原发性腹膜后黏液癌伴BRAF、KIT、NF2和AR突变:一例报告和文献回顾

IF 0.6 Q4 OBSTETRICS & GYNECOLOGY
Sandrine Leponce , Frédéric Buxant , Jean-Christophe Noël
{"title":"原发性腹膜后黏液癌伴BRAF、KIT、NF2和AR突变:一例报告和文献回顾","authors":"Sandrine Leponce ,&nbsp;Frédéric Buxant ,&nbsp;Jean-Christophe Noël","doi":"10.1016/j.crwh.2025.e00681","DOIUrl":null,"url":null,"abstract":"<div><div>Primary retroperitoneal mucinous carcinoma is an extremely rare malignancy, posing diagnostic and therapeutic challenges due to its nonspecific clinical presentation and lack of established management guidelines. The present article reports the case of a 39-year-old woman with progressive abdominal bloating and ascites, initially evaluated for a suspected ovarian mass. Imaging studies revealed a large mass with cystic and solid components mimicking an ovarian origin. However, surgical exploration revealed a retroperitoneal mass. Subsequent pathological analysis confirmed the diagnosis of mucinous Mullerian carcinoma. Molecular analysis revealed several mutations, including BRAF (V600E). Surgical resection was successful in treating the mass and the patient was in full remission at two-year follow-up. Despite its rarity, mucinous carcinoma should always be considered in the differential diagnosis of retroperitoneal masses. This case report discusses the anatomopathological features of primary retroperitoneal mucinous carcinoma and highlights the need for further research to elucidate the optimal management strategies and prognostic factors for this rare malignancy.</div></div>","PeriodicalId":9657,"journal":{"name":"Case Reports in Women's Health","volume":"45 ","pages":"Article e00681"},"PeriodicalIF":0.6000,"publicationDate":"2025-01-08","publicationTypes":"Journal Article","fieldsOfStudy":null,"isOpenAccess":false,"openAccessPdf":"https://www.ncbi.nlm.nih.gov/pmc/articles/PMC11786903/pdf/","citationCount":"0","resultStr":"{\"title\":\"Primary retroperitoneal mucinous carcinoma with BRAF, KIT, NF2, and AR mutations: A case report and review of the literature\",\"authors\":\"Sandrine Leponce ,&nbsp;Frédéric Buxant ,&nbsp;Jean-Christophe Noël\",\"doi\":\"10.1016/j.crwh.2025.e00681\",\"DOIUrl\":null,\"url\":null,\"abstract\":\"<div><div>Primary retroperitoneal mucinous carcinoma is an extremely rare malignancy, posing diagnostic and therapeutic challenges due to its nonspecific clinical presentation and lack of established management guidelines. The present article reports the case of a 39-year-old woman with progressive abdominal bloating and ascites, initially evaluated for a suspected ovarian mass. Imaging studies revealed a large mass with cystic and solid components mimicking an ovarian origin. However, surgical exploration revealed a retroperitoneal mass. Subsequent pathological analysis confirmed the diagnosis of mucinous Mullerian carcinoma. Molecular analysis revealed several mutations, including BRAF (V600E). Surgical resection was successful in treating the mass and the patient was in full remission at two-year follow-up. Despite its rarity, mucinous carcinoma should always be considered in the differential diagnosis of retroperitoneal masses. This case report discusses the anatomopathological features of primary retroperitoneal mucinous carcinoma and highlights the need for further research to elucidate the optimal management strategies and prognostic factors for this rare malignancy.</div></div>\",\"PeriodicalId\":9657,\"journal\":{\"name\":\"Case Reports in Women's Health\",\"volume\":\"45 \",\"pages\":\"Article e00681\"},\"PeriodicalIF\":0.6000,\"publicationDate\":\"2025-01-08\",\"publicationTypes\":\"Journal Article\",\"fieldsOfStudy\":null,\"isOpenAccess\":false,\"openAccessPdf\":\"https://www.ncbi.nlm.nih.gov/pmc/articles/PMC11786903/pdf/\",\"citationCount\":\"0\",\"resultStr\":null,\"platform\":\"Semanticscholar\",\"paperid\":null,\"PeriodicalName\":\"Case Reports in Women's Health\",\"FirstCategoryId\":\"1085\",\"ListUrlMain\":\"https://www.sciencedirect.com/science/article/pii/S2214911225000025\",\"RegionNum\":0,\"RegionCategory\":null,\"ArticlePicture\":[],\"TitleCN\":null,\"AbstractTextCN\":null,\"PMCID\":null,\"EPubDate\":\"\",\"PubModel\":\"\",\"JCR\":\"Q4\",\"JCRName\":\"OBSTETRICS & GYNECOLOGY\",\"Score\":null,\"Total\":0}","platform":"Semanticscholar","paperid":null,"PeriodicalName":"Case Reports in Women's Health","FirstCategoryId":"1085","ListUrlMain":"https://www.sciencedirect.com/science/article/pii/S2214911225000025","RegionNum":0,"RegionCategory":null,"ArticlePicture":[],"TitleCN":null,"AbstractTextCN":null,"PMCID":null,"EPubDate":"","PubModel":"","JCR":"Q4","JCRName":"OBSTETRICS & GYNECOLOGY","Score":null,"Total":0}
引用次数: 0

