MSI-H双原发结直肠癌不同病变对免疫治疗的差异反应:1例报告并文献复习。

IF 0.7 Q3 MEDICINE, GENERAL & INTERNAL
AME Case Reports Pub Date : 2024-11-25 eCollection Date: 2025-01-01 DOI:10.21037/acr-24-137
Zhigui Guo, Dan Hong, Yaning Wei, Yue Huo, Shenyong Su, Yan Shi, Lin An, Kunjie Wang, Yajing Su, Zhiyu Wang
{"title":"MSI-H双原发结直肠癌不同病变对免疫治疗的差异反应:1例报告并文献复习。","authors":"Zhigui Guo, Dan Hong, Yaning Wei, Yue Huo, Shenyong Su, Yan Shi, Lin An, Kunjie Wang, Yajing Su, Zhiyu Wang","doi":"10.21037/acr-24-137","DOIUrl":null,"url":null,"abstract":"<p><strong>Background: </strong>Mucinous adenocarcinoma is a rare type of colorectal cancer (CRC) associated with poor prognosis, particularly when it includes signet ring cell components. Furthermore, its rate of microsatellite instability-high (MSI-H) is significantly higher compared to non-mucinous adenocarcinoma. Immunotherapy has emerged as the standard treatment for MSI-H metastatic CRC (mCRC). In the KEYNOTE-177 trial, for individuals with advanced CRC exhibiting MSI-H or mismatch repair deficiency (dMMR), treatment with pembrolizumab as a single agent demonstrated a superior outcome compared to standard systemic chemotherapy. The study revealed a notably higher objective response rate (43.8% versus 33.1%) and an extended progression-free survival duration (16.5 versus 8.2 months). These findings imply that pembrolizumab may be regarded as a front-line treatment option for patients with advanced CRC who have MSI-H/dMMR status.</p><p><strong>Case description: </strong>The patient with double primary CRC, both of which were identified as MSI-H through next generation sequencing (NGS). Following a regimen of immunotherapy-based combination therapy, the rectal lesion achieved a complete clinical response (cCR), while the colon lesion displayed continued progression, indicating primary resistance to treatment.</p><p><strong>Conclusions: </strong>Specific histological subtypes of CRC, such as mucinous adenocarcinoma, might adversely affect the efficacy of immunotherapy, resulting in primary treatment resistance. Consequently, in the case of this particular cancer subtype, local surgical resection may be a more appropriate treatment strategy.</p>","PeriodicalId":29752,"journal":{"name":"AME Case Reports","volume":"9 ","pages":"17"},"PeriodicalIF":0.7000,"publicationDate":"2024-11-25","publicationTypes":"Journal Article","fieldsOfStudy":null,"isOpenAccess":false,"openAccessPdf":"https://www.ncbi.nlm.nih.gov/pmc/articles/PMC11760919/pdf/","citationCount":"0","resultStr":"{\"title\":\"Differential response to immunotherapy in different lesions of MSI-H double primary colorectal cancer: a case report and literature review.\",\"authors\":\"Zhigui Guo, Dan Hong, Yaning Wei, Yue Huo, Shenyong Su, Yan Shi, Lin An, Kunjie Wang, Yajing Su, Zhiyu Wang\",\"doi\":\"10.21037/acr-24-137\",\"DOIUrl\":null,\"url\":null,\"abstract\":\"<p><strong>Background: </strong>Mucinous adenocarcinoma is a rare type of colorectal cancer (CRC) associated with poor prognosis, particularly when it includes signet ring cell components. Furthermore, its rate of microsatellite instability-high (MSI-H) is significantly higher compared to non-mucinous adenocarcinoma. Immunotherapy has emerged as the standard treatment for MSI-H metastatic CRC (mCRC). In the KEYNOTE-177 trial, for individuals with advanced CRC exhibiting MSI-H or mismatch repair deficiency (dMMR), treatment with pembrolizumab as a single agent demonstrated a superior outcome compared to standard systemic chemotherapy. The study revealed a notably higher objective response rate (43.8% versus 33.1%) and an extended progression-free survival duration (16.5 versus 8.2 months). These findings imply that pembrolizumab may be regarded as a front-line treatment option for patients with advanced CRC who have MSI-H/dMMR status.</p><p><strong>Case description: </strong>The patient with double primary CRC, both of which were identified as MSI-H through next generation sequencing (NGS). Following a regimen of immunotherapy-based combination therapy, the rectal lesion achieved a complete clinical response (cCR), while the colon lesion displayed continued progression, indicating primary resistance to treatment.</p><p><strong>Conclusions: </strong>Specific histological subtypes of CRC, such as mucinous adenocarcinoma, might adversely affect the efficacy of immunotherapy, resulting in primary treatment resistance. Consequently, in the case of this particular cancer subtype, local surgical resection may be a more appropriate treatment strategy.</p>\",\"PeriodicalId\":29752,\"journal\":{\"name\":\"AME Case Reports\",\"volume\":\"9 \",\"pages\":\"17\"},\"PeriodicalIF\":0.7000,\"publicationDate\":\"2024-11-25\",\"publicationTypes\":\"Journal Article\",\"fieldsOfStudy\":null,\"isOpenAccess\":false,\"openAccessPdf\":\"https://www.ncbi.nlm.nih.gov/pmc/articles/PMC11760919/pdf/\",\"citationCount\":\"0\",\"resultStr\":null,\"platform\":\"Semanticscholar\",\"paperid\":null,\"PeriodicalName\":\"AME Case Reports\",\"FirstCategoryId\":\"1085\",\"ListUrlMain\":\"https://doi.org/10.21037/acr-24-137\",\"RegionNum\":0,\"RegionCategory\":null,\"ArticlePicture\":[],\"TitleCN\":null,\"AbstractTextCN\":null,\"PMCID\":null,\"EPubDate\":\"2025/1/1 0:00:00\",\"PubModel\":\"eCollection\",\"JCR\":\"Q3\",\"JCRName\":\"MEDICINE, GENERAL & INTERNAL\",\"Score\":null,\"Total\":0}","platform":"Semanticscholar","paperid":null,"PeriodicalName":"AME Case Reports","FirstCategoryId":"1085","ListUrlMain":"https://doi.org/10.21037/acr-24-137","RegionNum":0,"RegionCategory":null,"ArticlePicture":[],"TitleCN":null,"AbstractTextCN":null,"PMCID":null,"EPubDate":"2025/1/1 0:00:00","PubModel":"eCollection","JCR":"Q3","JCRName":"MEDICINE, GENERAL & INTERNAL","Score":null,"Total":0}
引用次数: 0

