小唾液腺的口内多形性腺瘤:附10例报告,并着重于组织病理特征。

IF 0.9 Q4 DENTISTRY, ORAL SURGERY & MEDICINE
Case Reports in Dentistry Pub Date : 2025-01-13 eCollection Date: 2025-01-01 DOI:10.1155/crid/9151514
Neetu Jain, Shashi Keshwar, Ashish Shrestha, Mehul Rajesh Jaisani, Iccha Kumar Maharjan, Navin Agrawal
{"title":"小唾液腺的口内多形性腺瘤:附10例报告,并着重于组织病理特征。","authors":"Neetu Jain, Shashi Keshwar, Ashish Shrestha, Mehul Rajesh Jaisani, Iccha Kumar Maharjan, Navin Agrawal","doi":"10.1155/crid/9151514","DOIUrl":null,"url":null,"abstract":"<p><p>Pleomorphic adenoma (PA), the most common salivary gland tumor, presents unique challenges due to its diverse clinicopathologic features. The objective of this case series is to highlight the implication of detailed histopathological examination to guide appropriate diagnosis. This study reviews 10 cases of PA diagnosed at B.P. Koirala Institute of Health Sciences, Nepal, between 2011 and 2023. Patients ranged from 16 to 71 years, with a male-to-female ratio of 1:2.3. Most lesions (eight cases) were located on the palate, with additional cases, one on the upper lip and one on the cheek mucosa. Lesion sizes ranged from 1 to 3 cm<sup>2</sup> and durations from 2 months to 4 years. Clinically, all lesions were well encapsulated, nontender, and nonulcerated and had normal overlying mucosa. Histopathologically, cases included classical PA, myxoid, and cellular types. Common findings were ductal structures filled with eosinophilic material, a \"swarm bee\" appearance, plasmacytoid cells, and myxoid stroma. Squamous differentiation and psammoma bodies were observed in some cases. No osseous or cartilaginous components were detected. All cases were excised, with no recurrences reported during at least 2 years of follow-up. Hence, proper diagnosis is crucial for effective management and long-term outcomes of PA.</p>","PeriodicalId":46841,"journal":{"name":"Case Reports in Dentistry","volume":"2025 ","pages":"9151514"},"PeriodicalIF":0.9000,"publicationDate":"2025-01-13","publicationTypes":"Journal Article","fieldsOfStudy":null,"isOpenAccess":false,"openAccessPdf":"https://www.ncbi.nlm.nih.gov/pmc/articles/PMC11745558/pdf/","citationCount":"0","resultStr":"{\"title\":\"Intraoral Pleomorphic Adenoma of the Minor Salivary Glands: A Case Series of 10 Cases With Emphasis on Histopathological Features.\",\"authors\":\"Neetu Jain, Shashi Keshwar, Ashish Shrestha, Mehul Rajesh Jaisani, Iccha Kumar Maharjan, Navin Agrawal\",\"doi\":\"10.1155/crid/9151514\",\"DOIUrl\":null,\"url\":null,\"abstract\":\"<p><p>Pleomorphic adenoma (PA), the most common salivary gland tumor, presents unique challenges due to its diverse clinicopathologic features. The objective of this case series is to highlight the implication of detailed histopathological examination to guide appropriate diagnosis. This study reviews 10 cases of PA diagnosed at B.P. Koirala Institute of Health Sciences, Nepal, between 2011 and 2023. Patients ranged from 16 to 71 years, with a male-to-female ratio of 1:2.3. Most lesions (eight cases) were located on the palate, with additional cases, one on the upper lip and one on the cheek mucosa. Lesion sizes ranged from 1 to 3 cm<sup>2</sup> and durations from 2 months to 4 years. Clinically, all lesions were well encapsulated, nontender, and nonulcerated and had normal overlying mucosa. Histopathologically, cases included classical PA, myxoid, and cellular types. Common findings were ductal structures filled with eosinophilic material, a \\\"swarm bee\\\" appearance, plasmacytoid cells, and myxoid stroma. Squamous differentiation and psammoma bodies were observed in some cases. No osseous or cartilaginous components were detected. All cases were excised, with no recurrences reported during at least 2 years of follow-up. Hence, proper diagnosis is crucial for effective management and long-term outcomes of PA.</p>\",\"PeriodicalId\":46841,\"journal\":{\"name\":\"Case Reports in Dentistry\",\"volume\":\"2025 \",\"pages\":\"9151514\"},\"PeriodicalIF\":0.9000,\"publicationDate\":\"2025-01-13\",\"publicationTypes\":\"Journal Article\",\"fieldsOfStudy\":null,\"isOpenAccess\":false,\"openAccessPdf\":\"https://www.ncbi.nlm.nih.gov/pmc/articles/PMC11745558/pdf/\",\"citationCount\":\"0\",\"resultStr\":null,\"platform\":\"Semanticscholar\",\"paperid\":null,\"PeriodicalName\":\"Case Reports in Dentistry\",\"FirstCategoryId\":\"1085\",\"ListUrlMain\":\"https://doi.org/10.1155/crid/9151514\",\"RegionNum\":0,\"RegionCategory\":null,\"ArticlePicture\":[],\"TitleCN\":null,\"AbstractTextCN\":null,\"PMCID\":null,\"EPubDate\":\"2025/1/1 0:00:00\",\"PubModel\":\"eCollection\",\"JCR\":\"Q4\",\"JCRName\":\"DENTISTRY, ORAL SURGERY & MEDICINE\",\"Score\":null,\"Total\":0}","platform":"Semanticscholar","paperid":null,"PeriodicalName":"Case Reports in Dentistry","FirstCategoryId":"1085","ListUrlMain":"https://doi.org/10.1155/crid/9151514","RegionNum":0,"RegionCategory":null,"ArticlePicture":[],"TitleCN":null,"AbstractTextCN":null,"PMCID":null,"EPubDate":"2025/1/1 0:00:00","PubModel":"eCollection","JCR":"Q4","JCRName":"DENTISTRY, ORAL SURGERY & MEDICINE","Score":null,"Total":0}
引用次数: 0

