巨大胸腺脂肪瘤的16岁女孩与多模式诊断方法和手术治疗:1例报告。

IF 0.7 Q3 MEDICINE, GENERAL & INTERNAL
AME Case Reports Pub Date : 2025-01-06 eCollection Date: 2025-01-01 DOI:10.21037/acr-24-157
Ziwei Wang, Jicheng Xiong, Lin Peng, Xiaobo Wu, Yongtao Han, Yi Zhu, Xuefeng Leng
{"title":"巨大胸腺脂肪瘤的16岁女孩与多模式诊断方法和手术治疗:1例报告。","authors":"Ziwei Wang, Jicheng Xiong, Lin Peng, Xiaobo Wu, Yongtao Han, Yi Zhu, Xuefeng Leng","doi":"10.21037/acr-24-157","DOIUrl":null,"url":null,"abstract":"<p><strong>Background: </strong>Thymolipomas are rare benign mediastinal tumors primarily occurring in young adults, although they can also present in pediatric populations. These tumors are often asymptomatic, but their substantial size can create significant diagnostic and therapeutic challenges, necessitating careful evaluation and management.</p><p><strong>Case description: </strong>A teenage girl was diagnosed with a giant thymolipoma, which was discovered incidentally during a routine chest radiograph. Notably, the patient remained asymptomatic despite the tumor's considerable size and its apparent impact on surrounding thoracic structures. To facilitate a thorough preoperative assessment, a multimodal imaging approach was employed, including contrast-enhanced ultrasound (CEUS), computed tomography (CT), and magnetic resonance imaging (MRI). These advanced imaging techniques played a crucial role in delineating the tumor's extent, characteristics, and relationship to adjacent anatomical structures, thereby informing surgical planning. Ultimately, the tumor was successfully excised through a median sternotomy. Postoperative pathological examination confirmed the diagnosis of thymolipoma. Remarkably, after a follow-up period of five years, the patient showed no signs of recurrence and maintained a healthy status.</p><p><strong>Conclusions: </strong>This case underscores the effectiveness of a multimodal imaging strategy for the diagnosis and preoperative assessment of pediatric thymolipomas. It emphasizes the feasibility of complete surgical resection, even for large tumors, leading to a favorable prognosis. Moreover, it highlights the importance of tailored management strategies for pediatric patients with rare thoracic tumors, as evidenced by this successful clinical outcome.</p>","PeriodicalId":29752,"journal":{"name":"AME Case Reports","volume":"9 ","pages":"25"},"PeriodicalIF":0.7000,"publicationDate":"2025-01-06","publicationTypes":"Journal Article","fieldsOfStudy":null,"isOpenAccess":false,"openAccessPdf":"https://www.ncbi.nlm.nih.gov/pmc/articles/PMC11759932/pdf/","citationCount":"0","resultStr":"{\"title\":\"Giant thymolipoma in a 16-year-old girl with multimodal diagnostic approach and surgical management: a case report.\",\"authors\":\"Ziwei Wang, Jicheng Xiong, Lin Peng, Xiaobo Wu, Yongtao Han, Yi Zhu, Xuefeng Leng\",\"doi\":\"10.21037/acr-24-157\",\"DOIUrl\":null,\"url\":null,\"abstract\":\"<p><strong>Background: </strong>Thymolipomas are rare benign mediastinal tumors primarily occurring in young adults, although they can also present in pediatric populations. These tumors are often asymptomatic, but their substantial size can create significant diagnostic and therapeutic challenges, necessitating careful evaluation and management.</p><p><strong>Case description: </strong>A teenage girl was diagnosed with a giant thymolipoma, which was discovered incidentally during a routine chest radiograph. Notably, the patient remained asymptomatic despite the tumor's considerable size and its apparent impact on surrounding thoracic structures. To facilitate a thorough preoperative assessment, a multimodal imaging approach was employed, including contrast-enhanced ultrasound (CEUS), computed tomography (CT), and magnetic resonance imaging (MRI). These advanced imaging techniques played a crucial role in delineating the tumor's extent, characteristics, and relationship to adjacent anatomical structures, thereby informing surgical planning. Ultimately, the tumor was successfully excised through a median sternotomy. Postoperative pathological examination confirmed the diagnosis of thymolipoma. Remarkably, after a follow-up period of five years, the patient showed no signs of recurrence and maintained a healthy status.</p><p><strong>Conclusions: </strong>This case underscores the effectiveness of a multimodal imaging strategy for the diagnosis and preoperative assessment of pediatric thymolipomas. It emphasizes the feasibility of complete surgical resection, even for large tumors, leading to a favorable prognosis. Moreover, it highlights the importance of tailored management strategies for pediatric patients with rare thoracic tumors, as evidenced by this successful clinical outcome.</p>\",\"PeriodicalId\":29752,\"journal\":{\"name\":\"AME Case Reports\",\"volume\":\"9 \",\"pages\":\"25\"},\"PeriodicalIF\":0.7000,\"publicationDate\":\"2025-01-06\",\"publicationTypes\":\"Journal Article\",\"fieldsOfStudy\":null,\"isOpenAccess\":false,\"openAccessPdf\":\"https://www.ncbi.nlm.nih.gov/pmc/articles/PMC11759932/pdf/\",\"citationCount\":\"0\",\"resultStr\":null,\"platform\":\"Semanticscholar\",\"paperid\":null,\"PeriodicalName\":\"AME Case Reports\",\"FirstCategoryId\":\"1085\",\"ListUrlMain\":\"https://doi.org/10.21037/acr-24-157\",\"RegionNum\":0,\"RegionCategory\":null,\"ArticlePicture\":[],\"TitleCN\":null,\"AbstractTextCN\":null,\"PMCID\":null,\"EPubDate\":\"2025/1/1 0:00:00\",\"PubModel\":\"eCollection\",\"JCR\":\"Q3\",\"JCRName\":\"MEDICINE, GENERAL & INTERNAL\",\"Score\":null,\"Total\":0}","platform":"Semanticscholar","paperid":null,"PeriodicalName":"AME Case Reports","FirstCategoryId":"1085","ListUrlMain":"https://doi.org/10.21037/acr-24-157","RegionNum":0,"RegionCategory":null,"ArticlePicture":[],"TitleCN":null,"AbstractTextCN":null,"PMCID":null,"EPubDate":"2025/1/1 0:00:00","PubModel":"eCollection","JCR":"Q3","JCRName":"MEDICINE, GENERAL & INTERNAL","Score":null,"Total":0}
引用次数: 0

