通过超声和尿动力学检查评估尿道解剖和功能参数的相关性分析。

IF 1.5 Q3 RADIOLOGY, NUCLEAR MEDICINE & MEDICAL IMAGING
Journal of Ultrasonography Pub Date : 2024-12-31 eCollection Date: 2024-12-01 DOI:10.15557/jou.2024.0039
Hubert Wójtowicz, Edyta Wlaźlak, Jacek Kociszewski, Wiktor Wlaźlak, Jan Krakowiak, Wojciech Fijołek-Więcławek, Andrzej Wróbel, Grzegorz Surkont
{"title":"通过超声和尿动力学检查评估尿道解剖和功能参数的相关性分析。","authors":"Hubert Wójtowicz, Edyta Wlaźlak, Jacek Kociszewski, Wiktor Wlaźlak, Jan Krakowiak, Wojciech Fijołek-Więcławek, Andrzej Wróbel, Grzegorz Surkont","doi":"10.15557/jou.2024.0039","DOIUrl":null,"url":null,"abstract":"<p><strong>Aim: </strong>This study aimed to examine the correlations between specific urethral function parameters observed in urodynamic testing and selected urethral characteristics evaluated by pelvic floor ultrasonography. Additionally, the presence of urethral funneling during straining was evaluated in female patients referred for surgical treatment of stress urinary incontinence.</p><p><strong>Material and methods: </strong>A retrospective study was conducted on 192 female patients referred for surgical treatment of stress urinary incontinence with the use of retropubic tension-free vaginal tape. Maximum urethral closure pressure and functional urethral length were evaluated urodynamically during resting profilometry. Ultrasound measurements, along with the assessment of funneling, were performed as part of the pelvic floor examination, following the technique described by Kociszewski. Patients with clinically significant pelvic organ prolapse, a history of anterior compartment surgery, prior radiotherapy, or symptoms of overactive bladder were excluded from the analysis.</p><p><strong>Results: </strong>The values obtained from urodynamic and ultrasound examinations were evaluated statistically. No correlation was identified between the analyzed urodynamic and ultrasound parameters. Long urethral funneling was confirmed in all patients with stress urinary incontinence assessed as eligible for the placement of tension-free vaginal tape.</p><p><strong>Conclusions: </strong>The results indicate that urodynamic and ultrasound examinations assess distinct aspects of urethral anatomy and function, and therefore their findings cannot be used interchangeably. Long urethral funneling assessed during pelvic floor ultrasonography was noted in all patients with clinically and urodynamically confirmed stress urinary incontinence.</p>","PeriodicalId":45612,"journal":{"name":"Journal of Ultrasonography","volume":"24 99","pages":"1-7"},"PeriodicalIF":1.5000,"publicationDate":"2024-12-31","publicationTypes":"Journal Article","fieldsOfStudy":null,"isOpenAccess":false,"openAccessPdf":"https://www.ncbi.nlm.nih.gov/pmc/articles/PMC11748197/pdf/","citationCount":"0","resultStr":"{\"title\":\"Correlation analysis of selected anatomical and functional parameters of the urethra, assessed through ultrasound and urodynamic examinations.\",\"authors\":\"Hubert Wójtowicz, Edyta Wlaźlak, Jacek Kociszewski, Wiktor Wlaźlak, Jan Krakowiak, Wojciech Fijołek-Więcławek, Andrzej Wróbel, Grzegorz Surkont\",\"doi\":\"10.15557/jou.2024.0039\",\"DOIUrl\":null,\"url\":null,\"abstract\":\"<p><strong>Aim: </strong>This study aimed to examine the correlations between specific urethral function parameters observed in urodynamic testing and selected urethral characteristics evaluated by pelvic floor ultrasonography. Additionally, the presence of urethral funneling during straining was evaluated in female patients referred for surgical treatment of stress urinary incontinence.</p><p><strong>Material and methods: </strong>A retrospective study was conducted on 192 female patients referred for surgical treatment of stress urinary incontinence with the use of retropubic tension-free vaginal tape. Maximum urethral closure pressure and functional urethral length were evaluated urodynamically during resting profilometry. Ultrasound measurements, along with the assessment of funneling, were performed as part of the pelvic floor examination, following the technique described by Kociszewski. Patients with clinically significant pelvic organ prolapse, a history of anterior compartment surgery, prior radiotherapy, or symptoms of overactive bladder were excluded from the analysis.</p><p><strong>Results: </strong>The values obtained from urodynamic and ultrasound examinations were evaluated statistically. No correlation was identified between the analyzed urodynamic and ultrasound parameters. Long urethral funneling was confirmed in all patients with stress urinary incontinence assessed as eligible for the placement of tension-free vaginal tape.</p><p><strong>Conclusions: </strong>The results indicate that urodynamic and ultrasound examinations assess distinct aspects of urethral anatomy and function, and therefore their findings cannot be used interchangeably. Long urethral funneling assessed during pelvic floor ultrasonography was noted in all patients with clinically and urodynamically confirmed stress urinary incontinence.</p>\",\"PeriodicalId\":45612,\"journal\":{\"name\":\"Journal of Ultrasonography\",\"volume\":\"24 99\",\"pages\":\"1-7\"},\"PeriodicalIF\":1.5000,\"publicationDate\":\"2024-12-31\",\"publicationTypes\":\"Journal Article\",\"fieldsOfStudy\":null,\"isOpenAccess\":false,\"openAccessPdf\":\"https://www.ncbi.nlm.nih.gov/pmc/articles/PMC11748197/pdf/\",\"citationCount\":\"0\",\"resultStr\":null,\"platform\":\"Semanticscholar\",\"paperid\":null,\"PeriodicalName\":\"Journal of Ultrasonography\",\"FirstCategoryId\":\"1085\",\"ListUrlMain\":\"https://doi.org/10.15557/jou.2024.0039\",\"RegionNum\":0,\"RegionCategory\":null,\"ArticlePicture\":[],\"TitleCN\":null,\"AbstractTextCN\":null,\"PMCID\":null,\"EPubDate\":\"2024/12/1 0:00:00\",\"PubModel\":\"eCollection\",\"JCR\":\"Q3\",\"JCRName\":\"RADIOLOGY, NUCLEAR MEDICINE & MEDICAL IMAGING\",\"Score\":null,\"Total\":0}","platform":"Semanticscholar","paperid":null,"PeriodicalName":"Journal of Ultrasonography","FirstCategoryId":"1085","ListUrlMain":"https://doi.org/10.15557/jou.2024.0039","RegionNum":0,"RegionCategory":null,"ArticlePicture":[],"TitleCN":null,"AbstractTextCN":null,"PMCID":null,"EPubDate":"2024/12/1 0:00:00","PubModel":"eCollection","JCR":"Q3","JCRName":"RADIOLOGY, NUCLEAR MEDICINE & MEDICAL IMAGING","Score":null,"Total":0}
引用次数: 0