摘要

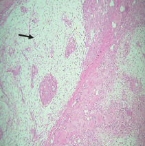
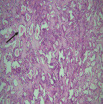
多形性腺瘤(PA)是最常见的唾液腺肿瘤,由于其多样的临床病理特征而面临着独特的挑战。本病例系列的目的是强调详细的组织病理学检查的含义,以指导适当的诊断。本研究回顾了2011年至2023年间在尼泊尔B.P.柯伊拉腊健康科学研究所诊断的10例前列腺癌病例。患者年龄16 ~ 71岁,男女比例1:2.3。多数病变(8例)位于上颚,另有1例位于上唇,1例位于颊黏膜。病变大小1 ~ 3cm2,病程2个月~ 4年。临床上,所有病变均包被良好,无压痛,无溃烂,上覆粘膜正常。组织病理学上,病例包括经典PA、黏液型和细胞型。常见的表现为充满嗜酸性物质的导管结构,蜂群状,浆细胞样细胞和粘液样间质。部分病例可见鳞状分化和沙粒小体。未发现骨性或软骨成分。所有病例均被切除,在至少2年的随访中无复发报告。因此,正确的诊断对于PA的有效管理和长期预后至关重要。
本文章由计算机程序翻译,如有差异,请以英文原文为准。

Intraoral Pleomorphic Adenoma of the Minor Salivary Glands: A Case Series of 10 Cases With Emphasis on Histopathological Features.

Intraoral Pleomorphic Adenoma of the Minor Salivary Glands: A Case Series of 10 Cases With Emphasis on Histopathological Features.

Intraoral Pleomorphic Adenoma of the Minor Salivary Glands: A Case Series of 10 Cases With Emphasis on Histopathological Features.

Intraoral Pleomorphic Adenoma of the Minor Salivary Glands: A Case Series of 10 Cases With Emphasis on Histopathological Features.

Pleomorphic adenoma (PA), the most common salivary gland tumor, presents unique challenges due to its diverse clinicopathologic features. The objective of this case series is to highlight the implication of detailed histopathological examination to guide appropriate diagnosis. This study reviews 10 cases of PA diagnosed at B.P. Koirala Institute of Health Sciences, Nepal, between 2011 and 2023. Patients ranged from 16 to 71 years, with a male-to-female ratio of 1:2.3. Most lesions (eight cases) were located on the palate, with additional cases, one on the upper lip and one on the cheek mucosa. Lesion sizes ranged from 1 to 3 cm2 and durations from 2 months to 4 years. Clinically, all lesions were well encapsulated, nontender, and nonulcerated and had normal overlying mucosa. Histopathologically, cases included classical PA, myxoid, and cellular types. Common findings were ductal structures filled with eosinophilic material, a "swarm bee" appearance, plasmacytoid cells, and myxoid stroma. Squamous differentiation and psammoma bodies were observed in some cases. No osseous or cartilaginous components were detected. All cases were excised, with no recurrences reported during at least 2 years of follow-up. Hence, proper diagnosis is crucial for effective management and long-term outcomes of PA.

求助全文
通过发布文献求助,成功后即可免费获取论文全文。 去求助
来源期刊
Case Reports in Dentistry
Case Reports in Dentistry DENTISTRY, ORAL SURGERY & MEDICINE-
CiteScore
1.40
自引率
12.50%
发文量
107
审稿时长
14 weeks
期刊介绍: Case Reports in Dentistry is a peer-reviewed, Open Access journal that publishes case reports and case series in all areas of dentistry, including periodontal diseases, dental implants, oral pathology, as well as oral and maxillofacial surgery.
×
引用
GB/T 7714-2015
复制
MLA
复制
APA
复制
导出至
BibTeX EndNote RefMan NoteFirst NoteExpress
×
提示
您的信息不完整,为了账户安全,请先补充。
现在去补充
×
提示
您因"违规操作"
具体请查看互助需知
我知道了
×
提示
确定
请完成安全验证×
copy
已复制链接
快去分享给好友吧!
我知道了
右上角分享
点击右上角分享
0
联系我们:info@booksci.cn Book学术提供免费学术资源搜索服务,方便国内外学者检索中英文文献。致力于提供最便捷和优质的服务体验。 Copyright © 2023 布克学术 All rights reserved.
京ICP备2023020795号-1
ghs 京公网安备 11010802042870号
Book学术文献互助
Book学术文献互助群
群 号:604180095
Book学术官方微信