高分辨率0.25 mm检测CT对术前增强CT肾上腺静脉采样中右肾上腺静脉的可探测性影响有限。

IF 1.3 4区 医学 Q4 RADIOLOGY, NUCLEAR MEDICINE & MEDICAL IMAGING
Hiroyuki Morisaka, Akira Imaizumi, Tihan Wumu, Takanori Ii, Takuji Araki, Hiroshi Onishi
{"title":"高分辨率0.25 mm检测CT对术前增强CT肾上腺静脉采样中右肾上腺静脉的可探测性影响有限。","authors":"Hiroyuki Morisaka, Akira Imaizumi, Tihan Wumu, Takanori Ii, Takuji Araki, Hiroshi Onishi","doi":"10.1097/RCT.0000000000001727","DOIUrl":null,"url":null,"abstract":"<p><strong>Objective: </strong>This study aims to identify factors associated with the detectability of the right adrenal vein (RAV) on preoperative contrast-enhanced CT scans of adrenal venous sampling (AVS) in the era of high-resolution CT (HRCT).</p><p><strong>Materials and methods: </strong>In this retrospective study, 36 patients (15 men and 21 women; mean age, 56 y) who underwent preoperative contrast-enhanced CT [11 patients in HRCT with 0.25 mm detector matrix (Cannon Medical Systems) and 25 patients in conventional multidetector CT with 0.5 mm matrix] were included. A contrast agent dose of 600 mgI/kg was injected, and CT images were acquired at a fixed scan delay of 50 and 80 seconds. Adrenal venography and venous sampling were performed for the diagnosis of suspected primary hyperaldosteronism. The qualitative detectability of RAV on preoperative CT was assessed with adrenal venography as a reference. Clinical and imaging factors associated with a good detectability of RAV were analyzed via regression analysis. Optimal acquisition timing was assessed by analyzing the time-intensity curve and contrast enhancement pattern of the inferior vena cava using CT data from a separate cohort (n=5).</p><p><strong>Results: </strong>The qualitative detectability of RAV was deemed good in 15 patients and poor in 21 patients. Regression analysis revealed that only heterogeneous enhancement of inferior vena cava with bolus high attenuation, corresponding to an optimal acquisition timing from time-intensity curve analysis, was associated with a good detectability of RAV (odds ratio, 5.06). The use of HRCT was not statistically significant.</p><p><strong>Conclusions: </strong>Optimal acquisition timing is a crucial factor for the detectability of RAV in preprocedural CT for AVS, while high-resolution 0.25 detector CT appears to have limited significance.</p>","PeriodicalId":15402,"journal":{"name":"Journal of Computer Assisted Tomography","volume":" ","pages":"745-750"},"PeriodicalIF":1.3000,"publicationDate":"2025-09-01","publicationTypes":"Journal Article","fieldsOfStudy":null,"isOpenAccess":false,"openAccessPdf":"https://www.ncbi.nlm.nih.gov/pmc/articles/PMC12430825/pdf/","citationCount":"0","resultStr":"{\"title\":\"High-resolution 0.25 mm Detector CT Has Limited Impact on Right Adrenal Vein Detectability in Preprocedural Contrast Enhanced CT for Adrenal Venous Sampling.\",\"authors\":\"Hiroyuki Morisaka, Akira Imaizumi, Tihan Wumu, Takanori Ii, Takuji Araki, Hiroshi Onishi\",\"doi\":\"10.1097/RCT.0000000000001727\",\"DOIUrl\":null,\"url\":null,\"abstract\":\"<p><strong>Objective: </strong>This study aims to identify factors associated with the detectability of the right adrenal vein (RAV) on preoperative contrast-enhanced CT scans of adrenal venous sampling (AVS) in the era of high-resolution CT (HRCT).</p><p><strong>Materials and methods: </strong>In this retrospective study, 36 patients (15 men and 21 women; mean age, 56 y) who underwent preoperative contrast-enhanced CT [11 patients in HRCT with 0.25 mm detector matrix (Cannon Medical Systems) and 25 patients in conventional multidetector CT with 0.5 mm matrix] were included. A contrast agent dose of 600 mgI/kg was injected, and CT images were acquired at a fixed scan delay of 50 and 80 seconds. Adrenal venography and venous sampling were performed for the diagnosis of suspected primary hyperaldosteronism. The qualitative detectability of RAV on preoperative CT was assessed with adrenal venography as a reference. Clinical and imaging factors associated with a good detectability of RAV were analyzed via regression analysis. Optimal acquisition timing was assessed by analyzing the time-intensity curve and contrast enhancement pattern of the inferior vena cava using CT data from a separate cohort (n=5).</p><p><strong>Results: </strong>The qualitative detectability of RAV was deemed good in 15 patients and poor in 21 patients. Regression analysis revealed that only heterogeneous enhancement of inferior vena cava with bolus high attenuation, corresponding to an optimal acquisition timing from time-intensity curve analysis, was associated with a good detectability of RAV (odds ratio, 5.06). The use of HRCT was not statistically significant.</p><p><strong>Conclusions: </strong>Optimal acquisition timing is a crucial factor for the detectability of RAV in preprocedural CT for AVS, while high-resolution 0.25 detector CT appears to have limited significance.</p>\",\"PeriodicalId\":15402,\"journal\":{\"name\":\"Journal of Computer Assisted Tomography\",\"volume\":\" \",\"pages\":\"745-750\"},\"PeriodicalIF\":1.3000,\"publicationDate\":\"2025-09-01\",\"publicationTypes\":\"Journal Article\",\"fieldsOfStudy\":null,\"isOpenAccess\":false,\"openAccessPdf\":\"https://www.ncbi.nlm.nih.gov/pmc/articles/PMC12430825/pdf/\",\"citationCount\":\"0\",\"resultStr\":null,\"platform\":\"Semanticscholar\",\"paperid\":null,\"PeriodicalName\":\"Journal of Computer Assisted Tomography\",\"FirstCategoryId\":\"3\",\"ListUrlMain\":\"https://doi.org/10.1097/RCT.0000000000001727\",\"RegionNum\":4,\"RegionCategory\":\"医学\",\"ArticlePicture\":[],\"TitleCN\":null,\"AbstractTextCN\":null,\"PMCID\":null,\"EPubDate\":\"2025/1/27 0:00:00\",\"PubModel\":\"Epub\",\"JCR\":\"Q4\",\"JCRName\":\"RADIOLOGY, NUCLEAR MEDICINE & MEDICAL IMAGING\",\"Score\":null,\"Total\":0}","platform":"Semanticscholar","paperid":null,"PeriodicalName":"Journal of Computer Assisted Tomography","FirstCategoryId":"3","ListUrlMain":"https://doi.org/10.1097/RCT.0000000000001727","RegionNum":4,"RegionCategory":"医学","ArticlePicture":[],"TitleCN":null,"AbstractTextCN":null,"PMCID":null,"EPubDate":"2025/1/27 0:00:00","PubModel":"Epub","JCR":"Q4","JCRName":"RADIOLOGY, NUCLEAR MEDICINE & MEDICAL IMAGING","Score":null,"Total":0}
引用次数: 0

