[多发性内分泌肿瘤2A型转移性嗜铬细胞瘤]。

D V Rebrova, V F Rusakov, L M Krasnov, E A Fedorov, I K Chinchuk, N V Vorokhobina, S S Shikhmagomedov, A A Semenov, R A Chernikov, I V Sleptsov, G I Gavton, E N Imyanitov
{"title":"[多发性内分泌肿瘤2A型转移性嗜铬细胞瘤]。","authors":"D V Rebrova, V F Rusakov, L M Krasnov, E A Fedorov, I K Chinchuk, N V Vorokhobina, S S Shikhmagomedov, A A Semenov, R A Chernikov, I V Sleptsov, G I Gavton, E N Imyanitov","doi":"10.14341/probl13332","DOIUrl":null,"url":null,"abstract":"<p><p>Pheochromocytoma (PHEO) currently is considered to be malignant due to metastatic potential. One of the most common familial forms of PHEO is multiple endocrine neoplasia syndrome (MEN) type 2. The penetrance of PHEO in MEN2 syndrome is up to 50% of cases. It may be one- or two-sided, but metastases occur extremely rare. The fact that in majority of cases of MEN2 syndrome the source of distant metastases is medullary thyroid carcinoma (MTC) complicates differential diagnosis in case of PHEO metastasis.Isolated cases of PHEO with metastases to the lymph nodes, lungs, liver, bones, brain in MEN2 patients were described. In the available literature, we have found a description of 31 cases of metastatic PHEO in MEN2 syndrome. The available data of those cases is presented as a table in the article.We present a description of a 40-year-old woman with MEN2A syndrome (mutation of the RET proto-oncogene p.Cys634Tyr), with a history of twice-performed surgical treatment of MTC, with daily crises of arterial hypertension accompanied by vegetative symptoms, with a giant bilateral PHEO (up to 200 m on the right and up to 150 mm on the left) with synchronous large metastasis (up to 50 mm) into the pubic bone with the destruction. The patient underwent several surgeries: bilateral adrenalectomy, then a bilateral revision of the neck, removal of the right upper and right lower parathyroid glands, residual thyroid tissue, then resection of the right pubic bone with a tumor.</p>","PeriodicalId":101419,"journal":{"name":"Problemy endokrinologii","volume":"70 6","pages":"35-44"},"PeriodicalIF":0.0000,"publicationDate":"2024-02-26","publicationTypes":"Journal Article","fieldsOfStudy":null,"isOpenAccess":false,"openAccessPdf":"https://www.ncbi.nlm.nih.gov/pmc/articles/PMC11775673/pdf/","citationCount":"0","resultStr":"{\"title\":\"[Metastatic pheochromocytoma in multiple endocrine neoplasia type 2A].\",\"authors\":\"D V Rebrova, V F Rusakov, L M Krasnov, E A Fedorov, I K Chinchuk, N V Vorokhobina, S S Shikhmagomedov, A A Semenov, R A Chernikov, I V Sleptsov, G I Gavton, E N Imyanitov\",\"doi\":\"10.14341/probl13332\",\"DOIUrl\":null,\"url\":null,\"abstract\":\"<p><p>Pheochromocytoma (PHEO) currently is considered to be malignant due to metastatic potential. One of the most common familial forms of PHEO is multiple endocrine neoplasia syndrome (MEN) type 2. The penetrance of PHEO in MEN2 syndrome is up to 50% of cases. It may be one- or two-sided, but metastases occur extremely rare. The fact that in majority of cases of MEN2 syndrome the source of distant metastases is medullary thyroid carcinoma (MTC) complicates differential diagnosis in case of PHEO metastasis.Isolated cases of PHEO with metastases to the lymph nodes, lungs, liver, bones, brain in MEN2 patients were described. In the available literature, we have found a description of 31 cases of metastatic PHEO in MEN2 syndrome. The available data of those cases is presented as a table in the article.We present a description of a 40-year-old woman with MEN2A syndrome (mutation of the RET proto-oncogene p.Cys634Tyr), with a history of twice-performed surgical treatment of MTC, with daily crises of arterial hypertension accompanied by vegetative symptoms, with a giant bilateral PHEO (up to 200 m on the right and up to 150 mm on the left) with synchronous large metastasis (up to 50 mm) into the pubic bone with the destruction. The patient underwent several surgeries: bilateral adrenalectomy, then a bilateral revision of the neck, removal of the right upper and right lower parathyroid glands, residual thyroid tissue, then resection of the right pubic bone with a tumor.</p>\",\"PeriodicalId\":101419,\"journal\":{\"name\":\"Problemy endokrinologii\",\"volume\":\"70 6\",\"pages\":\"35-44\"},\"PeriodicalIF\":0.0000,\"publicationDate\":\"2024-02-26\",\"publicationTypes\":\"Journal Article\",\"fieldsOfStudy\":null,\"isOpenAccess\":false,\"openAccessPdf\":\"https://www.ncbi.nlm.nih.gov/pmc/articles/PMC11775673/pdf/\",\"citationCount\":\"0\",\"resultStr\":null,\"platform\":\"Semanticscholar\",\"paperid\":null,\"PeriodicalName\":\"Problemy endokrinologii\",\"FirstCategoryId\":\"1085\",\"ListUrlMain\":\"https://doi.org/10.14341/probl13332\",\"RegionNum\":0,\"RegionCategory\":null,\"ArticlePicture\":[],\"TitleCN\":null,\"AbstractTextCN\":null,\"PMCID\":null,\"EPubDate\":\"\",\"PubModel\":\"\",\"JCR\":\"\",\"JCRName\":\"\",\"Score\":null,\"Total\":0}","platform":"Semanticscholar","paperid":null,"PeriodicalName":"Problemy endokrinologii","FirstCategoryId":"1085","ListUrlMain":"https://doi.org/10.14341/probl13332","RegionNum":0,"RegionCategory":null,"ArticlePicture":[],"TitleCN":null,"AbstractTextCN":null,"PMCID":null,"EPubDate":"","PubModel":"","JCR":"","JCRName":"","Score":null,"Total":0}
引用次数: 0