摘要

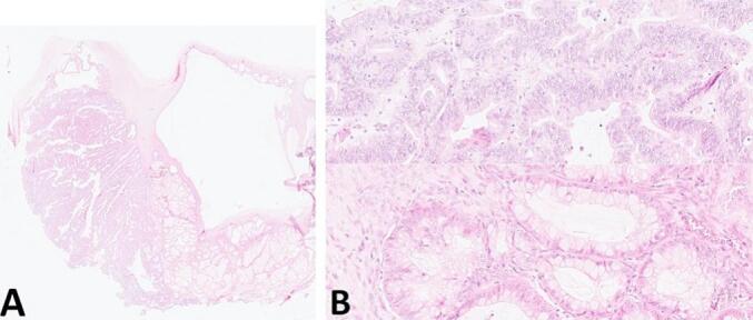
原发性腹膜后黏液癌是一种极其罕见的恶性肿瘤,由于其非特异性的临床表现和缺乏既定的治疗指南,给诊断和治疗带来了挑战。本文报告的情况下,39岁的妇女进行性腹胀和腹水,最初评估为怀疑卵巢肿块。影像学检查显示一个巨大的肿块,有囊性和实性成分,模仿卵巢起源。然而,手术探查发现腹膜后肿块。随后的病理分析证实了粘液苗勒管癌的诊断。分子分析显示了几个突变,包括BRAF (V600E)。手术切除成功地治疗了肿块,患者在两年的随访中完全缓解。尽管罕见,粘液性癌在腹膜后肿物的鉴别诊断中仍应予以考虑。本病例报告讨论原发性腹膜后黏液癌的解剖病理特征,并强调需要进一步研究以阐明这种罕见恶性肿瘤的最佳治疗策略和预后因素。
本文章由计算机程序翻译,如有差异,请以英文原文为准。

Primary retroperitoneal mucinous carcinoma with BRAF, KIT, NF2, and AR mutations: A case report and review of the literature

Primary retroperitoneal mucinous carcinoma with BRAF, KIT, NF2, and AR mutations: A case report and review of the literature
Primary retroperitoneal mucinous carcinoma is an extremely rare malignancy, posing diagnostic and therapeutic challenges due to its nonspecific clinical presentation and lack of established management guidelines. The present article reports the case of a 39-year-old woman with progressive abdominal bloating and ascites, initially evaluated for a suspected ovarian mass. Imaging studies revealed a large mass with cystic and solid components mimicking an ovarian origin. However, surgical exploration revealed a retroperitoneal mass. Subsequent pathological analysis confirmed the diagnosis of mucinous Mullerian carcinoma. Molecular analysis revealed several mutations, including BRAF (V600E). Surgical resection was successful in treating the mass and the patient was in full remission at two-year follow-up. Despite its rarity, mucinous carcinoma should always be considered in the differential diagnosis of retroperitoneal masses. This case report discusses the anatomopathological features of primary retroperitoneal mucinous carcinoma and highlights the need for further research to elucidate the optimal management strategies and prognostic factors for this rare malignancy.
求助全文
通过发布文献求助,成功后即可免费获取论文全文。 去求助
来源期刊
Case Reports in Women's Health
Case Reports in Women's Health Medicine-Obstetrics and Gynecology
CiteScore
2.10
自引率
0.00%
发文量
89
审稿时长
7 days
×
引用
GB/T 7714-2015
复制
MLA
复制
APA
复制
导出至
BibTeX EndNote RefMan NoteFirst NoteExpress
×
提示
您的信息不完整,为了账户安全,请先补充。
现在去补充
×
提示
您因"违规操作"
具体请查看互助需知
我知道了
×
提示
确定
请完成安全验证×
copy
已复制链接
快去分享给好友吧!
我知道了
右上角分享
点击右上角分享
0
联系我们:info@booksci.cn Book学术提供免费学术资源搜索服务,方便国内外学者检索中英文文献。致力于提供最便捷和优质的服务体验。 Copyright © 2023 布克学术 All rights reserved.
京ICP备2023020795号-1
ghs 京公网安备 11010802042870号
Book学术文献互助
Book学术文献互助群
群 号:604180095
Book学术官方微信