骨质疏松患者骨水泥增强椎弓根螺钉内固定:安全性、有效性和并发症。

IF 1.7 4区 医学 Q4 CLINICAL NEUROLOGY
Journal of Korean Neurosurgical Society Pub Date : 2025-03-01 Epub Date: 2025-01-23 DOI:10.3340/jkns.2024.0081
Tomasz Olbrycht, Kajetan Latka, Waldemar Kolodziej, Tomasz Krzeszowiec, Dariusz Latka
{"title":"骨质疏松患者骨水泥增强椎弓根螺钉内固定:安全性、有效性和并发症。","authors":"Tomasz Olbrycht, Kajetan Latka, Waldemar Kolodziej, Tomasz Krzeszowiec, Dariusz Latka","doi":"10.3340/jkns.2024.0081","DOIUrl":null,"url":null,"abstract":"<p><p>Cement-augmented pedicle screw instrumentation is a widely accepted method for managing osteoporotic fractures, but it carries inherent risks, particularly related to cement leakage and embolism. This study aimed to analyze a clinical case of complications following cement fixation and provide a detailed review of relevant literature. A 70-year-old patient underwent transpedicular screw instrumentation from L2-L4 with polymethyl methacrylate augmentation, which resulted in cement leakage into the spinal canal and subsequent pulmonary embolism. After revision surgery and conservative treatment for the embolism, the patient's condition stabilized, demonstrating that conservative measures can be effective in managing cement embolism. To complement this case, a comprehensive literature review was conducted to explore the causes, prevention, and treatment of complications related to cement augmentation. The findings support that while cement-augmented pedicle screw instrumentation remains a leading technique for osteoporotic fractures, the associated risks are manageable with proper treatment protocols. This study holds practical significance for healthcare professionals by highlighting both the risks and solutions associated with cement fixation, thus contributing to improved patient outcomes and the development of standardized treatment guidelines.</p>","PeriodicalId":16283,"journal":{"name":"Journal of Korean Neurosurgical Society","volume":" ","pages":"127-136"},"PeriodicalIF":1.7000,"publicationDate":"2025-03-01","publicationTypes":"Journal Article","fieldsOfStudy":null,"isOpenAccess":false,"openAccessPdf":"https://www.ncbi.nlm.nih.gov/pmc/articles/PMC11924640/pdf/","citationCount":"0","resultStr":"{\"title\":\"Cement-Augmented Pedicle Screw Fixation in Patients with Osteoporosis : Safety, Efficacy and Complications.\",\"authors\":\"Tomasz Olbrycht, Kajetan Latka, Waldemar Kolodziej, Tomasz Krzeszowiec, Dariusz Latka\",\"doi\":\"10.3340/jkns.2024.0081\",\"DOIUrl\":null,\"url\":null,\"abstract\":\"<p><p>Cement-augmented pedicle screw instrumentation is a widely accepted method for managing osteoporotic fractures, but it carries inherent risks, particularly related to cement leakage and embolism. This study aimed to analyze a clinical case of complications following cement fixation and provide a detailed review of relevant literature. A 70-year-old patient underwent transpedicular screw instrumentation from L2-L4 with polymethyl methacrylate augmentation, which resulted in cement leakage into the spinal canal and subsequent pulmonary embolism. After revision surgery and conservative treatment for the embolism, the patient's condition stabilized, demonstrating that conservative measures can be effective in managing cement embolism. To complement this case, a comprehensive literature review was conducted to explore the causes, prevention, and treatment of complications related to cement augmentation. The findings support that while cement-augmented pedicle screw instrumentation remains a leading technique for osteoporotic fractures, the associated risks are manageable with proper treatment protocols. This study holds practical significance for healthcare professionals by highlighting both the risks and solutions associated with cement fixation, thus contributing to improved patient outcomes and the development of standardized treatment guidelines.</p>\",\"PeriodicalId\":16283,\"journal\":{\"name\":\"Journal of Korean Neurosurgical Society\",\"volume\":\" \",\"pages\":\"127-136\"},\"PeriodicalIF\":1.7000,\"publicationDate\":\"2025-03-01\",\"publicationTypes\":\"Journal Article\",\"fieldsOfStudy\":null,\"isOpenAccess\":false,\"openAccessPdf\":\"https://www.ncbi.nlm.nih.gov/pmc/articles/PMC11924640/pdf/\",\"citationCount\":\"0\",\"resultStr\":null,\"platform\":\"Semanticscholar\",\"paperid\":null,\"PeriodicalName\":\"Journal of Korean Neurosurgical Society\",\"FirstCategoryId\":\"3\",\"ListUrlMain\":\"https://doi.org/10.3340/jkns.2024.0081\",\"RegionNum\":4,\"RegionCategory\":\"医学\",\"ArticlePicture\":[],\"TitleCN\":null,\"AbstractTextCN\":null,\"PMCID\":null,\"EPubDate\":\"2025/1/23 0:00:00\",\"PubModel\":\"Epub\",\"JCR\":\"Q4\",\"JCRName\":\"CLINICAL NEUROLOGY\",\"Score\":null,\"Total\":0}","platform":"Semanticscholar","paperid":null,"PeriodicalName":"Journal of Korean Neurosurgical Society","FirstCategoryId":"3","ListUrlMain":"https://doi.org/10.3340/jkns.2024.0081","RegionNum":4,"RegionCategory":"医学","ArticlePicture":[],"TitleCN":null,"AbstractTextCN":null,"PMCID":null,"EPubDate":"2025/1/23 0:00:00","PubModel":"Epub","JCR":"Q4","JCRName":"CLINICAL NEUROLOGY","Score":null,"Total":0}
引用次数: 0

