[Savolitinib诱导非小细胞肺癌MET扩增病理完全缓解1例报告]。

Q4 Medicine
Meng Lu, Ran Zhang, Baiwei Li, Haidi Xu, Yongkuan Guo, Jian You, Bingsheng Sun
{"title":"[Savolitinib诱导非小细胞肺癌MET扩增病理完全缓解1例报告]。","authors":"Meng Lu, Ran Zhang, Baiwei Li, Haidi Xu, Yongkuan Guo, Jian You, Bingsheng Sun","doi":"10.3779/j.issn.1009-3419.2024.102.36","DOIUrl":null,"url":null,"abstract":"<p><p>Mesenchymal-epithelial transition factor (MET) gene mutation is a large class of mutations commonly seen in non-small cell lung cancer (NSCLC). MET mutation includes subtypes such as MET exon 14 skipping mutation (METex14m) and MET amplification (METamp). For advanced NSCLC with METex14m, Savolitinib has a high sensitivity as a member of tyrosine kinase inhibitors (TKIs). METamp is a relatively rare genetic mutation type which can serve as a driver gene to mediate primary and later acquired drug resistance of epidermal growth factor receptor (EGFR)-TKIs. For advanced NSCLC with secondary METamp, EGFR-TKIs combined with MET-TKIs are usually used in clinical treatment, while the optimal treatment strategy for advanced NSCLC with primary METamp has not yet been determined. For locally advanced NSCLC patients with positive driver gene mutations such as EGFR, anaplastic lymphoma kinase (ALK) fusion and METex14m, there have been relevant cases reported that neoadjuvant targeted therapy could achieve a good prognosis, but there have been no cases of neoadjuvant targeted therapy for locally advanced NSCLC patients with METamp. This report describes a case of a locally advanced NSCLC patient with dual driver gene mutations (EGFR L858R combined with primary METamp), the tumor did not shrink after 1 month of Gefitinib monotherapy, but significantly subsided after 4 months of Savolitinib monotherapy. After radical surgery, the pathological results proved pathological complete response (pCR) of the tumor, and the patient had a good response to postoperative continual Savolitinib treatment, with no recurrence nor metastasis observed to date. This case reports the feasibility and effectiveness of neoadjuvant targeted therapy for locally advanced NSCLC with primary METamp, aiming to provide effective reference for perioperative treatment of locally advanced NSCLC with primary METamp.\u2029.</p>","PeriodicalId":39317,"journal":{"name":"中国肺癌杂志","volume":"27 11","pages":"873-877"},"PeriodicalIF":0.0000,"publicationDate":"2024-11-20","publicationTypes":"Journal Article","fieldsOfStudy":null,"isOpenAccess":false,"openAccessPdf":"https://www.ncbi.nlm.nih.gov/pmc/articles/PMC11732386/pdf/","citationCount":"0","resultStr":"{\"title\":\"[Savolitinib Induced Pathological Complete Response in Non-small Cell Lung Cancer with MET Amplification: A Case Report].\",\"authors\":\"Meng Lu, Ran Zhang, Baiwei Li, Haidi Xu, Yongkuan Guo, Jian You, Bingsheng Sun\",\"doi\":\"10.3779/j.issn.1009-3419.2024.102.36\",\"DOIUrl\":null,\"url\":null,\"abstract\":\"<p><p>Mesenchymal-epithelial transition factor (MET) gene mutation is a large class of mutations commonly seen in non-small cell lung cancer (NSCLC). MET mutation includes subtypes such as MET exon 14 skipping mutation (METex14m) and MET amplification (METamp). For advanced NSCLC with METex14m, Savolitinib has a high sensitivity as a member of tyrosine kinase inhibitors (TKIs). METamp is a relatively rare genetic mutation type which can serve as a driver gene to mediate primary and later acquired drug resistance of epidermal growth factor receptor (EGFR)-TKIs. For advanced NSCLC with secondary METamp, EGFR-TKIs combined with MET-TKIs are usually used in clinical treatment, while the optimal treatment strategy for advanced NSCLC with primary METamp has not yet been determined. For locally advanced NSCLC patients with positive driver gene mutations such as EGFR, anaplastic lymphoma kinase (ALK) fusion and METex14m, there have been relevant cases reported that neoadjuvant targeted therapy could achieve a good prognosis, but there have been no cases of neoadjuvant targeted therapy for locally advanced NSCLC patients with METamp. This report describes a case of a locally advanced NSCLC patient with dual driver gene mutations (EGFR L858R combined with primary METamp), the tumor did not shrink after 1 month of Gefitinib monotherapy, but significantly subsided after 4 months of Savolitinib monotherapy. After radical surgery, the pathological results proved pathological complete response (pCR) of the tumor, and the patient had a good response to postoperative continual Savolitinib treatment, with no recurrence nor metastasis observed to date. This case reports the feasibility and effectiveness of neoadjuvant targeted therapy for locally advanced NSCLC with primary METamp, aiming to provide effective reference for perioperative treatment of locally advanced NSCLC with primary METamp.\\u2029.</p>\",\"PeriodicalId\":39317,\"journal\":{\"name\":\"中国肺癌杂志\",\"volume\":\"27 11\",\"pages\":\"873-877\"},\"PeriodicalIF\":0.0000,\"publicationDate\":\"2024-11-20\",\"publicationTypes\":\"Journal Article\",\"fieldsOfStudy\":null,\"isOpenAccess\":false,\"openAccessPdf\":\"https://www.ncbi.nlm.nih.gov/pmc/articles/PMC11732386/pdf/\",\"citationCount\":\"0\",\"resultStr\":null,\"platform\":\"Semanticscholar\",\"paperid\":null,\"PeriodicalName\":\"中国肺癌杂志\",\"FirstCategoryId\":\"3\",\"ListUrlMain\":\"https://doi.org/10.3779/j.issn.1009-3419.2024.102.36\",\"RegionNum\":0,\"RegionCategory\":null,\"ArticlePicture\":[],\"TitleCN\":null,\"AbstractTextCN\":null,\"PMCID\":null,\"EPubDate\":\"\",\"PubModel\":\"\",\"JCR\":\"Q4\",\"JCRName\":\"Medicine\",\"Score\":null,\"Total\":0}","platform":"Semanticscholar","paperid":null,"PeriodicalName":"中国肺癌杂志","FirstCategoryId":"3","ListUrlMain":"https://doi.org/10.3779/j.issn.1009-3419.2024.102.36","RegionNum":0,"RegionCategory":null,"ArticlePicture":[],"TitleCN":null,"AbstractTextCN":null,"PMCID":null,"EPubDate":"","PubModel":"","JCR":"Q4","JCRName":"Medicine","Score":null,"Total":0}
引用次数: 0

