预后良好的HER2阳性原发性乳腺鳞状细胞癌1例。

IF 0.7 Q3 MEDICINE, GENERAL & INTERNAL
AME Case Reports Pub Date : 2024-11-21 eCollection Date: 2025-01-01 DOI:10.21037/acr-24-138
Yanan Li, Kefeng Wu, Huiying Li, Chun Wu
{"title":"预后良好的HER2阳性原发性乳腺鳞状细胞癌1例。","authors":"Yanan Li, Kefeng Wu, Huiying Li, Chun Wu","doi":"10.21037/acr-24-138","DOIUrl":null,"url":null,"abstract":"<p><strong>Background: </strong>Primary breast squamous cell carcinoma (PBSCC) is a unique histopathological type of breast cancer. The majority of current case reports of PBSCC are triple-negative tumors with poor prognosis. Due to its heterogeneous clinical course, no unified management is achieved. Here, we report a human epidermal growth factor receptor 2 (HER2) positive case with good clinical outcome, which may contribute to the development of appropriate guidelines and imprecise management of PBSCC.</p><p><strong>Case description: </strong>A 45-year-old female presented with a painless mass in the medial-upper quadrants of right breast and the imaging examination suggested a malignant tumor. She received modified radical mastectomy and axillary sentinel lymph node dissection of the right breast, and the pathological diagnosis was squamous cell carcinoma with HER2 over-expression. Subsequently, she underwent post-operative chemotherapy regimen of doxorubicin, cyclophosphamide, T-docetaxel and trastuzumab (AC-TH) and then received maintenance treatment with trastuzumab and pertuzumab. Clinical follow-up suggests that she had achieved clinical complete remission and has survived for over 4 years.</p><p><strong>Conclusions: </strong>The diagnosis of PBSCC relies on histomorphology, due to non-specific imaging manifestations. Immunohistochemical (IHC) staining helps to clarify the pathological type, hormone receptor status, HER2 amplification and programmed cell death ligand 1 (PD-L1) expression, which is essential for clinical decision-making. HER2-positive PBSCC patients can benefit from AC-TH chemotherapy and 1-year anti-HER2 therapy is necessary to good prognosis. If possible, dual anti-HER2 therapy combined with trastuzumab and pertuzumab is recommended. Finally, positive clinical prognosis of PBSCC may be attributed to early detection, immediate surgery, precise diagnosis and proper adjuvant treatment strategy.</p>","PeriodicalId":29752,"journal":{"name":"AME Case Reports","volume":"9 ","pages":"20"},"PeriodicalIF":0.7000,"publicationDate":"2024-11-21","publicationTypes":"Journal Article","fieldsOfStudy":null,"isOpenAccess":false,"openAccessPdf":"https://www.ncbi.nlm.nih.gov/pmc/articles/PMC11760515/pdf/","citationCount":"0","resultStr":"{\"title\":\"HER2 positive primary breast squamous cell carcinoma with good prognosis: a case report.\",\"authors\":\"Yanan Li, Kefeng Wu, Huiying Li, Chun Wu\",\"doi\":\"10.21037/acr-24-138\",\"DOIUrl\":null,\"url\":null,\"abstract\":\"<p><strong>Background: </strong>Primary breast squamous cell carcinoma (PBSCC) is a unique histopathological type of breast cancer. The majority of current case reports of PBSCC are triple-negative tumors with poor prognosis. Due to its heterogeneous clinical course, no unified management is achieved. Here, we report a human epidermal growth factor receptor 2 (HER2) positive case with good clinical outcome, which may contribute to the development of appropriate guidelines and imprecise management of PBSCC.</p><p><strong>Case description: </strong>A 45-year-old female presented with a painless mass in the medial-upper quadrants of right breast and the imaging examination suggested a malignant tumor. She received modified radical mastectomy and axillary sentinel lymph node dissection of the right breast, and the pathological diagnosis was squamous cell carcinoma with HER2 over-expression. Subsequently, she underwent post-operative chemotherapy regimen of doxorubicin, cyclophosphamide, T-docetaxel and trastuzumab (AC-TH) and then received maintenance treatment with trastuzumab and pertuzumab. Clinical follow-up suggests that she had achieved clinical complete remission and has survived for over 4 years.</p><p><strong>Conclusions: </strong>The diagnosis of PBSCC relies on histomorphology, due to non-specific imaging manifestations. Immunohistochemical (IHC) staining helps to clarify the pathological type, hormone receptor status, HER2 amplification and programmed cell death ligand 1 (PD-L1) expression, which is essential for clinical decision-making. HER2-positive PBSCC patients can benefit from AC-TH chemotherapy and 1-year anti-HER2 therapy is necessary to good prognosis. If possible, dual anti-HER2 therapy combined with trastuzumab and pertuzumab is recommended. Finally, positive clinical prognosis of PBSCC may be attributed to early detection, immediate surgery, precise diagnosis and proper adjuvant treatment strategy.</p>\",\"PeriodicalId\":29752,\"journal\":{\"name\":\"AME Case Reports\",\"volume\":\"9 \",\"pages\":\"20\"},\"PeriodicalIF\":0.7000,\"publicationDate\":\"2024-11-21\",\"publicationTypes\":\"Journal Article\",\"fieldsOfStudy\":null,\"isOpenAccess\":false,\"openAccessPdf\":\"https://www.ncbi.nlm.nih.gov/pmc/articles/PMC11760515/pdf/\",\"citationCount\":\"0\",\"resultStr\":null,\"platform\":\"Semanticscholar\",\"paperid\":null,\"PeriodicalName\":\"AME Case Reports\",\"FirstCategoryId\":\"1085\",\"ListUrlMain\":\"https://doi.org/10.21037/acr-24-138\",\"RegionNum\":0,\"RegionCategory\":null,\"ArticlePicture\":[],\"TitleCN\":null,\"AbstractTextCN\":null,\"PMCID\":null,\"EPubDate\":\"2025/1/1 0:00:00\",\"PubModel\":\"eCollection\",\"JCR\":\"Q3\",\"JCRName\":\"MEDICINE, GENERAL & INTERNAL\",\"Score\":null,\"Total\":0}","platform":"Semanticscholar","paperid":null,"PeriodicalName":"AME Case Reports","FirstCategoryId":"1085","ListUrlMain":"https://doi.org/10.21037/acr-24-138","RegionNum":0,"RegionCategory":null,"ArticlePicture":[],"TitleCN":null,"AbstractTextCN":null,"PMCID":null,"EPubDate":"2025/1/1 0:00:00","PubModel":"eCollection","JCR":"Q3","JCRName":"MEDICINE, GENERAL & INTERNAL","Score":null,"Total":0}
引用次数: 0

