人参提取物通过下调细胞死亡相关基因对顺铂诱导AKI的保护作用。

IF 3.9 2区 综合性期刊 Q1 MULTIDISCIPLINARY SCIENCES
Reza Alipanah-Moghadam, Vahideh Aghamohammadi, Sina Seifi, Hedieh Esmaeili, Somaieh Noroozzadeh, Farhad Jeddi, Ramin Salimnejad, Ali Nemati
{"title":"人参提取物通过下调细胞死亡相关基因对顺铂诱导AKI的保护作用。","authors":"Reza Alipanah-Moghadam, Vahideh Aghamohammadi, Sina Seifi, Hedieh Esmaeili, Somaieh Noroozzadeh, Farhad Jeddi, Ramin Salimnejad, Ali Nemati","doi":"10.1038/s41598-025-87447-0","DOIUrl":null,"url":null,"abstract":"<p><p>This study is designed to assess the effect of root extract of P. ginseng on kidney tissue injury attributed to cisplatin and its molecular mechanism involved in this process in the AKI rat model. Twenty-four male Wistar rats were randomly allocated into 4 experimental groups including: the control group, the cisplatin group, the extract 100 mg/kg group, and the extract 200 mg/kg group. The duration of the investigation was 7 days, and all rats except the control group received a single dose of 10 mg/kg cisplatin on the 4th day. Our findings exhibited a significant reduction in blood concentration of creatinine in extract groups compared to the cisplatin group. In the cisplatin group, severe renal histopathological alterations were observed compared to the control group. In extract groups, significantly less tissue damage was observed than in the cisplatin group. Ginseng extract 200 showed minimal tissue damage as compared to extract 100. The expression of p21, p27, p53, TIMP2, IGFBP7, and NF-κB decreased significantly in extract groups compared to the cisplatin group. Our findings displayed amelioration of cisplatin-induced AKI and dose-dependent decrease of the NF-κB gene expression and cell death-inducing genes by administration of P. ginseng extract.</p>","PeriodicalId":21811,"journal":{"name":"Scientific Reports","volume":"15 1","pages":"3233"},"PeriodicalIF":3.9000,"publicationDate":"2025-01-25","publicationTypes":"Journal Article","fieldsOfStudy":null,"isOpenAccess":false,"openAccessPdf":"https://www.ncbi.nlm.nih.gov/pmc/articles/PMC11763254/pdf/","citationCount":"0","resultStr":"{\"title\":\"Protective effect of Panax ginseng extract on cisplatin-induced AKI via downregulating cell death associated genes.\",\"authors\":\"Reza Alipanah-Moghadam, Vahideh Aghamohammadi, Sina Seifi, Hedieh Esmaeili, Somaieh Noroozzadeh, Farhad Jeddi, Ramin Salimnejad, Ali Nemati\",\"doi\":\"10.1038/s41598-025-87447-0\",\"DOIUrl\":null,\"url\":null,\"abstract\":\"<p><p>This study is designed to assess the effect of root extract of P. ginseng on kidney tissue injury attributed to cisplatin and its molecular mechanism involved in this process in the AKI rat model. Twenty-four male Wistar rats were randomly allocated into 4 experimental groups including: the control group, the cisplatin group, the extract 100 mg/kg group, and the extract 200 mg/kg group. The duration of the investigation was 7 days, and all rats except the control group received a single dose of 10 mg/kg cisplatin on the 4th day. Our findings exhibited a significant reduction in blood concentration of creatinine in extract groups compared to the cisplatin group. In the cisplatin group, severe renal histopathological alterations were observed compared to the control group. In extract groups, significantly less tissue damage was observed than in the cisplatin group. Ginseng extract 200 showed minimal tissue damage as compared to extract 100. The expression of p21, p27, p53, TIMP2, IGFBP7, and NF-κB decreased significantly in extract groups compared to the cisplatin group. Our findings displayed amelioration of cisplatin-induced AKI and dose-dependent decrease of the NF-κB gene expression and cell death-inducing genes by administration of P. ginseng extract.</p>\",\"PeriodicalId\":21811,\"journal\":{\"name\":\"Scientific Reports\",\"volume\":\"15 1\",\"pages\":\"3233\"},\"PeriodicalIF\":3.9000,\"publicationDate\":\"2025-01-25\",\"publicationTypes\":\"Journal Article\",\"fieldsOfStudy\":null,\"isOpenAccess\":false,\"openAccessPdf\":\"https://www.ncbi.nlm.nih.gov/pmc/articles/PMC11763254/pdf/\",\"citationCount\":\"0\",\"resultStr\":null,\"platform\":\"Semanticscholar\",\"paperid\":null,\"PeriodicalName\":\"Scientific Reports\",\"FirstCategoryId\":\"103\",\"ListUrlMain\":\"https://doi.org/10.1038/s41598-025-87447-0\",\"RegionNum\":2,\"RegionCategory\":\"综合性期刊\",\"ArticlePicture\":[],\"TitleCN\":null,\"AbstractTextCN\":null,\"PMCID\":null,\"EPubDate\":\"\",\"PubModel\":\"\",\"JCR\":\"Q1\",\"JCRName\":\"MULTIDISCIPLINARY SCIENCES\",\"Score\":null,\"Total\":0}","platform":"Semanticscholar","paperid":null,"PeriodicalName":"Scientific Reports","FirstCategoryId":"103","ListUrlMain":"https://doi.org/10.1038/s41598-025-87447-0","RegionNum":2,"RegionCategory":"综合性期刊","ArticlePicture":[],"TitleCN":null,"AbstractTextCN":null,"PMCID":null,"EPubDate":"","PubModel":"","JCR":"Q1","JCRName":"MULTIDISCIPLINARY SCIENCES","Score":null,"Total":0}
引用次数: 0

