外阴鳞状细胞癌(VSCC)分子亚型与trop2表达的关系

IF 2 4区 医学 Q3 CELL BIOLOGY
Pathobiology Pub Date : 2025-01-01 Epub Date: 2025-01-21 DOI:10.1159/000543554
Anne Kathrin Höhn, Benjamin Wolf, Mirjam Forberger, Christine E Brambs, Blake Gilks, Lien Hoang, Grit Gesine Ruth Hiller, Jessica N McAlpine, Amy Jamieson, Yvette Drew, Lars-Christian Horn
{"title":"外阴鳞状细胞癌(VSCC)分子亚型与trop2表达的关系","authors":"Anne Kathrin Höhn, Benjamin Wolf, Mirjam Forberger, Christine E Brambs, Blake Gilks, Lien Hoang, Grit Gesine Ruth Hiller, Jessica N McAlpine, Amy Jamieson, Yvette Drew, Lars-Christian Horn","doi":"10.1159/000543554","DOIUrl":null,"url":null,"abstract":"<p><strong>Introduction: </strong>Targeted therapy with antibody-drug conjugates (ADCs) has achieved promising results in the treatment of different solid tumors. Sacituzumab-Govitecan (SG), a humanized anti-Trop2 monoclonal antibody linked with the cytotoxic topoisomerase I inhibitor SN-38, has been approved for the treatment of metastatic triple-negative breast cancer. The treatment approach with SG requires the expression of Trop2 within the tumor cells. Trop2 is overexpressed in many other cancer types, suggesting a broader therapeutic application beyond breast cancer to these ADCs. We explore expression of Trop2 vulvar squamous cell carcinomas (VSCCs) and how this relates to molecular classification.</p><p><strong>Methods: </strong>Immunohistochemical Trop2 expression was evaluated on diagnostic biopsies of VSCC using an immunoreactive score. Staining results were compared to the molecular subtype of VSCC.</p><p><strong>Results: </strong>Fifty-seven cases were included in the study. 63.2% of VSCC were p16-ve/p53abn (HPV-independent (p53abn)) molecular subtype, 29.8% p16+ve/p53wt (HPV-associated) and 1.4% p16-ve/p53wt (HPV-independent (p53wt)) tumors. All diagnostic biopsies (N = 57) showed at least a weak Trop2 expression. Moderate and strong expression was seen in 15/17 (88.2%) of the p16-ve/p53abn, 32/36 (88.8%) of the p16+ve/p53wt and 3/4 (75%) of the p16-ve/p53wt molecular subtype. Expression was significantly higher, as assessed by H score, in the HPV-associated VSCC, compared to HPV-independent.</p><p><strong>Conclusion: </strong>VSCCs have high expression of Trop2 and represents a promising therapeutic target. Clinical trials exploring Trop2-directed ADCs such as SG are warranted in this rare cancer type, including in the prognostically poor HPV-independent VSCC with a TP53-mutation (p16-ve/p53abn molecular subtype). The targetable molecule, Trop2, can be easily assessed by immunohistochemistry on diagnostic biopsies from VSCC.</p>","PeriodicalId":19805,"journal":{"name":"Pathobiology","volume":" ","pages":"150-156"},"PeriodicalIF":2.0000,"publicationDate":"2025-01-01","publicationTypes":"Journal Article","fieldsOfStudy":null,"isOpenAccess":false,"openAccessPdf":"https://www.ncbi.nlm.nih.gov/pmc/articles/PMC12136508/pdf/","citationCount":"0","resultStr":"{\"title\":\"Trop2 Expression in Correlation to the Molecular Subtype in Vulvar Squamous Cell Carcinomas.\",\"authors\":\"Anne Kathrin Höhn, Benjamin Wolf, Mirjam Forberger, Christine E Brambs, Blake Gilks, Lien Hoang, Grit Gesine Ruth Hiller, Jessica N McAlpine, Amy Jamieson, Yvette Drew, Lars-Christian Horn\",\"doi\":\"10.1159/000543554\",\"DOIUrl\":null,\"url\":null,\"abstract\":\"<p><strong>Introduction: </strong>Targeted therapy with antibody-drug conjugates (ADCs) has achieved promising results in the treatment of different solid tumors. Sacituzumab-Govitecan (SG), a humanized anti-Trop2 monoclonal antibody linked with the cytotoxic topoisomerase I inhibitor SN-38, has been approved for the treatment of metastatic triple-negative breast cancer. The treatment approach with SG requires the expression of Trop2 within the tumor cells. Trop2 is overexpressed in many other cancer types, suggesting a broader therapeutic application beyond breast cancer to these ADCs. We explore expression of Trop2 vulvar squamous cell carcinomas (VSCCs) and how this relates to molecular classification.</p><p><strong>Methods: </strong>Immunohistochemical Trop2 expression was evaluated on diagnostic biopsies of VSCC using an immunoreactive score. Staining results were compared to the molecular subtype of VSCC.</p><p><strong>Results: </strong>Fifty-seven cases were included in the study. 63.2% of VSCC were p16-ve/p53abn (HPV-independent (p53abn)) molecular subtype, 29.8% p16+ve/p53wt (HPV-associated) and 1.4% p16-ve/p53wt (HPV-independent (p53wt)) tumors. All diagnostic biopsies (N = 57) showed at least a weak Trop2 expression. Moderate and strong expression was seen in 15/17 (88.2%) of the p16-ve/p53abn, 32/36 (88.8%) of the p16+ve/p53wt and 3/4 (75%) of the p16-ve/p53wt molecular subtype. Expression was significantly higher, as assessed by H score, in the HPV-associated VSCC, compared to HPV-independent.</p><p><strong>Conclusion: </strong>VSCCs have high expression of Trop2 and represents a promising therapeutic target. Clinical trials exploring Trop2-directed ADCs such as SG are warranted in this rare cancer type, including in the prognostically poor HPV-independent VSCC with a TP53-mutation (p16-ve/p53abn molecular subtype). The targetable molecule, Trop2, can be easily assessed by immunohistochemistry on diagnostic biopsies from VSCC.</p>\",\"PeriodicalId\":19805,\"journal\":{\"name\":\"Pathobiology\",\"volume\":\" \",\"pages\":\"150-156\"},\"PeriodicalIF\":2.0000,\"publicationDate\":\"2025-01-01\",\"publicationTypes\":\"Journal Article\",\"fieldsOfStudy\":null,\"isOpenAccess\":false,\"openAccessPdf\":\"https://www.ncbi.nlm.nih.gov/pmc/articles/PMC12136508/pdf/\",\"citationCount\":\"0\",\"resultStr\":null,\"platform\":\"Semanticscholar\",\"paperid\":null,\"PeriodicalName\":\"Pathobiology\",\"FirstCategoryId\":\"3\",\"ListUrlMain\":\"https://doi.org/10.1159/000543554\",\"RegionNum\":4,\"RegionCategory\":\"医学\",\"ArticlePicture\":[],\"TitleCN\":null,\"AbstractTextCN\":null,\"PMCID\":null,\"EPubDate\":\"2025/1/21 0:00:00\",\"PubModel\":\"Epub\",\"JCR\":\"Q3\",\"JCRName\":\"CELL BIOLOGY\",\"Score\":null,\"Total\":0}","platform":"Semanticscholar","paperid":null,"PeriodicalName":"Pathobiology","FirstCategoryId":"3","ListUrlMain":"https://doi.org/10.1159/000543554","RegionNum":4,"RegionCategory":"医学","ArticlePicture":[],"TitleCN":null,"AbstractTextCN":null,"PMCID":null,"EPubDate":"2025/1/21 0:00:00","PubModel":"Epub","JCR":"Q3","JCRName":"CELL BIOLOGY","Score":null,"Total":0}
引用次数: 0

