内镜下眼眶清除/清创:鼻-眼眶毛霉菌病眼眶清除术的潜在替代品。

IF 1.1 Q3 OTORHINOLARYNGOLOGY
International Archives of Otorhinolaryngology Pub Date : 2025-01-23 eCollection Date: 2025-01-01 DOI:10.1055/s-0044-1791645
Ahmed Hassan Sweed, Ahmed Mohammad Anany, Atef Hussein, Waleed Nada, Mohamed Eesa, Ismail Elnashar, Mohamed Mobashir, Enas Moustafa Ibrahim, Mohammed Elsayed Elmaghawry
{"title":"内镜下眼眶清除/清创:鼻-眼眶毛霉菌病眼眶清除术的潜在替代品。","authors":"Ahmed Hassan Sweed, Ahmed Mohammad Anany, Atef Hussein, Waleed Nada, Mohamed Eesa, Ismail Elnashar, Mohamed Mobashir, Enas Moustafa Ibrahim, Mohammed Elsayed Elmaghawry","doi":"10.1055/s-0044-1791645","DOIUrl":null,"url":null,"abstract":"<p><p><b>Introduction</b>  Mucormycosis is an aggressive, lethal fungal infection affecting the nasal and paranasal territory in immunocompromised patients. Orbital involvement is not uncommon and may require orbital exenteration. <b>Objectives</b>  The management of orbital involvement in invasive fungal sinusitis is challenging, ranging from conservative retrobulbar amphotericin B injection in the early stages to orbital exenteration in late stages. Endoscopic endonasal debridement is a minimally invasive technique used to manage orbital fungal involvement in the late stages. <b>Methods</b>  Endoscopic endonasal orbital clearance was performed to manage late-stage orbital invasive fungal infection (≥ stage 3c) or after failure of retrobulbar amphotericin B injection with no light perception. Removal of the lamina papyracea (LP) and incision of the periorbita were done to expose all the necrotic intraorbital content in the extra and intraconal spaces. A microdebrider was utilized to debride necrotic fungal infected tissue until a healthy vascularized plane was reached. Gelfoam (Pfizer Inc., New York, NY, United States) soaked in amphotericin B was applied as an adjunctive step to deliver antifungal medication to the orbital content. <b>Results</b>  Fourteen patients were included in the study, 9 of whom were male and 5 female, with a mean age of 58.5 years. Eleven patients showed no evidence of disease progression (complete recovery and cessation of medical treatment). Two patients died 15 days after the surgery. The last patient developed frontal lobe abscess but has been treated with double antifungal medication. <b>Conclusion</b>  Endoscopic endonasal orbital debridement could be an effective method to treat late-stage orbital fungal infection without jeopardizing the patient's life. <b>Level of Evidence</b> : 4.</p>","PeriodicalId":13731,"journal":{"name":"International Archives of Otorhinolaryngology","volume":"29 1","pages":"1-7"},"PeriodicalIF":1.1000,"publicationDate":"2025-01-23","publicationTypes":"Journal Article","fieldsOfStudy":null,"isOpenAccess":false,"openAccessPdf":"https://www.ncbi.nlm.nih.gov/pmc/articles/PMC11756954/pdf/","citationCount":"0","resultStr":"{\"title\":\"Endoscopic Orbital Clearance/Debridement: A Potential Substitute for Orbital Exenteration in Rhino-orbital Mucormycosis.\",\"authors\":\"Ahmed Hassan Sweed, Ahmed Mohammad Anany, Atef Hussein, Waleed Nada, Mohamed Eesa, Ismail Elnashar, Mohamed Mobashir, Enas Moustafa Ibrahim, Mohammed Elsayed Elmaghawry\",\"doi\":\"10.1055/s-0044-1791645\",\"DOIUrl\":null,\"url\":null,\"abstract\":\"<p><p><b>Introduction</b>  Mucormycosis is an aggressive, lethal fungal infection affecting the nasal and paranasal territory in immunocompromised patients. Orbital involvement is not uncommon and may require orbital exenteration. <b>Objectives</b>  The management of orbital involvement in invasive fungal sinusitis is challenging, ranging from conservative retrobulbar amphotericin B injection in the early stages to orbital exenteration in late stages. Endoscopic endonasal debridement is a minimally invasive technique used to manage orbital fungal involvement in the late stages. <b>Methods</b>  Endoscopic endonasal orbital clearance was performed to manage late-stage orbital invasive fungal infection (≥ stage 3c) or after failure of retrobulbar amphotericin B injection with no light perception. Removal of the lamina papyracea (LP) and incision of the periorbita were done to expose all the necrotic intraorbital content in the extra and intraconal spaces. A microdebrider was utilized to debride necrotic fungal infected tissue until a healthy vascularized plane was reached. Gelfoam (Pfizer Inc., New York, NY, United States) soaked in amphotericin B was applied as an adjunctive step to deliver antifungal medication to the orbital content. <b>Results</b>  Fourteen patients were included in the study, 9 of whom were male and 5 female, with a mean age of 58.5 years. Eleven patients showed no evidence of disease progression (complete recovery and cessation of medical treatment). Two patients died 15 days after the surgery. The last patient developed frontal lobe abscess but has been treated with double antifungal medication. <b>Conclusion</b>  Endoscopic endonasal orbital debridement could be an effective method to treat late-stage orbital fungal infection without jeopardizing the patient's life. <b>Level of Evidence</b> : 4.</p>\",\"PeriodicalId\":13731,\"journal\":{\"name\":\"International Archives of Otorhinolaryngology\",\"volume\":\"29 1\",\"pages\":\"1-7\"},\"PeriodicalIF\":1.1000,\"publicationDate\":\"2025-01-23\",\"publicationTypes\":\"Journal Article\",\"fieldsOfStudy\":null,\"isOpenAccess\":false,\"openAccessPdf\":\"https://www.ncbi.nlm.nih.gov/pmc/articles/PMC11756954/pdf/\",\"citationCount\":\"0\",\"resultStr\":null,\"platform\":\"Semanticscholar\",\"paperid\":null,\"PeriodicalName\":\"International Archives of Otorhinolaryngology\",\"FirstCategoryId\":\"1085\",\"ListUrlMain\":\"https://doi.org/10.1055/s-0044-1791645\",\"RegionNum\":0,\"RegionCategory\":null,\"ArticlePicture\":[],\"TitleCN\":null,\"AbstractTextCN\":null,\"PMCID\":null,\"EPubDate\":\"2025/1/1 0:00:00\",\"PubModel\":\"eCollection\",\"JCR\":\"Q3\",\"JCRName\":\"OTORHINOLARYNGOLOGY\",\"Score\":null,\"Total\":0}","platform":"Semanticscholar","paperid":null,"PeriodicalName":"International Archives of Otorhinolaryngology","FirstCategoryId":"1085","ListUrlMain":"https://doi.org/10.1055/s-0044-1791645","RegionNum":0,"RegionCategory":null,"ArticlePicture":[],"TitleCN":null,"AbstractTextCN":null,"PMCID":null,"EPubDate":"2025/1/1 0:00:00","PubModel":"eCollection","JCR":"Q3","JCRName":"OTORHINOLARYNGOLOGY","Score":null,"Total":0}
引用次数: 0

