阿勒替尼致肺炎后布加替尼的安全性:病例报告

IF 0.7 Q4 RESPIRATORY SYSTEM
Blerina Resuli , Heidi Galarza , Laura Elsner , Diego Kauffmann-Guerrero , Jürgen Behr , Amanda Tufman
{"title":"阿勒替尼致肺炎后布加替尼的安全性:病例报告","authors":"Blerina Resuli ,&nbsp;Heidi Galarza ,&nbsp;Laura Elsner ,&nbsp;Diego Kauffmann-Guerrero ,&nbsp;Jürgen Behr ,&nbsp;Amanda Tufman","doi":"10.1016/j.rmcr.2024.102160","DOIUrl":null,"url":null,"abstract":"<div><div>Anaplastic lymphoma kinase tyrosine kinase inhibitors (ALK TKIs) show robust efficacy and has revolutionized the treatment of NSCLC patients harboring an ALK-rearrangement. Side effects, sometimes even serious such as pneumonitis, can occur with ALK TKIs.</div><div>We report a case of a patient with ALK positive advanced NSCLC who developed pneumonitis during treatment with first-line alectinib. With no alternative etiology of pneumonitis identified, the patient was treated with corticosteroids and discontinuation of alectinib. Following rapid clinical recovery and radiographic resolution of the opacities, the patient was started with brigatinib, with no recurrence of the clinical symptoms or radiographic findings of pneumonitis. While further descriptions are needed, our experience suggests that switching to a second ALK-TKI may be a safe therapeutic option in some patients who develop drug-induced pneumonitis on ALK TKIs.</div></div>","PeriodicalId":51565,"journal":{"name":"Respiratory Medicine Case Reports","volume":"53 ","pages":"Article 102160"},"PeriodicalIF":0.7000,"publicationDate":"2025-01-01","publicationTypes":"Journal Article","fieldsOfStudy":null,"isOpenAccess":false,"openAccessPdf":"https://www.ncbi.nlm.nih.gov/pmc/articles/PMC11743586/pdf/","citationCount":"0","resultStr":"{\"title\":\"Safety of brigatinib following alectinib-induced-pneumonitis: Case report\",\"authors\":\"Blerina Resuli ,&nbsp;Heidi Galarza ,&nbsp;Laura Elsner ,&nbsp;Diego Kauffmann-Guerrero ,&nbsp;Jürgen Behr ,&nbsp;Amanda Tufman\",\"doi\":\"10.1016/j.rmcr.2024.102160\",\"DOIUrl\":null,\"url\":null,\"abstract\":\"<div><div>Anaplastic lymphoma kinase tyrosine kinase inhibitors (ALK TKIs) show robust efficacy and has revolutionized the treatment of NSCLC patients harboring an ALK-rearrangement. Side effects, sometimes even serious such as pneumonitis, can occur with ALK TKIs.</div><div>We report a case of a patient with ALK positive advanced NSCLC who developed pneumonitis during treatment with first-line alectinib. With no alternative etiology of pneumonitis identified, the patient was treated with corticosteroids and discontinuation of alectinib. Following rapid clinical recovery and radiographic resolution of the opacities, the patient was started with brigatinib, with no recurrence of the clinical symptoms or radiographic findings of pneumonitis. While further descriptions are needed, our experience suggests that switching to a second ALK-TKI may be a safe therapeutic option in some patients who develop drug-induced pneumonitis on ALK TKIs.</div></div>\",\"PeriodicalId\":51565,\"journal\":{\"name\":\"Respiratory Medicine Case Reports\",\"volume\":\"53 \",\"pages\":\"Article 102160\"},\"PeriodicalIF\":0.7000,\"publicationDate\":\"2025-01-01\",\"publicationTypes\":\"Journal Article\",\"fieldsOfStudy\":null,\"isOpenAccess\":false,\"openAccessPdf\":\"https://www.ncbi.nlm.nih.gov/pmc/articles/PMC11743586/pdf/\",\"citationCount\":\"0\",\"resultStr\":null,\"platform\":\"Semanticscholar\",\"paperid\":null,\"PeriodicalName\":\"Respiratory Medicine Case Reports\",\"FirstCategoryId\":\"1085\",\"ListUrlMain\":\"https://www.sciencedirect.com/science/article/pii/S2213007124001837\",\"RegionNum\":0,\"RegionCategory\":null,\"ArticlePicture\":[],\"TitleCN\":null,\"AbstractTextCN\":null,\"PMCID\":null,\"EPubDate\":\"\",\"PubModel\":\"\",\"JCR\":\"Q4\",\"JCRName\":\"RESPIRATORY SYSTEM\",\"Score\":null,\"Total\":0}","platform":"Semanticscholar","paperid":null,"PeriodicalName":"Respiratory Medicine Case Reports","FirstCategoryId":"1085","ListUrlMain":"https://www.sciencedirect.com/science/article/pii/S2213007124001837","RegionNum":0,"RegionCategory":null,"ArticlePicture":[],"TitleCN":null,"AbstractTextCN":null,"PMCID":null,"EPubDate":"","PubModel":"","JCR":"Q4","JCRName":"RESPIRATORY SYSTEM","Score":null,"Total":0}
引用次数: 0

