应用腭通道瓣和牙根成形术成功治疗腭发育沟相关牙周缺损1例。

IF 0.9 Q4 DENTISTRY, ORAL SURGERY & MEDICINE
Case Reports in Dentistry Pub Date : 2025-01-17 eCollection Date: 2025-01-01 DOI:10.1155/crid/5562567
Nicola Alberto Valente, Giulia Bardini
{"title":"应用腭通道瓣和牙根成形术成功治疗腭发育沟相关牙周缺损1例。","authors":"Nicola Alberto Valente, Giulia Bardini","doi":"10.1155/crid/5562567","DOIUrl":null,"url":null,"abstract":"<p><p>This case report discusses the successful management of a deep palatal developmental groove associated with Stage III generalized Grade C periodontitis. Despite prior nonsurgical periodontal therapy, the disease progressed rapidly, necessitating further intervention. A comprehensive evaluation revealed generalized periodontitis with localized tooth-related predisposing factor due to a developmental groove in the vital upper left lateral incisor. The initial nonsurgical treatment involved scaling and root planing (SRP) coupled with systemic antibiotics. Significant improvement was observed, except for the site with the developmental groove. Surgical intervention was performed using a palatal access flap odontoplasty and radiculoplasty to eliminate the remaining pocket and enhance plaque control. The procedure successfully resolved the condition, with soft tissue healing observed at the 6-month follow-up with a residual probing depth of 3 mm. This case highlights the challenges associated with palatal developmental grooves as localized aggravating factors in periodontitis. The use of surgical techniques like odontoplasty and flap access proved effective in managing periodontal defects associated with developmental grooves, showcasing a successful outcome in this patient.</p>","PeriodicalId":46841,"journal":{"name":"Case Reports in Dentistry","volume":"2025 ","pages":"5562567"},"PeriodicalIF":0.9000,"publicationDate":"2025-01-17","publicationTypes":"Journal Article","fieldsOfStudy":null,"isOpenAccess":false,"openAccessPdf":"https://www.ncbi.nlm.nih.gov/pmc/articles/PMC11759573/pdf/","citationCount":"0","resultStr":"{\"title\":\"Successful Management of Palatal Developmental Groove-Associated Periodontal Defect Using Palatal Access Flap and Odontoradiculoplasty: A Case Report.\",\"authors\":\"Nicola Alberto Valente, Giulia Bardini\",\"doi\":\"10.1155/crid/5562567\",\"DOIUrl\":null,\"url\":null,\"abstract\":\"<p><p>This case report discusses the successful management of a deep palatal developmental groove associated with Stage III generalized Grade C periodontitis. Despite prior nonsurgical periodontal therapy, the disease progressed rapidly, necessitating further intervention. A comprehensive evaluation revealed generalized periodontitis with localized tooth-related predisposing factor due to a developmental groove in the vital upper left lateral incisor. The initial nonsurgical treatment involved scaling and root planing (SRP) coupled with systemic antibiotics. Significant improvement was observed, except for the site with the developmental groove. Surgical intervention was performed using a palatal access flap odontoplasty and radiculoplasty to eliminate the remaining pocket and enhance plaque control. The procedure successfully resolved the condition, with soft tissue healing observed at the 6-month follow-up with a residual probing depth of 3 mm. This case highlights the challenges associated with palatal developmental grooves as localized aggravating factors in periodontitis. The use of surgical techniques like odontoplasty and flap access proved effective in managing periodontal defects associated with developmental grooves, showcasing a successful outcome in this patient.</p>\",\"PeriodicalId\":46841,\"journal\":{\"name\":\"Case Reports in Dentistry\",\"volume\":\"2025 \",\"pages\":\"5562567\"},\"PeriodicalIF\":0.9000,\"publicationDate\":\"2025-01-17\",\"publicationTypes\":\"Journal Article\",\"fieldsOfStudy\":null,\"isOpenAccess\":false,\"openAccessPdf\":\"https://www.ncbi.nlm.nih.gov/pmc/articles/PMC11759573/pdf/\",\"citationCount\":\"0\",\"resultStr\":null,\"platform\":\"Semanticscholar\",\"paperid\":null,\"PeriodicalName\":\"Case Reports in Dentistry\",\"FirstCategoryId\":\"1085\",\"ListUrlMain\":\"https://doi.org/10.1155/crid/5562567\",\"RegionNum\":0,\"RegionCategory\":null,\"ArticlePicture\":[],\"TitleCN\":null,\"AbstractTextCN\":null,\"PMCID\":null,\"EPubDate\":\"2025/1/1 0:00:00\",\"PubModel\":\"eCollection\",\"JCR\":\"Q4\",\"JCRName\":\"DENTISTRY, ORAL SURGERY & MEDICINE\",\"Score\":null,\"Total\":0}","platform":"Semanticscholar","paperid":null,"PeriodicalName":"Case Reports in Dentistry","FirstCategoryId":"1085","ListUrlMain":"https://doi.org/10.1155/crid/5562567","RegionNum":0,"RegionCategory":null,"ArticlePicture":[],"TitleCN":null,"AbstractTextCN":null,"PMCID":null,"EPubDate":"2025/1/1 0:00:00","PubModel":"eCollection","JCR":"Q4","JCRName":"DENTISTRY, ORAL SURGERY & MEDICINE","Score":null,"Total":0}
引用次数: 0

