胸外伤的罕见并发症:心包气肿?

IF 1.4 4区 医学 Q2 MEDICINE, LEGAL
Forensic Science, Medicine and Pathology Pub Date : 2025-09-01 Epub Date: 2025-01-27 DOI:10.1007/s12024-025-00952-6
C Poulain, T Prigent, B Guibourg, G Le Flahec, E Martin, D Ben Salem
{"title":"胸外伤的罕见并发症:心包气肿?","authors":"C Poulain, T Prigent, B Guibourg, G Le Flahec, E Martin, D Ben Salem","doi":"10.1007/s12024-025-00952-6","DOIUrl":null,"url":null,"abstract":"<p><p>Pneumopericardium (PPC) is defined by the presence of gas in the pericardial cavity, often leading to cardiac tamponade and a high mortality rate. This report describes a case involving a 33-year-old man found deceased a few meters from a knife, his clothes intact, with no resuscitation attempt made. A knotted scarf was tightly fastened around his neck, without ligature mark. Post-mortem CT revealed 271 ml of gas in the pericardial cavity, with \"flattened heart\". The forensic examination revealed two thoracic stab wounds, one penetrated the pericardium without penetrating the heart chamber, while the second remained superficial. In the absence of resuscitation or exsanguination, and in the presence of some non-specific signs observed in the context of asphyxia, the hypothesis of death by compressive PPC was supported. This first French case report of PPC highlights the rarity of this entity in forensic settings, and comparison with other cases described in the literature which did not present the same characteristics points out the diagnostic difficulties it presents and the importance of post-mortem CT in diagnosis.</p>","PeriodicalId":12449,"journal":{"name":"Forensic Science, Medicine and Pathology","volume":" ","pages":"1551-1555"},"PeriodicalIF":1.4000,"publicationDate":"2025-09-01","publicationTypes":"Journal Article","fieldsOfStudy":null,"isOpenAccess":false,"openAccessPdf":"https://www.ncbi.nlm.nih.gov/pmc/articles/PMC12491107/pdf/","citationCount":"0","resultStr":"{\"title\":\"A rare complication of a thoracic wound: the pneumopericardium?\",\"authors\":\"C Poulain, T Prigent, B Guibourg, G Le Flahec, E Martin, D Ben Salem\",\"doi\":\"10.1007/s12024-025-00952-6\",\"DOIUrl\":null,\"url\":null,\"abstract\":\"<p><p>Pneumopericardium (PPC) is defined by the presence of gas in the pericardial cavity, often leading to cardiac tamponade and a high mortality rate. This report describes a case involving a 33-year-old man found deceased a few meters from a knife, his clothes intact, with no resuscitation attempt made. A knotted scarf was tightly fastened around his neck, without ligature mark. Post-mortem CT revealed 271 ml of gas in the pericardial cavity, with \\\"flattened heart\\\". The forensic examination revealed two thoracic stab wounds, one penetrated the pericardium without penetrating the heart chamber, while the second remained superficial. In the absence of resuscitation or exsanguination, and in the presence of some non-specific signs observed in the context of asphyxia, the hypothesis of death by compressive PPC was supported. This first French case report of PPC highlights the rarity of this entity in forensic settings, and comparison with other cases described in the literature which did not present the same characteristics points out the diagnostic difficulties it presents and the importance of post-mortem CT in diagnosis.</p>\",\"PeriodicalId\":12449,\"journal\":{\"name\":\"Forensic Science, Medicine and Pathology\",\"volume\":\" \",\"pages\":\"1551-1555\"},\"PeriodicalIF\":1.4000,\"publicationDate\":\"2025-09-01\",\"publicationTypes\":\"Journal Article\",\"fieldsOfStudy\":null,\"isOpenAccess\":false,\"openAccessPdf\":\"https://www.ncbi.nlm.nih.gov/pmc/articles/PMC12491107/pdf/\",\"citationCount\":\"0\",\"resultStr\":null,\"platform\":\"Semanticscholar\",\"paperid\":null,\"PeriodicalName\":\"Forensic Science, Medicine and Pathology\",\"FirstCategoryId\":\"3\",\"ListUrlMain\":\"https://doi.org/10.1007/s12024-025-00952-6\",\"RegionNum\":4,\"RegionCategory\":\"医学\",\"ArticlePicture\":[],\"TitleCN\":null,\"AbstractTextCN\":null,\"PMCID\":null,\"EPubDate\":\"2025/1/27 0:00:00\",\"PubModel\":\"Epub\",\"JCR\":\"Q2\",\"JCRName\":\"MEDICINE, LEGAL\",\"Score\":null,\"Total\":0}","platform":"Semanticscholar","paperid":null,"PeriodicalName":"Forensic Science, Medicine and Pathology","FirstCategoryId":"3","ListUrlMain":"https://doi.org/10.1007/s12024-025-00952-6","RegionNum":4,"RegionCategory":"医学","ArticlePicture":[],"TitleCN":null,"AbstractTextCN":null,"PMCID":null,"EPubDate":"2025/1/27 0:00:00","PubModel":"Epub","JCR":"Q2","JCRName":"MEDICINE, LEGAL","Score":null,"Total":0}
引用次数: 0

