胸膜引流管内出现蛔虫:一个意外的诊断。

IF 0.6 Q3 MEDICINE, GENERAL & INTERNAL
Clinical Medicine Insights. Case Reports Pub Date : 2025-01-28 eCollection Date: 2025-01-01 DOI:10.1177/11795476251315619
Hasan Arafat, Hamza A Abdul-Hafez, Ali Sabateen
{"title":"胸膜引流管内出现蛔虫:一个意外的诊断。","authors":"Hasan Arafat, Hamza A Abdul-Hafez, Ali Sabateen","doi":"10.1177/11795476251315619","DOIUrl":null,"url":null,"abstract":"<p><strong>Introduction: </strong><i>Ascaris lumbricoides</i> is a common helminthic infection characterized by fecal-oral route of transmission. Commonly, it affects the gastrointestinal tract. However, in significantly rare cases, it can affect unexpected body regions, such as biliary tree, pancreas, and the lung.</p><p><strong>Case presentation: </strong>A 68-year-old female patient underwent PleurX tube insertion due to malignant pleural effusion. On the third week of insertion, she complained of itching and pain at the site of insertion, a grayish-white worm was visualized at the insertion site. Ascaris lumbricoides was identified by microbiological examination. She received 400 mg of albendazole.</p><p><strong>Conclusion: </strong>Our case describes a rare clinical situation of pleural ascariasis, emphasizing the importance of remaining aware of this rare complication of ascariasis.</p>","PeriodicalId":10357,"journal":{"name":"Clinical Medicine Insights. Case Reports","volume":"18 ","pages":"11795476251315619"},"PeriodicalIF":0.6000,"publicationDate":"2025-01-28","publicationTypes":"Journal Article","fieldsOfStudy":null,"isOpenAccess":false,"openAccessPdf":"https://www.ncbi.nlm.nih.gov/pmc/articles/PMC11775982/pdf/","citationCount":"0","resultStr":"{\"title\":\"<i>Ascaris lumbricoides</i> Emerging from a PleurX Draining Catheter: An Unexpected Diagnosis.\",\"authors\":\"Hasan Arafat, Hamza A Abdul-Hafez, Ali Sabateen\",\"doi\":\"10.1177/11795476251315619\",\"DOIUrl\":null,\"url\":null,\"abstract\":\"<p><strong>Introduction: </strong><i>Ascaris lumbricoides</i> is a common helminthic infection characterized by fecal-oral route of transmission. Commonly, it affects the gastrointestinal tract. However, in significantly rare cases, it can affect unexpected body regions, such as biliary tree, pancreas, and the lung.</p><p><strong>Case presentation: </strong>A 68-year-old female patient underwent PleurX tube insertion due to malignant pleural effusion. On the third week of insertion, she complained of itching and pain at the site of insertion, a grayish-white worm was visualized at the insertion site. Ascaris lumbricoides was identified by microbiological examination. She received 400 mg of albendazole.</p><p><strong>Conclusion: </strong>Our case describes a rare clinical situation of pleural ascariasis, emphasizing the importance of remaining aware of this rare complication of ascariasis.</p>\",\"PeriodicalId\":10357,\"journal\":{\"name\":\"Clinical Medicine Insights. Case Reports\",\"volume\":\"18 \",\"pages\":\"11795476251315619\"},\"PeriodicalIF\":0.6000,\"publicationDate\":\"2025-01-28\",\"publicationTypes\":\"Journal Article\",\"fieldsOfStudy\":null,\"isOpenAccess\":false,\"openAccessPdf\":\"https://www.ncbi.nlm.nih.gov/pmc/articles/PMC11775982/pdf/\",\"citationCount\":\"0\",\"resultStr\":null,\"platform\":\"Semanticscholar\",\"paperid\":null,\"PeriodicalName\":\"Clinical Medicine Insights. Case Reports\",\"FirstCategoryId\":\"1085\",\"ListUrlMain\":\"https://doi.org/10.1177/11795476251315619\",\"RegionNum\":0,\"RegionCategory\":null,\"ArticlePicture\":[],\"TitleCN\":null,\"AbstractTextCN\":null,\"PMCID\":null,\"EPubDate\":\"2025/1/1 0:00:00\",\"PubModel\":\"eCollection\",\"JCR\":\"Q3\",\"JCRName\":\"MEDICINE, GENERAL & INTERNAL\",\"Score\":null,\"Total\":0}","platform":"Semanticscholar","paperid":null,"PeriodicalName":"Clinical Medicine Insights. Case Reports","FirstCategoryId":"1085","ListUrlMain":"https://doi.org/10.1177/11795476251315619","RegionNum":0,"RegionCategory":null,"ArticlePicture":[],"TitleCN":null,"AbstractTextCN":null,"PMCID":null,"EPubDate":"2025/1/1 0:00:00","PubModel":"eCollection","JCR":"Q3","JCRName":"MEDICINE, GENERAL & INTERNAL","Score":null,"Total":0}
引用次数: 0