摘要

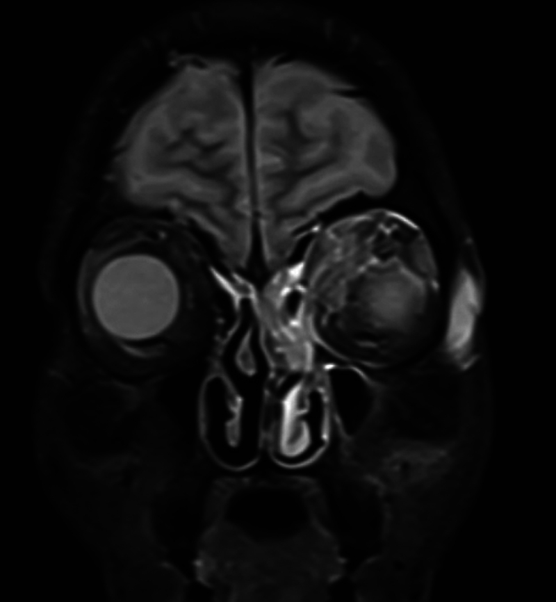
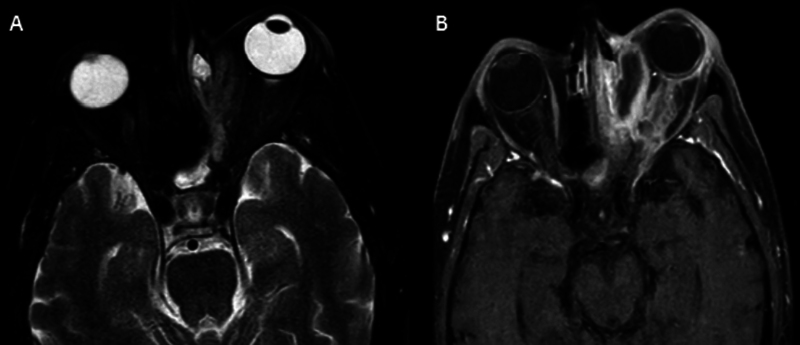
毛霉病是一种侵袭性的、致命的真菌感染,影响免疫功能低下患者的鼻腔和副鼻部。眼眶受累并不罕见,可能需要眼眶摘除。目的侵袭性真菌性鼻窦炎累及眼眶的治疗具有挑战性,从早期保守的球后两性霉素B注射到晚期的眼眶摘除。内镜下鼻内清创是一种微创技术,用于治疗晚期眼眶真菌感染。方法对晚期(≥3c期)眼眶侵袭性真菌感染或球后两性霉素B注射失败无光感患者行鼻内窥镜下眼眶清除率治疗。切除纸草层(LP)并切开眶周,以暴露眶外和眶内间隙所有坏死的眶内内容物。使用微清创器对坏死的真菌感染组织进行清创术,直至达到健康的血管化平面。Gelfoam (Pfizer Inc., New York, NY, United States)浸泡在两性霉素B中作为辅助步骤,将抗真菌药物输送到眼眶内容物。结果共纳入14例患者,其中男9例,女5例,平均年龄58.5岁。11例患者无疾病进展迹象(完全康复和停止药物治疗)。两名患者在手术后15天死亡。最后一位患者出现额叶脓肿,但已接受双重抗真菌药物治疗。结论鼻内镜下眼眶清创是治疗晚期眼眶真菌感染的有效方法,且不危及患者生命。证据等级:4。
本文章由计算机程序翻译,如有差异,请以英文原文为准。

