伤寒作为肝衰竭的原因在美国:一个病例报告。

IF 0.5 Q4 GASTROENTEROLOGY & HEPATOLOGY
Case Reports in Gastrointestinal Medicine Pub Date : 2025-01-13 eCollection Date: 2025-01-01 DOI:10.1155/crgm/3087201
Syed Mujtaba Baqir, Neha Sharma, Aruge Lutaf, Monica Ghitan, Yu Shia Lin
{"title":"伤寒作为肝衰竭的原因在美国:一个病例报告。","authors":"Syed Mujtaba Baqir, Neha Sharma, Aruge Lutaf, Monica Ghitan, Yu Shia Lin","doi":"10.1155/crgm/3087201","DOIUrl":null,"url":null,"abstract":"<p><p><b>Background:</b> Typhoid fever is a multisystemic illness caused by <i>Salmonella typhi</i> and <i>Salmonella paratyphi</i>, transmitted fecal orally through contaminated water and food. It is a rare diagnosis in the US, with most cases reported in returning travelers. Hepatitis and cholestasis are rare sequelae of <i>salmonella</i> infection. However, acute liver failure (ALF) is exceptionally uncommon. We report a case of typhoid fever in a returning traveler to the US progressing to ALF. <b>Case Presentation:</b> A 48-year-old man presented with high-grade fever, abdominal pain, vomiting, acholic stools, dark urine, and yellowish discoloration of skin and sclera for one week. He was immune to hepatitis A and B, with no recent change in medications. He had no history of alcohol consumption. On presentation, the patient was tachycardic but well perfused with diffuse abdominal tenderness. Laboratory results showed leukocytosis, elevated creatinine, mixed hepatocellular and cholestatic pattern of raised liver enzymes, elevated ammonia levels, and negative hemolytic parameters. Viral, autoimmune, and metabolic causes of hepatitis were negative. Ultrasound of the abdomen revealed a normal biliary system and a computerized tomography (CT) scan of the abdomen showed multiple liver cysts, mesenteric and porta-hepatis lymphadenopathy, and mild thickening of the terminal ileum. Intravenous (IV) ceftriaxone and metronidazole were initiated. Blood cultures grew <i>S</i>. <i>typhi</i>. The patient clinically deteriorated and developed altered mental status, respiratory distress, and an up-trending Model for End-Stage Liver Disease (MELD) score and was upgraded to the intensive care unit. IV meropenem was initiated, resulting in clinical recovery and negative repeat blood cultures. The patient completed 2 weeks of meropenem and was discharged. <b>Conclusion:</b> Typhoid fever can cause life-threatening liver failure which is rare. Clinicians should be aware of this due to the rapid progression and life-threatening clinical course, as well as the rise of multidrug-resistant and extensively drug-resistant typhoid causing delays in starting the right antibiotic.</p>","PeriodicalId":45645,"journal":{"name":"Case Reports in Gastrointestinal Medicine","volume":"2025 ","pages":"3087201"},"PeriodicalIF":0.5000,"publicationDate":"2025-01-13","publicationTypes":"Journal Article","fieldsOfStudy":null,"isOpenAccess":false,"openAccessPdf":"https://www.ncbi.nlm.nih.gov/pmc/articles/PMC11745548/pdf/","citationCount":"0","resultStr":"{\"title\":\"Typhoid Fever as a Cause of Liver Failure in the United States: A Case Report.\",\"authors\":\"Syed Mujtaba Baqir, Neha Sharma, Aruge Lutaf, Monica Ghitan, Yu Shia Lin\",\"doi\":\"10.1155/crgm/3087201\",\"DOIUrl\":null,\"url\":null,\"abstract\":\"<p><p><b>Background:</b> Typhoid fever is a multisystemic illness caused by <i>Salmonella typhi</i> and <i>Salmonella paratyphi</i>, transmitted fecal orally through contaminated water and food. It is a rare diagnosis in the US, with most cases reported in returning travelers. Hepatitis and cholestasis are rare sequelae of <i>salmonella</i> infection. However, acute liver failure (ALF) is exceptionally uncommon. We report a case of typhoid fever in a returning traveler to the US progressing to ALF. <b>Case Presentation:</b> A 48-year-old man presented with high-grade fever, abdominal pain, vomiting, acholic stools, dark urine, and yellowish discoloration of skin and sclera for one week. He was immune to hepatitis A and B, with no recent change in medications. He had no history of alcohol consumption. On presentation, the patient was tachycardic but well perfused with diffuse abdominal tenderness. Laboratory results showed leukocytosis, elevated creatinine, mixed hepatocellular and cholestatic pattern of raised liver enzymes, elevated ammonia levels, and negative hemolytic parameters. Viral, autoimmune, and metabolic causes of hepatitis were negative. Ultrasound of the abdomen revealed a normal biliary system and a computerized tomography (CT) scan of the abdomen showed multiple liver cysts, mesenteric and porta-hepatis lymphadenopathy, and mild thickening of the terminal ileum. Intravenous (IV) ceftriaxone and metronidazole were initiated. Blood cultures grew <i>S</i>. <i>typhi</i>. The patient clinically deteriorated and developed altered mental status, respiratory distress, and an up-trending Model for End-Stage Liver Disease (MELD) score and was upgraded to the intensive care unit. IV meropenem was initiated, resulting in clinical recovery and negative repeat blood cultures. The patient completed 2 weeks of meropenem and was discharged. <b>Conclusion:</b> Typhoid fever can cause life-threatening liver failure which is rare. Clinicians should be aware of this due to the rapid progression and life-threatening clinical course, as well as the rise of multidrug-resistant and extensively drug-resistant typhoid causing delays in starting the right antibiotic.</p>\",\"PeriodicalId\":45645,\"journal\":{\"name\":\"Case Reports in Gastrointestinal Medicine\",\"volume\":\"2025 \",\"pages\":\"3087201\"},\"PeriodicalIF\":0.5000,\"publicationDate\":\"2025-01-13\",\"publicationTypes\":\"Journal Article\",\"fieldsOfStudy\":null,\"isOpenAccess\":false,\"openAccessPdf\":\"https://www.ncbi.nlm.nih.gov/pmc/articles/PMC11745548/pdf/\",\"citationCount\":\"0\",\"resultStr\":null,\"platform\":\"Semanticscholar\",\"paperid\":null,\"PeriodicalName\":\"Case Reports in Gastrointestinal Medicine\",\"FirstCategoryId\":\"1085\",\"ListUrlMain\":\"https://doi.org/10.1155/crgm/3087201\",\"RegionNum\":0,\"RegionCategory\":null,\"ArticlePicture\":[],\"TitleCN\":null,\"AbstractTextCN\":null,\"PMCID\":null,\"EPubDate\":\"2025/1/1 0:00:00\",\"PubModel\":\"eCollection\",\"JCR\":\"Q4\",\"JCRName\":\"GASTROENTEROLOGY & HEPATOLOGY\",\"Score\":null,\"Total\":0}","platform":"Semanticscholar","paperid":null,"PeriodicalName":"Case Reports in Gastrointestinal Medicine","FirstCategoryId":"1085","ListUrlMain":"https://doi.org/10.1155/crgm/3087201","RegionNum":0,"RegionCategory":null,"ArticlePicture":[],"TitleCN":null,"AbstractTextCN":null,"PMCID":null,"EPubDate":"2025/1/1 0:00:00","PubModel":"eCollection","JCR":"Q4","JCRName":"GASTROENTEROLOGY & HEPATOLOGY","Score":null,"Total":0}
引用次数: 0