摘要

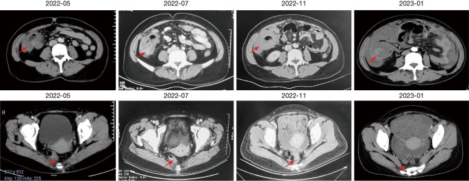
背景:黏液腺癌是一种罕见的结直肠癌(CRC),预后差,特别是当它包含印戒细胞成分时。此外,其微卫星不稳定性高(MSI-H)率明显高于非粘液腺癌。免疫疗法已成为MSI-H转移性CRC (mCRC)的标准治疗方法。在KEYNOTE-177试验中,对于表现出MSI-H或错配修复缺陷(dMMR)的晚期结直肠癌患者,与标准全身化疗相比,单药派姆单抗治疗显示出更好的结果。研究显示客观缓解率显著提高(43.8%对33.1%),无进展生存期延长(16.5个月对8.2个月)。这些发现表明,派姆单抗可能被视为具有MSI-H/dMMR状态的晚期结直肠癌患者的一线治疗选择。病例描述:双原发性结直肠癌患者,通过下一代测序(NGS)确定为MSI-H。在以免疫疗法为基础的联合治疗方案后,直肠病变达到完全临床缓解(cCR),而结肠病变显示持续进展,表明对治疗的原发性耐药。结论:结直肠癌的特定组织学亚型,如粘液腺癌,可能会对免疫治疗的疗效产生不利影响,导致原发性治疗耐药。因此,在这种特殊的癌症亚型的情况下,局部手术切除可能是一种更合适的治疗策略。
本文章由计算机程序翻译,如有差异,请以英文原文为准。

Differential response to immunotherapy in different lesions of MSI-H double primary colorectal cancer: a case report and literature review.

Differential response to immunotherapy in different lesions of MSI-H double primary colorectal cancer: a case report and literature review.

Differential response to immunotherapy in different lesions of MSI-H double primary colorectal cancer: a case report and literature review.

Background: Mucinous adenocarcinoma is a rare type of colorectal cancer (CRC) associated with poor prognosis, particularly when it includes signet ring cell components. Furthermore, its rate of microsatellite instability-high (MSI-H) is significantly higher compared to non-mucinous adenocarcinoma. Immunotherapy has emerged as the standard treatment for MSI-H metastatic CRC (mCRC). In the KEYNOTE-177 trial, for individuals with advanced CRC exhibiting MSI-H or mismatch repair deficiency (dMMR), treatment with pembrolizumab as a single agent demonstrated a superior outcome compared to standard systemic chemotherapy. The study revealed a notably higher objective response rate (43.8% versus 33.1%) and an extended progression-free survival duration (16.5 versus 8.2 months). These findings imply that pembrolizumab may be regarded as a front-line treatment option for patients with advanced CRC who have MSI-H/dMMR status.

Case description: The patient with double primary CRC, both of which were identified as MSI-H through next generation sequencing (NGS). Following a regimen of immunotherapy-based combination therapy, the rectal lesion achieved a complete clinical response (cCR), while the colon lesion displayed continued progression, indicating primary resistance to treatment.

Conclusions: Specific histological subtypes of CRC, such as mucinous adenocarcinoma, might adversely affect the efficacy of immunotherapy, resulting in primary treatment resistance. Consequently, in the case of this particular cancer subtype, local surgical resection may be a more appropriate treatment strategy.

求助全文
通过发布文献求助,成功后即可免费获取论文全文。 去求助
来源期刊
自引率
0.00%
发文量
0
×
引用
GB/T 7714-2015
复制
MLA
复制
APA
复制
导出至
BibTeX EndNote RefMan NoteFirst NoteExpress
×
提示
您的信息不完整,为了账户安全,请先补充。
现在去补充
×
提示
您因"违规操作"
具体请查看互助需知
我知道了
×
提示
确定
请完成安全验证×
copy
已复制链接
快去分享给好友吧!
我知道了
右上角分享
点击右上角分享
0
联系我们:info@booksci.cn Book学术提供免费学术资源搜索服务,方便国内外学者检索中英文文献。致力于提供最便捷和优质的服务体验。 Copyright © 2023 布克学术 All rights reserved.
京ICP备2023020795号-1
ghs 京公网安备 11010802042870号
Book学术文献互助
Book学术文献互助群
群 号:604180095
Book学术官方微信