腹股沟肿块的一个未被充分认识的病因:大隐静脉动脉瘤。

IF 0.9 Q3 MEDICINE, GENERAL & INTERNAL
Medical Bulletin of Sisli Etfal Hospital Pub Date : 2024-12-24 eCollection Date: 2024-01-01 DOI:10.14744/SEMB.2024.50329
Fatih Yanar, Orhan Agcaoglu, Oguzhan Sal, Berke Sengun, Ibrahim Fethi Azamat, Dilek Yilmazbayhan, Fatih Ata Genc
{"title":"腹股沟肿块的一个未被充分认识的病因:大隐静脉动脉瘤。","authors":"Fatih Yanar, Orhan Agcaoglu, Oguzhan Sal, Berke Sengun, Ibrahim Fethi Azamat, Dilek Yilmazbayhan, Fatih Ata Genc","doi":"10.14744/SEMB.2024.50329","DOIUrl":null,"url":null,"abstract":"<p><p>Inguinal masses have a large variety of causes, ranging from inguinal hernias to soft tissue sarcomas. One of the less prevalent causes is vascular origin. Venous aneurysms, unlike their arterial counterparts, are seen seldomly and experience in management of these cases is scarce. A 32-year-old male patient was referred to our clinic due to an enlarging left inguinal mass with a preliminary diagnosis of inguinal hernia. Doppler ultrasonography revealed an eight cm in diameter aneurysmatic Great Saphenous Vein segment located just below the inguinal ligament. Dilated segment was excised without complete resection. Removal of the dilated segment and performing complete venous resection depending on venous valvular failure constitutes surgical repair of Great Saphenous Vein aneurysms. Surgical approach should be primarily selected if Great Saphenous Vein aneurysm is detected due to its debilitating nature and possible rupture.</p>","PeriodicalId":42218,"journal":{"name":"Medical Bulletin of Sisli Etfal Hospital","volume":"58 4","pages":"505-508"},"PeriodicalIF":0.9000,"publicationDate":"2024-12-24","publicationTypes":"Journal Article","fieldsOfStudy":null,"isOpenAccess":false,"openAccessPdf":"https://www.ncbi.nlm.nih.gov/pmc/articles/PMC11729834/pdf/","citationCount":"0","resultStr":"{\"title\":\"An Underappreciated Etiology of Groin Mass: Great Saphenous Vein Aneurysm.\",\"authors\":\"Fatih Yanar, Orhan Agcaoglu, Oguzhan Sal, Berke Sengun, Ibrahim Fethi Azamat, Dilek Yilmazbayhan, Fatih Ata Genc\",\"doi\":\"10.14744/SEMB.2024.50329\",\"DOIUrl\":null,\"url\":null,\"abstract\":\"<p><p>Inguinal masses have a large variety of causes, ranging from inguinal hernias to soft tissue sarcomas. One of the less prevalent causes is vascular origin. Venous aneurysms, unlike their arterial counterparts, are seen seldomly and experience in management of these cases is scarce. A 32-year-old male patient was referred to our clinic due to an enlarging left inguinal mass with a preliminary diagnosis of inguinal hernia. Doppler ultrasonography revealed an eight cm in diameter aneurysmatic Great Saphenous Vein segment located just below the inguinal ligament. Dilated segment was excised without complete resection. Removal of the dilated segment and performing complete venous resection depending on venous valvular failure constitutes surgical repair of Great Saphenous Vein aneurysms. Surgical approach should be primarily selected if Great Saphenous Vein aneurysm is detected due to its debilitating nature and possible rupture.</p>\",\"PeriodicalId\":42218,\"journal\":{\"name\":\"Medical Bulletin of Sisli Etfal Hospital\",\"volume\":\"58 4\",\"pages\":\"505-508\"},\"PeriodicalIF\":0.9000,\"publicationDate\":\"2024-12-24\",\"publicationTypes\":\"Journal Article\",\"fieldsOfStudy\":null,\"isOpenAccess\":false,\"openAccessPdf\":\"https://www.ncbi.nlm.nih.gov/pmc/articles/PMC11729834/pdf/\",\"citationCount\":\"0\",\"resultStr\":null,\"platform\":\"Semanticscholar\",\"paperid\":null,\"PeriodicalName\":\"Medical Bulletin of Sisli Etfal Hospital\",\"FirstCategoryId\":\"1085\",\"ListUrlMain\":\"https://doi.org/10.14744/SEMB.2024.50329\",\"RegionNum\":0,\"RegionCategory\":null,\"ArticlePicture\":[],\"TitleCN\":null,\"AbstractTextCN\":null,\"PMCID\":null,\"EPubDate\":\"2024/1/1 0:00:00\",\"PubModel\":\"eCollection\",\"JCR\":\"Q3\",\"JCRName\":\"MEDICINE, GENERAL & INTERNAL\",\"Score\":null,\"Total\":0}","platform":"Semanticscholar","paperid":null,"PeriodicalName":"Medical Bulletin of Sisli Etfal Hospital","FirstCategoryId":"1085","ListUrlMain":"https://doi.org/10.14744/SEMB.2024.50329","RegionNum":0,"RegionCategory":null,"ArticlePicture":[],"TitleCN":null,"AbstractTextCN":null,"PMCID":null,"EPubDate":"2024/1/1 0:00:00","PubModel":"eCollection","JCR":"Q3","JCRName":"MEDICINE, GENERAL & INTERNAL","Score":null,"Total":0}
引用次数: 0