摘要

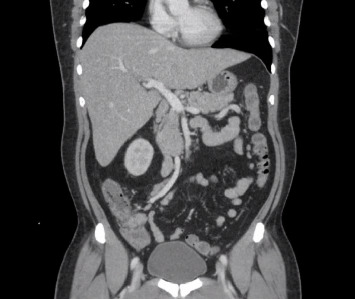
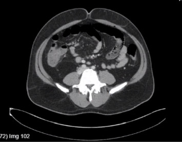
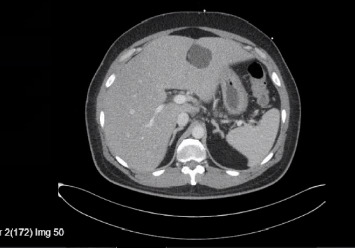
背景:伤寒是一种由伤寒沙门菌和副伤寒沙门菌引起的多系统疾病,可通过受污染的水和食物经粪便经口传播。在美国,这是一种罕见的诊断,大多数病例报告发生在返回的旅行者身上。肝炎和胆汁淤积是沙门氏菌感染的罕见后遗症。然而,急性肝衰竭(ALF)是非常罕见的。我们报告一例伤寒在返回旅行者到美国进展到ALF。病例介绍:一名48岁男性,表现为高热、腹痛、呕吐、胆汁性便、尿色深、皮肤和巩膜变黄,持续一周。他对甲型和乙型肝炎有免疫力,近期用药也没有变化。他没有饮酒史。就诊时,患者心动过速,但血流灌注良好,伴有弥漫性腹部压痛。实验室结果显示白细胞增多,肌酐升高,肝酶升高的混合肝细胞和胆汁淤积模式,氨水平升高,溶血参数阴性。病毒性、自身免疫性和代谢性肝炎均为阴性。腹部超声显示胆道系统正常,腹部CT显示多发肝囊肿,肠系膜及肝门淋巴结病变,回肠末端轻度增厚。开始静脉注射头孢曲松和甲硝唑。血液培养培养出伤寒沙门氏菌。患者临床病情恶化,出现精神状态改变、呼吸窘迫,终末期肝病(MELD)评分呈上升趋势,并被升级至重症监护病房。开始静脉滴注美罗培南,临床恢复,重复血培养阴性。患者完成2周美罗培南治疗后出院。结论:伤寒可引起危及生命的肝功能衰竭,但罕见。临床医生应该意识到这一点,因为它的进展迅速,临床病程危及生命,而且耐多药和广泛耐药伤寒的增加导致开始使用正确抗生素的延误。
本文章由计算机程序翻译,如有差异,请以英文原文为准。

