疣状腺血管瘤错构瘤1例报告。

IF 0.8 Q4 DERMATOLOGY
Case Reports in Dermatology Pub Date : 2025-01-16 eCollection Date: 2025-01-01 DOI:10.1159/000533667
Ali Sadeghinia, Yasaman Sadeghi, Alireza Ghanadan, Elham Mazaherpour
{"title":"疣状腺血管瘤错构瘤1例报告。","authors":"Ali Sadeghinia, Yasaman Sadeghi, Alireza Ghanadan, Elham Mazaherpour","doi":"10.1159/000533667","DOIUrl":null,"url":null,"abstract":"<p><p>Eccrine angiomatous hamartoma (EAH) is a rare malformation presenting with the proliferation of eccrine glands and other dermal structures. It typically presents as a solitary lesion on extremities that appears at birth or during childhood. It is generally asymptomatic but may be associated with hyperhidrosis or pain. Here we report a case of verrucous EAH located on the heel of a 27-year-old man, which is an uncommon presentation of this tumor, and review the clinical characteristics, histologic findings, and prognosis of this rare condition.</p>","PeriodicalId":9619,"journal":{"name":"Case Reports in Dermatology","volume":"17 1","pages":"38-41"},"PeriodicalIF":0.8000,"publicationDate":"2025-01-16","publicationTypes":"Journal Article","fieldsOfStudy":null,"isOpenAccess":false,"openAccessPdf":"https://www.ncbi.nlm.nih.gov/pmc/articles/PMC11785397/pdf/","citationCount":"0","resultStr":"{\"title\":\"Verrucous Eccrine Angiomatous Hamartoma: A Case Report.\",\"authors\":\"Ali Sadeghinia, Yasaman Sadeghi, Alireza Ghanadan, Elham Mazaherpour\",\"doi\":\"10.1159/000533667\",\"DOIUrl\":null,\"url\":null,\"abstract\":\"<p><p>Eccrine angiomatous hamartoma (EAH) is a rare malformation presenting with the proliferation of eccrine glands and other dermal structures. It typically presents as a solitary lesion on extremities that appears at birth or during childhood. It is generally asymptomatic but may be associated with hyperhidrosis or pain. Here we report a case of verrucous EAH located on the heel of a 27-year-old man, which is an uncommon presentation of this tumor, and review the clinical characteristics, histologic findings, and prognosis of this rare condition.</p>\",\"PeriodicalId\":9619,\"journal\":{\"name\":\"Case Reports in Dermatology\",\"volume\":\"17 1\",\"pages\":\"38-41\"},\"PeriodicalIF\":0.8000,\"publicationDate\":\"2025-01-16\",\"publicationTypes\":\"Journal Article\",\"fieldsOfStudy\":null,\"isOpenAccess\":false,\"openAccessPdf\":\"https://www.ncbi.nlm.nih.gov/pmc/articles/PMC11785397/pdf/\",\"citationCount\":\"0\",\"resultStr\":null,\"platform\":\"Semanticscholar\",\"paperid\":null,\"PeriodicalName\":\"Case Reports in Dermatology\",\"FirstCategoryId\":\"1085\",\"ListUrlMain\":\"https://doi.org/10.1159/000533667\",\"RegionNum\":0,\"RegionCategory\":null,\"ArticlePicture\":[],\"TitleCN\":null,\"AbstractTextCN\":null,\"PMCID\":null,\"EPubDate\":\"2025/1/1 0:00:00\",\"PubModel\":\"eCollection\",\"JCR\":\"Q4\",\"JCRName\":\"DERMATOLOGY\",\"Score\":null,\"Total\":0}","platform":"Semanticscholar","paperid":null,"PeriodicalName":"Case Reports in Dermatology","FirstCategoryId":"1085","ListUrlMain":"https://doi.org/10.1159/000533667","RegionNum":0,"RegionCategory":null,"ArticlePicture":[],"TitleCN":null,"AbstractTextCN":null,"PMCID":null,"EPubDate":"2025/1/1 0:00:00","PubModel":"eCollection","JCR":"Q4","JCRName":"DERMATOLOGY","Score":null,"Total":0}
引用次数: 0

摘要

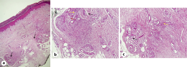
内分泌血管瘤错构瘤是一种罕见的畸形,表现为内分泌腺体和其他皮肤结构的增生。它通常表现为在出生或儿童时期出现的四肢孤立病变。它通常无症状,但可能与多汗症或疼痛有关。在此,我们报告一位27岁男性患疣状EAH的病例,这是一种罕见的肿瘤表现,并回顾这种罕见疾病的临床特征、组织学表现和预后。
本文章由计算机程序翻译,如有差异,请以英文原文为准。

Verrucous Eccrine Angiomatous Hamartoma: A Case Report.

Verrucous Eccrine Angiomatous Hamartoma: A Case Report.

Verrucous Eccrine Angiomatous Hamartoma: A Case Report.

Eccrine angiomatous hamartoma (EAH) is a rare malformation presenting with the proliferation of eccrine glands and other dermal structures. It typically presents as a solitary lesion on extremities that appears at birth or during childhood. It is generally asymptomatic but may be associated with hyperhidrosis or pain. Here we report a case of verrucous EAH located on the heel of a 27-year-old man, which is an uncommon presentation of this tumor, and review the clinical characteristics, histologic findings, and prognosis of this rare condition.

求助全文
通过发布文献求助,成功后即可免费获取论文全文。 去求助
来源期刊
CiteScore
1.60
自引率
0.00%
发文量
57
审稿时长
9 weeks
×
引用
GB/T 7714-2015
复制
MLA
复制
APA
复制
导出至
BibTeX EndNote RefMan NoteFirst NoteExpress
×
提示
您的信息不完整,为了账户安全,请先补充。
现在去补充
×
提示
您因"违规操作"
具体请查看互助需知
我知道了
×
提示
确定
请完成安全验证×
copy
已复制链接
快去分享给好友吧!
我知道了
右上角分享
点击右上角分享
0
联系我们:info@booksci.cn Book学术提供免费学术资源搜索服务,方便国内外学者检索中英文文献。致力于提供最便捷和优质的服务体验。 Copyright © 2023 布克学术 All rights reserved.
京ICP备2023020795号-1
ghs 京公网安备 11010802042870号
Book学术文献互助
Book学术文献互助群
群 号:604180095
Book学术官方微信