奥西洛他治疗转移性肾上腺皮质癌所致严重库欣综合征1例。

IF 1.2 Q3 Medicine
Kathleen R. Ruddiman DO , Catherine E. Price MD, ECNU, FACE , Alexander K. Bonnecaze MD
{"title":"奥西洛他治疗转移性肾上腺皮质癌所致严重库欣综合征1例。","authors":"Kathleen R. Ruddiman DO ,&nbsp;Catherine E. Price MD, ECNU, FACE ,&nbsp;Alexander K. Bonnecaze MD","doi":"10.1016/j.aace.2024.10.005","DOIUrl":null,"url":null,"abstract":"<div><h3>Background/Objective</h3><div>Osilodrostat used with block-and-replace dosing regimen is an off-label alternative to traditional management of Cushing syndrome due to adrenocortical carcinoma (ACC).</div></div><div><h3>Case Report</h3><div>A 70-year-old woman presented with abdominal pain and was found to have a large right adrenal mass and hypercortisolism. Right adrenalectomy was pursued with pathology consistent with diagnosis of ACC. Three months after surgery, hypercortisolemia recurred and bony metastatic disease was detected soon after. The patient received chemotherapy and mitotane; however, mitotane was stopped after development of hemolytic anemia. The patient’s urinary free cortisol became severely elevated, and osilodrostat was subsequently initiated for steroidogenesis inhibition. As dosage was increased, the patient presented with fatigue and hypotension and was diagnosed with adrenal insufficiency. This was managed with hydrocortisone in a block-and-replace dosing strategy.</div></div><div><h3>Discussion</h3><div>ACC can cause severe hypercortisolism, which is associated with significant morbidity and mortality. Osilodrostat was an effective off-label option for steroidogenesis inhibition in our patient who developed severe hypercortisolism and did not tolerate first-line therapy. Our patient also experienced iatrogenic adrenal insufficiency during treatment with osilodrostat, which was successfully managed using a block-and-replace strategy. There are limited cases currently available that document use of osilodrostat under the above circumstances.</div></div><div><h3>Conclusion</h3><div>Although osilodrostat is currently only approved for use in pituitary Cushing disease, we found it effective in off-label use to treat Cushing syndrome due to ACC. Using a block-and-replace treatment strategy was a practical intervention after development of adrenal insufficiency.</div></div>","PeriodicalId":7051,"journal":{"name":"AACE Clinical Case Reports","volume":"11 1","pages":"Pages 53-57"},"PeriodicalIF":1.2000,"publicationDate":"2025-01-01","publicationTypes":"Journal Article","fieldsOfStudy":null,"isOpenAccess":false,"openAccessPdf":"https://www.ncbi.nlm.nih.gov/pmc/articles/PMC11784602/pdf/","citationCount":"0","resultStr":"{\"title\":\"A Case of Severe Cushing Syndrome due to Metastatic Adrenocortical Carcinoma Treated With Osilodrostat\",\"authors\":\"Kathleen R. Ruddiman DO ,&nbsp;Catherine E. Price MD, ECNU, FACE ,&nbsp;Alexander K. Bonnecaze MD\",\"doi\":\"10.1016/j.aace.2024.10.005\",\"DOIUrl\":null,\"url\":null,\"abstract\":\"<div><h3>Background/Objective</h3><div>Osilodrostat used with block-and-replace dosing regimen is an off-label alternative to traditional management of Cushing syndrome due to adrenocortical carcinoma (ACC).</div></div><div><h3>Case Report</h3><div>A 70-year-old woman presented with abdominal pain and was found to have a large right adrenal mass and hypercortisolism. Right adrenalectomy was pursued with pathology consistent with diagnosis of ACC. Three months after surgery, hypercortisolemia recurred and bony metastatic disease was detected soon after. The patient received chemotherapy and mitotane; however, mitotane was stopped after development of hemolytic anemia. The patient’s urinary free cortisol became severely elevated, and osilodrostat was subsequently initiated for steroidogenesis inhibition. As dosage was increased, the patient presented with fatigue and hypotension and was diagnosed with adrenal insufficiency. This was managed with hydrocortisone in a block-and-replace dosing strategy.</div></div><div><h3>Discussion</h3><div>ACC can cause severe hypercortisolism, which is associated with significant morbidity and mortality. Osilodrostat was an effective off-label option for steroidogenesis inhibition in our patient who developed severe hypercortisolism and did not tolerate first-line therapy. Our patient also experienced iatrogenic adrenal insufficiency during treatment with osilodrostat, which was successfully managed using a block-and-replace strategy. There are limited cases currently available that document use of osilodrostat under the above circumstances.</div></div><div><h3>Conclusion</h3><div>Although osilodrostat is currently only approved for use in pituitary Cushing disease, we found it effective in off-label use to treat Cushing syndrome due to ACC. Using a block-and-replace treatment strategy was a practical intervention after development of adrenal insufficiency.</div></div>\",\"PeriodicalId\":7051,\"journal\":{\"name\":\"AACE Clinical Case Reports\",\"volume\":\"11 1\",\"pages\":\"Pages 53-57\"},\"PeriodicalIF\":1.2000,\"publicationDate\":\"2025-01-01\",\"publicationTypes\":\"Journal Article\",\"fieldsOfStudy\":null,\"isOpenAccess\":false,\"openAccessPdf\":\"https://www.ncbi.nlm.nih.gov/pmc/articles/PMC11784602/pdf/\",\"citationCount\":\"0\",\"resultStr\":null,\"platform\":\"Semanticscholar\",\"paperid\":null,\"PeriodicalName\":\"AACE Clinical Case Reports\",\"FirstCategoryId\":\"1085\",\"ListUrlMain\":\"https://www.sciencedirect.com/science/article/pii/S2376060524001147\",\"RegionNum\":0,\"RegionCategory\":null,\"ArticlePicture\":[],\"TitleCN\":null,\"AbstractTextCN\":null,\"PMCID\":null,\"EPubDate\":\"\",\"PubModel\":\"\",\"JCR\":\"Q3\",\"JCRName\":\"Medicine\",\"Score\":null,\"Total\":0}","platform":"Semanticscholar","paperid":null,"PeriodicalName":"AACE Clinical Case Reports","FirstCategoryId":"1085","ListUrlMain":"https://www.sciencedirect.com/science/article/pii/S2376060524001147","RegionNum":0,"RegionCategory":null,"ArticlePicture":[],"TitleCN":null,"AbstractTextCN":null,"PMCID":null,"EPubDate":"","PubModel":"","JCR":"Q3","JCRName":"Medicine","Score":null,"Total":0}
引用次数: 0