摘要

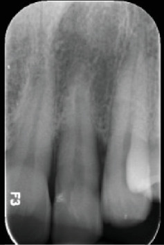
本病例报告讨论了成功处理与III期广泛性C级牙周炎相关的腭深发育沟。尽管先前进行了非手术牙周治疗,但病情进展迅速,需要进一步干预。综合评估显示广泛性牙周炎与局部牙齿相关的易感性因素,由于发育沟在重要的左上侧切牙。最初的非手术治疗包括刮除和根刨(SRP)以及全身抗生素。除发育凹槽部位外,其他部位均有显著改善。手术干预使用腭通道瓣牙成形术和根根成形术来消除剩余的袋和加强菌斑控制。手术成功地解决了问题,在6个月的随访中观察到软组织愈合,残余探探深度为3mm。本病例强调了与腭发育沟相关的挑战,作为牙周炎的局部加重因素。手术技术的使用,如牙成形术和皮瓣访问被证明是有效的管理牙周缺损相关的发育沟,展示了一个成功的结果在这个病人。
本文章由计算机程序翻译,如有差异,请以英文原文为准。

Successful Management of Palatal Developmental Groove-Associated Periodontal Defect Using Palatal Access Flap and Odontoradiculoplasty: A Case Report.

Successful Management of Palatal Developmental Groove-Associated Periodontal Defect Using Palatal Access Flap and Odontoradiculoplasty: A Case Report.

Successful Management of Palatal Developmental Groove-Associated Periodontal Defect Using Palatal Access Flap and Odontoradiculoplasty: A Case Report.

Successful Management of Palatal Developmental Groove-Associated Periodontal Defect Using Palatal Access Flap and Odontoradiculoplasty: A Case Report.

This case report discusses the successful management of a deep palatal developmental groove associated with Stage III generalized Grade C periodontitis. Despite prior nonsurgical periodontal therapy, the disease progressed rapidly, necessitating further intervention. A comprehensive evaluation revealed generalized periodontitis with localized tooth-related predisposing factor due to a developmental groove in the vital upper left lateral incisor. The initial nonsurgical treatment involved scaling and root planing (SRP) coupled with systemic antibiotics. Significant improvement was observed, except for the site with the developmental groove. Surgical intervention was performed using a palatal access flap odontoplasty and radiculoplasty to eliminate the remaining pocket and enhance plaque control. The procedure successfully resolved the condition, with soft tissue healing observed at the 6-month follow-up with a residual probing depth of 3 mm. This case highlights the challenges associated with palatal developmental grooves as localized aggravating factors in periodontitis. The use of surgical techniques like odontoplasty and flap access proved effective in managing periodontal defects associated with developmental grooves, showcasing a successful outcome in this patient.

求助全文
通过发布文献求助,成功后即可免费获取论文全文。 去求助
来源期刊
Case Reports in Dentistry
Case Reports in Dentistry DENTISTRY, ORAL SURGERY & MEDICINE-
CiteScore
1.40
自引率
12.50%
发文量
107
审稿时长
14 weeks
期刊介绍: Case Reports in Dentistry is a peer-reviewed, Open Access journal that publishes case reports and case series in all areas of dentistry, including periodontal diseases, dental implants, oral pathology, as well as oral and maxillofacial surgery.
×
引用
GB/T 7714-2015
复制
MLA
复制
APA
复制
导出至
BibTeX EndNote RefMan NoteFirst NoteExpress
×
提示
您的信息不完整,为了账户安全,请先补充。
现在去补充
×
提示
您因"违规操作"
具体请查看互助需知
我知道了
×
提示
确定
请完成安全验证×
copy
已复制链接
快去分享给好友吧!
我知道了
右上角分享
点击右上角分享
0
联系我们:info@booksci.cn Book学术提供免费学术资源搜索服务,方便国内外学者检索中英文文献。致力于提供最便捷和优质的服务体验。 Copyright © 2023 布克学术 All rights reserved.
京ICP备2023020795号-1
ghs 京公网安备 11010802042870号
Book学术文献互助
Book学术文献互助群
群 号:604180095
Book学术官方微信