口腔弹性纤维瘤病变1例:临床病理分析并文献复习。

IF 0.9 Q4 DENTISTRY, ORAL SURGERY & MEDICINE
Case Reports in Dentistry Pub Date : 2025-01-11 eCollection Date: 2025-01-01 DOI:10.1155/crid/5556176
Sawako Ono, Masanori Masui, Kyoichi Obata, Tomoya Nakamura, Yoshihiko Furuki, Satoko Nakamura, Hidetaka Yamamoto
{"title":"口腔弹性纤维瘤病变1例:临床病理分析并文献复习。","authors":"Sawako Ono, Masanori Masui, Kyoichi Obata, Tomoya Nakamura, Yoshihiko Furuki, Satoko Nakamura, Hidetaka Yamamoto","doi":"10.1155/crid/5556176","DOIUrl":null,"url":null,"abstract":"<p><p>Elastofibromatous changes of the oral mucosa, such as an elastofibroma (EF) or an elastofibromatous lesion (EFL), are not well recognized, and the second such case in Japan is reported. A 72-year-old man wearing a complete maxillary denture presented with a small nodule on the hard palate. Histopathological examination showed abundant fibrous tissue with numerous elastic fibers on Elastica van Gieson (EvG) staining. The diagnosis of an oral EFL was made. In the review of oral EF and EFL, no cases with recurrence were identified, but such lesions may resemble neoplastic lesions macroscopically. Accurate diagnosis using EvG stain is needed to recognize oral EFs and EFLs.</p>","PeriodicalId":46841,"journal":{"name":"Case Reports in Dentistry","volume":"2025 ","pages":"5556176"},"PeriodicalIF":0.9000,"publicationDate":"2025-01-11","publicationTypes":"Journal Article","fieldsOfStudy":null,"isOpenAccess":false,"openAccessPdf":"https://www.ncbi.nlm.nih.gov/pmc/articles/PMC11742071/pdf/","citationCount":"0","resultStr":"{\"title\":\"A Case of an Oral Elastofibromatous Lesion: A Clinicopathological Analysis With a Literature Review.\",\"authors\":\"Sawako Ono, Masanori Masui, Kyoichi Obata, Tomoya Nakamura, Yoshihiko Furuki, Satoko Nakamura, Hidetaka Yamamoto\",\"doi\":\"10.1155/crid/5556176\",\"DOIUrl\":null,\"url\":null,\"abstract\":\"<p><p>Elastofibromatous changes of the oral mucosa, such as an elastofibroma (EF) or an elastofibromatous lesion (EFL), are not well recognized, and the second such case in Japan is reported. A 72-year-old man wearing a complete maxillary denture presented with a small nodule on the hard palate. Histopathological examination showed abundant fibrous tissue with numerous elastic fibers on Elastica van Gieson (EvG) staining. The diagnosis of an oral EFL was made. In the review of oral EF and EFL, no cases with recurrence were identified, but such lesions may resemble neoplastic lesions macroscopically. Accurate diagnosis using EvG stain is needed to recognize oral EFs and EFLs.</p>\",\"PeriodicalId\":46841,\"journal\":{\"name\":\"Case Reports in Dentistry\",\"volume\":\"2025 \",\"pages\":\"5556176\"},\"PeriodicalIF\":0.9000,\"publicationDate\":\"2025-01-11\",\"publicationTypes\":\"Journal Article\",\"fieldsOfStudy\":null,\"isOpenAccess\":false,\"openAccessPdf\":\"https://www.ncbi.nlm.nih.gov/pmc/articles/PMC11742071/pdf/\",\"citationCount\":\"0\",\"resultStr\":null,\"platform\":\"Semanticscholar\",\"paperid\":null,\"PeriodicalName\":\"Case Reports in Dentistry\",\"FirstCategoryId\":\"1085\",\"ListUrlMain\":\"https://doi.org/10.1155/crid/5556176\",\"RegionNum\":0,\"RegionCategory\":null,\"ArticlePicture\":[],\"TitleCN\":null,\"AbstractTextCN\":null,\"PMCID\":null,\"EPubDate\":\"2025/1/1 0:00:00\",\"PubModel\":\"eCollection\",\"JCR\":\"Q4\",\"JCRName\":\"DENTISTRY, ORAL SURGERY & MEDICINE\",\"Score\":null,\"Total\":0}","platform":"Semanticscholar","paperid":null,"PeriodicalName":"Case Reports in Dentistry","FirstCategoryId":"1085","ListUrlMain":"https://doi.org/10.1155/crid/5556176","RegionNum":0,"RegionCategory":null,"ArticlePicture":[],"TitleCN":null,"AbstractTextCN":null,"PMCID":null,"EPubDate":"2025/1/1 0:00:00","PubModel":"eCollection","JCR":"Q4","JCRName":"DENTISTRY, ORAL SURGERY & MEDICINE","Score":null,"Total":0}
引用次数: 0

