MAR+金属伪影复位算法在腰椎内固定术后评估中的临床价值。

IF 1.3 4区 医学 Q4 RADIOLOGY, NUCLEAR MEDICINE & MEDICAL IMAGING
Jiayi Fang, Fei Yu, Bin Yang, Guan Wang, Guangyan Si
{"title":"MAR+金属伪影复位算法在腰椎内固定术后评估中的临床价值。","authors":"Jiayi Fang, Fei Yu, Bin Yang, Guan Wang, Guangyan Si","doi":"10.1097/RCT.0000000000001724","DOIUrl":null,"url":null,"abstract":"<p><strong>Background: </strong>With the widespread use of lumbar pedicle screws for internal fixation, the morphology of the screws and the surrounding tissues should be evaluated. The metal artifact reduction (MAR) technique can reduce the artifacts caused by pedicle screws, improve the quality of computed tomography (CT) images after pedicle fixation, and provide more imaging information to the clinic.</p><p><strong>Purpose: </strong>To explore whether the MAR + method, a projection-based algorithm for correcting metal artifacts through multiple iterative operations, can reduce metal artifacts and have an impact on the structure of the surrounding metal.</p><p><strong>Materials and methods: </strong>A total of 57 patients who underwent lumbar spine CT examination after lumbar internal fixation from January to December 2023 in our hospital were retrospectively enrolled. The CT images were reconstructed using MAR + and non-MAR + techniques and were subdivided into MAR + and non-MAR + groups. The CT number (in Hounsfield units) and the SD noise values of the spinal canal, vertebral body, psoas major muscle, and adjacent fat were measured in the 2 groups of CT images, and the signal-to-noise ratio (SNR) and contrast-to-noise ratio (CNR) were calculated. The subjective score was evaluated by two diagnostic radiologists using a double-blind method for image quality evaluation of the MAR + group and the non-MAR + group, and the image quality was classified on a 5-point scale. The rank-sum test was utilized to compare the subjective and objective scores of the 2 groups.</p><p><strong>Results: </strong>The SD values of the spinal canal ( Z =-4.12, P <0.01), vertebral body ( Z =-3.81, P <0.01), and psoas major muscle ( Z =-3.87, P <0.01) in the MAR + group were significantly lower than those in the non-MAR + group ( P <0.05). However, the SD values of the adjacent fat ( Z =-2.03, P =0.42) in the MAR + group, although smaller than those in the non-MAR + group, were not statistically significant. The CNR values of vertebral canal ( Z =-2.67, P =0.008) and fat ( Z =-2.60, P =0.009) were higher in the MAR + group than in the non-MAR + group, whereas the CNR values of the vertebral body ( Z =-6.74, P <0.01) in the MAR + group were smaller than those in the non-MAR + group, and the difference of all of them was statistically significant ( P <0.05). Furthermore, for both CT and SNR values, the MAR group's values were all less than those of the non-MAR group and were statistically significant ( P <0.05). The subjective scores of the measurement points were all higher in the MAR + group than in the non-MAR + group.</p><p><strong>Conclusions: </strong>The MAR + technique has a noise reduction effect on different tissues and artifacts are significantly reduced. Although the artifacts caused by metal screws were not completely eliminated, the MAR + technique was able to reduce the interference of artifacts in the diagnosis of CT images, thus improving their diagnostic quality.</p>","PeriodicalId":15402,"journal":{"name":"Journal of Computer Assisted Tomography","volume":" ","pages":"675-681"},"PeriodicalIF":1.3000,"publicationDate":"2025-07-01","publicationTypes":"Journal Article","fieldsOfStudy":null,"isOpenAccess":false,"openAccessPdf":"https://www.ncbi.nlm.nih.gov/pmc/articles/PMC12237113/pdf/","citationCount":"0","resultStr":"{\"title\":\"The Clinical Value of the MAR + Metal Artifact Reduction Algorithm for Postoperative Assessment of Lumbar Internal Fixation.\",\"authors\":\"Jiayi Fang, Fei Yu, Bin Yang, Guan Wang, Guangyan Si\",\"doi\":\"10.1097/RCT.0000000000001724\",\"DOIUrl\":null,\"url\":null,\"abstract\":\"<p><strong>Background: </strong>With the widespread use of lumbar pedicle screws for internal fixation, the morphology of the screws and the surrounding tissues should be evaluated. The metal artifact reduction (MAR) technique can reduce the artifacts caused by pedicle screws, improve the quality of computed tomography (CT) images after pedicle fixation, and provide more imaging information to the clinic.</p><p><strong>Purpose: </strong>To explore whether the MAR + method, a projection-based algorithm for correcting metal artifacts through multiple iterative operations, can reduce metal artifacts and have an impact on the structure of the surrounding metal.</p><p><strong>Materials and methods: </strong>A total of 57 patients who underwent lumbar spine CT examination after lumbar internal fixation from January to December 2023 in our hospital were retrospectively enrolled. The CT images were reconstructed using MAR + and non-MAR + techniques and were subdivided into MAR + and non-MAR + groups. The CT number (in Hounsfield units) and the SD noise values of the spinal canal, vertebral body, psoas major muscle, and adjacent fat were measured in the 2 groups of CT images, and the signal-to-noise ratio (SNR) and contrast-to-noise ratio (CNR) were calculated. The subjective score was evaluated by two diagnostic radiologists using a double-blind method for image quality evaluation of the MAR + group and the non-MAR + group, and the image quality was classified on a 5-point scale. The rank-sum test was utilized to compare the subjective and objective scores of the 2 groups.</p><p><strong>Results: </strong>The SD values of the spinal canal ( Z =-4.12, P <0.01), vertebral body ( Z =-3.81, P <0.01), and psoas major muscle ( Z =-3.87, P <0.01) in the MAR + group were significantly lower than those in the non-MAR + group ( P <0.05). However, the SD values of the adjacent fat ( Z =-2.03, P =0.42) in the MAR + group, although smaller than those in the non-MAR + group, were not statistically significant. The CNR values of vertebral canal ( Z =-2.67, P =0.008) and fat ( Z =-2.60, P =0.009) were higher in the MAR + group than in the non-MAR + group, whereas the CNR values of the vertebral body ( Z =-6.74, P <0.01) in the MAR + group were smaller than those in the non-MAR + group, and the difference of all of them was statistically significant ( P <0.05). Furthermore, for both CT and SNR values, the MAR group's values were all less than those of the non-MAR group and were statistically significant ( P <0.05). The subjective scores of the measurement points were all higher in the MAR + group than in the non-MAR + group.</p><p><strong>Conclusions: </strong>The MAR + technique has a noise reduction effect on different tissues and artifacts are significantly reduced. Although the artifacts caused by metal screws were not completely eliminated, the MAR + technique was able to reduce the interference of artifacts in the diagnosis of CT images, thus improving their diagnostic quality.</p>\",\"PeriodicalId\":15402,\"journal\":{\"name\":\"Journal of Computer Assisted Tomography\",\"volume\":\" \",\"pages\":\"675-681\"},\"PeriodicalIF\":1.3000,\"publicationDate\":\"2025-07-01\",\"publicationTypes\":\"Journal Article\",\"fieldsOfStudy\":null,\"isOpenAccess\":false,\"openAccessPdf\":\"https://www.ncbi.nlm.nih.gov/pmc/articles/PMC12237113/pdf/\",\"citationCount\":\"0\",\"resultStr\":null,\"platform\":\"Semanticscholar\",\"paperid\":null,\"PeriodicalName\":\"Journal of Computer Assisted Tomography\",\"FirstCategoryId\":\"3\",\"ListUrlMain\":\"https://doi.org/10.1097/RCT.0000000000001724\",\"RegionNum\":4,\"RegionCategory\":\"医学\",\"ArticlePicture\":[],\"TitleCN\":null,\"AbstractTextCN\":null,\"PMCID\":null,\"EPubDate\":\"2025/1/27 0:00:00\",\"PubModel\":\"Epub\",\"JCR\":\"Q4\",\"JCRName\":\"RADIOLOGY, NUCLEAR MEDICINE & MEDICAL IMAGING\",\"Score\":null,\"Total\":0}","platform":"Semanticscholar","paperid":null,"PeriodicalName":"Journal of Computer Assisted Tomography","FirstCategoryId":"3","ListUrlMain":"https://doi.org/10.1097/RCT.0000000000001724","RegionNum":4,"RegionCategory":"医学","ArticlePicture":[],"TitleCN":null,"AbstractTextCN":null,"PMCID":null,"EPubDate":"2025/1/27 0:00:00","PubModel":"Epub","JCR":"Q4","JCRName":"RADIOLOGY, NUCLEAR MEDICINE & MEDICAL IMAGING","Score":null,"Total":0}
引用次数: 0