摘要

背景/目的:奥西洛他与阻断-替代给药方案一起使用,是肾上腺皮质癌(ACC)所致库欣综合征传统治疗的一种非适应症治疗方案。病例报告:一名70岁妇女腹痛,发现有一个大的右肾上腺肿块和高皮质醇症。右肾上腺切除术与ACC的病理诊断一致。术后3个月,高糖血症复发,很快发现骨转移性疾病。患者接受化疗和米托坦;然而,在发生溶血性贫血后,停用米托坦。患者尿中游离皮质醇严重升高,随后开始使用奥西洛他汀抑制类固醇生成。随着剂量的增加,患者出现疲劳和低血压,诊断为肾上腺功能不全。这是用氢化可的松在阻断和替代剂量策略管理。讨论:ACC可引起严重的高皮质醇血症,这与显著的发病率和死亡率相关。奥西洛他是一种有效的标签外选择,用于严重高皮质醇症患者的类固醇生成抑制,并且不能耐受一线治疗。我们的患者在使用奥西洛他治疗期间也经历了医源性肾上腺功能不全,使用阻滞和替代策略成功地管理了肾上腺功能不全。目前在上述情况下使用氟氯司他的案例有限。结论:虽然奥西洛司他目前仅被批准用于垂体库欣病,但我们发现它在核准外用于治疗ACC引起的库欣综合征有效。在发生肾上腺功能不全后,使用阻滞和替代治疗策略是一种实用的干预措施。
本文章由计算机程序翻译,如有差异,请以英文原文为准。