摘要

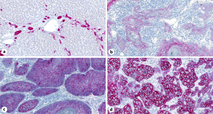
抗体-药物偶联物(adc)靶向治疗在多种实体肿瘤的治疗中显示出良好的效果。Sacituzumab-govitecan (SG)是一种人源抗trop2单克隆抗体,与细胞毒性拓扑异构酶I抑制剂SN38联合使用,已被批准用于治疗转移性三阴性乳腺癌。SG的治疗方法需要肿瘤细胞中Trop2的表达。Trop2在许多其他癌症中过表达,这表明这些adc在乳腺癌之外有更广泛的治疗应用。我们正在研究外阴鳞状细胞癌(VSCC)中Trop2的表达及其与分子分类的关系。免疫组织化学Trop2表达在VSCC诊断活检中使用免疫反应评分进行评估。将染色结果与VSCC分子亚型进行比较。57例纳入研究。63.2%的VSCC为16-ve/p53abn (hpv非依赖性(p53abn))分子亚型,29.8%的p16+ve/p53wt (hpv相关)和1.4%的p16-ve/p53wt-(hpv非依赖性(p53wt))肿瘤。所有诊断性活检(N=57)均显示至少弱的trop2表达。通过免疫反应评分评估,hpv相关VSCC的表达明显高于不依赖hpv的VSCC。VSCC高表达Trop2,是一个很有前景的治疗靶点。在这种罕见的癌症类型中,包括具有tp53突变(p16-ve/p53abn分子亚型)的预后不良的hpv非依赖性VSCC,探索Trop2导向adc(如Sacituzumab-Govitecan)的临床试验是有必要的。在VSCC的诊断活检中,免疫组织化学可以很容易地评估靶向分子Trop2。ree版本)。
本文章由计算机程序翻译,如有差异,请以英文原文为准。