摘要

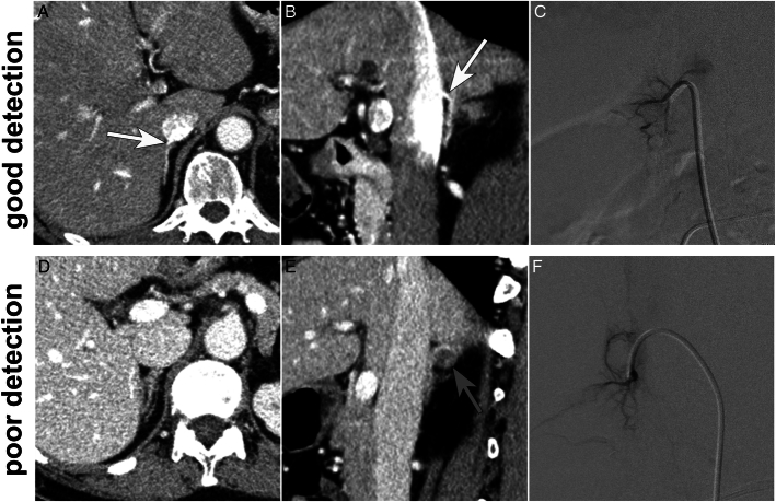
目的:在高分辨率CT (HRCT)时代,探讨影响右肾上腺静脉(RAV)在术前肾上腺静脉采样(AVS) CT增强扫描中可检出的相关因素。材料与方法:回顾性研究36例患者(男15例,女21例;术前行对比增强CT的患者(平均年龄56岁)[11例采用0.25 mm检测基质的HRCT (Cannon Medical Systems), 25例采用0.5 mm检测基质的常规多层CT]。注射造影剂剂量为600 mgI/kg,固定扫描延迟50和80秒获取CT图像。肾上腺静脉造影和静脉取样用于诊断疑似原发性高醛固酮增多症。术前以肾上腺静脉造影为参考,评估RAV在CT上的定性检出率。通过回归分析与RAV良好检出率相关的临床和影像学因素。利用单独队列(n=5)的CT数据,通过分析下腔静脉的时间-强度曲线和对比增强模式来评估最佳采集时间。结果:RAV定性检出率为良15例,劣21例。回归分析显示,只有下腔静脉非均质强化且具有大量高衰减,对应于时间-强度曲线分析的最佳采集时间,才与RAV的良好检出率相关(优势比为5.06)。HRCT的使用无统计学意义。结论:最佳采集时间是影响AVS术前CT检测RAV的关键因素,而高分辨率0.25探测器CT的检测意义有限。
本文章由计算机程序翻译,如有差异,请以英文原文为准。

