showed a right frontal calvarial lesion, with 4.9-cm intracranial dural and 4.9-cm extracranial components, and a 1.5-cm occipital bone lesion. Following adrenergic blockade, the patient underwent resection of the frontal lesion with pathology showing metastatic PGL.</div></div><div><h3>Discussion</h3><div>A multidisciplinary team was consulted. Because of potential neurotoxicity, radiology advised against radiotherapy. Oncology advised monitoring. Seven months postoperatively, gallium-68 dodecane tetraacetic acid–octreotate positron emission tomography/computed tomography showed no recurrence at the surgical site, stable occipital lesion, and additional skeletal metastases. The patient is planned for peptide receptor radionuclide therapy.</div></div><div><h3>Conclusion</h3><div>Our case highlights the importance of active surveillance in PGL and pheochromocytoma to allow early intervention for metastatic disease and reviews the controversial management of rare calvarial or cerebral metastases, including peptide receptor radionuclide therapy.</div></div>\",\"PeriodicalId\":7051,\"journal\":{\"name\":\"AACE Clinical Case Reports\",\"volume\":\"11 1\",\"pages\":\"Pages 24-28\"},\"PeriodicalIF\":1.2000,\"publicationDate\":\"2025-01-01\",\"publicationTypes\":\"Journal Article\",\"fieldsOfStudy\":null,\"isOpenAccess\":false,\"openAccessPdf\":\"https://www.ncbi.nlm.nih.gov/pmc/articles/PMC11784624/pdf/\",\"citationCount\":\"0\",\"resultStr\":null,\"platform\":\"Semanticscholar\",\"paperid\":null,\"PeriodicalName\":\"AACE Clinical Case Reports\",\"FirstCategoryId\":\"1085\",\"ListUrlMain\":\"https://www.sciencedirect.com/science/article/pii/S237606052400107X\",\"RegionNum\":0,\"RegionCategory\":null,\"ArticlePicture\":[],\"TitleCN\":null,\"AbstractTextCN\":null,\"PMCID\":null,\"EPubDate\":\"\",\"PubModel\":\"\",\"JCR\":\"Q3\",\"JCRName\":\"Medicine\",\"Score\":null,\"Total\":0}","platform":"Semanticscholar","paperid":null,"PeriodicalName":"AACE Clinical Case Reports","FirstCategoryId":"1085","ListUrlMain":"https://www.sciencedirect.com/science/article/pii/S237606052400107X","RegionNum":0,"RegionCategory":null,"ArticlePicture":[],"TitleCN":null,"AbstractTextCN":null,"PMCID":null,"EPubDate":"","PubModel":"","JCR":"Q3","JCRName":"Medicine","Score":null,"Total":0}
引用次数: 0

摘要

背景/目的:头颅转移很少发生在恶性副神经节瘤(PGLs)或嗜铬细胞瘤中,它们通常转移到肝脏、骨骼、肺和淋巴结。考虑到关键位置,采用多学科方法进行早期发现和干预至关重要。病例报告:我们的患者是一名31岁的男性,9岁时被诊断为主动脉周围PGL和琥珀酸脱氢酶亚基B致病性变异,并伴有心脏骤停。他在14岁时患上了腹腔和骨骼转移性疾病,并接受了手术、化疗和放疗。失访后,患者紧急出现头痛、心悸、高血压危像、2型非st段抬高型心肌梗死、儿茶酚胺性心肌病,血浆游离肾上腺素61.0 pg/mL (0.0 ~ 88.0 pg/mL),血清游离去甲肾上腺素662.9 pg/mL (0.0 ~ 210.1 pg/mL)升高。影像学显示右额颅病变,颅内硬脑膜内4.9 cm,颅外4.9 cm,枕骨病变1.5 cm。肾上腺素能阻断后,患者行额叶病变切除术,病理显示转移性PGL。讨论:咨询了多学科团队。由于潜在的神经毒性,放射学建议不要进行放射治疗。肿瘤学建议监测。术后7个月,镓-68十二烷四乙酸-奥醋酸正电子发射断层扫描/计算机断层扫描显示手术部位无复发,枕部病变稳定,并有额外的骨骼转移。计划对患者进行肽受体放射性核素治疗。结论:本病例强调了主动监测PGL和嗜铬细胞瘤的重要性,以便对转移性疾病进行早期干预,并回顾了有争议的罕见颅骨或脑转移治疗,包括肽受体放射性核素治疗。
本文章由计算机程序翻译,如有差异,请以英文原文为准。

