小脑中脚及其他部位的高强度病变:一篇图片文章。

Q3 Medicine
Radiologia Brasileira Pub Date : 2025-01-10 eCollection Date: 2024-01-01 DOI:10.1590/0100-3984.2024.0001
João Vitor Gerdulli Tamanini, Guilherme Antonio Silva Ribeiro, Adriana Tami Kimura, Luiz Fernando Borella, Tomás de Andrade Freddi, Fabiano Reis
{"title":"小脑中脚及其他部位的高强度病变:一篇图片文章。","authors":"João Vitor Gerdulli Tamanini, Guilherme Antonio Silva Ribeiro, Adriana Tami Kimura, Luiz Fernando Borella, Tomás de Andrade Freddi, Fabiano Reis","doi":"10.1590/0100-3984.2024.0001","DOIUrl":null,"url":null,"abstract":"<p><p>The middle cerebellar peduncle (MCP) is the largest afferent system of the cerebellum and consists of fibres from the cortico-ponto-cerebellar tract. Specifically, several relevant diseases can present with hyperintensity in the MCP on T2-weighted/fluid-attenuated inversion recovery (T2/FLAIR) magnetic resonance imaging sequences, including multiple sclerosis; acute disseminated encephalomyelitis; neuromyelitis optica spectrum disorder; progressive multifocal leucoencephalopathy; hepatic encephalopathy; osmotic demyelination syndrome; multiple system atrophy; fragile X-associated tremor/ataxia syndrome; megalencephalic leucoencephalopathy with subcortical cysts; spinocerebellar ataxias; hemi-pontine infarct with trans-axonal degeneration; and diffuse midline glioma with the histone H3K27M mutation. The aim of this pictorial review is to discuss the imaging findings that are relevant for the differential diagnosis of diseases presenting with MCP hyperintensity on T2/FLAIR sequences. Such knowledge is of utmost importance for the practicing radiologist.</p>","PeriodicalId":20842,"journal":{"name":"Radiologia Brasileira","volume":"57 ","pages":"e20240001"},"PeriodicalIF":0.0000,"publicationDate":"2025-01-10","publicationTypes":"Journal Article","fieldsOfStudy":null,"isOpenAccess":false,"openAccessPdf":"https://www.ncbi.nlm.nih.gov/pmc/articles/PMC11740878/pdf/","citationCount":"0","resultStr":"{\"title\":\"Hyperintense lesions of the middle cerebellar peduncle and beyond: a pictorial essay.\",\"authors\":\"João Vitor Gerdulli Tamanini, Guilherme Antonio Silva Ribeiro, Adriana Tami Kimura, Luiz Fernando Borella, Tomás de Andrade Freddi, Fabiano Reis\",\"doi\":\"10.1590/0100-3984.2024.0001\",\"DOIUrl\":null,\"url\":null,\"abstract\":\"<p><p>The middle cerebellar peduncle (MCP) is the largest afferent system of the cerebellum and consists of fibres from the cortico-ponto-cerebellar tract. Specifically, several relevant diseases can present with hyperintensity in the MCP on T2-weighted/fluid-attenuated inversion recovery (T2/FLAIR) magnetic resonance imaging sequences, including multiple sclerosis; acute disseminated encephalomyelitis; neuromyelitis optica spectrum disorder; progressive multifocal leucoencephalopathy; hepatic encephalopathy; osmotic demyelination syndrome; multiple system atrophy; fragile X-associated tremor/ataxia syndrome; megalencephalic leucoencephalopathy with subcortical cysts; spinocerebellar ataxias; hemi-pontine infarct with trans-axonal degeneration; and diffuse midline glioma with the histone H3K27M mutation. The aim of this pictorial review is to discuss the imaging findings that are relevant for the differential diagnosis of diseases presenting with MCP hyperintensity on T2/FLAIR sequences. Such knowledge is of utmost importance for the practicing radiologist.</p>\",\"PeriodicalId\":20842,\"journal\":{\"name\":\"Radiologia Brasileira\",\"volume\":\"57 \",\"pages\":\"e20240001\"},\"PeriodicalIF\":0.0000,\"publicationDate\":\"2025-01-10\",\"publicationTypes\":\"Journal Article\",\"fieldsOfStudy\":null,\"isOpenAccess\":false,\"openAccessPdf\":\"https://www.ncbi.nlm.nih.gov/pmc/articles/PMC11740878/pdf/\",\"citationCount\":\"0\",\"resultStr\":null,\"platform\":\"Semanticscholar\",\"paperid\":null,\"PeriodicalName\":\"Radiologia Brasileira\",\"FirstCategoryId\":\"1085\",\"ListUrlMain\":\"https://doi.org/10.1590/0100-3984.2024.0001\",\"RegionNum\":0,\"RegionCategory\":null,\"ArticlePicture\":[],\"TitleCN\":null,\"AbstractTextCN\":null,\"PMCID\":null,\"EPubDate\":\"2024/1/1 0:00:00\",\"PubModel\":\"eCollection\",\"JCR\":\"Q3\",\"JCRName\":\"Medicine\",\"Score\":null,\"Total\":0}","platform":"Semanticscholar","paperid":null,"PeriodicalName":"Radiologia Brasileira","FirstCategoryId":"1085","ListUrlMain":"https://doi.org/10.1590/0100-3984.2024.0001","RegionNum":0,"RegionCategory":null,"ArticlePicture":[],"TitleCN":null,"AbstractTextCN":null,"PMCID":null,"EPubDate":"2024/1/1 0:00:00","PubModel":"eCollection","JCR":"Q3","JCRName":"Medicine","Score":null,"Total":0}
引用次数: 0

