舍曲林过量致电暴1例。

IF 0.7 Q3 MEDICINE, GENERAL & INTERNAL
AME Case Reports Pub Date : 2024-11-18 eCollection Date: 2025-01-01 DOI:10.21037/acr-24-93
Vraj Patel, Mina Rismani, Fakhra Sultan, Amr Essa, Pascha Schafer
{"title":"舍曲林过量致电暴1例。","authors":"Vraj Patel, Mina Rismani, Fakhra Sultan, Amr Essa, Pascha Schafer","doi":"10.21037/acr-24-93","DOIUrl":null,"url":null,"abstract":"<p><strong>Background: </strong>In cases of electrical storm, identifying the etiology is essential, as patients with reversible causes do not benefit from implantable cardioverter defibrillator (ICD). Given the diversity of pharmacologic and nonpharmacologic management tools available for hemodynamically unstable patients in electrical storm, all must be considered and tailored to each individual patient.</p><p><strong>Case description: </strong>This report describes a 36-year-old female without prior cardiac history who presented in ventricular fibrillation (VF) electrical storm. While she lacked significant electrolyte abnormalities or ischemia to explain etiology of electrical storm, she incidentally had variant coronary anatomy noted on angiography. After thorough consideration of possible etiologies of storm, selective serotonin reuptake inhibitor (SSRI) intoxication was the most highly suspected etiology. Regarding management of her hemodynamically unstable electrical storm, she was treated with lidocaine, amiodarone, as well as mechanical circulatory support devices including extracorporeal membrane oxygenation (ECMO) and intra-aortic balloon pump (IABP). The patient ultimately was decannulated from ECMO, had IABP removal, and achieved recovery of ejection fraction (EF) to baseline. She was not offered ICD as the etiology of her cardiac arrest was reversable. She was discharged with recommendation to discontinue SSRI and follow up with psychiatry regarding SSRI overdose.</p><p><strong>Conclusions: </strong>Identification of electrical storm etiology is crucial as reversible causes do not warrant ICD placement. Selection of appropriate pharmacologic and nonpharmacologic management in the hemodynamically unstable electrical storm patient is important given the wide range of available options.</p>","PeriodicalId":29752,"journal":{"name":"AME Case Reports","volume":"9 ","pages":"22"},"PeriodicalIF":0.7000,"publicationDate":"2024-11-18","publicationTypes":"Journal Article","fieldsOfStudy":null,"isOpenAccess":false,"openAccessPdf":"https://www.ncbi.nlm.nih.gov/pmc/articles/PMC11760934/pdf/","citationCount":"0","resultStr":"{\"title\":\"Electrical storm caused by sertraline overdose: case report.\",\"authors\":\"Vraj Patel, Mina Rismani, Fakhra Sultan, Amr Essa, Pascha Schafer\",\"doi\":\"10.21037/acr-24-93\",\"DOIUrl\":null,\"url\":null,\"abstract\":\"<p><strong>Background: </strong>In cases of electrical storm, identifying the etiology is essential, as patients with reversible causes do not benefit from implantable cardioverter defibrillator (ICD). Given the diversity of pharmacologic and nonpharmacologic management tools available for hemodynamically unstable patients in electrical storm, all must be considered and tailored to each individual patient.</p><p><strong>Case description: </strong>This report describes a 36-year-old female without prior cardiac history who presented in ventricular fibrillation (VF) electrical storm. While she lacked significant electrolyte abnormalities or ischemia to explain etiology of electrical storm, she incidentally had variant coronary anatomy noted on angiography. After thorough consideration of possible etiologies of storm, selective serotonin reuptake inhibitor (SSRI) intoxication was the most highly suspected etiology. Regarding management of her hemodynamically unstable electrical storm, she was treated with lidocaine, amiodarone, as well as mechanical circulatory support devices including extracorporeal membrane oxygenation (ECMO) and intra-aortic balloon pump (IABP). The patient ultimately was decannulated from ECMO, had IABP removal, and achieved recovery of ejection fraction (EF) to baseline. She was not offered ICD as the etiology of her cardiac arrest was reversable. She was discharged with recommendation to discontinue SSRI and follow up with psychiatry regarding SSRI overdose.</p><p><strong>Conclusions: </strong>Identification of electrical storm etiology is crucial as reversible causes do not warrant ICD placement. Selection of appropriate pharmacologic and nonpharmacologic management in the hemodynamically unstable electrical storm patient is important given the wide range of available options.</p>\",\"PeriodicalId\":29752,\"journal\":{\"name\":\"AME Case Reports\",\"volume\":\"9 \",\"pages\":\"22\"},\"PeriodicalIF\":0.7000,\"publicationDate\":\"2024-11-18\",\"publicationTypes\":\"Journal Article\",\"fieldsOfStudy\":null,\"isOpenAccess\":false,\"openAccessPdf\":\"https://www.ncbi.nlm.nih.gov/pmc/articles/PMC11760934/pdf/\",\"citationCount\":\"0\",\"resultStr\":null,\"platform\":\"Semanticscholar\",\"paperid\":null,\"PeriodicalName\":\"AME Case Reports\",\"FirstCategoryId\":\"1085\",\"ListUrlMain\":\"https://doi.org/10.21037/acr-24-93\",\"RegionNum\":0,\"RegionCategory\":null,\"ArticlePicture\":[],\"TitleCN\":null,\"AbstractTextCN\":null,\"PMCID\":null,\"EPubDate\":\"2025/1/1 0:00:00\",\"PubModel\":\"eCollection\",\"JCR\":\"Q3\",\"JCRName\":\"MEDICINE, GENERAL & INTERNAL\",\"Score\":null,\"Total\":0}","platform":"Semanticscholar","paperid":null,"PeriodicalName":"AME Case Reports","FirstCategoryId":"1085","ListUrlMain":"https://doi.org/10.21037/acr-24-93","RegionNum":0,"RegionCategory":null,"ArticlePicture":[],"TitleCN":null,"AbstractTextCN":null,"PMCID":null,"EPubDate":"2025/1/1 0:00:00","PubModel":"eCollection","JCR":"Q3","JCRName":"MEDICINE, GENERAL & INTERNAL","Score":null,"Total":0}
引用次数: 0

