没食子酸对大鼠内质网应激具有神经保护作用。

IF 1.3
Acta cirurgica brasileira Pub Date : 2025-01-13 eCollection Date: 2025-01-01 DOI:10.1590/acb400925
Abdulmutalip Karaaslanlı, Mehmet Cudi Tuncer, Fırat Aşır, Tuğcan Korak
{"title":"没食子酸对大鼠内质网应激具有神经保护作用。","authors":"Abdulmutalip Karaaslanlı, Mehmet Cudi Tuncer, Fırat Aşır, Tuğcan Korak","doi":"10.1590/acb400925","DOIUrl":null,"url":null,"abstract":"<p><strong>Purpose: </strong>We aimed to investigate the role of gallic acid treatment on spinal cord tissues after spinal cord injury (SCI) and its relationship with endoplasmic reticulum (ER) stress by histochemical, immunohistochemical, and in-silico techniques.</p><p><strong>Methods: </strong>Thirty female Wistar albino rats were divided into three groups: sham, SCI, and SCI+gallic acid. SCI was induced by dropping a 15-g weight onto the exposed T10-T11 spinal cord segment. The SCI+gallic acid group received 25 mg/kg of gallic acid intraperitoneally daily for one week. Histopathological, immunohistochemical, and silico analyses were performed.</p><p><strong>Results: </strong>Histological analysis revealed improved neural cell survival and tissue integrity in the SCI+gallic acid group compared to the SCI group. Caspase-12 expression was significantly increased in the SCI group, indicating elevated ER stress and apoptosis. Gallic acid treatment resulted in a marked reduction in caspase-12 expression in neurons, neuroglia, and endothelial cells, suggesting decreased ER stress.</p><p><strong>Conclusion: </strong>Gallic acid exhibits significant neuroprotective effects against ER stress and cellular damage in a rat model of SCI. The in-silico analysis revealed apoptotic and immune-related pathways in which gallic acid showed neuroprotective effects by regulating caspase-12. These results suggest that gallic acid may be a promising therapeutic agent for mitigating secondary damage post-SCI.</p>","PeriodicalId":93850,"journal":{"name":"Acta cirurgica brasileira","volume":"40 ","pages":"e400925"},"PeriodicalIF":1.3000,"publicationDate":"2025-01-13","publicationTypes":"Journal Article","fieldsOfStudy":null,"isOpenAccess":false,"openAccessPdf":"https://www.ncbi.nlm.nih.gov/pmc/articles/PMC11729195/pdf/","citationCount":"0","resultStr":"{\"title\":\"Gallic acid showed neuroprotection against endoplasmic reticulum stress in rats.\",\"authors\":\"Abdulmutalip Karaaslanlı, Mehmet Cudi Tuncer, Fırat Aşır, Tuğcan Korak\",\"doi\":\"10.1590/acb400925\",\"DOIUrl\":null,\"url\":null,\"abstract\":\"<p><strong>Purpose: </strong>We aimed to investigate the role of gallic acid treatment on spinal cord tissues after spinal cord injury (SCI) and its relationship with endoplasmic reticulum (ER) stress by histochemical, immunohistochemical, and in-silico techniques.</p><p><strong>Methods: </strong>Thirty female Wistar albino rats were divided into three groups: sham, SCI, and SCI+gallic acid. SCI was induced by dropping a 15-g weight onto the exposed T10-T11 spinal cord segment. The SCI+gallic acid group received 25 mg/kg of gallic acid intraperitoneally daily for one week. Histopathological, immunohistochemical, and silico analyses were performed.</p><p><strong>Results: </strong>Histological analysis revealed improved neural cell survival and tissue integrity in the SCI+gallic acid group compared to the SCI group. Caspase-12 expression was significantly increased in the SCI group, indicating elevated ER stress and apoptosis. Gallic acid treatment resulted in a marked reduction in caspase-12 expression in neurons, neuroglia, and endothelial cells, suggesting decreased ER stress.</p><p><strong>Conclusion: </strong>Gallic acid exhibits significant neuroprotective effects against ER stress and cellular damage in a rat model of SCI. The in-silico analysis revealed apoptotic and immune-related pathways in which gallic acid showed neuroprotective effects by regulating caspase-12. These results suggest that gallic acid may be a promising therapeutic agent for mitigating secondary damage post-SCI.</p>\",\"PeriodicalId\":93850,\"journal\":{\"name\":\"Acta cirurgica brasileira\",\"volume\":\"40 \",\"pages\":\"e400925\"},\"PeriodicalIF\":1.3000,\"publicationDate\":\"2025-01-13\",\"publicationTypes\":\"Journal Article\",\"fieldsOfStudy\":null,\"isOpenAccess\":false,\"openAccessPdf\":\"https://www.ncbi.nlm.nih.gov/pmc/articles/PMC11729195/pdf/\",\"citationCount\":\"0\",\"resultStr\":null,\"platform\":\"Semanticscholar\",\"paperid\":null,\"PeriodicalName\":\"Acta cirurgica brasileira\",\"FirstCategoryId\":\"1085\",\"ListUrlMain\":\"https://doi.org/10.1590/acb400925\",\"RegionNum\":0,\"RegionCategory\":null,\"ArticlePicture\":[],\"TitleCN\":null,\"AbstractTextCN\":null,\"PMCID\":null,\"EPubDate\":\"2025/1/1 0:00:00\",\"PubModel\":\"eCollection\",\"JCR\":\"\",\"JCRName\":\"\",\"Score\":null,\"Total\":0}","platform":"Semanticscholar","paperid":null,"PeriodicalName":"Acta cirurgica brasileira","FirstCategoryId":"1085","ListUrlMain":"https://doi.org/10.1590/acb400925","RegionNum":0,"RegionCategory":null,"ArticlePicture":[],"TitleCN":null,"AbstractTextCN":null,"PMCID":null,"EPubDate":"2025/1/1 0:00:00","PubModel":"eCollection","JCR":"","JCRName":"","Score":null,"Total":0}
引用次数: 0