摘要

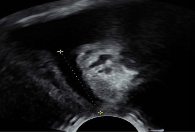
目的:本研究旨在探讨尿动力学检查中观察到的特定尿道功能参数与盆底超声评估的部分尿道特征之间的相关性。此外,我们还对因压力性尿失禁而接受外科治疗的女性患者进行了评估。材料与方法:对192例女性患者行无耻骨后张力阴道胶带手术治疗应激性尿失禁进行回顾性研究。在静息剖面术中评估最大尿道闭合压力和功能尿道长度。超声测量,连同漏斗的评估,作为盆底检查的一部分,按照Kociszewski描述的技术进行。有临床意义的盆腔器官脱垂、前房室手术史、既往放疗或膀胱过度活动症状的患者被排除在分析之外。结果:对尿动力学和超声检查结果进行统计学评价。所分析的尿动力学和超声参数之间没有相关性。在所有被评估为适合放置无张力阴道胶带的压力性尿失禁患者中,证实了长尿道漏斗。结论:结果表明尿动力学检查和超声检查评估尿道解剖和功能的不同方面,因此它们的结果不能互换使用。所有临床和尿动力学证实的压力性尿失禁患者在盆底超声检查中均发现长尿道漏斗。
本文章由计算机程序翻译,如有差异,请以英文原文为准。

Correlation analysis of selected anatomical and functional parameters of the urethra, assessed through ultrasound and urodynamic examinations.

Correlation analysis of selected anatomical and functional parameters of the urethra, assessed through ultrasound and urodynamic examinations.

Correlation analysis of selected anatomical and functional parameters of the urethra, assessed through ultrasound and urodynamic examinations.

Correlation analysis of selected anatomical and functional parameters of the urethra, assessed through ultrasound and urodynamic examinations.

Aim: This study aimed to examine the correlations between specific urethral function parameters observed in urodynamic testing and selected urethral characteristics evaluated by pelvic floor ultrasonography. Additionally, the presence of urethral funneling during straining was evaluated in female patients referred for surgical treatment of stress urinary incontinence.

Material and methods: A retrospective study was conducted on 192 female patients referred for surgical treatment of stress urinary incontinence with the use of retropubic tension-free vaginal tape. Maximum urethral closure pressure and functional urethral length were evaluated urodynamically during resting profilometry. Ultrasound measurements, along with the assessment of funneling, were performed as part of the pelvic floor examination, following the technique described by Kociszewski. Patients with clinically significant pelvic organ prolapse, a history of anterior compartment surgery, prior radiotherapy, or symptoms of overactive bladder were excluded from the analysis.

Results: The values obtained from urodynamic and ultrasound examinations were evaluated statistically. No correlation was identified between the analyzed urodynamic and ultrasound parameters. Long urethral funneling was confirmed in all patients with stress urinary incontinence assessed as eligible for the placement of tension-free vaginal tape.

Conclusions: The results indicate that urodynamic and ultrasound examinations assess distinct aspects of urethral anatomy and function, and therefore their findings cannot be used interchangeably. Long urethral funneling assessed during pelvic floor ultrasonography was noted in all patients with clinically and urodynamically confirmed stress urinary incontinence.

求助全文
通过发布文献求助,成功后即可免费获取论文全文。 去求助
来源期刊
Journal of Ultrasonography
Journal of Ultrasonography RADIOLOGY, NUCLEAR MEDICINE & MEDICAL IMAGING-
CiteScore
2.30
自引率
0.00%
发文量
58
审稿时长
20 weeks
×
引用
GB/T 7714-2015
复制
MLA
复制
APA
复制
导出至
BibTeX EndNote RefMan NoteFirst NoteExpress
×
提示
您的信息不完整,为了账户安全,请先补充。
现在去补充
×
提示
您因"违规操作"
具体请查看互助需知
我知道了
×
提示
确定
请完成安全验证×
copy
已复制链接
快去分享给好友吧!
我知道了
右上角分享
点击右上角分享
0
联系我们:info@booksci.cn Book学术提供免费学术资源搜索服务,方便国内外学者检索中英文文献。致力于提供最便捷和优质的服务体验。 Copyright © 2023 布克学术 All rights reserved.
京ICP备2023020795号-1
ghs 京公网安备 11010802042870号
Book学术文献互助
Book学术文献互助群
群 号:604180095
Book学术官方微信