Trop2 Expression in Correlation to the Molecular Subtype in Vulvar Squamous Cell Carcinomas.

Trop2 Expression in Correlation to the Molecular Subtype in Vulvar Squamous Cell Carcinomas.

Introduction: Targeted therapy with antibody-drug conjugates (ADCs) has achieved promising results in the treatment of different solid tumors. Sacituzumab-Govitecan (SG), a humanized anti-Trop2 monoclonal antibody linked with the cytotoxic topoisomerase I inhibitor SN-38, has been approved for the treatment of metastatic triple-negative breast cancer. The treatment approach with SG requires the expression of Trop2 within the tumor cells. Trop2 is overexpressed in many other cancer types, suggesting a broader therapeutic application beyond breast cancer to these ADCs. We explore expression of Trop2 vulvar squamous cell carcinomas (VSCCs) and how this relates to molecular classification.

Methods: Immunohistochemical Trop2 expression was evaluated on diagnostic biopsies of VSCC using an immunoreactive score. Staining results were compared to the molecular subtype of VSCC.

Results: Fifty-seven cases were included in the study. 63.2% of VSCC were p16-ve/p53abn (HPV-independent (p53abn)) molecular subtype, 29.8% p16+ve/p53wt (HPV-associated) and 1.4% p16-ve/p53wt (HPV-independent (p53wt)) tumors. All diagnostic biopsies (N = 57) showed at least a weak Trop2 expression. Moderate and strong expression was seen in 15/17 (88.2%) of the p16-ve/p53abn, 32/36 (88.8%) of the p16+ve/p53wt and 3/4 (75%) of the p16-ve/p53wt molecular subtype. Expression was significantly higher, as assessed by H score, in the HPV-associated VSCC, compared to HPV-independent.

Conclusion: VSCCs have high expression of Trop2 and represents a promising therapeutic target. Clinical trials exploring Trop2-directed ADCs such as SG are warranted in this rare cancer type, including in the prognostically poor HPV-independent VSCC with a TP53-mutation (p16-ve/p53abn molecular subtype). The targetable molecule, Trop2, can be easily assessed by immunohistochemistry on diagnostic biopsies from VSCC.

求助全文
通过发布文献求助,成功后即可免费获取论文全文。 去求助
来源期刊
Pathobiology
Pathobiology 医学-病理学
CiteScore
8.50
自引率
0.00%
发文量
47
审稿时长
>12 weeks
期刊介绍: ''Pathobiology'' offers a valuable platform for the publication of high-quality original research into the mechanisms underlying human disease. Aiming to serve as a bridge between basic biomedical research and clinical medicine, the journal welcomes articles from scientific areas such as pathology, oncology, anatomy, virology, internal medicine, surgery, cell and molecular biology, and immunology. Published bimonthly, ''Pathobiology'' features original research papers and reviews on translational research. The journal offers the possibility to publish proceedings of meetings dedicated to one particular topic.
×
引用
GB/T 7714-2015
复制
MLA
复制
APA
复制
导出至
BibTeX EndNote RefMan NoteFirst NoteExpress
×
提示
您的信息不完整,为了账户安全,请先补充。
现在去补充
×
提示
您因"违规操作"
具体请查看互助需知
我知道了
×
提示
确定
请完成安全验证×
copy
已复制链接
快去分享给好友吧!
我知道了
右上角分享
点击右上角分享
0
联系我们:info@booksci.cn Book学术提供免费学术资源搜索服务,方便国内外学者检索中英文文献。致力于提供最便捷和优质的服务体验。 Copyright © 2023 布克学术 All rights reserved.
京ICP备2023020795号-1
ghs 京公网安备 11010802042870号
Book学术文献互助
Book学术文献互助群
群 号:604180095
Book学术官方微信