摘要

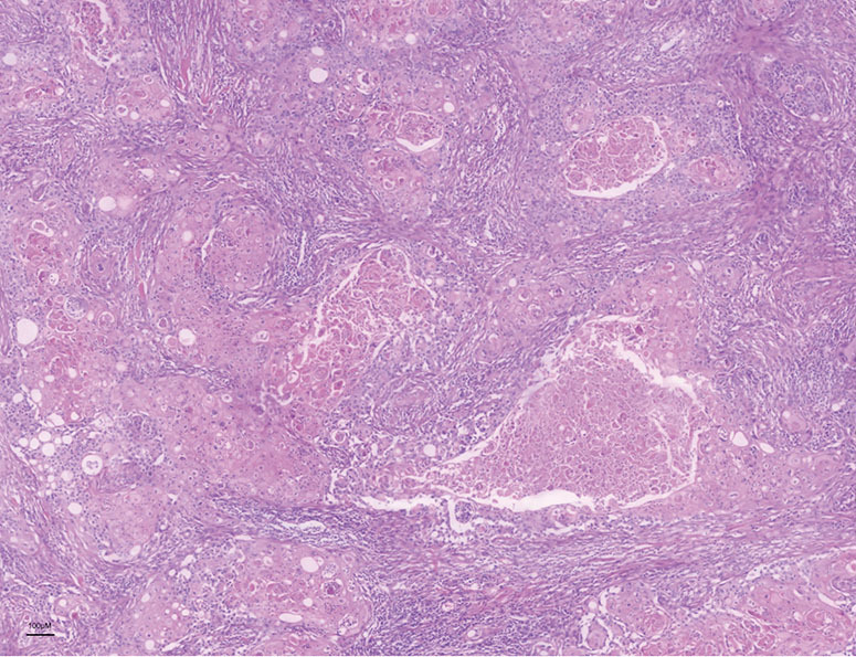
背景:原发性乳腺鳞状细胞癌(PBSCC)是一种独特的组织病理学类型的乳腺癌。目前大多数PBSCC病例报告为三阴性肿瘤,预后较差。由于其临床过程的异质性,没有实现统一的管理。在这里,我们报告了一例人类表皮生长因子受体2 (HER2)阳性病例,临床结果良好,这可能有助于制定适当的指南和不精确的PBSCC管理。病例描述:45岁女性,右乳中上象限无痛性肿块,影像学提示恶性肿瘤。行改良根治术及右乳腋窝前哨淋巴结清扫术,病理诊断为HER2过表达的鳞状细胞癌。随后,患者接受了阿霉素、环磷酰胺、t-多西他赛和曲妥珠单抗(AC-TH)的术后化疗方案,然后接受曲妥珠单抗和帕妥珠单抗的维持治疗。临床随访显示患者临床完全缓解,存活超过4年。结论:由于非特异性影像学表现,PBSCC的诊断依赖于组织形态学。免疫组织化学(IHC)染色有助于明确病理类型、激素受体状态、HER2扩增和程序性细胞死亡配体1 (PD-L1)表达,对临床决策至关重要。her2阳性PBSCC患者可从AC-TH化疗中获益,1年的抗her2治疗是获得良好预后的必要条件。如果可能,建议联合曲妥珠单抗和帕妥珠单抗进行双重抗her2治疗。最后,早期发现、及时手术、准确诊断和适当的辅助治疗策略可能是PBSCC临床预后良好的原因。
本文章由计算机程序翻译,如有差异,请以英文原文为准。