摘要

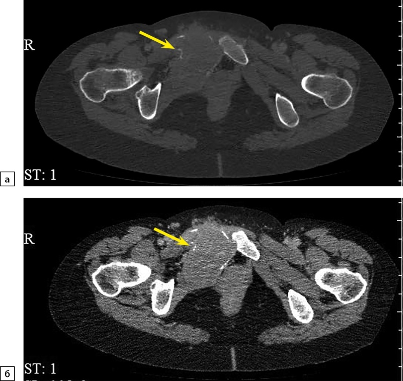
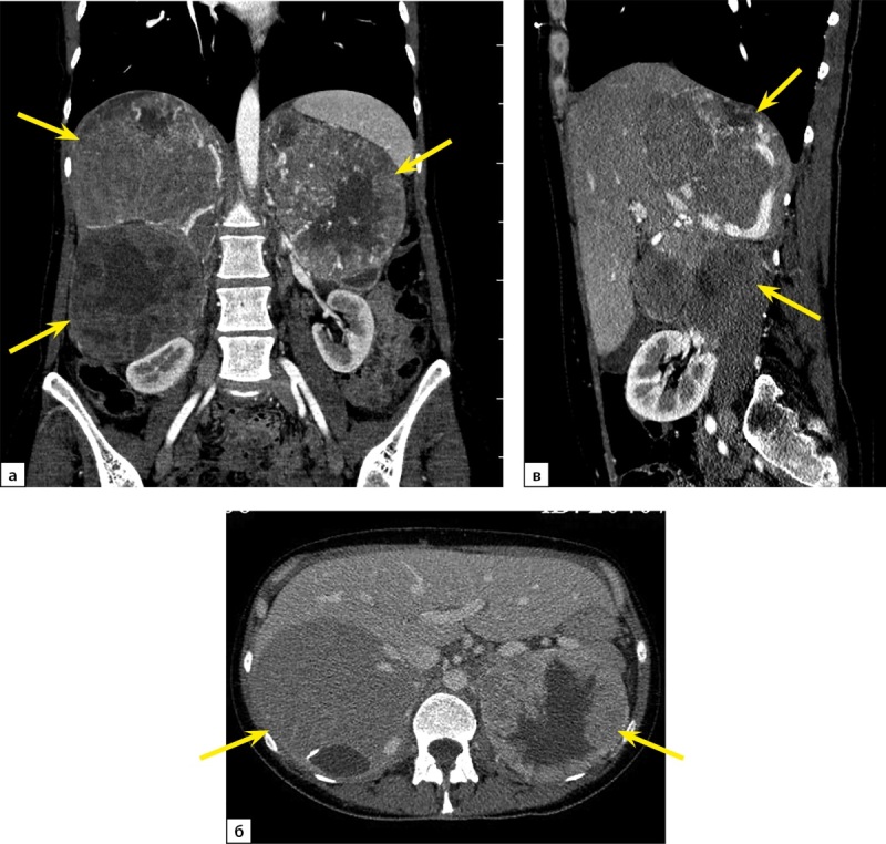
嗜铬细胞瘤(PHEO)目前被认为是恶性的,由于转移的潜力。最常见的家族性PHEO之一是多发性内分泌瘤变综合征(MEN) 2型。PHEO在MEN2综合征中的外显率高达50%。它可能是单侧或双侧,但转移发生极为罕见。在大多数MEN2综合征病例中,远处转移的来源是甲状腺髓样癌(MTC),这一事实使PHEO转移病例的鉴别诊断复杂化。本文报道了MEN2患者中PHEO转移至淋巴结、肺、肝、骨、脑的孤立病例。在现有文献中,我们发现了31例MEN2综合征转移性PHEO的描述。这些案例的可用数据以表格的形式呈现在本文中。我们报告了一名40岁女性MEN2A综合征(RET原癌基因p.Cys634Tyr突变),有两次手术治疗MTC的病史,每日伴有动脉高血压危像,伴有植物性症状,伴有巨大的双侧PHEO(右侧达200米,左侧达150毫米),同时伴有大转移(高达50毫米)进入耻骨并破坏。患者接受了几次手术:双侧肾上腺切除术,然后是双侧颈部翻修,切除右上、右下甲状旁腺,残余甲状腺组织,然后切除右耻骨肿瘤。
本文章由计算机程序翻译,如有差异,请以英文原文为准。

