成年伴高位基底动脉的先天性导水管狭窄的晚期表现:1例报告。

IF 0.7 Q4 CLINICAL NEUROLOGY
Journal of Neurological Surgery Reports Pub Date : 2025-01-20 eCollection Date: 2025-01-01 DOI:10.1055/s-0044-1788037
Hassan Mohammed Alturiki, Batool M Alqudihi, Shima Alboesa, Abdullah H Alramadan
{"title":"成年伴高位基底动脉的先天性导水管狭窄的晚期表现:1例报告。","authors":"Hassan Mohammed Alturiki, Batool M Alqudihi, Shima Alboesa, Abdullah H Alramadan","doi":"10.1055/s-0044-1788037","DOIUrl":null,"url":null,"abstract":"<p><p><b>Background</b>  A rare variant of congenital aqueductal stenosis (CAS) is known as adult-onset CAS, characterized by the emergence of symptoms during adulthood. <b>Case Description</b>  A 35-year-old man presented complaining of acute-onset headache and vomiting. Magnetic resonance imaging of the brain revealed an acute hydrocephalus due to an aqueductal web. The patient was treated with a ventriculoperitoneal shunt and doing well. His condition was complicated by subdural hematoma as a result of overshunting, which was treated by frontoparietal craniotomy and eventually, he underwent valve revision to a programmable valve. <b>Conclusion</b>  Additional research is needed to gain a deeper understanding of the hypothesis related to adult aqueductal stenosis. This will help shed light on the asymptomatic childhood phase and potentially reduce complications by identifying late CAS early.</p>","PeriodicalId":44256,"journal":{"name":"Journal of Neurological Surgery Reports","volume":"86 1","pages":"e4-e7"},"PeriodicalIF":0.7000,"publicationDate":"2025-01-20","publicationTypes":"Journal Article","fieldsOfStudy":null,"isOpenAccess":false,"openAccessPdf":"https://www.ncbi.nlm.nih.gov/pmc/articles/PMC11745802/pdf/","citationCount":"0","resultStr":"{\"title\":\"Late Presentation of Congenital Aqueduct Stenosis in Adulthood with High-Riding Basilar Artery: Case Report.\",\"authors\":\"Hassan Mohammed Alturiki, Batool M Alqudihi, Shima Alboesa, Abdullah H Alramadan\",\"doi\":\"10.1055/s-0044-1788037\",\"DOIUrl\":null,\"url\":null,\"abstract\":\"<p><p><b>Background</b>  A rare variant of congenital aqueductal stenosis (CAS) is known as adult-onset CAS, characterized by the emergence of symptoms during adulthood. <b>Case Description</b>  A 35-year-old man presented complaining of acute-onset headache and vomiting. Magnetic resonance imaging of the brain revealed an acute hydrocephalus due to an aqueductal web. The patient was treated with a ventriculoperitoneal shunt and doing well. His condition was complicated by subdural hematoma as a result of overshunting, which was treated by frontoparietal craniotomy and eventually, he underwent valve revision to a programmable valve. <b>Conclusion</b>  Additional research is needed to gain a deeper understanding of the hypothesis related to adult aqueductal stenosis. This will help shed light on the asymptomatic childhood phase and potentially reduce complications by identifying late CAS early.</p>\",\"PeriodicalId\":44256,\"journal\":{\"name\":\"Journal of Neurological Surgery Reports\",\"volume\":\"86 1\",\"pages\":\"e4-e7\"},\"PeriodicalIF\":0.7000,\"publicationDate\":\"2025-01-20\",\"publicationTypes\":\"Journal Article\",\"fieldsOfStudy\":null,\"isOpenAccess\":false,\"openAccessPdf\":\"https://www.ncbi.nlm.nih.gov/pmc/articles/PMC11745802/pdf/\",\"citationCount\":\"0\",\"resultStr\":null,\"platform\":\"Semanticscholar\",\"paperid\":null,\"PeriodicalName\":\"Journal of Neurological Surgery Reports\",\"FirstCategoryId\":\"1085\",\"ListUrlMain\":\"https://doi.org/10.1055/s-0044-1788037\",\"RegionNum\":0,\"RegionCategory\":null,\"ArticlePicture\":[],\"TitleCN\":null,\"AbstractTextCN\":null,\"PMCID\":null,\"EPubDate\":\"2025/1/1 0:00:00\",\"PubModel\":\"eCollection\",\"JCR\":\"Q4\",\"JCRName\":\"CLINICAL NEUROLOGY\",\"Score\":null,\"Total\":0}","platform":"Semanticscholar","paperid":null,"PeriodicalName":"Journal of Neurological Surgery Reports","FirstCategoryId":"1085","ListUrlMain":"https://doi.org/10.1055/s-0044-1788037","RegionNum":0,"RegionCategory":null,"ArticlePicture":[],"TitleCN":null,"AbstractTextCN":null,"PMCID":null,"EPubDate":"2025/1/1 0:00:00","PubModel":"eCollection","JCR":"Q4","JCRName":"CLINICAL NEUROLOGY","Score":null,"Total":0}
引用次数: 0

