同时接种季节性流感疫苗和H1N1流感疫苗引发小儿急性播散性脑脊髓炎:一例报告和回顾

IF 2 Q3 CLINICAL NEUROLOGY
NeuroSci Pub Date : 2024-12-30 DOI:10.3390/neurosci6010001
George Imataka, Hideaki Shiraishi, Shigemi Yoshihara
{"title":"同时接种季节性流感疫苗和H1N1流感疫苗引发小儿急性播散性脑脊髓炎:一例报告和回顾","authors":"George Imataka, Hideaki Shiraishi, Shigemi Yoshihara","doi":"10.3390/neurosci6010001","DOIUrl":null,"url":null,"abstract":"<p><strong>Background: </strong>Acute disseminated encephalomyelitis (ADEM) is a rare, immune-mediated inflammatory disorder of the central nervous system (CNS), typically characterized by the acute onset of multifocal demyelination. The pathogenesis of ADEM remains unclear, but it is believed to be triggered by an autoimmune response, often following viral infections or vaccinations.</p><p><strong>Case report: </strong>This case report describes a 3-year-old child who developed ADEM after receiving two concurrent influenza vaccines: one for seasonal influenza and one for the 2009 H1N1 pandemic. The patient presented with motor regression, mild pleocytosis in cerebrospinal fluid (CSF), and typical MRI findings of ADEM. Steroid pulse therapy resulted in rapid improvement, and the patient recovered fully without sequelae.</p><p><strong>Results: </strong>Although the influenza vaccine has been linked to ADEM in some studies, it remains uncertain whether the simultaneous administration of both vaccines contributed to the onset of ADEM. While influenza vaccines are considered safe and effective by health organizations such as the CDC, data suggest that the incidence of ADEM and other neurological complications is significantly higher after natural influenza infections compared to vaccination. This highlights the importance of vaccination in preventing severe outcomes.</p><p><strong>Conclusions: </strong>This case underscores the importance of monitoring and reporting adverse events following vaccination to refine our understanding of rare complications like ADEM. While simultaneous vaccine administration warrants further research, the benefits of vaccination in preventing severe complications from natural infections far outweigh the risks. Continued vigilance and improved surveillance systems are essential for maintaining public confidence in vaccination programs.</p>","PeriodicalId":74294,"journal":{"name":"NeuroSci","volume":"6 1","pages":""},"PeriodicalIF":2.0000,"publicationDate":"2024-12-30","publicationTypes":"Journal Article","fieldsOfStudy":null,"isOpenAccess":false,"openAccessPdf":"https://www.ncbi.nlm.nih.gov/pmc/articles/PMC11755601/pdf/","citationCount":"0","resultStr":"{\"title\":\"Pediatric Acute Disseminated Encephalomyelitis Triggered by Concurrent Administration of Seasonal and H1N1 Influenza Vaccines: A Case Report and Review.\",\"authors\":\"George Imataka, Hideaki Shiraishi, Shigemi Yoshihara\",\"doi\":\"10.3390/neurosci6010001\",\"DOIUrl\":null,\"url\":null,\"abstract\":\"<p><strong>Background: </strong>Acute disseminated encephalomyelitis (ADEM) is a rare, immune-mediated inflammatory disorder of the central nervous system (CNS), typically characterized by the acute onset of multifocal demyelination. The pathogenesis of ADEM remains unclear, but it is believed to be triggered by an autoimmune response, often following viral infections or vaccinations.</p><p><strong>Case report: </strong>This case report describes a 3-year-old child who developed ADEM after receiving two concurrent influenza vaccines: one for seasonal influenza and one for the 2009 H1N1 pandemic. The patient presented with motor regression, mild pleocytosis in cerebrospinal fluid (CSF), and typical MRI findings of ADEM. Steroid pulse therapy resulted in rapid improvement, and the patient recovered fully without sequelae.</p><p><strong>Results: </strong>Although the influenza vaccine has been linked to ADEM in some studies, it remains uncertain whether the simultaneous administration of both vaccines contributed to the onset of ADEM. While influenza vaccines are considered safe and effective by health organizations such as the CDC, data suggest that the incidence of ADEM and other neurological complications is significantly higher after natural influenza infections compared to vaccination. This highlights the importance of vaccination in preventing severe outcomes.</p><p><strong>Conclusions: </strong>This case underscores the importance of monitoring and reporting adverse events following vaccination to refine our understanding of rare complications like ADEM. While simultaneous vaccine administration warrants further research, the benefits of vaccination in preventing severe complications from natural infections far outweigh the risks. Continued vigilance and improved surveillance systems are essential for maintaining public confidence in vaccination programs.</p>\",\"PeriodicalId\":74294,\"journal\":{\"name\":\"NeuroSci\",\"volume\":\"6 1\",\"pages\":\"\"},\"PeriodicalIF\":2.0000,\"publicationDate\":\"2024-12-30\",\"publicationTypes\":\"Journal Article\",\"fieldsOfStudy\":null,\"isOpenAccess\":false,\"openAccessPdf\":\"https://www.ncbi.nlm.nih.gov/pmc/articles/PMC11755601/pdf/\",\"citationCount\":\"0\",\"resultStr\":null,\"platform\":\"Semanticscholar\",\"paperid\":null,\"PeriodicalName\":\"NeuroSci\",\"FirstCategoryId\":\"1085\",\"ListUrlMain\":\"https://doi.org/10.3390/neurosci6010001\",\"RegionNum\":0,\"RegionCategory\":null,\"ArticlePicture\":[],\"TitleCN\":null,\"AbstractTextCN\":null,\"PMCID\":null,\"EPubDate\":\"\",\"PubModel\":\"\",\"JCR\":\"Q3\",\"JCRName\":\"CLINICAL NEUROLOGY\",\"Score\":null,\"Total\":0}","platform":"Semanticscholar","paperid":null,"PeriodicalName":"NeuroSci","FirstCategoryId":"1085","ListUrlMain":"https://doi.org/10.3390/neurosci6010001","RegionNum":0,"RegionCategory":null,"ArticlePicture":[],"TitleCN":null,"AbstractTextCN":null,"PMCID":null,"EPubDate":"","PubModel":"","JCR":"Q3","JCRName":"CLINICAL NEUROLOGY","Score":null,"Total":0}
引用次数: 0