[Metastatic pheochromocytoma in multiple endocrine neoplasia type 2A].

[Metastatic pheochromocytoma in multiple endocrine neoplasia type 2A].

[Metastatic pheochromocytoma in multiple endocrine neoplasia type 2A].

Pheochromocytoma (PHEO) currently is considered to be malignant due to metastatic potential. One of the most common familial forms of PHEO is multiple endocrine neoplasia syndrome (MEN) type 2. The penetrance of PHEO in MEN2 syndrome is up to 50% of cases. It may be one- or two-sided, but metastases occur extremely rare. The fact that in majority of cases of MEN2 syndrome the source of distant metastases is medullary thyroid carcinoma (MTC) complicates differential diagnosis in case of PHEO metastasis.Isolated cases of PHEO with metastases to the lymph nodes, lungs, liver, bones, brain in MEN2 patients were described. In the available literature, we have found a description of 31 cases of metastatic PHEO in MEN2 syndrome. The available data of those cases is presented as a table in the article.We present a description of a 40-year-old woman with MEN2A syndrome (mutation of the RET proto-oncogene p.Cys634Tyr), with a history of twice-performed surgical treatment of MTC, with daily crises of arterial hypertension accompanied by vegetative symptoms, with a giant bilateral PHEO (up to 200 m on the right and up to 150 mm on the left) with synchronous large metastasis (up to 50 mm) into the pubic bone with the destruction. The patient underwent several surgeries: bilateral adrenalectomy, then a bilateral revision of the neck, removal of the right upper and right lower parathyroid glands, residual thyroid tissue, then resection of the right pubic bone with a tumor.

求助全文
通过发布文献求助,成功后即可免费获取论文全文。 去求助
来源期刊
自引率
0.00%
发文量
0
×
引用
GB/T 7714-2015
复制
MLA
复制
APA
复制
导出至
BibTeX EndNote RefMan NoteFirst NoteExpress
×
提示
您的信息不完整,为了账户安全,请先补充。
现在去补充
×
提示
您因"违规操作"
具体请查看互助需知
我知道了
×
提示
确定
请完成安全验证×
copy
已复制链接
快去分享给好友吧!
我知道了
右上角分享
点击右上角分享
0
联系我们:info@booksci.cn Book学术提供免费学术资源搜索服务,方便国内外学者检索中英文文献。致力于提供最便捷和优质的服务体验。 Copyright © 2023 布克学术 All rights reserved.
京ICP备2023020795号-1
ghs 京公网安备 11010802042870号
Book学术文献互助
Book学术文献互助群
群 号:604180095
Book学术官方微信