Typhoid Fever as a Cause of Liver Failure in the United States: A Case Report.

Typhoid Fever as a Cause of Liver Failure in the United States: A Case Report.

Typhoid Fever as a Cause of Liver Failure in the United States: A Case Report.

Typhoid Fever as a Cause of Liver Failure in the United States: A Case Report.

Background: Typhoid fever is a multisystemic illness caused by Salmonella typhi and Salmonella paratyphi, transmitted fecal orally through contaminated water and food. It is a rare diagnosis in the US, with most cases reported in returning travelers. Hepatitis and cholestasis are rare sequelae of salmonella infection. However, acute liver failure (ALF) is exceptionally uncommon. We report a case of typhoid fever in a returning traveler to the US progressing to ALF. Case Presentation: A 48-year-old man presented with high-grade fever, abdominal pain, vomiting, acholic stools, dark urine, and yellowish discoloration of skin and sclera for one week. He was immune to hepatitis A and B, with no recent change in medications. He had no history of alcohol consumption. On presentation, the patient was tachycardic but well perfused with diffuse abdominal tenderness. Laboratory results showed leukocytosis, elevated creatinine, mixed hepatocellular and cholestatic pattern of raised liver enzymes, elevated ammonia levels, and negative hemolytic parameters. Viral, autoimmune, and metabolic causes of hepatitis were negative. Ultrasound of the abdomen revealed a normal biliary system and a computerized tomography (CT) scan of the abdomen showed multiple liver cysts, mesenteric and porta-hepatis lymphadenopathy, and mild thickening of the terminal ileum. Intravenous (IV) ceftriaxone and metronidazole were initiated. Blood cultures grew S. typhi. The patient clinically deteriorated and developed altered mental status, respiratory distress, and an up-trending Model for End-Stage Liver Disease (MELD) score and was upgraded to the intensive care unit. IV meropenem was initiated, resulting in clinical recovery and negative repeat blood cultures. The patient completed 2 weeks of meropenem and was discharged. Conclusion: Typhoid fever can cause life-threatening liver failure which is rare. Clinicians should be aware of this due to the rapid progression and life-threatening clinical course, as well as the rise of multidrug-resistant and extensively drug-resistant typhoid causing delays in starting the right antibiotic.

求助全文
通过发布文献求助,成功后即可免费获取论文全文。 去求助
来源期刊
Case Reports in Gastrointestinal Medicine
Case Reports in Gastrointestinal Medicine GASTROENTEROLOGY & HEPATOLOGY-
自引率
0.00%
发文量
33
审稿时长
14 weeks
×
引用
GB/T 7714-2015
复制
MLA
复制
APA
复制
导出至
BibTeX EndNote RefMan NoteFirst NoteExpress
×
提示
您的信息不完整,为了账户安全,请先补充。
现在去补充
×
提示
您因"违规操作"
具体请查看互助需知
我知道了
×
提示
确定
请完成安全验证×
copy
已复制链接
快去分享给好友吧!
我知道了
右上角分享
点击右上角分享
0
联系我们:info@booksci.cn Book学术提供免费学术资源搜索服务,方便国内外学者检索中英文文献。致力于提供最便捷和优质的服务体验。 Copyright © 2023 布克学术 All rights reserved.
京ICP备2023020795号-1
ghs 京公网安备 11010802042870号
Book学术文献互助
Book学术文献互助群
群 号:604180095
Book学术官方微信