摘要

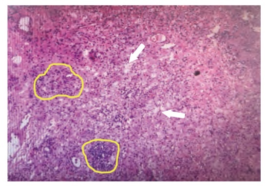
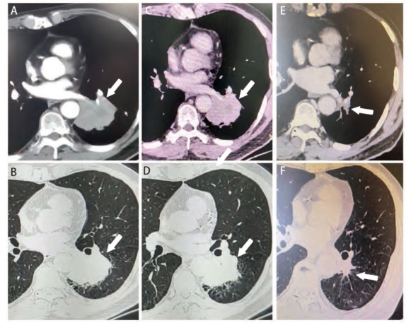
间充质上皮转化因子(MET)基因突变是一类常见于非小细胞肺癌(NSCLC)的突变。MET突变包括MET外显子14跳变(METex14m)和MET扩增(METamp)等亚型。对于METex14m的晚期NSCLC, Savolitinib作为酪氨酸激酶抑制剂(TKIs)的成员具有高敏感性。METamp是一种相对罕见的基因突变类型,可以作为介导表皮生长因子受体(EGFR)-TKIs的原发性和后期获得性耐药的驱动基因。对于继发性METamp的晚期NSCLC,临床治疗通常采用EGFR-TKIs联合MET-TKIs,而对于原发性METamp的晚期NSCLC的最佳治疗策略尚未确定。对于EGFR、间变性淋巴瘤激酶(ALK)融合、METex14m等驱动基因突变阳性的局部晚期NSCLC患者,已有相关病例报道新辅助靶向治疗可获得较好的预后,但尚未见METamp的局部晚期NSCLC患者新辅助靶向治疗的病例。本报告描述了一例局部晚期NSCLC双驱动基因突变(EGFR L858R合并原发性METamp)患者,吉非替尼单药治疗1个月后肿瘤未缩小,但萨伐利替尼单药治疗4个月后肿瘤明显消退。根治性手术后,病理结果证实肿瘤病理完全缓解(pCR),患者术后持续接受萨伐利替尼治疗反应良好,至今未见复发和转移。本病例报道了局部晚期NSCLC原发性METamp新辅助靶向治疗的可行性和有效性,旨在为局部晚期NSCLC原发性METamp围手术期治疗提供有效参考。
本文章由计算机程序翻译,如有差异,请以英文原文为准。

[Savolitinib Induced Pathological Complete Response in Non-small Cell Lung Cancer with MET Amplification: A Case Report].

