鳞状黑色素细胞肿瘤,一个仍然笼罩在神秘的实体:病例报告和文献复习。

IF 1.7 Q3 DERMATOLOGY
Joana Sorino, Mario Della Mura, Anna Colagrande, Cecilia Salzillo, Giuseppe Ingravallo, Gerardo Cazzato
{"title":"鳞状黑色素细胞肿瘤,一个仍然笼罩在神秘的实体:病例报告和文献复习。","authors":"Joana Sorino, Mario Della Mura, Anna Colagrande, Cecilia Salzillo, Giuseppe Ingravallo, Gerardo Cazzato","doi":"10.3390/dermatopathology12010001","DOIUrl":null,"url":null,"abstract":"<p><p>Cutaneous squamomelanocytic tumor (SMT) is a very rare cutaneous malignancy, composed of a dual phenotypic population of both malignant melanocytes and keratinocytes, intimately intermingled together. Herein, we report a new case of a SMT occurring in an 82-year-old man, located on the scalp. Histopathology revealed a mixed population consisting of squamous cell carcinoma and melanoma within the same lesion, also confirmed using immunohistochemical staining for high molecular-weight cytokeratins (HMWCKs) and Melan-A. Moreover, to the best of our knowledge, for the first time, we tested SMT for the preferentially expressed antigen in melanoma (PRAME), which revealed a strong and diffuse positivity in the melanocytic component. These tumors need to be distinguished by more frequent collision tumors and colonization. Furthermore, we provide a comprehensive review of the literature, focusing on clinical and histopathological aspects, biological behavior and still-debated, but fascinating histogenesis of this elusive entity.</p>","PeriodicalId":42885,"journal":{"name":"Dermatopathology","volume":"12 1","pages":""},"PeriodicalIF":1.7000,"publicationDate":"2025-01-13","publicationTypes":"Journal Article","fieldsOfStudy":null,"isOpenAccess":false,"openAccessPdf":"https://www.ncbi.nlm.nih.gov/pmc/articles/PMC11755473/pdf/","citationCount":"0","resultStr":"{\"title\":\"Squamomelanocytic Tumor, An Entity Still Shrouded in Mystery: Case Report and Literature Review.\",\"authors\":\"Joana Sorino, Mario Della Mura, Anna Colagrande, Cecilia Salzillo, Giuseppe Ingravallo, Gerardo Cazzato\",\"doi\":\"10.3390/dermatopathology12010001\",\"DOIUrl\":null,\"url\":null,\"abstract\":\"<p><p>Cutaneous squamomelanocytic tumor (SMT) is a very rare cutaneous malignancy, composed of a dual phenotypic population of both malignant melanocytes and keratinocytes, intimately intermingled together. Herein, we report a new case of a SMT occurring in an 82-year-old man, located on the scalp. Histopathology revealed a mixed population consisting of squamous cell carcinoma and melanoma within the same lesion, also confirmed using immunohistochemical staining for high molecular-weight cytokeratins (HMWCKs) and Melan-A. Moreover, to the best of our knowledge, for the first time, we tested SMT for the preferentially expressed antigen in melanoma (PRAME), which revealed a strong and diffuse positivity in the melanocytic component. These tumors need to be distinguished by more frequent collision tumors and colonization. Furthermore, we provide a comprehensive review of the literature, focusing on clinical and histopathological aspects, biological behavior and still-debated, but fascinating histogenesis of this elusive entity.</p>\",\"PeriodicalId\":42885,\"journal\":{\"name\":\"Dermatopathology\",\"volume\":\"12 1\",\"pages\":\"\"},\"PeriodicalIF\":1.7000,\"publicationDate\":\"2025-01-13\",\"publicationTypes\":\"Journal Article\",\"fieldsOfStudy\":null,\"isOpenAccess\":false,\"openAccessPdf\":\"https://www.ncbi.nlm.nih.gov/pmc/articles/PMC11755473/pdf/\",\"citationCount\":\"0\",\"resultStr\":null,\"platform\":\"Semanticscholar\",\"paperid\":null,\"PeriodicalName\":\"Dermatopathology\",\"FirstCategoryId\":\"1085\",\"ListUrlMain\":\"https://doi.org/10.3390/dermatopathology12010001\",\"RegionNum\":0,\"RegionCategory\":null,\"ArticlePicture\":[],\"TitleCN\":null,\"AbstractTextCN\":null,\"PMCID\":null,\"EPubDate\":\"\",\"PubModel\":\"\",\"JCR\":\"Q3\",\"JCRName\":\"DERMATOLOGY\",\"Score\":null,\"Total\":0}","platform":"Semanticscholar","paperid":null,"PeriodicalName":"Dermatopathology","FirstCategoryId":"1085","ListUrlMain":"https://doi.org/10.3390/dermatopathology12010001","RegionNum":0,"RegionCategory":null,"ArticlePicture":[],"TitleCN":null,"AbstractTextCN":null,"PMCID":null,"EPubDate":"","PubModel":"","JCR":"Q3","JCRName":"DERMATOLOGY","Score":null,"Total":0}
引用次数: 0