摘要

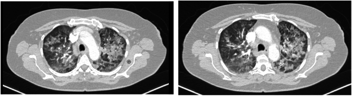
间变性淋巴瘤激酶酪氨酸激酶抑制剂(ALK TKIs)显示出强大的疗效,并彻底改变了ALK重排的非小细胞肺癌患者的治疗。ALK TKIs可产生副作用,有时甚至严重,如肺炎。我们报告一例ALK阳性晚期非小细胞肺癌患者在一线阿勒替尼治疗期间发生肺炎。由于没有确定肺炎的其他病因,患者接受皮质类固醇治疗并停用阿勒替尼。在快速的临床恢复和影像学检查后,患者开始使用布加替尼,没有复发的临床症状或肺炎的影像学表现。虽然需要进一步的描述,但我们的经验表明,对于一些服用ALK- tki后出现药物性肺炎的患者,改用第二种ALK- tki可能是一种安全的治疗选择。
本文章由计算机程序翻译,如有差异,请以英文原文为准。

Safety of brigatinib following alectinib-induced-pneumonitis: Case report

Safety of brigatinib following alectinib-induced-pneumonitis: Case report

Safety of brigatinib following alectinib-induced-pneumonitis: Case report
Anaplastic lymphoma kinase tyrosine kinase inhibitors (ALK TKIs) show robust efficacy and has revolutionized the treatment of NSCLC patients harboring an ALK-rearrangement. Side effects, sometimes even serious such as pneumonitis, can occur with ALK TKIs.
We report a case of a patient with ALK positive advanced NSCLC who developed pneumonitis during treatment with first-line alectinib. With no alternative etiology of pneumonitis identified, the patient was treated with corticosteroids and discontinuation of alectinib. Following rapid clinical recovery and radiographic resolution of the opacities, the patient was started with brigatinib, with no recurrence of the clinical symptoms or radiographic findings of pneumonitis. While further descriptions are needed, our experience suggests that switching to a second ALK-TKI may be a safe therapeutic option in some patients who develop drug-induced pneumonitis on ALK TKIs.
求助全文
通过发布文献求助,成功后即可免费获取论文全文。 去求助
来源期刊
Respiratory Medicine Case Reports
Respiratory Medicine Case Reports RESPIRATORY SYSTEM-
CiteScore
2.10
自引率
0.00%
发文量
213
审稿时长
87 days
×
引用
GB/T 7714-2015
复制
MLA
复制
APA
复制
导出至
BibTeX EndNote RefMan NoteFirst NoteExpress
×
提示
您的信息不完整,为了账户安全,请先补充。
现在去补充
×
提示
您因"违规操作"
具体请查看互助需知
我知道了
×
提示
确定
请完成安全验证×
copy
已复制链接
快去分享给好友吧!
我知道了
右上角分享
点击右上角分享
0
联系我们:info@booksci.cn Book学术提供免费学术资源搜索服务,方便国内外学者检索中英文文献。致力于提供最便捷和优质的服务体验。 Copyright © 2023 布克学术 All rights reserved.
京ICP备2023020795号-1
ghs 京公网安备 11010802042870号
Book学术文献互助
Book学术文献互助群
群 号:604180095
Book学术官方微信