摘要

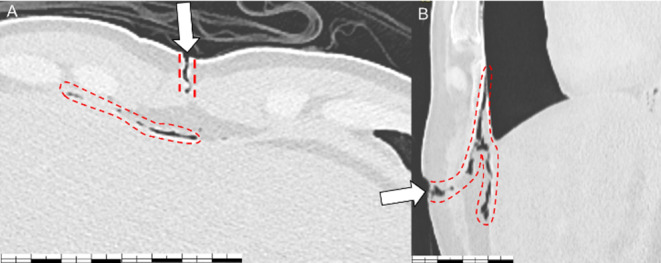
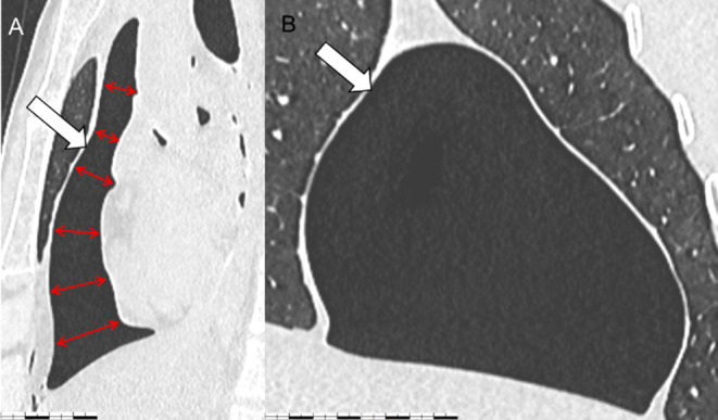
心包气肿(PPC)是指心包腔内存在气体,常导致心包填塞,死亡率高。本报告描述了一起案件,涉及一名33岁男子被发现死在离刀几米远的地方,他的衣服完好无损,没有进行任何复苏尝试。一条打了个结的围巾紧紧地围在他的脖子上,没有被勒死的痕迹。死后CT显示心包腔内气体271 ml,心脏扁平。法医检查发现两处胸部刺伤,一处刺穿心包,但没有刺穿心室,而另一处则是浅表刺伤。在没有复苏或放血的情况下,以及在窒息的情况下观察到的一些非特异性体征,支持压缩性PPC死亡的假设。这是法国第一例PPC病例报告,强调了这种实体在法医环境中的罕见性,并与文献中描述的其他未呈现相同特征的病例进行比较,指出了它所呈现的诊断困难和尸检CT在诊断中的重要性。
本文章由计算机程序翻译,如有差异,请以英文原文为准。

A rare complication of a thoracic wound: the pneumopericardium?

A rare complication of a thoracic wound: the pneumopericardium?

A rare complication of a thoracic wound: the pneumopericardium?

A rare complication of a thoracic wound: the pneumopericardium?

Pneumopericardium (PPC) is defined by the presence of gas in the pericardial cavity, often leading to cardiac tamponade and a high mortality rate. This report describes a case involving a 33-year-old man found deceased a few meters from a knife, his clothes intact, with no resuscitation attempt made. A knotted scarf was tightly fastened around his neck, without ligature mark. Post-mortem CT revealed 271 ml of gas in the pericardial cavity, with "flattened heart". The forensic examination revealed two thoracic stab wounds, one penetrated the pericardium without penetrating the heart chamber, while the second remained superficial. In the absence of resuscitation or exsanguination, and in the presence of some non-specific signs observed in the context of asphyxia, the hypothesis of death by compressive PPC was supported. This first French case report of PPC highlights the rarity of this entity in forensic settings, and comparison with other cases described in the literature which did not present the same characteristics points out the diagnostic difficulties it presents and the importance of post-mortem CT in diagnosis.

求助全文
通过发布文献求助,成功后即可免费获取论文全文。 去求助
来源期刊
Forensic Science, Medicine and Pathology
Forensic Science, Medicine and Pathology MEDICINE, LEGAL-PATHOLOGY
CiteScore
3.90
自引率
5.60%
发文量
114
审稿时长
6-12 weeks
期刊介绍: Forensic Science, Medicine and Pathology encompasses all aspects of modern day forensics, equally applying to children or adults, either living or the deceased. This includes forensic science, medicine, nursing, and pathology, as well as toxicology, human identification, mass disasters/mass war graves, profiling, imaging, policing, wound assessment, sexual assault, anthropology, archeology, forensic search, entomology, botany, biology, veterinary pathology, and DNA. Forensic Science, Medicine, and Pathology presents a balance of forensic research and reviews from around the world to reflect modern advances through peer-reviewed papers, short communications, meeting proceedings and case reports.
×
引用
GB/T 7714-2015
复制
MLA
复制
APA
复制
导出至
BibTeX EndNote RefMan NoteFirst NoteExpress
×
提示
您的信息不完整,为了账户安全,请先补充。
现在去补充
×
提示
您因"违规操作"
具体请查看互助需知
我知道了
×
提示
确定
请完成安全验证×
copy
已复制链接
快去分享给好友吧!
我知道了
右上角分享
点击右上角分享
0
联系我们:info@booksci.cn Book学术提供免费学术资源搜索服务,方便国内外学者检索中英文文献。致力于提供最便捷和优质的服务体验。 Copyright © 2023 布克学术 All rights reserved.
京ICP备2023020795号-1
ghs 京公网安备 11010802042870号
Book学术文献互助
Book学术文献互助群
群 号:604180095
Book学术官方微信