A Case of Severe Cushing Syndrome due to Metastatic Adrenocortical Carcinoma Treated With Osilodrostat

A Case of Severe Cushing Syndrome due to Metastatic Adrenocortical Carcinoma Treated With Osilodrostat

A Case of Severe Cushing Syndrome due to Metastatic Adrenocortical Carcinoma Treated With Osilodrostat

A Case of Severe Cushing Syndrome due to Metastatic Adrenocortical Carcinoma Treated With Osilodrostat

Background/Objective

Osilodrostat used with block-and-replace dosing regimen is an off-label alternative to traditional management of Cushing syndrome due to adrenocortical carcinoma (ACC).

Case Report

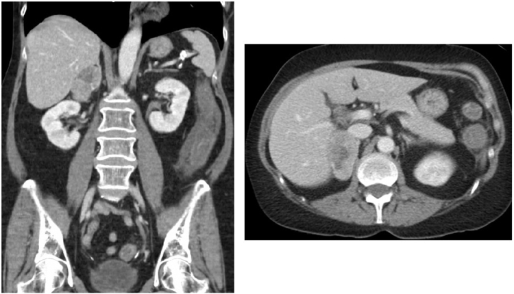
A 70-year-old woman presented with abdominal pain and was found to have a large right adrenal mass and hypercortisolism. Right adrenalectomy was pursued with pathology consistent with diagnosis of ACC. Three months after surgery, hypercortisolemia recurred and bony metastatic disease was detected soon after. The patient received chemotherapy and mitotane; however, mitotane was stopped after development of hemolytic anemia. The patient’s urinary free cortisol became severely elevated, and osilodrostat was subsequently initiated for steroidogenesis inhibition. As dosage was increased, the patient presented with fatigue and hypotension and was diagnosed with adrenal insufficiency. This was managed with hydrocortisone in a block-and-replace dosing strategy.

Discussion

ACC can cause severe hypercortisolism, which is associated with significant morbidity and mortality. Osilodrostat was an effective off-label option for steroidogenesis inhibition in our patient who developed severe hypercortisolism and did not tolerate first-line therapy. Our patient also experienced iatrogenic adrenal insufficiency during treatment with osilodrostat, which was successfully managed using a block-and-replace strategy. There are limited cases currently available that document use of osilodrostat under the above circumstances.

Conclusion

Although osilodrostat is currently only approved for use in pituitary Cushing disease, we found it effective in off-label use to treat Cushing syndrome due to ACC. Using a block-and-replace treatment strategy was a practical intervention after development of adrenal insufficiency.
求助全文
通过发布文献求助,成功后即可免费获取论文全文。 去求助
来源期刊
AACE Clinical Case Reports
AACE Clinical Case Reports Medicine-Endocrinology, Diabetes and Metabolism
CiteScore
2.30
自引率
0.00%
发文量
61
审稿时长
55 days
×
引用
GB/T 7714-2015
复制
MLA
复制
APA
复制
导出至
BibTeX EndNote RefMan NoteFirst NoteExpress
×
提示
您的信息不完整,为了账户安全,请先补充。
现在去补充
×
提示
您因"违规操作"
具体请查看互助需知
我知道了
×
提示
确定
请完成安全验证×
copy
已复制链接
快去分享给好友吧!
我知道了
右上角分享
点击右上角分享
0
联系我们:info@booksci.cn Book学术提供免费学术资源搜索服务,方便国内外学者检索中英文文献。致力于提供最便捷和优质的服务体验。 Copyright © 2023 布克学术 All rights reserved.
京ICP备2023020795号-1
ghs 京公网安备 11010802042870号
Book学术文献互助
Book学术文献互助群
群 号:604180095
Book学术官方微信