罕见混合性痴呆1例。

IF 1.5 Q3 RADIOLOGY, NUCLEAR MEDICINE & MEDICAL IMAGING
Xu-Hui Chen, Wen Xia, Jia-Bin Ma, Jiao Chen, Jun Hu, Xin Shi, Jing-Jing Yu, Jia Gong, Lu Liu, Yong-An Sun, Zhi-Gang Liu
{"title":"罕见混合性痴呆1例。","authors":"Xu-Hui Chen, Wen Xia, Jia-Bin Ma, Jiao Chen, Jun Hu, Xin Shi, Jing-Jing Yu, Jia Gong, Lu Liu, Yong-An Sun, Zhi-Gang Liu","doi":"10.4329/wjr.v17.i1.102579","DOIUrl":null,"url":null,"abstract":"<p><strong>Background: </strong>Autoimmune encephalitis (AE) is a rare and recently described neuroinflammatory disease associated with specific autoantibodies. Anti-leucine-rich glioma inactivated 1 (anti-LGI1) encephalitis is a rare but treatable type of AE discovered in recent years. Alzheimer's disease (AD) is a degenerative brain disease and the most common cause of dementia. AD may undergo a series of pathological physiological changes in brain tissue 20 years before the onset of typical symptoms. The stage of mild cognitive impairment (MCI) that occurs during this process, known as MCI due to AD, is the earliest stage with clinical symptoms. MCI is typically categorized into two subtypes: Amnestic MCI (aMCI) and non-aMCI.</p><p><strong>Case summary: </strong>This report describes a patient with rapid cognitive impairment, diagnosed with anti-LGI1 antibody-mediated AE and aMCI, and treated at Peking University Shenzhen Hospital in March 2023. The patient was hospitalized with acute memory decline for more than 3 months. Both the cerebrospinal fluid and serum were positive for anti-LGI1 antibodies, biomarkers of AD coexisting in the patient's cerebrospinal fluid. Following combination treatment with immunoglobulin therapy and glucocorticoid, plus inhibition of acetylcholinesterase, the patient's cognitive function significantly improved. Throughout the 3-month follow-up period, a sustained improvement in cognitive function was observed. The results of serum anti-LGI1 antibody were negative.</p><p><strong>Conclusion: </strong>This case has raised awareness of the possible interaction between AE and early AD (including MCI due to AD), and alerted clinicians to the possibility of concurrent rare and common diseases in patients presenting with cognitive impairment.</p>","PeriodicalId":23819,"journal":{"name":"World journal of radiology","volume":"17 1","pages":"102579"},"PeriodicalIF":1.5000,"publicationDate":"2025-01-28","publicationTypes":"Journal Article","fieldsOfStudy":null,"isOpenAccess":false,"openAccessPdf":"https://www.ncbi.nlm.nih.gov/pmc/articles/PMC11755906/pdf/","citationCount":"0","resultStr":"{\"title\":\"Rare mixed dementia: A case report.\",\"authors\":\"Xu-Hui Chen, Wen Xia, Jia-Bin Ma, Jiao Chen, Jun Hu, Xin Shi, Jing-Jing Yu, Jia Gong, Lu Liu, Yong-An Sun, Zhi-Gang Liu\",\"doi\":\"10.4329/wjr.v17.i1.102579\",\"DOIUrl\":null,\"url\":null,\"abstract\":\"<p><strong>Background: </strong>Autoimmune encephalitis (AE) is a rare and recently described neuroinflammatory disease associated with specific autoantibodies. Anti-leucine-rich glioma inactivated 1 (anti-LGI1) encephalitis is a rare but treatable type of AE discovered in recent years. Alzheimer's disease (AD) is a degenerative brain disease and the most common cause of dementia. AD may undergo a series of pathological physiological changes in brain tissue 20 years before the onset of typical symptoms. The stage of mild cognitive impairment (MCI) that occurs during this process, known as MCI due to AD, is the earliest stage with clinical symptoms. MCI is typically categorized into two subtypes: Amnestic MCI (aMCI) and non-aMCI.</p><p><strong>Case summary: </strong>This report describes a patient with rapid cognitive impairment, diagnosed with anti-LGI1 antibody-mediated AE and aMCI, and treated at Peking University Shenzhen Hospital in March 2023. The patient was hospitalized with acute memory decline for more than 3 months. Both the cerebrospinal fluid and serum were positive for anti-LGI1 antibodies, biomarkers of AD coexisting in the patient's cerebrospinal fluid. Following combination treatment with immunoglobulin therapy and glucocorticoid, plus inhibition of acetylcholinesterase, the patient's cognitive function significantly improved. Throughout the 3-month follow-up period, a sustained improvement in cognitive function was observed. The results of serum anti-LGI1 antibody were negative.</p><p><strong>Conclusion: </strong>This case has raised awareness of the possible interaction between AE and early AD (including MCI due to AD), and alerted clinicians to the possibility of concurrent rare and common diseases in patients presenting with cognitive impairment.</p>\",\"PeriodicalId\":23819,\"journal\":{\"name\":\"World journal of radiology\",\"volume\":\"17 1\",\"pages\":\"102579\"},\"PeriodicalIF\":1.5000,\"publicationDate\":\"2025-01-28\",\"publicationTypes\":\"Journal Article\",\"fieldsOfStudy\":null,\"isOpenAccess\":false,\"openAccessPdf\":\"https://www.ncbi.nlm.nih.gov/pmc/articles/PMC11755906/pdf/\",\"citationCount\":\"0\",\"resultStr\":null,\"platform\":\"Semanticscholar\",\"paperid\":null,\"PeriodicalName\":\"World journal of radiology\",\"FirstCategoryId\":\"1085\",\"ListUrlMain\":\"https://doi.org/10.4329/wjr.v17.i1.102579\",\"RegionNum\":0,\"RegionCategory\":null,\"ArticlePicture\":[],\"TitleCN\":null,\"AbstractTextCN\":null,\"PMCID\":null,\"EPubDate\":\"\",\"PubModel\":\"\",\"JCR\":\"Q3\",\"JCRName\":\"RADIOLOGY, NUCLEAR MEDICINE & MEDICAL IMAGING\",\"Score\":null,\"Total\":0}","platform":"Semanticscholar","paperid":null,"PeriodicalName":"World journal of radiology","FirstCategoryId":"1085","ListUrlMain":"https://doi.org/10.4329/wjr.v17.i1.102579","RegionNum":0,"RegionCategory":null,"ArticlePicture":[],"TitleCN":null,"AbstractTextCN":null,"PMCID":null,"EPubDate":"","PubModel":"","JCR":"Q3","JCRName":"RADIOLOGY, NUCLEAR MEDICINE & MEDICAL IMAGING","Score":null,"Total":0}
引用次数: 0