摘要

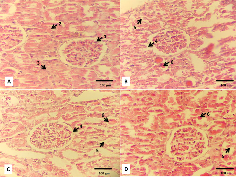
本研究旨在探讨人参根提取物对AKI大鼠顺铂肾组织损伤的影响及其参与的分子机制。将24只雄性Wistar大鼠随机分为4个实验组:对照组、顺铂组、提取物100 mg/kg组、提取物200 mg/kg组。研究时间为7 d,除对照组外,其余大鼠均于第4天给予顺铂单剂量10 mg/kg。我们的研究结果显示,与顺铂组相比,提取物组的血肌酐浓度显著降低。在顺铂组中,与对照组相比,观察到严重的肾脏组织病理学改变。在提取物组中,观察到的组织损伤明显小于顺铂组。人参提取物200与提取物100相比,组织损伤最小。与顺铂组比较,各提取物组p21、p27、p53、TIMP2、IGFBP7、NF-κB的表达均显著降低。我们的研究结果显示,给药人参提取物可改善顺铂诱导的AKI,并剂量依赖性地降低NF-κB基因表达和细胞死亡诱导基因。
本文章由计算机程序翻译,如有差异,请以英文原文为准。

Protective effect of Panax ginseng extract on cisplatin-induced AKI via downregulating cell death associated genes.

Protective effect of Panax ginseng extract on cisplatin-induced AKI via downregulating cell death associated genes.

Protective effect of Panax ginseng extract on cisplatin-induced AKI via downregulating cell death associated genes.

Protective effect of Panax ginseng extract on cisplatin-induced AKI via downregulating cell death associated genes.

This study is designed to assess the effect of root extract of P. ginseng on kidney tissue injury attributed to cisplatin and its molecular mechanism involved in this process in the AKI rat model. Twenty-four male Wistar rats were randomly allocated into 4 experimental groups including: the control group, the cisplatin group, the extract 100 mg/kg group, and the extract 200 mg/kg group. The duration of the investigation was 7 days, and all rats except the control group received a single dose of 10 mg/kg cisplatin on the 4th day. Our findings exhibited a significant reduction in blood concentration of creatinine in extract groups compared to the cisplatin group. In the cisplatin group, severe renal histopathological alterations were observed compared to the control group. In extract groups, significantly less tissue damage was observed than in the cisplatin group. Ginseng extract 200 showed minimal tissue damage as compared to extract 100. The expression of p21, p27, p53, TIMP2, IGFBP7, and NF-κB decreased significantly in extract groups compared to the cisplatin group. Our findings displayed amelioration of cisplatin-induced AKI and dose-dependent decrease of the NF-κB gene expression and cell death-inducing genes by administration of P. ginseng extract.

求助全文
通过发布文献求助,成功后即可免费获取论文全文。 去求助
来源期刊
Scientific Reports
Scientific Reports Natural Science Disciplines-
CiteScore
7.50
自引率
4.30%
发文量
19567
审稿时长
3.9 months
期刊介绍: We publish original research from all areas of the natural sciences, psychology, medicine and engineering. You can learn more about what we publish by browsing our specific scientific subject areas below or explore Scientific Reports by browsing all articles and collections. Scientific Reports has a 2-year impact factor: 4.380 (2021), and is the 6th most-cited journal in the world, with more than 540,000 citations in 2020 (Clarivate Analytics, 2021). •Engineering Engineering covers all aspects of engineering, technology, and applied science. It plays a crucial role in the development of technologies to address some of the world''s biggest challenges, helping to save lives and improve the way we live. •Physical sciences Physical sciences are those academic disciplines that aim to uncover the underlying laws of nature — often written in the language of mathematics. It is a collective term for areas of study including astronomy, chemistry, materials science and physics. •Earth and environmental sciences Earth and environmental sciences cover all aspects of Earth and planetary science and broadly encompass solid Earth processes, surface and atmospheric dynamics, Earth system history, climate and climate change, marine and freshwater systems, and ecology. It also considers the interactions between humans and these systems. •Biological sciences Biological sciences encompass all the divisions of natural sciences examining various aspects of vital processes. The concept includes anatomy, physiology, cell biology, biochemistry and biophysics, and covers all organisms from microorganisms, animals to plants. •Health sciences The health sciences study health, disease and healthcare. This field of study aims to develop knowledge, interventions and technology for use in healthcare to improve the treatment of patients.
×
引用
GB/T 7714-2015
复制
MLA
复制
APA
复制
导出至
BibTeX EndNote RefMan NoteFirst NoteExpress
×
提示
您的信息不完整,为了账户安全,请先补充。
现在去补充
×
提示
您因"违规操作"
具体请查看互助需知
我知道了
×
提示
确定
请完成安全验证×
copy
已复制链接
快去分享给好友吧!
我知道了
右上角分享
点击右上角分享
0
联系我们:info@booksci.cn Book学术提供免费学术资源搜索服务,方便国内外学者检索中英文文献。致力于提供最便捷和优质的服务体验。 Copyright © 2023 布克学术 All rights reserved.
京ICP备2023020795号-1
ghs 京公网安备 11010802042870号
Book学术文献互助
Book学术文献互助群
群 号:604180095
Book学术官方微信