[寻找新的胰岛素瘤免疫组化和循环标记物]。

M Yu Yukina, E A Troshina, L S Urusova, N F Nuralieva, L V Nikankina, V A Ioutsi, O Yu Rebrova, N G Mokrysheva
{"title":"[寻找新的胰岛素瘤免疫组化和循环标记物]。","authors":"M Yu Yukina, E A Troshina, L S Urusova, N F Nuralieva, L V Nikankina, V A Ioutsi, O Yu Rebrova, N G Mokrysheva","doi":"10.14341/probl13466","DOIUrl":null,"url":null,"abstract":"<p><strong>Background: </strong>Insulinoma is a neuroendocrine tumor, the main manifestation of which is hypoglycemia. However, the symptoms of hypoglycemia can be non-specific for a long time, especially outside provocative conditions, and quite often the tumor manifests from a life-threatening condition - hypoglycemic coma. In this regard, timely laboratory diagnosis of insulinoma and determination of its aggressive course is one of the priorities in modern researches.</p><p><strong>Aim: </strong>Search for new immunohistochemical (IHC) and circulating markers (CM) of insulinoma, including its aggressive course.</p><p><strong>Materials and methods: </strong>The patients examined at the Endocrinology Research Centre in the period 2017-2022 and operated on for an insulin-producing tumor were included. Before surgery and 2-12 months after it, blood sampling was performed with the determination of targeted marker proteins. Some patients underwent an extended IHC examination of the tumor, surrounding tissue and islets of Langerhans with primary antibodies to target marker proteins with an assessment of the degree of their expression. To determine the aggressive course of the tumor, the degree of malignancy (Grade), the number of tumors and signs of recurrence were characterized.</p><p><strong>Results: </strong>Based on the analysis of literature and pathogenetic characteristics of insulinoma, the following candidates for targeted marker proteins were selected: cocaine and amphetamine-regulated transcript (CART), chromogranin B (CrB), neuroendocrine secretory protein 55 (NESP55), glucagon-like peptide 1 (GLP1), arylalkylamine-N-acetyltransferase (AA-NAT), melatonin, and, exclusively for IHC research, protein D52 (TPD52), as well as receptors for glucagon-like peptide-1 (rGLP1) and melatonin (MTNR1b). 41 patients were included in the study, of which 10 patients underwent an extended IHC study. In patients with both aggressive and non-aggressive insulinoma after surgical treatment, CM levels did not change significantly and in individual patients they could both increase and decrease, including those patients with the expression of the corresponding marker in tumor tissue. It was shown that CART was expressed only in the tumor (in 4/10 of cases), while MTNR1b and rGLP1 were expressed in the tumor (in 6/10 and 10/10, respectively) and the islets of Langerhans (in 5/9 and 9/9, respectively). The association of marker expression with the aggressiveness of the course of insulinoma has not been revealed.</p><p><strong>Conclusion: </strong>The markers CART, MTNR1b and rGLP1 are of primary interest for further study in a larger sample of patients with insulinoma. Other markers (TPD52, XgB, NESP55, melatonin, AA-NAT) have not been shown to be associated with an insulin-producing tumor, therefore they are not promising for future researches. At the same time, it is necessary to continue research aimed at finding new both circulating and IHC markers in order to early diagnose the manifestation of the disease and its recurrence, and more accurately determine the malignant and proliferative potential of the tumor.</p>","PeriodicalId":101419,"journal":{"name":"Problemy endokrinologii","volume":"70 6","pages":"15-26"},"PeriodicalIF":0.0000,"publicationDate":"2024-05-13","publicationTypes":"Journal Article","fieldsOfStudy":null,"isOpenAccess":false,"openAccessPdf":"https://www.ncbi.nlm.nih.gov/pmc/articles/PMC11775719/pdf/","citationCount":"0","resultStr":"{\"title\":\"[Search for new immunohistochemical and circulating markers of insulinoma].\",\"authors\":\"M Yu Yukina, E A Troshina, L S Urusova, N F Nuralieva, L V Nikankina, V A Ioutsi, O Yu Rebrova, N G Mokrysheva\",\"doi\":\"10.14341/probl13466\",\"DOIUrl\":null,\"url\":null,\"abstract\":\"<p><strong>Background: </strong>Insulinoma is a neuroendocrine tumor, the main manifestation of which is hypoglycemia. However, the symptoms of hypoglycemia can be non-specific for a long time, especially outside provocative conditions, and quite often the tumor manifests from a life-threatening condition - hypoglycemic coma. In this regard, timely laboratory diagnosis of insulinoma and determination of its aggressive course is one of the priorities in modern researches.</p><p><strong>Aim: </strong>Search for new immunohistochemical (IHC) and circulating markers (CM) of insulinoma, including its aggressive course.</p><p><strong>Materials and methods: </strong>The patients examined at the Endocrinology Research Centre in the period 2017-2022 and operated on for an insulin-producing tumor were included. Before surgery and 2-12 months after it, blood sampling was performed with the determination of targeted marker proteins. Some patients underwent an extended IHC examination of the tumor, surrounding tissue and islets of Langerhans with primary antibodies to target marker proteins with an assessment of the degree of their expression. To determine the aggressive course of the tumor, the degree of malignancy (Grade), the number of tumors and signs of recurrence were characterized.</p><p><strong>Results: </strong>Based on the analysis of literature and pathogenetic characteristics of insulinoma, the following candidates for targeted marker proteins were selected: cocaine and amphetamine-regulated transcript (CART), chromogranin B (CrB), neuroendocrine secretory protein 55 (NESP55), glucagon-like peptide 1 (GLP1), arylalkylamine-N-acetyltransferase (AA-NAT), melatonin, and, exclusively for IHC research, protein D52 (TPD52), as well as receptors for glucagon-like peptide-1 (rGLP1) and melatonin (MTNR1b). 41 patients were included in the study, of which 10 patients underwent an extended IHC study. In patients with both aggressive and non-aggressive insulinoma after surgical treatment, CM levels did not change significantly and in individual patients they could both increase and decrease, including those patients with the expression of the corresponding marker in tumor tissue. It was shown that CART was expressed only in the tumor (in 4/10 of cases), while MTNR1b and rGLP1 were expressed in the tumor (in 6/10 and 10/10, respectively) and the islets of Langerhans (in 5/9 and 9/9, respectively). The association of marker expression with the aggressiveness of the course of insulinoma has not been revealed.</p><p><strong>Conclusion: </strong>The markers CART, MTNR1b and rGLP1 are of primary interest for further study in a larger sample of patients with insulinoma. Other markers (TPD52, XgB, NESP55, melatonin, AA-NAT) have not been shown to be associated with an insulin-producing tumor, therefore they are not promising for future researches. At the same time, it is necessary to continue research aimed at finding new both circulating and IHC markers in order to early diagnose the manifestation of the disease and its recurrence, and more accurately determine the malignant and proliferative potential of the tumor.</p>\",\"PeriodicalId\":101419,\"journal\":{\"name\":\"Problemy endokrinologii\",\"volume\":\"70 6\",\"pages\":\"15-26\"},\"PeriodicalIF\":0.0000,\"publicationDate\":\"2024-05-13\",\"publicationTypes\":\"Journal Article\",\"fieldsOfStudy\":null,\"isOpenAccess\":false,\"openAccessPdf\":\"https://www.ncbi.nlm.nih.gov/pmc/articles/PMC11775719/pdf/\",\"citationCount\":\"0\",\"resultStr\":null,\"platform\":\"Semanticscholar\",\"paperid\":null,\"PeriodicalName\":\"Problemy endokrinologii\",\"FirstCategoryId\":\"1085\",\"ListUrlMain\":\"https://doi.org/10.14341/probl13466\",\"RegionNum\":0,\"RegionCategory\":null,\"ArticlePicture\":[],\"TitleCN\":null,\"AbstractTextCN\":null,\"PMCID\":null,\"EPubDate\":\"\",\"PubModel\":\"\",\"JCR\":\"\",\"JCRName\":\"\",\"Score\":null,\"Total\":0}","platform":"Semanticscholar","paperid":null,"PeriodicalName":"Problemy endokrinologii","FirstCategoryId":"1085","ListUrlMain":"https://doi.org/10.14341/probl13466","RegionNum":0,"RegionCategory":null,"ArticlePicture":[],"TitleCN":null,"AbstractTextCN":null,"PMCID":null,"EPubDate":"","PubModel":"","JCR":"","JCRName":"","Score":null,"Total":0}
引用次数: 0