摘要

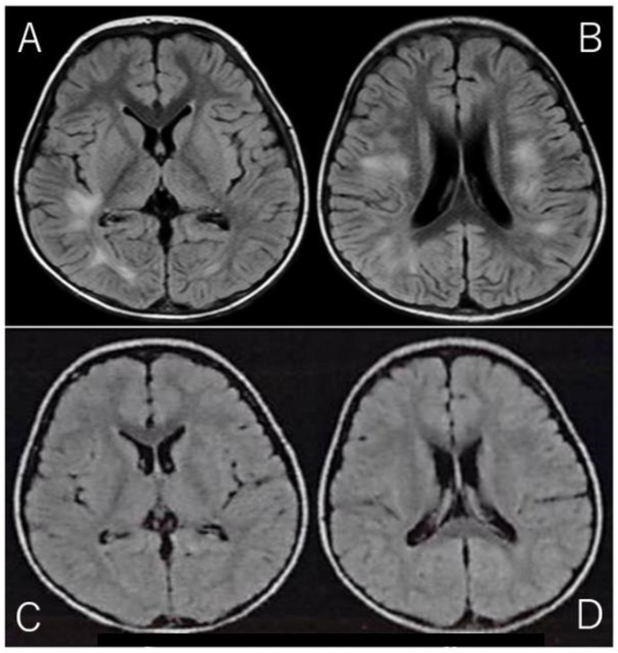
背景:急性播散性脑脊髓炎(ADEM)是一种罕见的、免疫介导的中枢神经系统(CNS)炎症性疾病,典型特征是急性发作的多灶性脱髓鞘。ADEM的发病机制尚不清楚,但据信是由自身免疫反应引发的,通常是在病毒感染或接种疫苗后。病例报告:本病例报告描述了一名3岁儿童在同时接种两种流感疫苗后发生ADEM:一种是季节性流感疫苗,另一种是2009年H1N1流感大流行疫苗。患者表现为运动功能减退,脑脊液(CSF)轻度多细胞增多,MRI表现为典型的ADEM。类固醇脉冲治疗迅速改善,患者完全康复,无后遗症。结果:尽管在一些研究中发现流感疫苗与ADEM有关,但仍不确定同时接种两种疫苗是否会导致ADEM的发病。虽然流感疫苗被疾控中心等卫生组织认为是安全有效的,但数据表明,与接种疫苗相比,自然流感感染后发生ADEM和其他神经系统并发症的发生率要高得多。这突出了疫苗接种在预防严重后果方面的重要性。结论:本病例强调了监测和报告疫苗接种后不良事件的重要性,以完善我们对罕见并发症(如ADEM)的理解。虽然同时接种疫苗需要进一步研究,但接种疫苗在预防自然感染引起的严重并发症方面的益处远远大于风险。保持警惕和改进监测系统对于保持公众对疫苗接种规划的信心至关重要。
本文章由计算机程序翻译,如有差异,请以英文原文为准。

