自移植成熟牙口外根切除后血运重建1例报告。

IF 0.9 Q4 DENTISTRY, ORAL SURGERY & MEDICINE
Case Reports in Dentistry Pub Date : 2025-01-17 eCollection Date: 2025-01-01 DOI:10.1155/crid/5545344
Juraj Marton, Michal Mozoľa, Radovan Žižka, Zdeněk Pokorný
{"title":"自移植成熟牙口外根切除后血运重建1例报告。","authors":"Juraj Marton, Michal Mozoľa, Radovan Žižka, Zdeněk Pokorný","doi":"10.1155/crid/5545344","DOIUrl":null,"url":null,"abstract":"<p><p>The outcome of tooth autotransplantation depends mainly on the transplant tooth's anatomy-the type of donor tooth and the developmental stage of root formation. Mature teeth display a higher complication rate due to lower pulp revascularization potential, requiring root canal treatment (RCT) pre- or postoperatively to avoid postoperative complications, which extends treatment duration and cost. This report details a 39-year-old patient's autotransplantation of a mature wisdom tooth to replace the first molar after unsuccessful root canal retreatment. During the surgery, an extraoral root resection of the transplanted tooth was performed prior to placement to avoid the need to elevate the Schneiderian membrane, which displayed imperfect healing following the surgical removal of a cystic lesion in the maxillary sinus. RCT was not performed before nor after the procedure. At the 3-year follow-up, the tooth was asymptomatic. The vitality of the autotransplanted tooth was difficult to determine using standard vitality tests, which depend on patients' subjective responses, but the use of pulse oximetry objectively confirmed this. This case not only shows the possibility of a mature tooth transplant revascularization in an older patient but also gives a possible postoperative protocol of how to objectively confirm and measure the revascularization of the autotransplanted tooth.</p>","PeriodicalId":46841,"journal":{"name":"Case Reports in Dentistry","volume":"2025 ","pages":"5545344"},"PeriodicalIF":0.9000,"publicationDate":"2025-01-17","publicationTypes":"Journal Article","fieldsOfStudy":null,"isOpenAccess":false,"openAccessPdf":"https://www.ncbi.nlm.nih.gov/pmc/articles/PMC11759570/pdf/","citationCount":"0","resultStr":"{\"title\":\"Revascularization of an Autotransplanted Mature Tooth After Extraoral Root Resection: A Case Report.\",\"authors\":\"Juraj Marton, Michal Mozoľa, Radovan Žižka, Zdeněk Pokorný\",\"doi\":\"10.1155/crid/5545344\",\"DOIUrl\":null,\"url\":null,\"abstract\":\"<p><p>The outcome of tooth autotransplantation depends mainly on the transplant tooth's anatomy-the type of donor tooth and the developmental stage of root formation. Mature teeth display a higher complication rate due to lower pulp revascularization potential, requiring root canal treatment (RCT) pre- or postoperatively to avoid postoperative complications, which extends treatment duration and cost. This report details a 39-year-old patient's autotransplantation of a mature wisdom tooth to replace the first molar after unsuccessful root canal retreatment. During the surgery, an extraoral root resection of the transplanted tooth was performed prior to placement to avoid the need to elevate the Schneiderian membrane, which displayed imperfect healing following the surgical removal of a cystic lesion in the maxillary sinus. RCT was not performed before nor after the procedure. At the 3-year follow-up, the tooth was asymptomatic. The vitality of the autotransplanted tooth was difficult to determine using standard vitality tests, which depend on patients' subjective responses, but the use of pulse oximetry objectively confirmed this. This case not only shows the possibility of a mature tooth transplant revascularization in an older patient but also gives a possible postoperative protocol of how to objectively confirm and measure the revascularization of the autotransplanted tooth.</p>\",\"PeriodicalId\":46841,\"journal\":{\"name\":\"Case Reports in Dentistry\",\"volume\":\"2025 \",\"pages\":\"5545344\"},\"PeriodicalIF\":0.9000,\"publicationDate\":\"2025-01-17\",\"publicationTypes\":\"Journal Article\",\"fieldsOfStudy\":null,\"isOpenAccess\":false,\"openAccessPdf\":\"https://www.ncbi.nlm.nih.gov/pmc/articles/PMC11759570/pdf/\",\"citationCount\":\"0\",\"resultStr\":null,\"platform\":\"Semanticscholar\",\"paperid\":null,\"PeriodicalName\":\"Case Reports in Dentistry\",\"FirstCategoryId\":\"1085\",\"ListUrlMain\":\"https://doi.org/10.1155/crid/5545344\",\"RegionNum\":0,\"RegionCategory\":null,\"ArticlePicture\":[],\"TitleCN\":null,\"AbstractTextCN\":null,\"PMCID\":null,\"EPubDate\":\"2025/1/1 0:00:00\",\"PubModel\":\"eCollection\",\"JCR\":\"Q4\",\"JCRName\":\"DENTISTRY, ORAL SURGERY & MEDICINE\",\"Score\":null,\"Total\":0}","platform":"Semanticscholar","paperid":null,"PeriodicalName":"Case Reports in Dentistry","FirstCategoryId":"1085","ListUrlMain":"https://doi.org/10.1155/crid/5545344","RegionNum":0,"RegionCategory":null,"ArticlePicture":[],"TitleCN":null,"AbstractTextCN":null,"PMCID":null,"EPubDate":"2025/1/1 0:00:00","PubModel":"eCollection","JCR":"Q4","JCRName":"DENTISTRY, ORAL SURGERY & MEDICINE","Score":null,"Total":0}
引用次数: 0