摘要

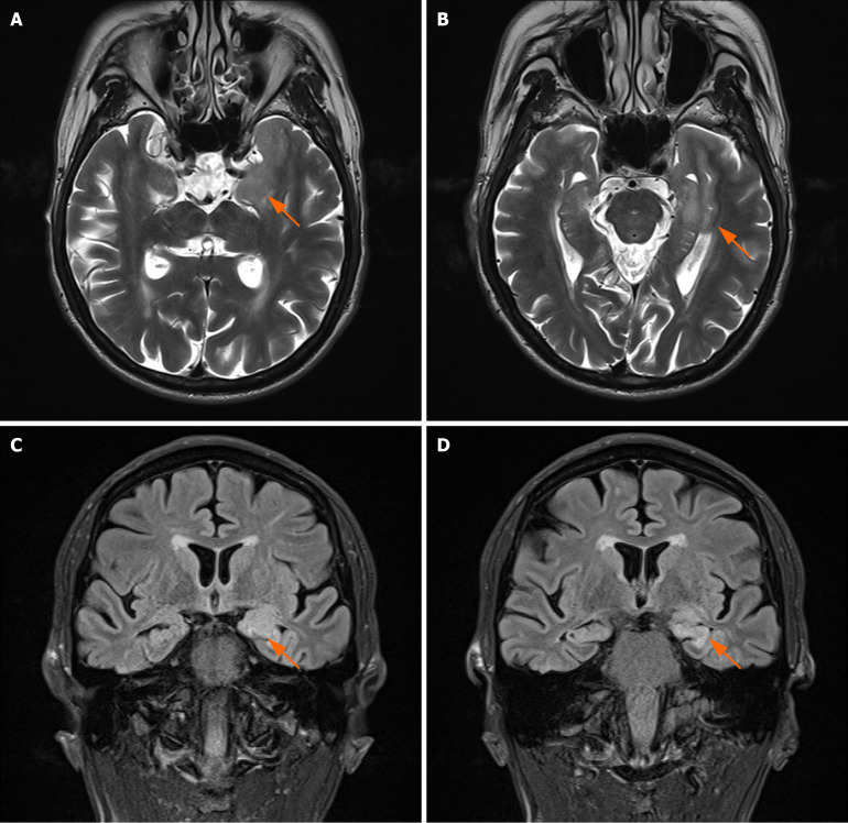
背景:自身免疫性脑炎(AE)是一种罕见的与特异性自身抗体相关的神经炎性疾病。抗富亮氨酸胶质瘤失活1(抗lgi1)脑炎是近年来发现的一种罕见但可治疗的AE类型。阿尔茨海默病(AD)是一种退行性脑疾病,也是痴呆症的最常见原因。在典型症状出现前20年,AD可能在脑组织中发生一系列病理生理变化。在这一过程中出现的轻度认知障碍(MCI)阶段,即AD引起的MCI,是最早出现临床症状的阶段。MCI通常分为两种亚型:健忘性MCI (aMCI)和非aMCI。病例总结:本报告描述了一例快速认知功能障碍患者,诊断为抗lgi1抗体介导的AE和aMCI,于2023年3月在北京大学深圳医院接受治疗。患者因急性记忆减退住院3个多月。脑脊液和血清抗lgi1抗体均呈阳性,lgi1抗体是AD患者脑脊液中共存的生物标志物。经免疫球蛋白治疗和糖皮质激素联合治疗,加上抑制乙酰胆碱酯酶,患者认知功能明显改善。在3个月的随访期间,观察到认知功能的持续改善。血清抗lgi1抗体检测结果为阴性。结论:本病例提高了对AE与早期AD(包括AD导致的MCI)可能相互作用的认识,并提醒临床医生认知功能障碍患者可能同时存在罕见和常见疾病。
本文章由计算机程序翻译,如有差异,请以英文原文为准。

