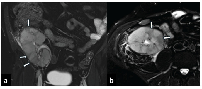
因子V Leiden杂合突变和高同型半胱氨酸血症表现为血管排斥和同种异体肾移植梗死。

IF 0.8 Q4 UROLOGY & NEPHROLOGY
Indian Journal of Nephrology Pub Date : 2025-01-01 Epub Date: 2024-06-12 DOI:10.25259/IJN_330_2024
Taruna Pahuja, Sukhwinder Singh Sangha, Akash Sarkar, Raj Kanwar Yadav
{"title":"因子V Leiden杂合突变和高同型半胱氨酸血症表现为血管排斥和同种异体肾移植梗死。","authors":"Taruna Pahuja, Sukhwinder Singh Sangha, Akash Sarkar, Raj Kanwar Yadav","doi":"10.25259/IJN_330_2024","DOIUrl":null,"url":null,"abstract":"","PeriodicalId":13359,"journal":{"name":"Indian Journal of Nephrology","volume":"35 1","pages":"117-118"},"PeriodicalIF":0.8000,"publicationDate":"2025-01-01","publicationTypes":"Journal Article","fieldsOfStudy":null,"isOpenAccess":false,"openAccessPdf":"https://www.ncbi.nlm.nih.gov/pmc/articles/PMC11762829/pdf/","citationCount":"0","resultStr":"{\"title\":\"Factor V Leiden Heterozygous Mutation and Hyperhomocysteinemia Presenting with Vascular Rejection and Renal Allograft Infarction.\",\"authors\":\"Taruna Pahuja, Sukhwinder Singh Sangha, Akash Sarkar, Raj Kanwar Yadav\",\"doi\":\"10.25259/IJN_330_2024\",\"DOIUrl\":null,\"url\":null,\"abstract\":\"\",\"PeriodicalId\":13359,\"journal\":{\"name\":\"Indian Journal of Nephrology\",\"volume\":\"35 1\",\"pages\":\"117-118\"},\"PeriodicalIF\":0.8000,\"publicationDate\":\"2025-01-01\",\"publicationTypes\":\"Journal Article\",\"fieldsOfStudy\":null,\"isOpenAccess\":false,\"openAccessPdf\":\"https://www.ncbi.nlm.nih.gov/pmc/articles/PMC11762829/pdf/\",\"citationCount\":\"0\",\"resultStr\":null,\"platform\":\"Semanticscholar\",\"paperid\":null,\"PeriodicalName\":\"Indian Journal of Nephrology\",\"FirstCategoryId\":\"1085\",\"ListUrlMain\":\"https://doi.org/10.25259/IJN_330_2024\",\"RegionNum\":0,\"RegionCategory\":null,\"ArticlePicture\":[],\"TitleCN\":null,\"AbstractTextCN\":null,\"PMCID\":null,\"EPubDate\":\"2024/6/12 0:00:00\",\"PubModel\":\"Epub\",\"JCR\":\"Q4\",\"JCRName\":\"UROLOGY & NEPHROLOGY\",\"Score\":null,\"Total\":0}","platform":"Semanticscholar","paperid":null,"PeriodicalName":"Indian Journal of Nephrology","FirstCategoryId":"1085","ListUrlMain":"https://doi.org/10.25259/IJN_330_2024","RegionNum":0,"RegionCategory":null,"ArticlePicture":[],"TitleCN":null,"AbstractTextCN":null,"PMCID":null,"EPubDate":"2024/6/12 0:00:00","PubModel":"Epub","JCR":"Q4","JCRName":"UROLOGY & NEPHROLOGY","Score":null,"Total":0}
引用次数: 0

摘要

本文章由计算机程序翻译,如有差异,请以英文原文为准。

Factor V Leiden Heterozygous Mutation and Hyperhomocysteinemia Presenting with Vascular Rejection and Renal Allograft Infarction.

Factor V Leiden Heterozygous Mutation and Hyperhomocysteinemia Presenting with Vascular Rejection and Renal Allograft Infarction.
求助全文
通过发布文献求助,成功后即可免费获取论文全文。 去求助
来源期刊
Indian Journal of Nephrology
Indian Journal of Nephrology UROLOGY & NEPHROLOGY-
CiteScore
1.40
自引率
0.00%
发文量
128
审稿时长
24 weeks
×
引用
GB/T 7714-2015
复制
MLA
复制
APA
复制
导出至
BibTeX EndNote RefMan NoteFirst NoteExpress
×
提示
您的信息不完整,为了账户安全,请先补充。
现在去补充
×
提示
您因"违规操作"
具体请查看互助需知
我知道了
×
提示
确定
请完成安全验证×
copy
已复制链接
快去分享给好友吧!
我知道了
右上角分享
点击右上角分享
0
联系我们:info@booksci.cn Book学术提供免费学术资源搜索服务,方便国内外学者检索中英文文献。致力于提供最便捷和优质的服务体验。 Copyright © 2023 布克学术 All rights reserved.
京ICP备2023020795号-1
ghs 京公网安备 11010802042870号
Book学术文献互助
Book学术文献互助群
群 号:604180095
Book学术官方微信