多微生物感染表现为非梭状芽孢杆菌气坏疽患者开放盆腔环骨折伴腹部内脏:一个病例报告。

IF 0.7 Q3 MEDICINE, GENERAL & INTERNAL
AME Case Reports Pub Date : 2024-11-27 eCollection Date: 2025-01-01 DOI:10.21037/acr-24-128
Kenichi Takeno, Motoki Sugano, Yasuo Kokubo
{"title":"多微生物感染表现为非梭状芽孢杆菌气坏疽患者开放盆腔环骨折伴腹部内脏:一个病例报告。","authors":"Kenichi Takeno, Motoki Sugano, Yasuo Kokubo","doi":"10.21037/acr-24-128","DOIUrl":null,"url":null,"abstract":"<p><strong>Background: </strong>Open pelvic fractures are rare but represent a serious clinical problem with high mortality rates. Acute mortality is often associated with hemorrhage, whereas delayed mortality is most often associated with sepsis and multiple organ failure. We report a case of Wang's classification of type II open pelvic ring fracture with hemorrhagic shock and septic shock from gas gangrene.</p><p><strong>Case description: </strong>A healthy 41-year-old man presented with an open pelvic ring fracture and a laceration in the lower abdomen sustained at an ironworks. His hemodynamic status was unstable. Pelvic ring stabilization with an external fixator, ligation of the median sacral and bilateral internal iliac arteries, partial resection of the ileum, appendectomy, and intra-abdominal pelvic packing were performed. Seven days after the injury, he developed a single spike fever of 39.8 ℃ with a significant pus discharge from the open wound around his groin. A computed tomography scan revealed an accumulation of gas around the sacroiliac joint, in the abdominal cavity, and the adductors and gluteus maximus muscles caused by non-clostridial gas gangrene. We performed surgical debridement three times and initiated vancomycin administration. Hyperbaric oxygen therapy was also initiated as an adjunctive therapy. The patient could walk with a cane 5 months after the injury.</p><p><strong>Conclusions: </strong>We described a multidisciplinary case of a patient with a Wang type II open pelvic fracture who required emergent damage control and subsequently developed anaerobic sepsis. Bleeding was controlled by packing gauze into the intraperitoneal cavity and applying external fixation to the pelvic ring. However, it is important to administer prophylactic antibiotics against anaerobic bacteria and to detect subsequent infections early when packing gauze into the intraperitoneal cavity in patients with open pelvic fractures.</p>","PeriodicalId":29752,"journal":{"name":"AME Case Reports","volume":"9 ","pages":"29"},"PeriodicalIF":0.7000,"publicationDate":"2024-11-27","publicationTypes":"Journal Article","fieldsOfStudy":null,"isOpenAccess":false,"openAccessPdf":"https://www.ncbi.nlm.nih.gov/pmc/articles/PMC11759928/pdf/","citationCount":"0","resultStr":"{\"title\":\"Polymicrobial infection presenting as non-clostridial gas gangrene in a patient with an open pelvic ring fracture accompanied by abdominal evisceration: a case report.\",\"authors\":\"Kenichi Takeno, Motoki Sugano, Yasuo Kokubo\",\"doi\":\"10.21037/acr-24-128\",\"DOIUrl\":null,\"url\":null,\"abstract\":\"<p><strong>Background: </strong>Open pelvic fractures are rare but represent a serious clinical problem with high mortality rates. Acute mortality is often associated with hemorrhage, whereas delayed mortality is most often associated with sepsis and multiple organ failure. We report a case of Wang's classification of type II open pelvic ring fracture with hemorrhagic shock and septic shock from gas gangrene.</p><p><strong>Case description: </strong>A healthy 41-year-old man presented with an open pelvic ring fracture and a laceration in the lower abdomen sustained at an ironworks. His hemodynamic status was unstable. Pelvic ring stabilization with an external fixator, ligation of the median sacral and bilateral internal iliac arteries, partial resection of the ileum, appendectomy, and intra-abdominal pelvic packing were performed. Seven days after the injury, he developed a single spike fever of 39.8 ℃ with a significant pus discharge from the open wound around his groin. A computed tomography scan revealed an accumulation of gas around the sacroiliac joint, in the abdominal cavity, and the adductors and gluteus maximus muscles caused by non-clostridial gas gangrene. We performed surgical debridement three times and initiated vancomycin administration. Hyperbaric oxygen therapy was also initiated as an adjunctive therapy. The patient could walk with a cane 5 months after the injury.</p><p><strong>Conclusions: </strong>We described a multidisciplinary case of a patient with a Wang type II open pelvic fracture who required emergent damage control and subsequently developed anaerobic sepsis. Bleeding was controlled by packing gauze into the intraperitoneal cavity and applying external fixation to the pelvic ring. However, it is important to administer prophylactic antibiotics against anaerobic bacteria and to detect subsequent infections early when packing gauze into the intraperitoneal cavity in patients with open pelvic fractures.</p>\",\"PeriodicalId\":29752,\"journal\":{\"name\":\"AME Case Reports\",\"volume\":\"9 \",\"pages\":\"29\"},\"PeriodicalIF\":0.7000,\"publicationDate\":\"2024-11-27\",\"publicationTypes\":\"Journal Article\",\"fieldsOfStudy\":null,\"isOpenAccess\":false,\"openAccessPdf\":\"https://www.ncbi.nlm.nih.gov/pmc/articles/PMC11759928/pdf/\",\"citationCount\":\"0\",\"resultStr\":null,\"platform\":\"Semanticscholar\",\"paperid\":null,\"PeriodicalName\":\"AME Case Reports\",\"FirstCategoryId\":\"1085\",\"ListUrlMain\":\"https://doi.org/10.21037/acr-24-128\",\"RegionNum\":0,\"RegionCategory\":null,\"ArticlePicture\":[],\"TitleCN\":null,\"AbstractTextCN\":null,\"PMCID\":null,\"EPubDate\":\"2025/1/1 0:00:00\",\"PubModel\":\"eCollection\",\"JCR\":\"Q3\",\"JCRName\":\"MEDICINE, GENERAL & INTERNAL\",\"Score\":null,\"Total\":0}","platform":"Semanticscholar","paperid":null,"PeriodicalName":"AME Case Reports","FirstCategoryId":"1085","ListUrlMain":"https://doi.org/10.21037/acr-24-128","RegionNum":0,"RegionCategory":null,"ArticlePicture":[],"TitleCN":null,"AbstractTextCN":null,"PMCID":null,"EPubDate":"2025/1/1 0:00:00","PubModel":"eCollection","JCR":"Q3","JCRName":"MEDICINE, GENERAL & INTERNAL","Score":null,"Total":0}
引用次数: 0

