胰胸膜瘘:复发性胸腔积液的罕见原因。

IF 0.7 Q4 RESPIRATORY SYSTEM
Zehra Dhanani , Stephen Dachert
{"title":"胰胸膜瘘:复发性胸腔积液的罕见原因。","authors":"Zehra Dhanani ,&nbsp;Stephen Dachert","doi":"10.1016/j.rmcr.2024.102163","DOIUrl":null,"url":null,"abstract":"<div><div>Pancreatopleural fistulas, rare complications of chronic pancreatitis, are often overlooked in the initial differential diagnoses of pleural effusions, resulting in delayed diagnosis and management. We present the case of an elderly male with recurrent pleural effusion and a history of chronic pancreatitis. Diagnostic challenges arose, with the initial misdiagnosis as pneumonia. Elevated pleural fluid amylase levels (11,370U/L) along with imaging findings led to the diagnosis of a pancreatopleural fistula. This case underscores the importance of considering uncommon etiologies in pleural effusions and highlights the significance of high pleural fluid amylase levels in diagnosing pancreatopleural fistulas.</div></div>","PeriodicalId":51565,"journal":{"name":"Respiratory Medicine Case Reports","volume":"53 ","pages":"Article 102163"},"PeriodicalIF":0.7000,"publicationDate":"2025-01-01","publicationTypes":"Journal Article","fieldsOfStudy":null,"isOpenAccess":false,"openAccessPdf":"https://www.ncbi.nlm.nih.gov/pmc/articles/PMC11757768/pdf/","citationCount":"0","resultStr":"{\"title\":\"Pancreatopleural fistula: A rare cause of recurrent pleural effusion\",\"authors\":\"Zehra Dhanani ,&nbsp;Stephen Dachert\",\"doi\":\"10.1016/j.rmcr.2024.102163\",\"DOIUrl\":null,\"url\":null,\"abstract\":\"<div><div>Pancreatopleural fistulas, rare complications of chronic pancreatitis, are often overlooked in the initial differential diagnoses of pleural effusions, resulting in delayed diagnosis and management. We present the case of an elderly male with recurrent pleural effusion and a history of chronic pancreatitis. Diagnostic challenges arose, with the initial misdiagnosis as pneumonia. Elevated pleural fluid amylase levels (11,370U/L) along with imaging findings led to the diagnosis of a pancreatopleural fistula. This case underscores the importance of considering uncommon etiologies in pleural effusions and highlights the significance of high pleural fluid amylase levels in diagnosing pancreatopleural fistulas.</div></div>\",\"PeriodicalId\":51565,\"journal\":{\"name\":\"Respiratory Medicine Case Reports\",\"volume\":\"53 \",\"pages\":\"Article 102163\"},\"PeriodicalIF\":0.7000,\"publicationDate\":\"2025-01-01\",\"publicationTypes\":\"Journal Article\",\"fieldsOfStudy\":null,\"isOpenAccess\":false,\"openAccessPdf\":\"https://www.ncbi.nlm.nih.gov/pmc/articles/PMC11757768/pdf/\",\"citationCount\":\"0\",\"resultStr\":null,\"platform\":\"Semanticscholar\",\"paperid\":null,\"PeriodicalName\":\"Respiratory Medicine Case Reports\",\"FirstCategoryId\":\"1085\",\"ListUrlMain\":\"https://www.sciencedirect.com/science/article/pii/S2213007124001862\",\"RegionNum\":0,\"RegionCategory\":null,\"ArticlePicture\":[],\"TitleCN\":null,\"AbstractTextCN\":null,\"PMCID\":null,\"EPubDate\":\"\",\"PubModel\":\"\",\"JCR\":\"Q4\",\"JCRName\":\"RESPIRATORY SYSTEM\",\"Score\":null,\"Total\":0}","platform":"Semanticscholar","paperid":null,"PeriodicalName":"Respiratory Medicine Case Reports","FirstCategoryId":"1085","ListUrlMain":"https://www.sciencedirect.com/science/article/pii/S2213007124001862","RegionNum":0,"RegionCategory":null,"ArticlePicture":[],"TitleCN":null,"AbstractTextCN":null,"PMCID":null,"EPubDate":"","PubModel":"","JCR":"Q4","JCRName":"RESPIRATORY SYSTEM","Score":null,"Total":0}
引用次数: 0