摘要

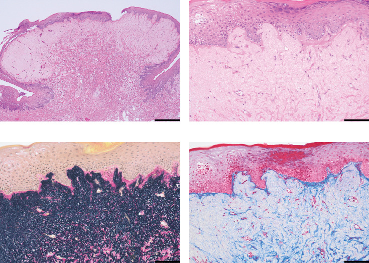
口腔黏膜的弹性纤维瘤改变,如弹性纤维瘤(EF)或弹性纤维瘤病变(EFL),尚未得到很好的认识,日本报道了第二例此类病例。一位72岁的男性,戴着完整的上颌义齿,在硬腭上有一个小结节。组织病理学检查显示,EvG染色显示纤维组织丰富,有大量弹性纤维。诊断为口语EFL。在口服EF和EFL的回顾中,没有发现复发的病例,但这些病变在宏观上可能类似于肿瘤病变。需要EvG染色准确诊断,以识别口服EFs和efl。
本文章由计算机程序翻译,如有差异,请以英文原文为准。

A Case of an Oral Elastofibromatous Lesion: A Clinicopathological Analysis With a Literature Review.

A Case of an Oral Elastofibromatous Lesion: A Clinicopathological Analysis With a Literature Review.

A Case of an Oral Elastofibromatous Lesion: A Clinicopathological Analysis With a Literature Review.

Elastofibromatous changes of the oral mucosa, such as an elastofibroma (EF) or an elastofibromatous lesion (EFL), are not well recognized, and the second such case in Japan is reported. A 72-year-old man wearing a complete maxillary denture presented with a small nodule on the hard palate. Histopathological examination showed abundant fibrous tissue with numerous elastic fibers on Elastica van Gieson (EvG) staining. The diagnosis of an oral EFL was made. In the review of oral EF and EFL, no cases with recurrence were identified, but such lesions may resemble neoplastic lesions macroscopically. Accurate diagnosis using EvG stain is needed to recognize oral EFs and EFLs.

求助全文
通过发布文献求助,成功后即可免费获取论文全文。 去求助
来源期刊
Case Reports in Dentistry
Case Reports in Dentistry DENTISTRY, ORAL SURGERY & MEDICINE-
CiteScore
1.40
自引率
12.50%
发文量
107
审稿时长
14 weeks
期刊介绍: Case Reports in Dentistry is a peer-reviewed, Open Access journal that publishes case reports and case series in all areas of dentistry, including periodontal diseases, dental implants, oral pathology, as well as oral and maxillofacial surgery.
×
引用
GB/T 7714-2015
复制
MLA
复制
APA
复制
导出至
BibTeX EndNote RefMan NoteFirst NoteExpress
×
提示
您的信息不完整,为了账户安全,请先补充。
现在去补充
×
提示
您因"违规操作"
具体请查看互助需知
我知道了
×
提示
确定
请完成安全验证×
copy
已复制链接
快去分享给好友吧!
我知道了
右上角分享
点击右上角分享
0
联系我们:info@booksci.cn Book学术提供免费学术资源搜索服务,方便国内外学者检索中英文文献。致力于提供最便捷和优质的服务体验。 Copyright © 2023 布克学术 All rights reserved.
京ICP备2023020795号-1
ghs 京公网安备 11010802042870号
Book学术文献互助
Book学术文献互助群
群 号:604180095
Book学术官方微信