摘要

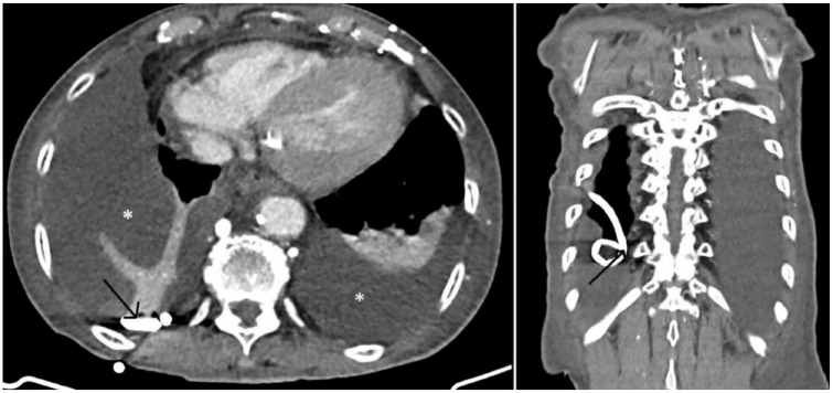
简介:类蚓蛔虫是一种常见的蠕虫感染,以粪-口传播为特征。通常,它会影响胃肠道。然而,在非常罕见的情况下,它可以影响意想不到的身体部位,如胆道、胰腺和肺。病例介绍:一名68岁女性患者因恶性胸腔积液行胸膜管插入术。植入第三周,患者主诉植入部位瘙痒和疼痛,植入部位可见灰白色蠕虫。微生物学鉴定为类蚓蛔虫。她注射了400毫克阿苯达唑。结论:我们的病例描述了一种罕见的胸膜蛔虫病的临床情况,强调了对这种罕见的蛔虫病并发症保持认识的重要性。
本文章由计算机程序翻译,如有差异,请以英文原文为准。

<i>Ascaris lumbricoides</i> Emerging from a PleurX Draining Catheter: An Unexpected Diagnosis.

<i>Ascaris lumbricoides</i> Emerging from a PleurX Draining Catheter: An Unexpected Diagnosis.

<i>Ascaris lumbricoides</i> Emerging from a PleurX Draining Catheter: An Unexpected Diagnosis.

Ascaris lumbricoides Emerging from a PleurX Draining Catheter: An Unexpected Diagnosis.

Introduction: Ascaris lumbricoides is a common helminthic infection characterized by fecal-oral route of transmission. Commonly, it affects the gastrointestinal tract. However, in significantly rare cases, it can affect unexpected body regions, such as biliary tree, pancreas, and the lung.

Case presentation: A 68-year-old female patient underwent PleurX tube insertion due to malignant pleural effusion. On the third week of insertion, she complained of itching and pain at the site of insertion, a grayish-white worm was visualized at the insertion site. Ascaris lumbricoides was identified by microbiological examination. She received 400 mg of albendazole.

Conclusion: Our case describes a rare clinical situation of pleural ascariasis, emphasizing the importance of remaining aware of this rare complication of ascariasis.

求助全文
通过发布文献求助,成功后即可免费获取论文全文。 去求助
来源期刊
Clinical Medicine Insights. Case Reports
Clinical Medicine Insights. Case Reports MEDICINE, GENERAL & INTERNAL-
CiteScore
1.10
自引率
0.00%
发文量
57
审稿时长
8 weeks
×
引用
GB/T 7714-2015
复制
MLA
复制
APA
复制
导出至
BibTeX EndNote RefMan NoteFirst NoteExpress
×
提示
您的信息不完整,为了账户安全,请先补充。
现在去补充
×
提示
您因"违规操作"
具体请查看互助需知
我知道了
×
提示
确定
请完成安全验证×
copy
已复制链接
快去分享给好友吧!
我知道了
右上角分享
点击右上角分享
0
联系我们:info@booksci.cn Book学术提供免费学术资源搜索服务,方便国内外学者检索中英文文献。致力于提供最便捷和优质的服务体验。 Copyright © 2023 布克学术 All rights reserved.
京ICP备2023020795号-1
ghs 京公网安备 11010802042870号
Book学术文献互助
Book学术文献互助群
群 号:604180095
Book学术官方微信