摘要

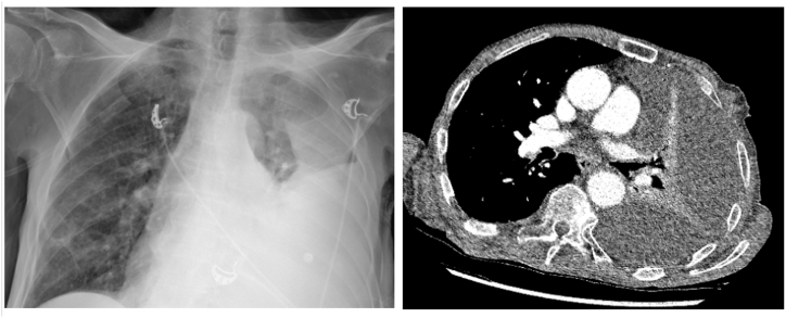
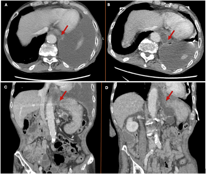
胰胸膜瘘是慢性胰腺炎的罕见并发症,在胸膜积液的初始鉴别诊断中往往被忽视,导致诊断和治疗延迟。我们提出的情况下,老年男性复发性胸腔积液和慢性胰腺炎的历史。诊断方面出现了挑战,最初误诊为肺炎。胸膜液淀粉酶水平升高(11370 u /L)及影像学表现可诊断为胰胸膜瘘。本病例强调了考虑胸腔积液不常见病因的重要性,并强调了高胸膜淀粉酶水平在诊断胰胸膜瘘中的意义。
本文章由计算机程序翻译,如有差异,请以英文原文为准。

Pancreatopleural fistula: A rare cause of recurrent pleural effusion

Pancreatopleural fistula: A rare cause of recurrent pleural effusion

Pancreatopleural fistula: A rare cause of recurrent pleural effusion

Pancreatopleural fistula: A rare cause of recurrent pleural effusion
Pancreatopleural fistulas, rare complications of chronic pancreatitis, are often overlooked in the initial differential diagnoses of pleural effusions, resulting in delayed diagnosis and management. We present the case of an elderly male with recurrent pleural effusion and a history of chronic pancreatitis. Diagnostic challenges arose, with the initial misdiagnosis as pneumonia. Elevated pleural fluid amylase levels (11,370U/L) along with imaging findings led to the diagnosis of a pancreatopleural fistula. This case underscores the importance of considering uncommon etiologies in pleural effusions and highlights the significance of high pleural fluid amylase levels in diagnosing pancreatopleural fistulas.
求助全文
通过发布文献求助,成功后即可免费获取论文全文。 去求助
来源期刊
Respiratory Medicine Case Reports
Respiratory Medicine Case Reports RESPIRATORY SYSTEM-
CiteScore
2.10
自引率
0.00%
发文量
213
审稿时长
87 days
×
引用
GB/T 7714-2015
复制
MLA
复制
APA
复制
导出至
BibTeX EndNote RefMan NoteFirst NoteExpress
×
提示
您的信息不完整,为了账户安全,请先补充。
现在去补充
×
提示
您因"违规操作"
具体请查看互助需知
我知道了
×
提示
确定
请完成安全验证×
copy
已复制链接
快去分享给好友吧!
我知道了
右上角分享
点击右上角分享
0
联系我们:info@booksci.cn Book学术提供免费学术资源搜索服务,方便国内外学者检索中英文文献。致力于提供最便捷和优质的服务体验。 Copyright © 2023 布克学术 All rights reserved.
京ICP备2023020795号-1
ghs 京公网安备 11010802042870号
Book学术文献互助
Book学术文献互助群
群 号:604180095
Book学术官方微信