Pediatric Acute Disseminated Encephalomyelitis Triggered by Concurrent Administration of Seasonal and H1N1 Influenza Vaccines: A Case Report and Review.

Pediatric Acute Disseminated Encephalomyelitis Triggered by Concurrent Administration of Seasonal and H1N1 Influenza Vaccines: A Case Report and Review.

Pediatric Acute Disseminated Encephalomyelitis Triggered by Concurrent Administration of Seasonal and H1N1 Influenza Vaccines: A Case Report and Review.

Background: Acute disseminated encephalomyelitis (ADEM) is a rare, immune-mediated inflammatory disorder of the central nervous system (CNS), typically characterized by the acute onset of multifocal demyelination. The pathogenesis of ADEM remains unclear, but it is believed to be triggered by an autoimmune response, often following viral infections or vaccinations.

Case report: This case report describes a 3-year-old child who developed ADEM after receiving two concurrent influenza vaccines: one for seasonal influenza and one for the 2009 H1N1 pandemic. The patient presented with motor regression, mild pleocytosis in cerebrospinal fluid (CSF), and typical MRI findings of ADEM. Steroid pulse therapy resulted in rapid improvement, and the patient recovered fully without sequelae.

Results: Although the influenza vaccine has been linked to ADEM in some studies, it remains uncertain whether the simultaneous administration of both vaccines contributed to the onset of ADEM. While influenza vaccines are considered safe and effective by health organizations such as the CDC, data suggest that the incidence of ADEM and other neurological complications is significantly higher after natural influenza infections compared to vaccination. This highlights the importance of vaccination in preventing severe outcomes.

Conclusions: This case underscores the importance of monitoring and reporting adverse events following vaccination to refine our understanding of rare complications like ADEM. While simultaneous vaccine administration warrants further research, the benefits of vaccination in preventing severe complications from natural infections far outweigh the risks. Continued vigilance and improved surveillance systems are essential for maintaining public confidence in vaccination programs.

求助全文
通过发布文献求助,成功后即可免费获取论文全文。 去求助
来源期刊
自引率
0.00%
发文量
0
审稿时长
11 weeks
×
引用
GB/T 7714-2015
复制
MLA
复制
APA
复制
导出至
BibTeX EndNote RefMan NoteFirst NoteExpress
×
提示
您的信息不完整,为了账户安全,请先补充。
现在去补充
×
提示
您因"违规操作"
具体请查看互助需知
我知道了
×
提示
确定
请完成安全验证×
copy
已复制链接
快去分享给好友吧!
我知道了
右上角分享
点击右上角分享
0
联系我们:info@booksci.cn Book学术提供免费学术资源搜索服务,方便国内外学者检索中英文文献。致力于提供最便捷和优质的服务体验。 Copyright © 2023 布克学术 All rights reserved.
京ICP备2023020795号-1
ghs 京公网安备 11010802042870号
Book学术文献互助
Book学术文献互助群
群 号:604180095
Book学术官方微信