摘要

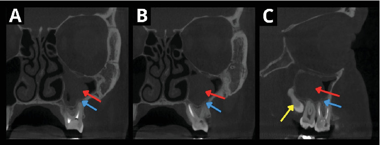
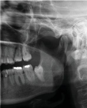
自体牙移植的效果主要取决于移植牙的解剖结构、供牙的类型和牙根形成的发育阶段。成熟牙由于牙髓血运重建潜力较低,并发症发生率较高,需要术前或术后进行根管治疗(RCT)以避免术后并发症,延长了治疗时间和费用。本文报告了一位39岁的患者在根管再治疗失败后,自体移植一颗成熟的智齿来代替第一磨牙。在手术中,移植的牙齿在放置之前进行了口外根切除,以避免需要提升施耐德膜,在手术切除上颌窦囊性病变后,施耐德膜显示不完全愈合。术前和术后均未进行随机对照试验。在3年的随访中,牙齿无症状。使用标准的活力测试难以确定自体移植牙的活力,这取决于患者的主观反应,但使用脉搏血氧仪客观地证实了这一点。本病例不仅显示了老年患者成熟牙移植血运重建的可能性,也为如何客观地确认和测量自移植牙的血运重建提供了可能的术后方案。
本文章由计算机程序翻译,如有差异,请以英文原文为准。

Revascularization of an Autotransplanted Mature Tooth After Extraoral Root Resection: A Case Report.

Revascularization of an Autotransplanted Mature Tooth After Extraoral Root Resection: A Case Report.

Revascularization of an Autotransplanted Mature Tooth After Extraoral Root Resection: A Case Report.

Revascularization of an Autotransplanted Mature Tooth After Extraoral Root Resection: A Case Report.

The outcome of tooth autotransplantation depends mainly on the transplant tooth's anatomy-the type of donor tooth and the developmental stage of root formation. Mature teeth display a higher complication rate due to lower pulp revascularization potential, requiring root canal treatment (RCT) pre- or postoperatively to avoid postoperative complications, which extends treatment duration and cost. This report details a 39-year-old patient's autotransplantation of a mature wisdom tooth to replace the first molar after unsuccessful root canal retreatment. During the surgery, an extraoral root resection of the transplanted tooth was performed prior to placement to avoid the need to elevate the Schneiderian membrane, which displayed imperfect healing following the surgical removal of a cystic lesion in the maxillary sinus. RCT was not performed before nor after the procedure. At the 3-year follow-up, the tooth was asymptomatic. The vitality of the autotransplanted tooth was difficult to determine using standard vitality tests, which depend on patients' subjective responses, but the use of pulse oximetry objectively confirmed this. This case not only shows the possibility of a mature tooth transplant revascularization in an older patient but also gives a possible postoperative protocol of how to objectively confirm and measure the revascularization of the autotransplanted tooth.

求助全文
通过发布文献求助,成功后即可免费获取论文全文。 去求助
来源期刊
Case Reports in Dentistry
Case Reports in Dentistry DENTISTRY, ORAL SURGERY & MEDICINE-
CiteScore
1.40
自引率
12.50%
发文量
107
审稿时长
14 weeks
期刊介绍: Case Reports in Dentistry is a peer-reviewed, Open Access journal that publishes case reports and case series in all areas of dentistry, including periodontal diseases, dental implants, oral pathology, as well as oral and maxillofacial surgery.
×
引用
GB/T 7714-2015
复制
MLA
复制
APA
复制
导出至
BibTeX EndNote RefMan NoteFirst NoteExpress
×
提示
您的信息不完整,为了账户安全,请先补充。
现在去补充
×
提示
您因"违规操作"
具体请查看互助需知
我知道了
×
提示
确定
请完成安全验证×
copy
已复制链接
快去分享给好友吧!
我知道了
右上角分享
点击右上角分享
0
联系我们:info@booksci.cn Book学术提供免费学术资源搜索服务,方便国内外学者检索中英文文献。致力于提供最便捷和优质的服务体验。 Copyright © 2023 布克学术 All rights reserved.
京ICP备2023020795号-1
ghs 京公网安备 11010802042870号
Book学术文献互助
Book学术文献互助群
群 号:604180095
Book学术官方微信