摘要

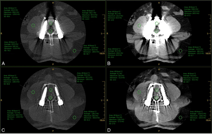
背景:随着腰椎椎弓根螺钉内固定的广泛应用,需要对螺钉和周围组织的形态进行评估。金属伪影复位(MAR)技术可以减少椎弓根螺钉引起的伪影,提高椎弓根固定后的CT图像质量,为临床提供更多的影像学信息。目的:探讨通过多次迭代操作,基于投影的金属伪影校正算法MAR+能否减少金属伪影,并对周围金属的结构产生影响。材料与方法:回顾性分析我院2023年1 - 12月腰椎内固定术后行腰椎CT检查的患者57例。采用MAR+和非MAR+技术重建CT图像,并将其细分为MAR+组和非MAR+组。测量两组CT图像中椎管、椎体、腰大肌及邻近脂肪的CT数(以Hounsfield单位为单位)和SD噪声值,计算信噪比(SNR)和噪声对比比(CNR)。主观评分由两名诊断放射科医师采用双盲法对MAR+组和非MAR+组进行图像质量评价,并以5分制对图像质量进行分类。采用秩和检验比较两组的主观、客观评分。结果:椎管SD值(Z=-4.12, p)。结论:MAR+技术对不同组织均有降噪效果,伪影明显减少。虽然不能完全消除金属螺钉造成的伪影,但MAR+技术能够减少伪影对CT图像诊断的干扰,从而提高其诊断质量。
本文章由计算机程序翻译,如有差异,请以英文原文为准。

The Clinical Value of the MAR + Metal Artifact Reduction Algorithm for Postoperative Assessment of Lumbar Internal Fixation.