Rare mixed dementia: A case report.

Rare mixed dementia: A case report.

Rare mixed dementia: A case report.

Background: Autoimmune encephalitis (AE) is a rare and recently described neuroinflammatory disease associated with specific autoantibodies. Anti-leucine-rich glioma inactivated 1 (anti-LGI1) encephalitis is a rare but treatable type of AE discovered in recent years. Alzheimer's disease (AD) is a degenerative brain disease and the most common cause of dementia. AD may undergo a series of pathological physiological changes in brain tissue 20 years before the onset of typical symptoms. The stage of mild cognitive impairment (MCI) that occurs during this process, known as MCI due to AD, is the earliest stage with clinical symptoms. MCI is typically categorized into two subtypes: Amnestic MCI (aMCI) and non-aMCI.

Case summary: This report describes a patient with rapid cognitive impairment, diagnosed with anti-LGI1 antibody-mediated AE and aMCI, and treated at Peking University Shenzhen Hospital in March 2023. The patient was hospitalized with acute memory decline for more than 3 months. Both the cerebrospinal fluid and serum were positive for anti-LGI1 antibodies, biomarkers of AD coexisting in the patient's cerebrospinal fluid. Following combination treatment with immunoglobulin therapy and glucocorticoid, plus inhibition of acetylcholinesterase, the patient's cognitive function significantly improved. Throughout the 3-month follow-up period, a sustained improvement in cognitive function was observed. The results of serum anti-LGI1 antibody were negative.

Conclusion: This case has raised awareness of the possible interaction between AE and early AD (including MCI due to AD), and alerted clinicians to the possibility of concurrent rare and common diseases in patients presenting with cognitive impairment.

求助全文
通过发布文献求助,成功后即可免费获取论文全文。 去求助
来源期刊
World journal of radiology
World journal of radiology RADIOLOGY, NUCLEAR MEDICINE & MEDICAL IMAGING-
自引率
8.00%
发文量
35
×
引用
GB/T 7714-2015
复制
MLA
复制
APA
复制
导出至
BibTeX EndNote RefMan NoteFirst NoteExpress
×
提示
您的信息不完整,为了账户安全,请先补充。
现在去补充
×
提示
您因"违规操作"
具体请查看互助需知
我知道了
×
提示
确定
请完成安全验证×
copy
已复制链接
快去分享给好友吧!
我知道了
右上角分享
点击右上角分享
0
联系我们:info@booksci.cn Book学术提供免费学术资源搜索服务,方便国内外学者检索中英文文献。致力于提供最便捷和优质的服务体验。 Copyright © 2023 布克学术 All rights reserved.
京ICP备2023020795号-1
ghs 京公网安备 11010802042870号
Book学术文献互助
Book学术文献互助群
群 号:604180095
Book学术官方微信