摘要

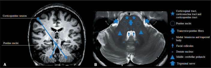
小脑中脚(MCP)是小脑最大的传入系统,由皮质-桥-小脑束纤维组成。具体来说,一些相关疾病在T2加权/液体衰减反转恢复(T2/FLAIR)磁共振成像序列上可表现为MCP高强度,包括多发性硬化症;急性播散性脑脊髓炎;视神经脊髓炎;进行性多灶性白质脑病;肝性脑病;渗透性脱髓鞘综合征;多系统萎缩;脆性x相关震颤/共济失调综合征;伴有皮质下囊肿的巨脑性白质脑病;脊髓小脑的共济失调;半桥脑梗死伴轴突变性;组蛋白H3K27M突变的弥漫性中线胶质瘤。这篇图片综述的目的是讨论T2/FLAIR序列上以MCP高强度表现的疾病的鉴别诊断相关的影像学表现。这些知识对执业放射科医生来说是至关重要的。
本文章由计算机程序翻译,如有差异,请以英文原文为准。

Hyperintense lesions of the middle cerebellar peduncle and beyond: a pictorial essay.

Hyperintense lesions of the middle cerebellar peduncle and beyond: a pictorial essay.

Hyperintense lesions of the middle cerebellar peduncle and beyond: a pictorial essay.

Hyperintense lesions of the middle cerebellar peduncle and beyond: a pictorial essay.

The middle cerebellar peduncle (MCP) is the largest afferent system of the cerebellum and consists of fibres from the cortico-ponto-cerebellar tract. Specifically, several relevant diseases can present with hyperintensity in the MCP on T2-weighted/fluid-attenuated inversion recovery (T2/FLAIR) magnetic resonance imaging sequences, including multiple sclerosis; acute disseminated encephalomyelitis; neuromyelitis optica spectrum disorder; progressive multifocal leucoencephalopathy; hepatic encephalopathy; osmotic demyelination syndrome; multiple system atrophy; fragile X-associated tremor/ataxia syndrome; megalencephalic leucoencephalopathy with subcortical cysts; spinocerebellar ataxias; hemi-pontine infarct with trans-axonal degeneration; and diffuse midline glioma with the histone H3K27M mutation. The aim of this pictorial review is to discuss the imaging findings that are relevant for the differential diagnosis of diseases presenting with MCP hyperintensity on T2/FLAIR sequences. Such knowledge is of utmost importance for the practicing radiologist.

求助全文
通过发布文献求助,成功后即可免费获取论文全文。 去求助
来源期刊
Radiologia Brasileira
Radiologia Brasileira Medicine-Radiology, Nuclear Medicine and Imaging
CiteScore
2.60
自引率
0.00%
发文量
75
审稿时长
28 weeks
×
引用
GB/T 7714-2015
复制
MLA
复制
APA
复制
导出至
BibTeX EndNote RefMan NoteFirst NoteExpress
×
提示
您的信息不完整,为了账户安全,请先补充。
现在去补充
×
提示
您因"违规操作"
具体请查看互助需知
我知道了
×
提示
确定
请完成安全验证×
copy
已复制链接
快去分享给好友吧!
我知道了
右上角分享
点击右上角分享
0
联系我们:info@booksci.cn Book学术提供免费学术资源搜索服务,方便国内外学者检索中英文文献。致力于提供最便捷和优质的服务体验。 Copyright © 2023 布克学术 All rights reserved.
京ICP备2023020795号-1
ghs 京公网安备 11010802042870号
Book学术文献互助
Book学术文献互助群
群 号:604180095
Book学术官方微信