摘要

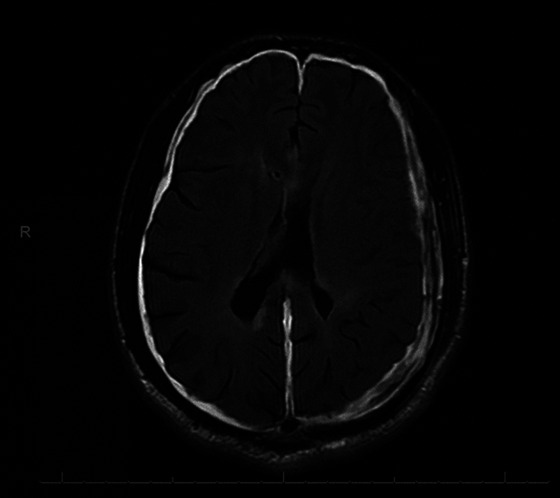
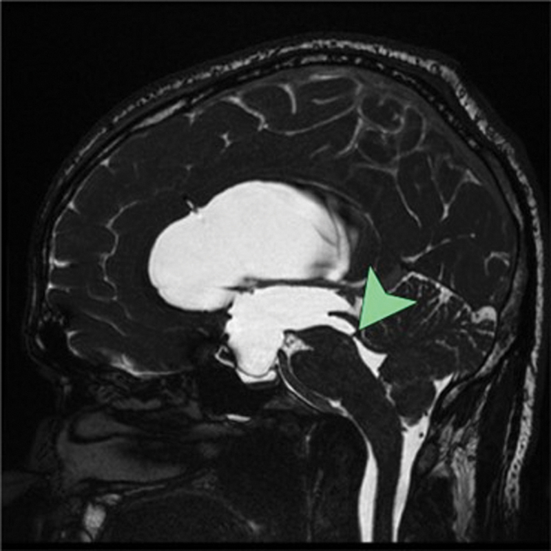
背景先天性输水管狭窄(CAS)是一种罕见的变异,被称为成人发病的CAS,其特征是在成年期出现症状。病例描述一名35岁男性主诉急性头痛和呕吐。脑磁共振成像显示急性脑积水由于输水管网。病人接受脑室腹腔分流术治疗,情况良好。他的病情因过度分流而并发硬膜下血肿,通过额顶骨开颅治疗,最终他接受了可编程瓣膜翻修。结论成人导水管狭窄的假说有待进一步研究。这将有助于阐明无症状儿童期,并通过早期识别晚期CAS,潜在地减少并发症。
本文章由计算机程序翻译,如有差异,请以英文原文为准。

Late Presentation of Congenital Aqueduct Stenosis in Adulthood with High-Riding Basilar Artery: Case Report.

Late Presentation of Congenital Aqueduct Stenosis in Adulthood with High-Riding Basilar Artery: Case Report.

Late Presentation of Congenital Aqueduct Stenosis in Adulthood with High-Riding Basilar Artery: Case Report.

Background  A rare variant of congenital aqueductal stenosis (CAS) is known as adult-onset CAS, characterized by the emergence of symptoms during adulthood. Case Description  A 35-year-old man presented complaining of acute-onset headache and vomiting. Magnetic resonance imaging of the brain revealed an acute hydrocephalus due to an aqueductal web. The patient was treated with a ventriculoperitoneal shunt and doing well. His condition was complicated by subdural hematoma as a result of overshunting, which was treated by frontoparietal craniotomy and eventually, he underwent valve revision to a programmable valve. Conclusion  Additional research is needed to gain a deeper understanding of the hypothesis related to adult aqueductal stenosis. This will help shed light on the asymptomatic childhood phase and potentially reduce complications by identifying late CAS early.

求助全文
通过发布文献求助,成功后即可免费获取论文全文。 去求助
来源期刊
自引率
0.00%
发文量
31
审稿时长
12 weeks
×
引用
GB/T 7714-2015
复制
MLA
复制
APA
复制
导出至
BibTeX EndNote RefMan NoteFirst NoteExpress
×
提示
您的信息不完整,为了账户安全,请先补充。
现在去补充
×
提示
您因"违规操作"
具体请查看互助需知
我知道了
×
提示
确定
请完成安全验证×
copy
已复制链接
快去分享给好友吧!
我知道了
右上角分享
点击右上角分享
0
联系我们:info@booksci.cn Book学术提供免费学术资源搜索服务,方便国内外学者检索中英文文献。致力于提供最便捷和优质的服务体验。 Copyright © 2023 布克学术 All rights reserved.
京ICP备2023020795号-1
ghs 京公网安备 11010802042870号
Book学术文献互助
Book学术文献互助群
群 号:604180095
Book学术官方微信