Endoscopic Orbital Clearance/Debridement: A Potential Substitute for Orbital Exenteration in Rhino-orbital Mucormycosis.

Endoscopic Orbital Clearance/Debridement: A Potential Substitute for Orbital Exenteration in Rhino-orbital Mucormycosis.

Endoscopic Orbital Clearance/Debridement: A Potential Substitute for Orbital Exenteration in Rhino-orbital Mucormycosis.

Endoscopic Orbital Clearance/Debridement: A Potential Substitute for Orbital Exenteration in Rhino-orbital Mucormycosis.

Introduction  Mucormycosis is an aggressive, lethal fungal infection affecting the nasal and paranasal territory in immunocompromised patients. Orbital involvement is not uncommon and may require orbital exenteration. Objectives  The management of orbital involvement in invasive fungal sinusitis is challenging, ranging from conservative retrobulbar amphotericin B injection in the early stages to orbital exenteration in late stages. Endoscopic endonasal debridement is a minimally invasive technique used to manage orbital fungal involvement in the late stages. Methods  Endoscopic endonasal orbital clearance was performed to manage late-stage orbital invasive fungal infection (≥ stage 3c) or after failure of retrobulbar amphotericin B injection with no light perception. Removal of the lamina papyracea (LP) and incision of the periorbita were done to expose all the necrotic intraorbital content in the extra and intraconal spaces. A microdebrider was utilized to debride necrotic fungal infected tissue until a healthy vascularized plane was reached. Gelfoam (Pfizer Inc., New York, NY, United States) soaked in amphotericin B was applied as an adjunctive step to deliver antifungal medication to the orbital content. Results  Fourteen patients were included in the study, 9 of whom were male and 5 female, with a mean age of 58.5 years. Eleven patients showed no evidence of disease progression (complete recovery and cessation of medical treatment). Two patients died 15 days after the surgery. The last patient developed frontal lobe abscess but has been treated with double antifungal medication. Conclusion  Endoscopic endonasal orbital debridement could be an effective method to treat late-stage orbital fungal infection without jeopardizing the patient's life. Level of Evidence : 4.

求助全文
通过发布文献求助,成功后即可免费获取论文全文。 去求助
来源期刊
CiteScore
2.80
自引率
0.00%
发文量
84
审稿时长
12 weeks
×
引用
GB/T 7714-2015
复制
MLA
复制
APA
复制
导出至
BibTeX EndNote RefMan NoteFirst NoteExpress
×
提示
您的信息不完整,为了账户安全,请先补充。
现在去补充
×
提示
您因"违规操作"
具体请查看互助需知
我知道了
×
提示
确定
请完成安全验证×
copy
已复制链接
快去分享给好友吧!
我知道了
右上角分享
点击右上角分享
0
联系我们:info@booksci.cn Book学术提供免费学术资源搜索服务,方便国内外学者检索中英文文献。致力于提供最便捷和优质的服务体验。 Copyright © 2023 布克学术 All rights reserved.
京ICP备2023020795号-1
ghs 京公网安备 11010802042870号
Book学术文献互助
Book学术文献互助群
群 号:604180095
Book学术官方微信