摘要

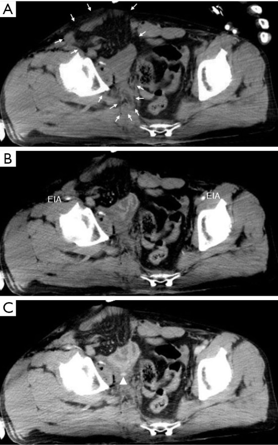
背景:开放性骨盆骨折是罕见的,但是一个严重的临床问题,死亡率高。急性死亡通常与出血有关,而延迟死亡最常与败血症和多器官衰竭有关。我们报告一例开放性骨盆环骨折伴出血性休克和脓毒性休克的II型病例。病例描述:一名健康的41岁男性,在铁厂出现开放性骨盆环骨折和下腹部撕裂伤。他的血流动力学状态不稳定。采用外固定器稳定盆腔环,结扎骶正中动脉和双侧髂内动脉,部分切除回肠,阑尾切除术和腹腔内盆腔填塞。伤后7天,患者出现39.8℃单峰发热,腹股沟周围开放性伤口大量脓流。计算机断层扫描显示骶髂关节周围、腹腔、内收肌和臀大肌周围有由非梭菌性气体坏疽引起的气体积聚。我们进行了三次外科清创,并开始使用万古霉素。高压氧治疗也开始作为辅助治疗。病人受伤5个月后可以用拐杖走路了。结论:我们描述了一个多学科病例,患者与王II型开放性骨盆骨折需要紧急损伤控制,随后发展为厌氧败血症。在腹腔内填塞纱布,骨盆环外固定,止血。然而,对于开放性骨盆骨折患者,在腹腔内填塞纱布时,预防性使用抗生素对抗厌氧菌和早期发现继发感染是很重要的。
本文章由计算机程序翻译,如有差异,请以英文原文为准。

