渗透性脱髓鞘综合征在正常血症背景下:1例报告和文献复习。

IF 0.9 Q4 CLINICAL NEUROLOGY
Case Reports in Neurological Medicine Pub Date : 2024-11-27 eCollection Date: 2024-01-01 DOI:10.1155/crnm/6626539
Rose V Zach, Jeffrey F Barletta, Victor Zach
{"title":"渗透性脱髓鞘综合征在正常血症背景下:1例报告和文献复习。","authors":"Rose V Zach, Jeffrey F Barletta, Victor Zach","doi":"10.1155/crnm/6626539","DOIUrl":null,"url":null,"abstract":"<p><p>Osmotic demyelination syndrome (ODS) is a rare complication associated with rapid sodium changes, typically encountered in patients with severe hyponatremia. ODS in patients with normonatremia (ODSIN) is less recognized. We describe a patient with MRI-detected ODSIN following neurotrauma and reviewed the relevant literature. We present a 57-year-old female with subdural hematoma following ground-level fall. Her initial sodium was 140 mEq/L but over 2 days, rose 17 mEq/L, peaking at 157 mEq/L. On exam, unexplainable, unexpected left-sided hemiplegia with weakness sparing her face were noted; ODS was suspected. MRI revealed central pontine T2 hyperintensity, T1 hypointensity, and FLAIR hyperintensity. Treatment included gradual lowering of sodium with normal saline and free water. She was discharged to a skilled nursing facility (SNF) with sodium 138 mEq/L and upon 4-year follow-up had moderate disability and required some assistance to support activities of daily living. Our literature search yielded 23 cases (22 normonatremic; 1 where normonatremia progressed to hypernatremia). Common signs/symptoms were hyperreflexia, dysarthria, and gait disturbance. Common comorbidities were alcoholism, dialysis, and renal disease/failure. Cranial MRI confirmed all cases, frequently revealing central pontine T2 and FLAIR hyperintensity and T1 hypointensity. Our review further characterizes the diverse etiologies, clinical course, and radiographic features of ODSIN. Clinicians should consider this diagnosis when neurological symptoms occur even in the setting of normonatremia.</p>","PeriodicalId":9615,"journal":{"name":"Case Reports in Neurological Medicine","volume":"2024 ","pages":"6626539"},"PeriodicalIF":0.9000,"publicationDate":"2024-11-27","publicationTypes":"Journal Article","fieldsOfStudy":null,"isOpenAccess":false,"openAccessPdf":"https://www.ncbi.nlm.nih.gov/pmc/articles/PMC11772055/pdf/","citationCount":"0","resultStr":"{\"title\":\"Osmotic Demyelination Syndrome in the Setting of Normonatremia: A Case Report and Review of the Literature.\",\"authors\":\"Rose V Zach, Jeffrey F Barletta, Victor Zach\",\"doi\":\"10.1155/crnm/6626539\",\"DOIUrl\":null,\"url\":null,\"abstract\":\"<p><p>Osmotic demyelination syndrome (ODS) is a rare complication associated with rapid sodium changes, typically encountered in patients with severe hyponatremia. ODS in patients with normonatremia (ODSIN) is less recognized. We describe a patient with MRI-detected ODSIN following neurotrauma and reviewed the relevant literature. We present a 57-year-old female with subdural hematoma following ground-level fall. Her initial sodium was 140 mEq/L but over 2 days, rose 17 mEq/L, peaking at 157 mEq/L. On exam, unexplainable, unexpected left-sided hemiplegia with weakness sparing her face were noted; ODS was suspected. MRI revealed central pontine T2 hyperintensity, T1 hypointensity, and FLAIR hyperintensity. Treatment included gradual lowering of sodium with normal saline and free water. She was discharged to a skilled nursing facility (SNF) with sodium 138 mEq/L and upon 4-year follow-up had moderate disability and required some assistance to support activities of daily living. Our literature search yielded 23 cases (22 normonatremic; 1 where normonatremia progressed to hypernatremia). Common signs/symptoms were hyperreflexia, dysarthria, and gait disturbance. Common comorbidities were alcoholism, dialysis, and renal disease/failure. Cranial MRI confirmed all cases, frequently revealing central pontine T2 and FLAIR hyperintensity and T1 hypointensity. Our review further characterizes the diverse etiologies, clinical course, and radiographic features of ODSIN. Clinicians should consider this diagnosis when neurological symptoms occur even in the setting of normonatremia.</p>\",\"PeriodicalId\":9615,\"journal\":{\"name\":\"Case Reports in Neurological Medicine\",\"volume\":\"2024 \",\"pages\":\"6626539\"},\"PeriodicalIF\":0.9000,\"publicationDate\":\"2024-11-27\",\"publicationTypes\":\"Journal Article\",\"fieldsOfStudy\":null,\"isOpenAccess\":false,\"openAccessPdf\":\"https://www.ncbi.nlm.nih.gov/pmc/articles/PMC11772055/pdf/\",\"citationCount\":\"0\",\"resultStr\":null,\"platform\":\"Semanticscholar\",\"paperid\":null,\"PeriodicalName\":\"Case Reports in Neurological Medicine\",\"FirstCategoryId\":\"1085\",\"ListUrlMain\":\"https://doi.org/10.1155/crnm/6626539\",\"RegionNum\":0,\"RegionCategory\":null,\"ArticlePicture\":[],\"TitleCN\":null,\"AbstractTextCN\":null,\"PMCID\":null,\"EPubDate\":\"2024/1/1 0:00:00\",\"PubModel\":\"eCollection\",\"JCR\":\"Q4\",\"JCRName\":\"CLINICAL NEUROLOGY\",\"Score\":null,\"Total\":0}","platform":"Semanticscholar","paperid":null,"PeriodicalName":"Case Reports in Neurological Medicine","FirstCategoryId":"1085","ListUrlMain":"https://doi.org/10.1155/crnm/6626539","RegionNum":0,"RegionCategory":null,"ArticlePicture":[],"TitleCN":null,"AbstractTextCN":null,"PMCID":null,"EPubDate":"2024/1/1 0:00:00","PubModel":"eCollection","JCR":"Q4","JCRName":"CLINICAL NEUROLOGY","Score":null,"Total":0}
引用次数: 0