摘要

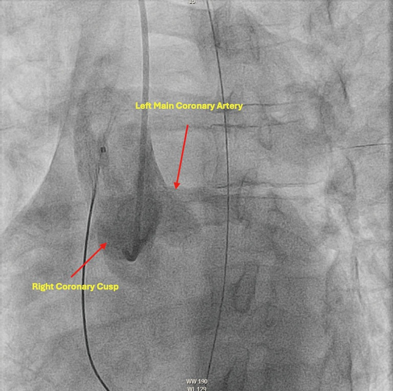
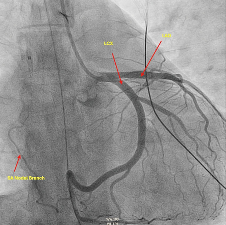
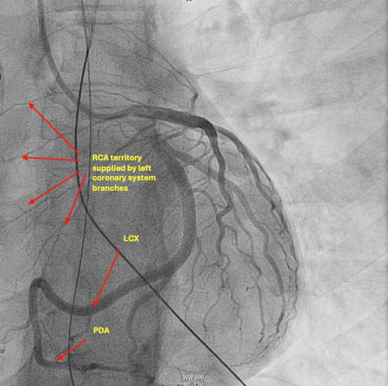
背景:在电风暴病例中,确定病因是必不可少的,因为具有可逆病因的患者不能从植入式心律转复除颤器(ICD)中获益。考虑到电风暴中血流动力学不稳定患者可用的药物和非药物治疗工具的多样性,所有这些都必须考虑并为每个患者量身定制。病例描述:本报告描述了一位无心脏病史的36岁女性,因室性颤动(VF)电风暴而出现。虽然她没有明显的电解质异常或缺血来解释电风暴的病因,但她偶然在血管造影中发现了不同的冠状动脉解剖结构。经过全面考虑可能的病因风暴,选择性血清素再摄取抑制剂(SSRI)中毒是最高度怀疑的病因。在治疗其血流动力学不稳定的电风暴时,给予利多卡因、胺碘酮以及机械循环支持装置,包括体外膜氧合(ECMO)和主动脉内气囊泵(IABP)。患者最终从ECMO中脱管,去除IABP,并使射血分数(EF)恢复到基线。由于其心脏骤停的病因是可逆转的,因此未给予ICD。出院时建议停用SSRI,并对SSRI过量进行精神病学随访。结论:确定电风暴的病因是至关重要的,因为可逆的原因不能保证ICD的放置。在血流动力学不稳定的电风暴患者中选择适当的药物和非药物治疗是很重要的,因为有广泛的可用选择。
本文章由计算机程序翻译,如有差异,请以英文原文为准。

Electrical storm caused by sertraline overdose: case report.

Electrical storm caused by sertraline overdose: case report.

Electrical storm caused by sertraline overdose: case report.

Electrical storm caused by sertraline overdose: case report.

Background: In cases of electrical storm, identifying the etiology is essential, as patients with reversible causes do not benefit from implantable cardioverter defibrillator (ICD). Given the diversity of pharmacologic and nonpharmacologic management tools available for hemodynamically unstable patients in electrical storm, all must be considered and tailored to each individual patient.

Case description: This report describes a 36-year-old female without prior cardiac history who presented in ventricular fibrillation (VF) electrical storm. While she lacked significant electrolyte abnormalities or ischemia to explain etiology of electrical storm, she incidentally had variant coronary anatomy noted on angiography. After thorough consideration of possible etiologies of storm, selective serotonin reuptake inhibitor (SSRI) intoxication was the most highly suspected etiology. Regarding management of her hemodynamically unstable electrical storm, she was treated with lidocaine, amiodarone, as well as mechanical circulatory support devices including extracorporeal membrane oxygenation (ECMO) and intra-aortic balloon pump (IABP). The patient ultimately was decannulated from ECMO, had IABP removal, and achieved recovery of ejection fraction (EF) to baseline. She was not offered ICD as the etiology of her cardiac arrest was reversable. She was discharged with recommendation to discontinue SSRI and follow up with psychiatry regarding SSRI overdose.

Conclusions: Identification of electrical storm etiology is crucial as reversible causes do not warrant ICD placement. Selection of appropriate pharmacologic and nonpharmacologic management in the hemodynamically unstable electrical storm patient is important given the wide range of available options.

求助全文
通过发布文献求助,成功后即可免费获取论文全文。 去求助
来源期刊
自引率
0.00%
发文量
0
×
引用
GB/T 7714-2015
复制
MLA
复制
APA
复制
导出至
BibTeX EndNote RefMan NoteFirst NoteExpress
×
提示
您的信息不完整,为了账户安全,请先补充。
现在去补充
×
提示
您因"违规操作"
具体请查看互助需知
我知道了
×
提示
确定
请完成安全验证×
copy
已复制链接
快去分享给好友吧!
我知道了
右上角分享
点击右上角分享
0
联系我们:info@booksci.cn Book学术提供免费学术资源搜索服务,方便国内外学者检索中英文文献。致力于提供最便捷和优质的服务体验。 Copyright © 2023 布克学术 All rights reserved.
京ICP备2023020795号-1
ghs 京公网安备 11010802042870号
Book学术文献互助
Book学术文献互助群
群 号:604180095
Book学术官方微信