Malignant Paraganglioma With Calvarial Metastases Presenting With Recurrent Catecholamine-Induced Cardiomyopathy

Malignant Paraganglioma With Calvarial Metastases Presenting With Recurrent Catecholamine-Induced Cardiomyopathy

Malignant Paraganglioma With Calvarial Metastases Presenting With Recurrent Catecholamine-Induced Cardiomyopathy

Malignant Paraganglioma With Calvarial Metastases Presenting With Recurrent Catecholamine-Induced Cardiomyopathy

Background/Objective

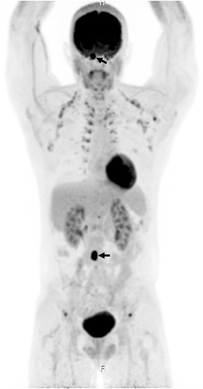
Cranial metastases rarely occur in malignant paragangliomas (PGLs) or pheochromocytomas, which usually metastasize to the liver, bone, lungs, and lymph nodes. Early detection and intervention with a multidisciplinary approach are crucial given the critical location.

Case Report

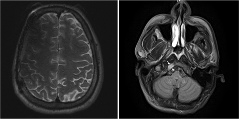
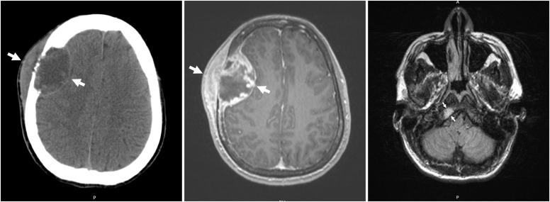
Our patient was a 31-year-old man diagnosed with periaortic PGL and succinate dehydrogenase subunit B pathogenic variant at the age of 9 years with cardiac arrest. He developed intra-abdominal and skeletal metastatic disease by the age of 14 years and treated with surgery, chemotherapy, and radiation. After being lost to follow-up, the patient presented emergently with headache, palpitations, hypertensive crisis, type 2 non-ST-elevation myocardial infarction, and catecholamine-induced cardiomyopathy, with plasma free metanephrine level of 61.0 pg/mL (0.0-88.0 pg/mL) and elevated serum free normetanephrine level of 662.9 pg/mL (0.0-210.1 pg/mL). Imaging showed a right frontal calvarial lesion, with 4.9-cm intracranial dural and 4.9-cm extracranial components, and a 1.5-cm occipital bone lesion. Following adrenergic blockade, the patient underwent resection of the frontal lesion with pathology showing metastatic PGL.

Discussion

A multidisciplinary team was consulted. Because of potential neurotoxicity, radiology advised against radiotherapy. Oncology advised monitoring. Seven months postoperatively, gallium-68 dodecane tetraacetic acid–octreotate positron emission tomography/computed tomography showed no recurrence at the surgical site, stable occipital lesion, and additional skeletal metastases. The patient is planned for peptide receptor radionuclide therapy.

Conclusion

Our case highlights the importance of active surveillance in PGL and pheochromocytoma to allow early intervention for metastatic disease and reviews the controversial management of rare calvarial or cerebral metastases, including peptide receptor radionuclide therapy.
求助全文
通过发布文献求助,成功后即可免费获取论文全文。 去求助
来源期刊
AACE Clinical Case Reports
AACE Clinical Case Reports Medicine-Endocrinology, Diabetes and Metabolism
CiteScore
2.30
自引率
0.00%
发文量
61
审稿时长
55 days
×
引用
GB/T 7714-2015
复制
MLA
复制
APA
复制
导出至
BibTeX EndNote RefMan NoteFirst NoteExpress
×
提示
您的信息不完整,为了账户安全,请先补充。
现在去补充
×
提示
您因"违规操作"
具体请查看互助需知
我知道了
×
提示
确定
请完成安全验证×
copy
已复制链接
快去分享给好友吧!
我知道了
右上角分享
点击右上角分享
0
联系我们:info@booksci.cn Book学术提供免费学术资源搜索服务,方便国内外学者检索中英文文献。致力于提供最便捷和优质的服务体验。 Copyright © 2023 布克学术 All rights reserved.
京ICP备2023020795号-1
ghs 京公网安备 11010802042870号
Book学术文献互助
Book学术文献互助群
群 号:604180095
Book学术官方微信