The Clinical Value of the MAR + Metal Artifact Reduction Algorithm for Postoperative Assessment of Lumbar Internal Fixation.

The Clinical Value of the MAR + Metal Artifact Reduction Algorithm for Postoperative Assessment of Lumbar Internal Fixation.

The Clinical Value of the MAR + Metal Artifact Reduction Algorithm for Postoperative Assessment of Lumbar Internal Fixation.

Background: With the widespread use of lumbar pedicle screws for internal fixation, the morphology of the screws and the surrounding tissues should be evaluated. The metal artifact reduction (MAR) technique can reduce the artifacts caused by pedicle screws, improve the quality of computed tomography (CT) images after pedicle fixation, and provide more imaging information to the clinic.

Purpose: To explore whether the MAR + method, a projection-based algorithm for correcting metal artifacts through multiple iterative operations, can reduce metal artifacts and have an impact on the structure of the surrounding metal.

Materials and methods: A total of 57 patients who underwent lumbar spine CT examination after lumbar internal fixation from January to December 2023 in our hospital were retrospectively enrolled. The CT images were reconstructed using MAR + and non-MAR + techniques and were subdivided into MAR + and non-MAR + groups. The CT number (in Hounsfield units) and the SD noise values of the spinal canal, vertebral body, psoas major muscle, and adjacent fat were measured in the 2 groups of CT images, and the signal-to-noise ratio (SNR) and contrast-to-noise ratio (CNR) were calculated. The subjective score was evaluated by two diagnostic radiologists using a double-blind method for image quality evaluation of the MAR + group and the non-MAR + group, and the image quality was classified on a 5-point scale. The rank-sum test was utilized to compare the subjective and objective scores of the 2 groups.

Results: The SD values of the spinal canal ( Z =-4.12, P <0.01), vertebral body ( Z =-3.81, P <0.01), and psoas major muscle ( Z =-3.87, P <0.01) in the MAR + group were significantly lower than those in the non-MAR + group ( P <0.05). However, the SD values of the adjacent fat ( Z =-2.03, P =0.42) in the MAR + group, although smaller than those in the non-MAR + group, were not statistically significant. The CNR values of vertebral canal ( Z =-2.67, P =0.008) and fat ( Z =-2.60, P =0.009) were higher in the MAR + group than in the non-MAR + group, whereas the CNR values of the vertebral body ( Z =-6.74, P <0.01) in the MAR + group were smaller than those in the non-MAR + group, and the difference of all of them was statistically significant ( P <0.05). Furthermore, for both CT and SNR values, the MAR group's values were all less than those of the non-MAR group and were statistically significant ( P <0.05). The subjective scores of the measurement points were all higher in the MAR + group than in the non-MAR + group.

Conclusions: The MAR + technique has a noise reduction effect on different tissues and artifacts are significantly reduced. Although the artifacts caused by metal screws were not completely eliminated, the MAR + technique was able to reduce the interference of artifacts in the diagnosis of CT images, thus improving their diagnostic quality.

求助全文
通过发布文献求助,成功后即可免费获取论文全文。 去求助
来源期刊
CiteScore
2.50
自引率
0.00%
发文量
230
审稿时长
4-8 weeks
期刊介绍: The mission of Journal of Computer Assisted Tomography is to showcase the latest clinical and research developments in CT, MR, and closely related diagnostic techniques. We encourage submission of both original research and review articles that have immediate or promissory clinical applications. Topics of special interest include: 1) functional MR and CT of the brain and body; 2) advanced/innovative MRI techniques (diffusion, perfusion, rapid scanning); and 3) advanced/innovative CT techniques (perfusion, multi-energy, dose-reduction, and processing).
×
引用
GB/T 7714-2015
复制
MLA
复制
APA
复制
导出至
BibTeX EndNote RefMan NoteFirst NoteExpress
×
提示
您的信息不完整,为了账户安全,请先补充。
现在去补充
×
提示
您因"违规操作"
具体请查看互助需知
我知道了
×
提示
确定
请完成安全验证×
copy
已复制链接
快去分享给好友吧!
我知道了
右上角分享
点击右上角分享
0
联系我们:info@booksci.cn Book学术提供免费学术资源搜索服务,方便国内外学者检索中英文文献。致力于提供最便捷和优质的服务体验。 Copyright © 2023 布克学术 All rights reserved.
京ICP备2023020795号-1
ghs 京公网安备 11010802042870号
Book学术文献互助
Book学术文献互助群
群 号:604180095
Book学术官方微信