摘要

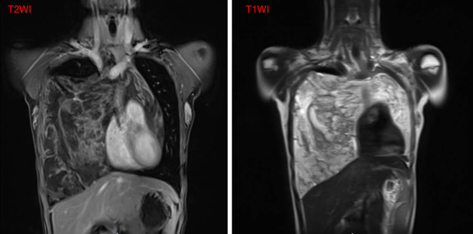
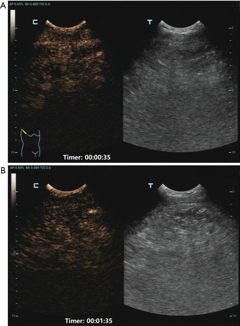
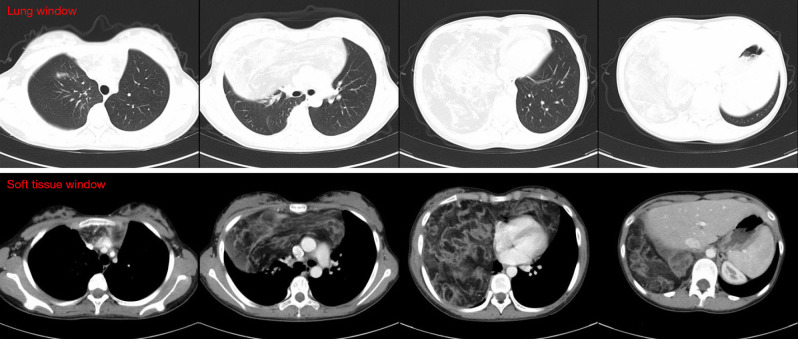
背景:胸腺脂肪瘤是一种罕见的良性纵隔肿瘤,主要发生在年轻人中,尽管它也可以出现在儿科人群中。这些肿瘤通常无症状,但其巨大的体积会给诊断和治疗带来重大挑战,需要仔细的评估和管理。病例描述:一名十几岁的女孩被诊断为巨大胸腺脂肪瘤,这是在常规胸片检查中偶然发现的。值得注意的是,尽管肿瘤相当大,且对周围胸腔结构有明显影响,但患者仍无症状。为了便于全面的术前评估,采用了多模态成像方法,包括对比增强超声(CEUS)、计算机断层扫描(CT)和磁共振成像(MRI)。这些先进的成像技术在描绘肿瘤的范围、特征以及与邻近解剖结构的关系方面发挥了至关重要的作用,从而为手术计划提供了信息。最终,通过正中胸骨切开术成功切除肿瘤。术后病理检查证实为胸腺脂肪瘤。值得注意的是,经过五年的随访,患者没有复发迹象,保持健康状态。结论:本病例强调了多模式成像策略对儿童胸腺脂肪瘤的诊断和术前评估的有效性。它强调完全手术切除的可行性,即使对于大的肿瘤,导致良好的预后。此外,它强调了针对罕见胸部肿瘤的儿科患者量身定制管理策略的重要性,正如这一成功的临床结果所证明的那样。
本文章由计算机程序翻译,如有差异,请以英文原文为准。