摘要

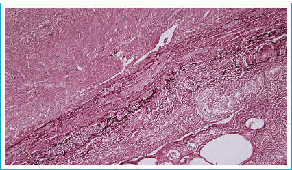
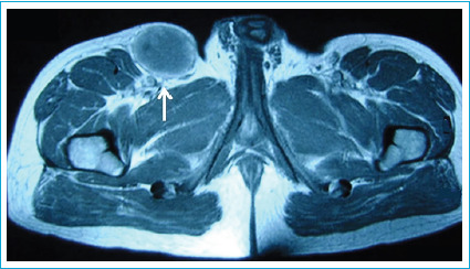
腹股沟肿块有多种原因,从腹股沟疝到软组织肉瘤。一个不太常见的原因是血管起源。与动脉动脉瘤不同,静脉动脉瘤很少出现,治疗经验也很少。一名32岁男性患者因左侧腹股沟肿块扩大,初步诊断为腹股沟疝而转介到我们诊所。多普勒超声显示一直径8厘米的动脉瘤性大隐静脉段位于腹股沟韧带下方。未完全切除扩张节段。大隐静脉动脉瘤的外科修复需要切除扩张节段,并根据静脉瓣膜衰竭进行完整的静脉切除。如果检测到大隐静脉动脉瘤,由于其衰弱性和可能破裂,应首先选择手术入路。
本文章由计算机程序翻译,如有差异,请以英文原文为准。

An Underappreciated Etiology of Groin Mass: Great Saphenous Vein Aneurysm.

An Underappreciated Etiology of Groin Mass: Great Saphenous Vein Aneurysm.

An Underappreciated Etiology of Groin Mass: Great Saphenous Vein Aneurysm.

An Underappreciated Etiology of Groin Mass: Great Saphenous Vein Aneurysm.

Inguinal masses have a large variety of causes, ranging from inguinal hernias to soft tissue sarcomas. One of the less prevalent causes is vascular origin. Venous aneurysms, unlike their arterial counterparts, are seen seldomly and experience in management of these cases is scarce. A 32-year-old male patient was referred to our clinic due to an enlarging left inguinal mass with a preliminary diagnosis of inguinal hernia. Doppler ultrasonography revealed an eight cm in diameter aneurysmatic Great Saphenous Vein segment located just below the inguinal ligament. Dilated segment was excised without complete resection. Removal of the dilated segment and performing complete venous resection depending on venous valvular failure constitutes surgical repair of Great Saphenous Vein aneurysms. Surgical approach should be primarily selected if Great Saphenous Vein aneurysm is detected due to its debilitating nature and possible rupture.

求助全文
通过发布文献求助,成功后即可免费获取论文全文。 去求助
来源期刊
Medical Bulletin of Sisli Etfal Hospital
Medical Bulletin of Sisli Etfal Hospital MEDICINE, GENERAL & INTERNAL-
自引率
16.70%
发文量
41
×
引用
GB/T 7714-2015
复制
MLA
复制
APA
复制
导出至
BibTeX EndNote RefMan NoteFirst NoteExpress
×
提示
您的信息不完整,为了账户安全,请先补充。
现在去补充
×
提示
您因"违规操作"
具体请查看互助需知
我知道了
×
提示
确定
请完成安全验证×
copy
已复制链接
快去分享给好友吧!
我知道了
右上角分享
点击右上角分享
0
联系我们:info@booksci.cn Book学术提供免费学术资源搜索服务,方便国内外学者检索中英文文献。致力于提供最便捷和优质的服务体验。 Copyright © 2023 布克学术 All rights reserved.
京ICP备2023020795号-1
ghs 京公网安备 11010802042870号
Book学术文献互助
Book学术文献互助群
群 号:604180095
Book学术官方微信