摘要

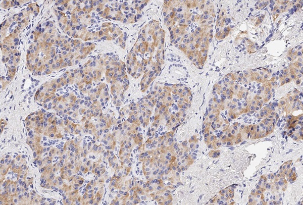
背景:胰岛素瘤是一种以低血糖为主要表现的神经内分泌肿瘤。然而,低血糖的症状可能在很长一段时间内都是非特异性的,特别是在外界刺激的条件下,而且通常肿瘤表现为危及生命的状态——低血糖昏迷。在这方面,及时的实验室诊断胰岛素瘤并确定其侵袭过程是现代研究的重点之一。目的:寻找新的胰岛素瘤免疫组化(IHC)和循环标志物(CM),包括其侵袭过程。材料和方法:纳入2017-2022年在内分泌研究中心检查并因胰岛素产生肿瘤进行手术的患者。术前及术后2-12个月采血,测定目标标记蛋白。一些患者对肿瘤、周围组织和朗格汉斯胰岛进行了广泛的免疫组化检查,并对目标标记蛋白进行了一抗,并评估了其表达程度。为了确定肿瘤的侵袭过程,肿瘤的恶性程度(分级),肿瘤的数量和复发的迹象被表征。结果:通过文献分析和胰岛素瘤的发病特点,筛选出以下候选靶向标记蛋白:可卡因和安非他明调节转录物(CART)、嗜铬粒蛋白B (CrB)、神经内分泌分泌蛋白55 (NESP55)、胰高血糖素样肽1 (GLP1)、烷基胺- n-乙酰转移酶(AA-NAT)、褪黑激素,以及专门用于IHC研究的蛋白D52 (TPD52),以及胰高血糖素样肽-1 (rGLP1)和褪黑激素(MTNR1b)受体。41例患者纳入研究,其中10例患者进行了扩展的免疫组化研究。在侵袭性和非侵袭性胰岛素瘤患者手术治疗后,CM水平没有明显变化,个别患者的CM水平可以升高或降低,包括在肿瘤组织中表达相应标记物的患者。结果表明,CART仅在肿瘤中表达(4/10),而MTNR1b和rGLP1在肿瘤中表达(分别为6/10和10/10),在朗格汉斯胰岛中表达(分别为5/9和9/9)。标志物表达与胰岛素瘤病程侵袭性的关系尚未被揭示。结论:CART、MTNR1b和rGLP1标记物是在更大样本的胰岛素瘤患者中进一步研究的主要兴趣。其他标记物(TPD52、XgB、NESP55、褪黑激素、AA-NAT)尚未被证明与胰岛素生成肿瘤相关,因此它们在未来的研究中不太有希望。同时,为了早期诊断疾病的表现及其复发,更准确地判断肿瘤的恶性和增殖潜能,有必要继续研究寻找新的循环和免疫结构标志物。
本文章由计算机程序翻译,如有差异,请以英文原文为准。