摘要

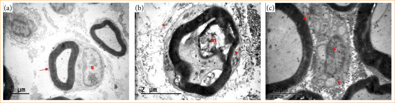
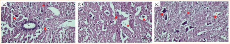
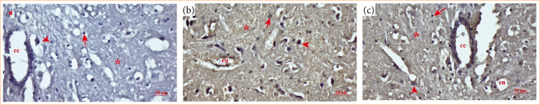
目的:通过组织化学、免疫组织化学和芯片技术研究没食子酸对脊髓损伤(SCI)后脊髓组织的作用及其与内质网(ER)应激的关系。方法:雌性Wistar白化大鼠30只,随机分为假手术组、SCI组、SCI+没食子酸组。将15 g重量滴在暴露的T10-T11脊髓节段上诱导脊髓损伤。SCI+没食子酸组每日腹腔注射没食子酸25 mg/kg,连续1周。进行组织病理学、免疫组织化学和硅分析。结果:组织学分析显示,与SCI组相比,SCI+没食子酸组的神经细胞存活率和组织完整性有所改善。脊髓损伤组Caspase-12表达显著升高,表明内质网应激和细胞凋亡水平升高。没食子酸处理导致神经元、神经胶质细胞和内皮细胞中caspase-12表达显著降低,表明内质网应激降低。结论:没食子酸在大鼠脊髓损伤模型中对内质网应激和细胞损伤具有显著的神经保护作用。芯片分析揭示了凋亡和免疫相关通路,没食子酸通过调节caspase-12表现出神经保护作用。这些结果表明没食子酸可能是减轻脊髓损伤后继发性损伤的一种有前景的治疗药物。
本文章由计算机程序翻译,如有差异,请以英文原文为准。

Gallic acid showed neuroprotection against endoplasmic reticulum stress in rats.

Gallic acid showed neuroprotection against endoplasmic reticulum stress in rats.

Gallic acid showed neuroprotection against endoplasmic reticulum stress in rats.

Gallic acid showed neuroprotection against endoplasmic reticulum stress in rats.

Purpose: We aimed to investigate the role of gallic acid treatment on spinal cord tissues after spinal cord injury (SCI) and its relationship with endoplasmic reticulum (ER) stress by histochemical, immunohistochemical, and in-silico techniques.

Methods: Thirty female Wistar albino rats were divided into three groups: sham, SCI, and SCI+gallic acid. SCI was induced by dropping a 15-g weight onto the exposed T10-T11 spinal cord segment. The SCI+gallic acid group received 25 mg/kg of gallic acid intraperitoneally daily for one week. Histopathological, immunohistochemical, and silico analyses were performed.

Results: Histological analysis revealed improved neural cell survival and tissue integrity in the SCI+gallic acid group compared to the SCI group. Caspase-12 expression was significantly increased in the SCI group, indicating elevated ER stress and apoptosis. Gallic acid treatment resulted in a marked reduction in caspase-12 expression in neurons, neuroglia, and endothelial cells, suggesting decreased ER stress.

Conclusion: Gallic acid exhibits significant neuroprotective effects against ER stress and cellular damage in a rat model of SCI. The in-silico analysis revealed apoptotic and immune-related pathways in which gallic acid showed neuroprotective effects by regulating caspase-12. These results suggest that gallic acid may be a promising therapeutic agent for mitigating secondary damage post-SCI.

求助全文
通过发布文献求助,成功后即可免费获取论文全文。 去求助
来源期刊
自引率
0.00%
发文量
0
×
引用
GB/T 7714-2015
复制
MLA
复制
APA
复制
导出至
BibTeX EndNote RefMan NoteFirst NoteExpress
×
提示
您的信息不完整,为了账户安全,请先补充。
现在去补充
×
提示
您因"违规操作"
具体请查看互助需知
我知道了
×
提示
确定
请完成安全验证×
copy
已复制链接
快去分享给好友吧!
我知道了
右上角分享
点击右上角分享
0
联系我们:info@booksci.cn Book学术提供免费学术资源搜索服务,方便国内外学者检索中英文文献。致力于提供最便捷和优质的服务体验。 Copyright © 2023 布克学术 All rights reserved.
京ICP备2023020795号-1
ghs 京公网安备 11010802042870号
Book学术文献互助
Book学术文献互助群
群 号:604180095
Book学术官方微信