醋酸Leuprolide和brosumab联合治疗x连锁低磷血症和性早熟:一种治疗反应。

IF 1.2 Q3 Medicine
Gustavo Tempone Cardoso Penna MS , Carolina Costa Figueiredo MD, MSc , Nara Michelle de Araújo Evangelista MD, MSc , Vânia de Fátima Tonetto Fernandes MD, PhD , Patricia Salmona MD , Guido de Paula Colares Neto MD, PhD
{"title":"醋酸Leuprolide和brosumab联合治疗x连锁低磷血症和性早熟:一种治疗反应。","authors":"Gustavo Tempone Cardoso Penna MS ,&nbsp;Carolina Costa Figueiredo MD, MSc ,&nbsp;Nara Michelle de Araújo Evangelista MD, MSc ,&nbsp;Vânia de Fátima Tonetto Fernandes MD, PhD ,&nbsp;Patricia Salmona MD ,&nbsp;Guido de Paula Colares Neto MD, PhD","doi":"10.1016/j.aace.2024.09.004","DOIUrl":null,"url":null,"abstract":"<div><h3>Background/Objective</h3><div>Individuals with X-linked hypophosphatemia (XLH) generally experience normal puberty. However, the prevalence of central precocious puberty (CPP) in patients with XLH seems to be similar to that of the general population, and CPP may similarly impact their predicted final height.</div></div><div><h3>Case Report</h3><div>A female patient was diagnosed with XLH at 3 years old and received regular calcitriol and sodium-potassium phosphate treatment until age six. During this period, she showed increased growth velocity and improved height Z-score (from −2.38 SD to −1.95 SD). At 6 years and 11 months, she was diagnosed with idiopathic CPP, marked by thelarche, a growth spurt, and advanced bone age, resulting in a decreased predicted final height Z-score. She began pubertal blockade with leuprolide acetate and transitioned from conventional XLH treatment to burosumab. The combination of these treatments led to stabilized bone age, normalized growth velocity, and improved final height prediction without side effects or negative impacts on bone health during treatment.</div></div><div><h3>Discussion</h3><div>Although the prevalence of CPP in XLH patients has not been extensively studied, CPP in XLH may affect final height and worsen rickets by increasing mineral demands during growth spurts. Thus, CPP can be treated in patients with XLH, who may have compromised height outcomes, using synthetic gonadotropin-releasing hormone analogs.</div></div><div><h3>Conclusion</h3><div>In the described XLH patient with CPP, the combined use of gonadotropin-releasing hormone analogs and burosumab was a safe strategy to stabilize pubertal progression and bone age, minimize anthropometric loss, and avoid exacerbating bone deformities.</div></div>","PeriodicalId":7051,"journal":{"name":"AACE Clinical Case Reports","volume":"11 1","pages":"Pages 18-23"},"PeriodicalIF":1.2000,"publicationDate":"2025-01-01","publicationTypes":"Journal Article","fieldsOfStudy":null,"isOpenAccess":false,"openAccessPdf":"https://www.ncbi.nlm.nih.gov/pmc/articles/PMC11784612/pdf/","citationCount":"0","resultStr":"{\"title\":\"Combined Treatment With Leuprolide Acetate and Burosumab in X-linked Hypophosphatemia and Precocious Puberty: A Therapeutic Response\",\"authors\":\"Gustavo Tempone Cardoso Penna MS ,&nbsp;Carolina Costa Figueiredo MD, MSc ,&nbsp;Nara Michelle de Araújo Evangelista MD, MSc ,&nbsp;Vânia de Fátima Tonetto Fernandes MD, PhD ,&nbsp;Patricia Salmona MD ,&nbsp;Guido de Paula Colares Neto MD, PhD\",\"doi\":\"10.1016/j.aace.2024.09.004\",\"DOIUrl\":null,\"url\":null,\"abstract\":\"<div><h3>Background/Objective</h3><div>Individuals with X-linked hypophosphatemia (XLH) generally experience normal puberty. However, the prevalence of central precocious puberty (CPP) in patients with XLH seems to be similar to that of the general population, and CPP may similarly impact their predicted final height.</div></div><div><h3>Case Report</h3><div>A female patient was diagnosed with XLH at 3 years old and received regular calcitriol and sodium-potassium phosphate treatment until age six. During this period, she showed increased growth velocity and improved height Z-score (from −2.38 SD to −1.95 SD). At 6 years and 11 months, she was diagnosed with idiopathic CPP, marked by thelarche, a growth spurt, and advanced bone age, resulting in a decreased predicted final height Z-score. She began pubertal blockade with leuprolide acetate and transitioned from conventional XLH treatment to burosumab. The combination of these treatments led to stabilized bone age, normalized growth velocity, and improved final height prediction without side effects or negative impacts on bone health during treatment.</div></div><div><h3>Discussion</h3><div>Although the prevalence of CPP in XLH patients has not been extensively studied, CPP in XLH may affect final height and worsen rickets by increasing mineral demands during growth spurts. Thus, CPP can be treated in patients with XLH, who may have compromised height outcomes, using synthetic gonadotropin-releasing hormone analogs.</div></div><div><h3>Conclusion</h3><div>In the described XLH patient with CPP, the combined use of gonadotropin-releasing hormone analogs and burosumab was a safe strategy to stabilize pubertal progression and bone age, minimize anthropometric loss, and avoid exacerbating bone deformities.</div></div>\",\"PeriodicalId\":7051,\"journal\":{\"name\":\"AACE Clinical Case Reports\",\"volume\":\"11 1\",\"pages\":\"Pages 18-23\"},\"PeriodicalIF\":1.2000,\"publicationDate\":\"2025-01-01\",\"publicationTypes\":\"Journal Article\",\"fieldsOfStudy\":null,\"isOpenAccess\":false,\"openAccessPdf\":\"https://www.ncbi.nlm.nih.gov/pmc/articles/PMC11784612/pdf/\",\"citationCount\":\"0\",\"resultStr\":null,\"platform\":\"Semanticscholar\",\"paperid\":null,\"PeriodicalName\":\"AACE Clinical Case Reports\",\"FirstCategoryId\":\"1085\",\"ListUrlMain\":\"https://www.sciencedirect.com/science/article/pii/S2376060524001020\",\"RegionNum\":0,\"RegionCategory\":null,\"ArticlePicture\":[],\"TitleCN\":null,\"AbstractTextCN\":null,\"PMCID\":null,\"EPubDate\":\"\",\"PubModel\":\"\",\"JCR\":\"Q3\",\"JCRName\":\"Medicine\",\"Score\":null,\"Total\":0}","platform":"Semanticscholar","paperid":null,"PeriodicalName":"AACE Clinical Case Reports","FirstCategoryId":"1085","ListUrlMain":"https://www.sciencedirect.com/science/article/pii/S2376060524001020","RegionNum":0,"RegionCategory":null,"ArticlePicture":[],"TitleCN":null,"AbstractTextCN":null,"PMCID":null,"EPubDate":"","PubModel":"","JCR":"Q3","JCRName":"Medicine","Score":null,"Total":0}
引用次数: 0