Polymicrobial infection presenting as non-clostridial gas gangrene in a patient with an open pelvic ring fracture accompanied by abdominal evisceration: a case report.

Polymicrobial infection presenting as non-clostridial gas gangrene in a patient with an open pelvic ring fracture accompanied by abdominal evisceration: a case report.

Polymicrobial infection presenting as non-clostridial gas gangrene in a patient with an open pelvic ring fracture accompanied by abdominal evisceration: a case report.

Polymicrobial infection presenting as non-clostridial gas gangrene in a patient with an open pelvic ring fracture accompanied by abdominal evisceration: a case report.

Background: Open pelvic fractures are rare but represent a serious clinical problem with high mortality rates. Acute mortality is often associated with hemorrhage, whereas delayed mortality is most often associated with sepsis and multiple organ failure. We report a case of Wang's classification of type II open pelvic ring fracture with hemorrhagic shock and septic shock from gas gangrene.

Case description: A healthy 41-year-old man presented with an open pelvic ring fracture and a laceration in the lower abdomen sustained at an ironworks. His hemodynamic status was unstable. Pelvic ring stabilization with an external fixator, ligation of the median sacral and bilateral internal iliac arteries, partial resection of the ileum, appendectomy, and intra-abdominal pelvic packing were performed. Seven days after the injury, he developed a single spike fever of 39.8 ℃ with a significant pus discharge from the open wound around his groin. A computed tomography scan revealed an accumulation of gas around the sacroiliac joint, in the abdominal cavity, and the adductors and gluteus maximus muscles caused by non-clostridial gas gangrene. We performed surgical debridement three times and initiated vancomycin administration. Hyperbaric oxygen therapy was also initiated as an adjunctive therapy. The patient could walk with a cane 5 months after the injury.

Conclusions: We described a multidisciplinary case of a patient with a Wang type II open pelvic fracture who required emergent damage control and subsequently developed anaerobic sepsis. Bleeding was controlled by packing gauze into the intraperitoneal cavity and applying external fixation to the pelvic ring. However, it is important to administer prophylactic antibiotics against anaerobic bacteria and to detect subsequent infections early when packing gauze into the intraperitoneal cavity in patients with open pelvic fractures.

求助全文
通过发布文献求助,成功后即可免费获取论文全文。 去求助
来源期刊
自引率
0.00%
发文量
0
×
引用
GB/T 7714-2015
复制
MLA
复制
APA
复制
导出至
BibTeX EndNote RefMan NoteFirst NoteExpress
×
提示
您的信息不完整,为了账户安全,请先补充。
现在去补充
×
提示
您因"违规操作"
具体请查看互助需知
我知道了
×
提示
确定
请完成安全验证×
copy
已复制链接
快去分享给好友吧!
我知道了
右上角分享
点击右上角分享
0
联系我们:info@booksci.cn Book学术提供免费学术资源搜索服务,方便国内外学者检索中英文文献。致力于提供最便捷和优质的服务体验。 Copyright © 2023 布克学术 All rights reserved.
京ICP备2023020795号-1
ghs 京公网安备 11010802042870号
Book学术文献互助
Book学术文献互助群
群 号:604180095
Book学术官方微信