摘要

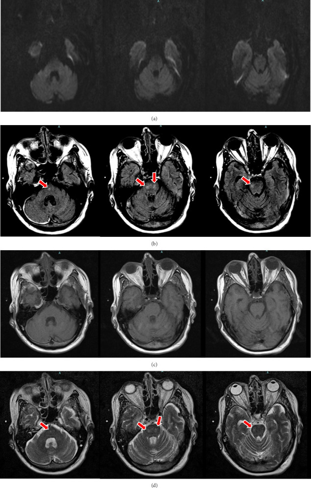
渗透性脱髓鞘综合征(ODS)是一种与钠快速变化有关的罕见并发症,通常发生在严重低钠血症患者身上。而正常血钠患者的脱髓鞘综合征(ODSIN)则较少被提及。我们描述了一名神经创伤后经磁共振成像检测出 ODSIN 的患者,并回顾了相关文献。我们介绍了一名 57 岁女性患者,她在地面摔倒后出现硬膜下血肿。她最初的血钠值为 140 mEq/L,但在两天内上升了 17 mEq/L,最高时达到 157 mEq/L。检查发现,她有无法解释的、意外的左侧偏瘫,面部无力;怀疑是 ODS。磁共振成像显示中央桥脑 T2 高密度、T1 低密度和 FLAIR 高密度。治疗包括用生理盐水和自由水逐步降低钠含量。她出院后住进了一家专业护理机构(SNF),血钠为 138 mEq/L,4 年随访发现她有中度残疾,日常生活需要他人协助。通过文献检索,我们发现了 23 个病例(22 例为正常血钠;1 例由正常血钠发展为高钠血症)。常见体征/症状为反射亢进、构音障碍和步态障碍。常见合并症为酗酒、透析和肾脏疾病/衰竭。头颅磁共振成像证实了所有病例,经常发现中央桥脑T2和FLAIR高密度和T1低密度。我们的综述进一步描述了 ODSIN 的不同病因、临床过程和影像学特征。即使在血钠正常的情况下,当出现神经系统症状时,临床医生也应考虑这一诊断。
本文章由计算机程序翻译,如有差异,请以英文原文为准。

Osmotic Demyelination Syndrome in the Setting of Normonatremia: A Case Report and Review of the Literature.

Osmotic Demyelination Syndrome in the Setting of Normonatremia: A Case Report and Review of the Literature.

Osmotic Demyelination Syndrome in the Setting of Normonatremia: A Case Report and Review of the Literature.

Osmotic demyelination syndrome (ODS) is a rare complication associated with rapid sodium changes, typically encountered in patients with severe hyponatremia. ODS in patients with normonatremia (ODSIN) is less recognized. We describe a patient with MRI-detected ODSIN following neurotrauma and reviewed the relevant literature. We present a 57-year-old female with subdural hematoma following ground-level fall. Her initial sodium was 140 mEq/L but over 2 days, rose 17 mEq/L, peaking at 157 mEq/L. On exam, unexplainable, unexpected left-sided hemiplegia with weakness sparing her face were noted; ODS was suspected. MRI revealed central pontine T2 hyperintensity, T1 hypointensity, and FLAIR hyperintensity. Treatment included gradual lowering of sodium with normal saline and free water. She was discharged to a skilled nursing facility (SNF) with sodium 138 mEq/L and upon 4-year follow-up had moderate disability and required some assistance to support activities of daily living. Our literature search yielded 23 cases (22 normonatremic; 1 where normonatremia progressed to hypernatremia). Common signs/symptoms were hyperreflexia, dysarthria, and gait disturbance. Common comorbidities were alcoholism, dialysis, and renal disease/failure. Cranial MRI confirmed all cases, frequently revealing central pontine T2 and FLAIR hyperintensity and T1 hypointensity. Our review further characterizes the diverse etiologies, clinical course, and radiographic features of ODSIN. Clinicians should consider this diagnosis when neurological symptoms occur even in the setting of normonatremia.

求助全文
通过发布文献求助,成功后即可免费获取论文全文。 去求助
来源期刊
自引率
0.00%
发文量
26
审稿时长
11 weeks
×
引用
GB/T 7714-2015
复制
MLA
复制
APA
复制
导出至
BibTeX EndNote RefMan NoteFirst NoteExpress
×
提示
您的信息不完整,为了账户安全,请先补充。
现在去补充
×
提示
您因"违规操作"
具体请查看互助需知
我知道了
×
提示
确定
请完成安全验证×
copy
已复制链接
快去分享给好友吧!
我知道了
右上角分享
点击右上角分享
0
联系我们:info@booksci.cn Book学术提供免费学术资源搜索服务,方便国内外学者检索中英文文献。致力于提供最便捷和优质的服务体验。 Copyright © 2023 布克学术 All rights reserved.
京ICP备2023020795号-1
ghs 京公网安备 11010802042870号
Book学术文献互助
Book学术文献互助群
群 号:604180095
Book学术官方微信