摘要

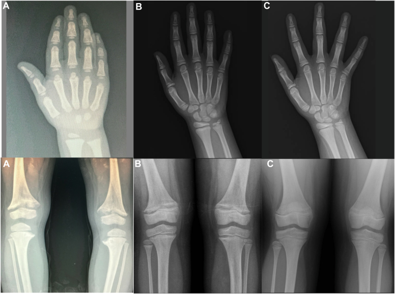
背景/目的:x连锁低磷血症(XLH)患者通常经历正常的青春期。然而,中枢性性早熟(CPP)在XLH患者中的患病率似乎与一般人群相似,CPP可能同样影响他们的预测最终身高。病例报告:一名女性患者在3岁时被诊断为XLH,并接受常规骨化三醇和磷酸钠钾治疗直到6岁。在此期间,她的生长速度加快,身高z分数也有所提高(从-2.38 SD到-1.95 SD)。在6岁零11个月时,她被诊断为特发性CPP,以骨质疏松、生长突增和骨龄提前为特征,导致预测最终身高z分数下降。她开始使用醋酸leuprolide进行青春期阻断,并从传统的XLH治疗过渡到布罗单抗。这些治疗的组合导致稳定的骨龄,正常的生长速度,提高最终高度预测,在治疗期间没有副作用或对骨骼健康的负面影响。讨论:虽然在XLH患者中CPP的患病率尚未得到广泛的研究,但XLH患者的CPP可能会影响最终身高,并通过增加生长高峰期对矿物质的需求而使佝偻病恶化。因此,使用合成促性腺激素释放激素类似物可以治疗XLH患者的CPP,这些患者的身高可能受到损害。结论:在上述合并CPP的XLH患者中,促性腺激素释放激素类似物联合布罗单抗是一种安全的策略,可以稳定青春期发育和骨龄,减少人体测量损失,避免加剧骨畸形。
本文章由计算机程序翻译,如有差异,请以英文原文为准。