HER2 positive primary breast squamous cell carcinoma with good prognosis: a case report.

HER2 positive primary breast squamous cell carcinoma with good prognosis: a case report.

HER2 positive primary breast squamous cell carcinoma with good prognosis: a case report.

HER2 positive primary breast squamous cell carcinoma with good prognosis: a case report.

Background: Primary breast squamous cell carcinoma (PBSCC) is a unique histopathological type of breast cancer. The majority of current case reports of PBSCC are triple-negative tumors with poor prognosis. Due to its heterogeneous clinical course, no unified management is achieved. Here, we report a human epidermal growth factor receptor 2 (HER2) positive case with good clinical outcome, which may contribute to the development of appropriate guidelines and imprecise management of PBSCC.

Case description: A 45-year-old female presented with a painless mass in the medial-upper quadrants of right breast and the imaging examination suggested a malignant tumor. She received modified radical mastectomy and axillary sentinel lymph node dissection of the right breast, and the pathological diagnosis was squamous cell carcinoma with HER2 over-expression. Subsequently, she underwent post-operative chemotherapy regimen of doxorubicin, cyclophosphamide, T-docetaxel and trastuzumab (AC-TH) and then received maintenance treatment with trastuzumab and pertuzumab. Clinical follow-up suggests that she had achieved clinical complete remission and has survived for over 4 years.

Conclusions: The diagnosis of PBSCC relies on histomorphology, due to non-specific imaging manifestations. Immunohistochemical (IHC) staining helps to clarify the pathological type, hormone receptor status, HER2 amplification and programmed cell death ligand 1 (PD-L1) expression, which is essential for clinical decision-making. HER2-positive PBSCC patients can benefit from AC-TH chemotherapy and 1-year anti-HER2 therapy is necessary to good prognosis. If possible, dual anti-HER2 therapy combined with trastuzumab and pertuzumab is recommended. Finally, positive clinical prognosis of PBSCC may be attributed to early detection, immediate surgery, precise diagnosis and proper adjuvant treatment strategy.

求助全文
通过发布文献求助,成功后即可免费获取论文全文。 去求助
来源期刊
自引率
0.00%
发文量
0
×
引用
GB/T 7714-2015
复制
MLA
复制
APA
复制
导出至
BibTeX EndNote RefMan NoteFirst NoteExpress
×
提示
您的信息不完整,为了账户安全,请先补充。
现在去补充
×
提示
您因"违规操作"
具体请查看互助需知
我知道了
×
提示
确定
请完成安全验证×
copy
已复制链接
快去分享给好友吧!
我知道了
右上角分享
点击右上角分享
0
联系我们:info@booksci.cn Book学术提供免费学术资源搜索服务,方便国内外学者检索中英文文献。致力于提供最便捷和优质的服务体验。 Copyright © 2023 布克学术 All rights reserved.
京ICP备2023020795号-1
ghs 京公网安备 11010802042870号
Book学术文献互助
Book学术文献互助群
群 号:604180095
Book学术官方微信