摘要

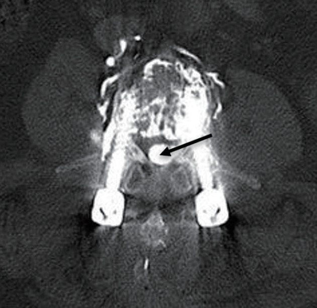
骨水泥增强椎弓根螺钉内固定是一种被广泛接受的治疗骨质疏松性骨折的方法,但它具有固有的风险,特别是与骨水泥泄漏和栓塞有关。本研究旨在分析一例水泥内固定术后并发症的临床病例,并对相关文献进行详细的复习。一名70岁的患者接受了L2-L4椎弓根螺钉内固定和聚甲基丙烯酸甲酯增强,导致水泥渗漏到椎管中并随后发生肺栓塞。经翻修手术和栓塞保守治疗后,患者病情稳定,表明保守治疗水泥栓塞是有效的。为了补充本病例,我们进行了全面的文献回顾,以探讨与骨水泥增强术相关的并发症的原因、预防和治疗。研究结果表明,尽管骨水泥增强椎弓根螺钉内固定仍然是治疗骨质疏松性骨折的主要技术,但通过适当的治疗方案,相关风险是可控的。本研究通过强调与骨水泥固定相关的风险和解决方案,从而有助于改善患者的预后和制定标准化的治疗指南,对医疗保健专业人员具有实际意义。
本文章由计算机程序翻译,如有差异,请以英文原文为准。

Cement-Augmented Pedicle Screw Fixation in Patients with Osteoporosis : Safety, Efficacy and Complications.

Cement-Augmented Pedicle Screw Fixation in Patients with Osteoporosis : Safety, Efficacy and Complications.

Cement-Augmented Pedicle Screw Fixation in Patients with Osteoporosis : Safety, Efficacy and Complications.

Cement-Augmented Pedicle Screw Fixation in Patients with Osteoporosis : Safety, Efficacy and Complications.

Cement-augmented pedicle screw instrumentation is a widely accepted method for managing osteoporotic fractures, but it carries inherent risks, particularly related to cement leakage and embolism. This study aimed to analyze a clinical case of complications following cement fixation and provide a detailed review of relevant literature. A 70-year-old patient underwent transpedicular screw instrumentation from L2-L4 with polymethyl methacrylate augmentation, which resulted in cement leakage into the spinal canal and subsequent pulmonary embolism. After revision surgery and conservative treatment for the embolism, the patient's condition stabilized, demonstrating that conservative measures can be effective in managing cement embolism. To complement this case, a comprehensive literature review was conducted to explore the causes, prevention, and treatment of complications related to cement augmentation. The findings support that while cement-augmented pedicle screw instrumentation remains a leading technique for osteoporotic fractures, the associated risks are manageable with proper treatment protocols. This study holds practical significance for healthcare professionals by highlighting both the risks and solutions associated with cement fixation, thus contributing to improved patient outcomes and the development of standardized treatment guidelines.

求助全文
通过发布文献求助,成功后即可免费获取论文全文。 去求助
来源期刊
CiteScore
2.90
自引率
6.20%
发文量
109
审稿时长
3-8 weeks
期刊介绍: The Journal of Korean Neurosurgical Society (J Korean Neurosurg Soc) is the official journal of the Korean Neurosurgical Society, and published bimonthly (1st day of January, March, May, July, September, and November). It launched in October 31, 1972 with Volume 1 and Number 1. J Korean Neurosurg Soc aims to allow neurosurgeons from around the world to enrich their knowledge of patient management, education, and clinical or experimental research, and hence their professionalism. This journal publishes Laboratory Investigations, Clinical Articles, Review Articles, Case Reports, Technical Notes, and Letters to the Editor. Our field of interest involves clinical neurosurgery (cerebrovascular disease, neuro-oncology, skull base neurosurgery, spine, pediatric neurosurgery, functional neurosurgery, epilepsy, neuro-trauma, and peripheral nerve disease) and laboratory work in neuroscience.
×
引用
GB/T 7714-2015
复制
MLA
复制
APA
复制
导出至
BibTeX EndNote RefMan NoteFirst NoteExpress
×
提示
您的信息不完整,为了账户安全,请先补充。
现在去补充
×
提示
您因"违规操作"
具体请查看互助需知
我知道了
×
提示
确定
请完成安全验证×
copy
已复制链接
快去分享给好友吧!
我知道了
右上角分享
点击右上角分享
0
联系我们:info@booksci.cn Book学术提供免费学术资源搜索服务,方便国内外学者检索中英文文献。致力于提供最便捷和优质的服务体验。 Copyright © 2023 布克学术 All rights reserved.
京ICP备2023020795号-1
ghs 京公网安备 11010802042870号
Book学术文献互助
Book学术文献互助群
群 号:604180095
Book学术官方微信