Combined Treatment With Leuprolide Acetate and Burosumab in X-linked Hypophosphatemia and Precocious Puberty: A Therapeutic Response

Combined Treatment With Leuprolide Acetate and Burosumab in X-linked Hypophosphatemia and Precocious Puberty: A Therapeutic Response

Combined Treatment With Leuprolide Acetate and Burosumab in X-linked Hypophosphatemia and Precocious Puberty: A Therapeutic Response

Combined Treatment With Leuprolide Acetate and Burosumab in X-linked Hypophosphatemia and Precocious Puberty: A Therapeutic Response

Background/Objective

Individuals with X-linked hypophosphatemia (XLH) generally experience normal puberty. However, the prevalence of central precocious puberty (CPP) in patients with XLH seems to be similar to that of the general population, and CPP may similarly impact their predicted final height.

Case Report

A female patient was diagnosed with XLH at 3 years old and received regular calcitriol and sodium-potassium phosphate treatment until age six. During this period, she showed increased growth velocity and improved height Z-score (from −2.38 SD to −1.95 SD). At 6 years and 11 months, she was diagnosed with idiopathic CPP, marked by thelarche, a growth spurt, and advanced bone age, resulting in a decreased predicted final height Z-score. She began pubertal blockade with leuprolide acetate and transitioned from conventional XLH treatment to burosumab. The combination of these treatments led to stabilized bone age, normalized growth velocity, and improved final height prediction without side effects or negative impacts on bone health during treatment.

Discussion

Although the prevalence of CPP in XLH patients has not been extensively studied, CPP in XLH may affect final height and worsen rickets by increasing mineral demands during growth spurts. Thus, CPP can be treated in patients with XLH, who may have compromised height outcomes, using synthetic gonadotropin-releasing hormone analogs.

Conclusion

In the described XLH patient with CPP, the combined use of gonadotropin-releasing hormone analogs and burosumab was a safe strategy to stabilize pubertal progression and bone age, minimize anthropometric loss, and avoid exacerbating bone deformities.
求助全文
通过发布文献求助,成功后即可免费获取论文全文。 去求助
来源期刊
AACE Clinical Case Reports
AACE Clinical Case Reports Medicine-Endocrinology, Diabetes and Metabolism
CiteScore
2.30
自引率
0.00%
发文量
61
审稿时长
55 days
×
引用
GB/T 7714-2015
复制
MLA
复制
APA
复制
导出至
BibTeX EndNote RefMan NoteFirst NoteExpress
×
提示
您的信息不完整,为了账户安全,请先补充。
现在去补充
×
提示
您因"违规操作"
具体请查看互助需知
我知道了
×
提示
确定
请完成安全验证×
copy
已复制链接
快去分享给好友吧!
我知道了
右上角分享
点击右上角分享
0
联系我们:info@booksci.cn Book学术提供免费学术资源搜索服务,方便国内外学者检索中英文文献。致力于提供最便捷和优质的服务体验。 Copyright © 2023 布克学术 All rights reserved.
京ICP备2023020795号-1
ghs 京公网安备 11010802042870号
Book学术文献互助
Book学术文献互助群
群 号:604180095
Book学术官方微信