[Search for new immunohistochemical and circulating markers of insulinoma].

[Search for new immunohistochemical and circulating markers of insulinoma].

[Search for new immunohistochemical and circulating markers of insulinoma].

[Search for new immunohistochemical and circulating markers of insulinoma].

Background: Insulinoma is a neuroendocrine tumor, the main manifestation of which is hypoglycemia. However, the symptoms of hypoglycemia can be non-specific for a long time, especially outside provocative conditions, and quite often the tumor manifests from a life-threatening condition - hypoglycemic coma. In this regard, timely laboratory diagnosis of insulinoma and determination of its aggressive course is one of the priorities in modern researches.

Aim: Search for new immunohistochemical (IHC) and circulating markers (CM) of insulinoma, including its aggressive course.

Materials and methods: The patients examined at the Endocrinology Research Centre in the period 2017-2022 and operated on for an insulin-producing tumor were included. Before surgery and 2-12 months after it, blood sampling was performed with the determination of targeted marker proteins. Some patients underwent an extended IHC examination of the tumor, surrounding tissue and islets of Langerhans with primary antibodies to target marker proteins with an assessment of the degree of their expression. To determine the aggressive course of the tumor, the degree of malignancy (Grade), the number of tumors and signs of recurrence were characterized.

Results: Based on the analysis of literature and pathogenetic characteristics of insulinoma, the following candidates for targeted marker proteins were selected: cocaine and amphetamine-regulated transcript (CART), chromogranin B (CrB), neuroendocrine secretory protein 55 (NESP55), glucagon-like peptide 1 (GLP1), arylalkylamine-N-acetyltransferase (AA-NAT), melatonin, and, exclusively for IHC research, protein D52 (TPD52), as well as receptors for glucagon-like peptide-1 (rGLP1) and melatonin (MTNR1b). 41 patients were included in the study, of which 10 patients underwent an extended IHC study. In patients with both aggressive and non-aggressive insulinoma after surgical treatment, CM levels did not change significantly and in individual patients they could both increase and decrease, including those patients with the expression of the corresponding marker in tumor tissue. It was shown that CART was expressed only in the tumor (in 4/10 of cases), while MTNR1b and rGLP1 were expressed in the tumor (in 6/10 and 10/10, respectively) and the islets of Langerhans (in 5/9 and 9/9, respectively). The association of marker expression with the aggressiveness of the course of insulinoma has not been revealed.

Conclusion: The markers CART, MTNR1b and rGLP1 are of primary interest for further study in a larger sample of patients with insulinoma. Other markers (TPD52, XgB, NESP55, melatonin, AA-NAT) have not been shown to be associated with an insulin-producing tumor, therefore they are not promising for future researches. At the same time, it is necessary to continue research aimed at finding new both circulating and IHC markers in order to early diagnose the manifestation of the disease and its recurrence, and more accurately determine the malignant and proliferative potential of the tumor.

求助全文
通过发布文献求助,成功后即可免费获取论文全文。 去求助
来源期刊
自引率
0.00%
发文量
0
×
引用
GB/T 7714-2015
复制
MLA
复制
APA
复制
导出至
BibTeX EndNote RefMan NoteFirst NoteExpress
×
提示
您的信息不完整,为了账户安全,请先补充。
现在去补充
×
提示
您因"违规操作"
具体请查看互助需知
我知道了
×
提示
确定
请完成安全验证×
copy
已复制链接
快去分享给好友吧!
我知道了
右上角分享
点击右上角分享
0
联系我们:info@booksci.cn Book学术提供免费学术资源搜索服务,方便国内外学者检索中英文文献。致力于提供最便捷和优质的服务体验。 Copyright © 2023 布克学术 All rights reserved.
京ICP备2023020795号-1
ghs 京公网安备 11010802042870号
Book学术文献互助
Book学术文献互助群
群 号:604180095
Book学术官方微信