High-resolution 0.25 mm Detector CT Has Limited Impact on Right Adrenal Vein Detectability in Preprocedural Contrast Enhanced CT for Adrenal Venous Sampling.

High-resolution 0.25 mm Detector CT Has Limited Impact on Right Adrenal Vein Detectability in Preprocedural Contrast Enhanced CT for Adrenal Venous Sampling.

High-resolution 0.25 mm Detector CT Has Limited Impact on Right Adrenal Vein Detectability in Preprocedural Contrast Enhanced CT for Adrenal Venous Sampling.

High-resolution 0.25 mm Detector CT Has Limited Impact on Right Adrenal Vein Detectability in Preprocedural Contrast Enhanced CT for Adrenal Venous Sampling.

Objective: This study aims to identify factors associated with the detectability of the right adrenal vein (RAV) on preoperative contrast-enhanced CT scans of adrenal venous sampling (AVS) in the era of high-resolution CT (HRCT).

Materials and methods: In this retrospective study, 36 patients (15 men and 21 women; mean age, 56 y) who underwent preoperative contrast-enhanced CT [11 patients in HRCT with 0.25 mm detector matrix (Cannon Medical Systems) and 25 patients in conventional multidetector CT with 0.5 mm matrix] were included. A contrast agent dose of 600 mgI/kg was injected, and CT images were acquired at a fixed scan delay of 50 and 80 seconds. Adrenal venography and venous sampling were performed for the diagnosis of suspected primary hyperaldosteronism. The qualitative detectability of RAV on preoperative CT was assessed with adrenal venography as a reference. Clinical and imaging factors associated with a good detectability of RAV were analyzed via regression analysis. Optimal acquisition timing was assessed by analyzing the time-intensity curve and contrast enhancement pattern of the inferior vena cava using CT data from a separate cohort (n=5).

Results: The qualitative detectability of RAV was deemed good in 15 patients and poor in 21 patients. Regression analysis revealed that only heterogeneous enhancement of inferior vena cava with bolus high attenuation, corresponding to an optimal acquisition timing from time-intensity curve analysis, was associated with a good detectability of RAV (odds ratio, 5.06). The use of HRCT was not statistically significant.

Conclusions: Optimal acquisition timing is a crucial factor for the detectability of RAV in preprocedural CT for AVS, while high-resolution 0.25 detector CT appears to have limited significance.

求助全文
通过发布文献求助,成功后即可免费获取论文全文。 去求助
来源期刊
CiteScore
2.50
自引率
0.00%
发文量
230
审稿时长
4-8 weeks
期刊介绍: The mission of Journal of Computer Assisted Tomography is to showcase the latest clinical and research developments in CT, MR, and closely related diagnostic techniques. We encourage submission of both original research and review articles that have immediate or promissory clinical applications. Topics of special interest include: 1) functional MR and CT of the brain and body; 2) advanced/innovative MRI techniques (diffusion, perfusion, rapid scanning); and 3) advanced/innovative CT techniques (perfusion, multi-energy, dose-reduction, and processing).
×
引用
GB/T 7714-2015
复制
MLA
复制
APA
复制
导出至
BibTeX EndNote RefMan NoteFirst NoteExpress
×
提示
您的信息不完整,为了账户安全,请先补充。
现在去补充
×
提示
您因"违规操作"
具体请查看互助需知
我知道了
×
提示
确定
请完成安全验证×
copy
已复制链接
快去分享给好友吧!
我知道了
右上角分享
点击右上角分享
0
联系我们:info@booksci.cn Book学术提供免费学术资源搜索服务,方便国内外学者检索中英文文献。致力于提供最便捷和优质的服务体验。 Copyright © 2023 布克学术 All rights reserved.
京ICP备2023020795号-1
ghs 京公网安备 11010802042870号
Book学术文献互助
Book学术文献互助群
群 号:604180095
Book学术官方微信