[Savolitinib Induced Pathological Complete Response in Non-small Cell Lung Cancer with MET Amplification: A Case Report].

[Savolitinib Induced Pathological Complete Response in Non-small Cell Lung Cancer with MET Amplification: A Case Report].

[Savolitinib Induced Pathological Complete Response in Non-small Cell Lung Cancer with MET Amplification: A Case Report].

Mesenchymal-epithelial transition factor (MET) gene mutation is a large class of mutations commonly seen in non-small cell lung cancer (NSCLC). MET mutation includes subtypes such as MET exon 14 skipping mutation (METex14m) and MET amplification (METamp). For advanced NSCLC with METex14m, Savolitinib has a high sensitivity as a member of tyrosine kinase inhibitors (TKIs). METamp is a relatively rare genetic mutation type which can serve as a driver gene to mediate primary and later acquired drug resistance of epidermal growth factor receptor (EGFR)-TKIs. For advanced NSCLC with secondary METamp, EGFR-TKIs combined with MET-TKIs are usually used in clinical treatment, while the optimal treatment strategy for advanced NSCLC with primary METamp has not yet been determined. For locally advanced NSCLC patients with positive driver gene mutations such as EGFR, anaplastic lymphoma kinase (ALK) fusion and METex14m, there have been relevant cases reported that neoadjuvant targeted therapy could achieve a good prognosis, but there have been no cases of neoadjuvant targeted therapy for locally advanced NSCLC patients with METamp. This report describes a case of a locally advanced NSCLC patient with dual driver gene mutations (EGFR L858R combined with primary METamp), the tumor did not shrink after 1 month of Gefitinib monotherapy, but significantly subsided after 4 months of Savolitinib monotherapy. After radical surgery, the pathological results proved pathological complete response (pCR) of the tumor, and the patient had a good response to postoperative continual Savolitinib treatment, with no recurrence nor metastasis observed to date. This case reports the feasibility and effectiveness of neoadjuvant targeted therapy for locally advanced NSCLC with primary METamp, aiming to provide effective reference for perioperative treatment of locally advanced NSCLC with primary METamp.
.

求助全文
通过发布文献求助,成功后即可免费获取论文全文。 去求助
来源期刊
中国肺癌杂志
中国肺癌杂志 Medicine-Pulmonary and Respiratory Medicine
CiteScore
1.40
自引率
0.00%
发文量
5131
审稿时长
14 weeks
期刊介绍: Chinese Journal of Lung Cancer(CJLC, pISSN 1009-3419, eISSN 1999-6187), a monthly Open Access journal, is hosted by Chinese Anti-Cancer Association, Chinese Antituberculosis Association, Tianjin Medical University General Hospital. CJLC was indexed in DOAJ, EMBASE/SCOPUS, Chemical Abstract(CA), CSA-Biological Science, HINARI, EBSCO-CINAHL,CABI Abstract, Global Health, CNKI, etc. Editor-in-Chief: Professor Qinghua ZHOU.
×
引用
GB/T 7714-2015
复制
MLA
复制
APA
复制
导出至
BibTeX EndNote RefMan NoteFirst NoteExpress
×
提示
您的信息不完整,为了账户安全,请先补充。
现在去补充
×
提示
您因"违规操作"
具体请查看互助需知
我知道了
×
提示
确定
请完成安全验证×
copy
已复制链接
快去分享给好友吧!
我知道了
右上角分享
点击右上角分享
0
联系我们:info@booksci.cn Book学术提供免费学术资源搜索服务,方便国内外学者检索中英文文献。致力于提供最便捷和优质的服务体验。 Copyright © 2023 布克学术 All rights reserved.
京ICP备2023020795号-1
ghs 京公网安备 11010802042870号
Book学术文献互助
Book学术文献互助群
群 号:604180095
Book学术官方微信