Giant thymolipoma in a 16-year-old girl with multimodal diagnostic approach and surgical management: a case report.

Giant thymolipoma in a 16-year-old girl with multimodal diagnostic approach and surgical management: a case report.

Giant thymolipoma in a 16-year-old girl with multimodal diagnostic approach and surgical management: a case report.

Giant thymolipoma in a 16-year-old girl with multimodal diagnostic approach and surgical management: a case report.

Background: Thymolipomas are rare benign mediastinal tumors primarily occurring in young adults, although they can also present in pediatric populations. These tumors are often asymptomatic, but their substantial size can create significant diagnostic and therapeutic challenges, necessitating careful evaluation and management.

Case description: A teenage girl was diagnosed with a giant thymolipoma, which was discovered incidentally during a routine chest radiograph. Notably, the patient remained asymptomatic despite the tumor's considerable size and its apparent impact on surrounding thoracic structures. To facilitate a thorough preoperative assessment, a multimodal imaging approach was employed, including contrast-enhanced ultrasound (CEUS), computed tomography (CT), and magnetic resonance imaging (MRI). These advanced imaging techniques played a crucial role in delineating the tumor's extent, characteristics, and relationship to adjacent anatomical structures, thereby informing surgical planning. Ultimately, the tumor was successfully excised through a median sternotomy. Postoperative pathological examination confirmed the diagnosis of thymolipoma. Remarkably, after a follow-up period of five years, the patient showed no signs of recurrence and maintained a healthy status.

Conclusions: This case underscores the effectiveness of a multimodal imaging strategy for the diagnosis and preoperative assessment of pediatric thymolipomas. It emphasizes the feasibility of complete surgical resection, even for large tumors, leading to a favorable prognosis. Moreover, it highlights the importance of tailored management strategies for pediatric patients with rare thoracic tumors, as evidenced by this successful clinical outcome.

求助全文
通过发布文献求助,成功后即可免费获取论文全文。 去求助
来源期刊
自引率
0.00%
发文量
0
×
引用
GB/T 7714-2015
复制
MLA
复制
APA
复制
导出至
BibTeX EndNote RefMan NoteFirst NoteExpress
×
提示
您的信息不完整,为了账户安全,请先补充。
现在去补充
×
提示
您因"违规操作"
具体请查看互助需知
我知道了
×
提示
确定
请完成安全验证×
copy
已复制链接
快去分享给好友吧!
我知道了
右上角分享
点击右上角分享
0
联系我们:info@booksci.cn Book学术提供免费学术资源搜索服务,方便国内外学者检索中英文文献。致力于提供最便捷和优质的服务体验。 Copyright © 2023 布克学术 All rights reserved.
京ICP备2023020795号-1
ghs 京公网安备 11010802042870号
Book学术文献互助
Book学术文献互助群
群 号:604180095
Book学术官方微信