摘要

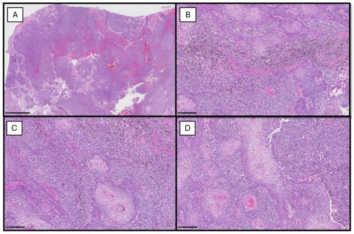
皮肤鳞状黑色素细胞瘤(SMT)是一种非常罕见的皮肤恶性肿瘤,由恶性黑色素细胞和角化细胞的双重表型群体组成,密切混合在一起。在此,我们报告一个新的SMT病例发生在一个82岁的男人,位于头皮。组织病理学显示,在同一病灶内存在由鳞状细胞癌和黑色素瘤组成的混合群体,也通过免疫组织化学染色对高分子量细胞角蛋白(HMWCKs)和黑色素- a进行了证实。此外,据我们所知,我们首次对黑色素瘤中优先表达抗原(PRAME)进行了SMT检测,结果显示黑色素细胞成分具有强烈的弥漫性阳性。这些肿瘤需要通过更频繁的碰撞肿瘤和定植来区分。此外,我们提供了一个全面的文献综述,侧重于临床和组织病理学方面,生物学行为和仍然存在争议,但令人着迷的组织发生这个难以捉摸的实体。
本文章由计算机程序翻译,如有差异,请以英文原文为准。

Squamomelanocytic Tumor, An Entity Still Shrouded in Mystery: Case Report and Literature Review.

Squamomelanocytic Tumor, An Entity Still Shrouded in Mystery: Case Report and Literature Review.

Squamomelanocytic Tumor, An Entity Still Shrouded in Mystery: Case Report and Literature Review.

Cutaneous squamomelanocytic tumor (SMT) is a very rare cutaneous malignancy, composed of a dual phenotypic population of both malignant melanocytes and keratinocytes, intimately intermingled together. Herein, we report a new case of a SMT occurring in an 82-year-old man, located on the scalp. Histopathology revealed a mixed population consisting of squamous cell carcinoma and melanoma within the same lesion, also confirmed using immunohistochemical staining for high molecular-weight cytokeratins (HMWCKs) and Melan-A. Moreover, to the best of our knowledge, for the first time, we tested SMT for the preferentially expressed antigen in melanoma (PRAME), which revealed a strong and diffuse positivity in the melanocytic component. These tumors need to be distinguished by more frequent collision tumors and colonization. Furthermore, we provide a comprehensive review of the literature, focusing on clinical and histopathological aspects, biological behavior and still-debated, but fascinating histogenesis of this elusive entity.

求助全文
通过发布文献求助,成功后即可免费获取论文全文。 去求助
来源期刊
Dermatopathology
Dermatopathology DERMATOLOGY-
自引率
5.30%
发文量
39
审稿时长
11 weeks
×
引用
GB/T 7714-2015
复制
MLA
复制
APA
复制
导出至
BibTeX EndNote RefMan NoteFirst NoteExpress
×
提示
您的信息不完整,为了账户安全,请先补充。
现在去补充
×
提示
您因"违规操作"
具体请查看互助需知
我知道了
×
提示
确定
请完成安全验证×
copy
已复制链接
快去分享给好友吧!
我知道了
右上角分享
点击右上角分享
0
联系我们:info@booksci.cn Book学术提供免费学术资源搜索服务,方便国内外学者检索中英文文献。致力于提供最便捷和优质的服务体验。 Copyright © 2023 布克学术 All rights reserved.
京ICP备2023020795号-1
ghs 京公网安备 11010802042870号
Book学术文献互助
Book学术文献互助群
群 号:604180095
Book学术官方微信