t细胞/组织细胞丰富的大b细胞淋巴瘤所致的非外伤性脾破裂1例及大量输血方案的潜在作用。

IF 0.5 Q4 SURGERY
Case Reports in Surgery Pub Date : 2025-01-07 eCollection Date: 2025-01-01 DOI:10.1155/cris/4069182
Sara Bohjanen, John P Ratanawong, Mary Baumgartner, Bree Chandler, J Carlos Manivel, Anthony T Rezcallah
{"title":"t细胞/组织细胞丰富的大b细胞淋巴瘤所致的非外伤性脾破裂1例及大量输血方案的潜在作用。","authors":"Sara Bohjanen, John P Ratanawong, Mary Baumgartner, Bree Chandler, J Carlos Manivel, Anthony T Rezcallah","doi":"10.1155/cris/4069182","DOIUrl":null,"url":null,"abstract":"<p><p>Splenic rupture leads to massive hemorrhage and requires immediate surgical intervention. Splenic rupture results from trauma or from underlying disease processes. Lymphoma is a rare cause of atraumatic splenic rupture (ASR) with high mortality rates. We present a case of ASR due to T-cell/histiocyte-rich large B-cell lymphoma (THRLBCL) requiring splenectomy and large-volume transfusion. This case report highlights the necessity of prompt surgical intervention and massive transfusion for hemodynamically unstable ASR. This report also discusses massive transfusion protocol (MTP) and its limited use in nontraumatic surgical patients.</p>","PeriodicalId":9600,"journal":{"name":"Case Reports in Surgery","volume":"2025 ","pages":"4069182"},"PeriodicalIF":0.5000,"publicationDate":"2025-01-07","publicationTypes":"Journal Article","fieldsOfStudy":null,"isOpenAccess":false,"openAccessPdf":"https://www.ncbi.nlm.nih.gov/pmc/articles/PMC11732285/pdf/","citationCount":"0","resultStr":"{\"title\":\"A Case of Atraumatic Splenic Rupture Due to T-Cell/Histiocyte-Rich Large B-Cell Lymphoma and a Potential Role for Massive Transfusion Protocol.\",\"authors\":\"Sara Bohjanen, John P Ratanawong, Mary Baumgartner, Bree Chandler, J Carlos Manivel, Anthony T Rezcallah\",\"doi\":\"10.1155/cris/4069182\",\"DOIUrl\":null,\"url\":null,\"abstract\":\"<p><p>Splenic rupture leads to massive hemorrhage and requires immediate surgical intervention. Splenic rupture results from trauma or from underlying disease processes. Lymphoma is a rare cause of atraumatic splenic rupture (ASR) with high mortality rates. We present a case of ASR due to T-cell/histiocyte-rich large B-cell lymphoma (THRLBCL) requiring splenectomy and large-volume transfusion. This case report highlights the necessity of prompt surgical intervention and massive transfusion for hemodynamically unstable ASR. This report also discusses massive transfusion protocol (MTP) and its limited use in nontraumatic surgical patients.</p>\",\"PeriodicalId\":9600,\"journal\":{\"name\":\"Case Reports in Surgery\",\"volume\":\"2025 \",\"pages\":\"4069182\"},\"PeriodicalIF\":0.5000,\"publicationDate\":\"2025-01-07\",\"publicationTypes\":\"Journal Article\",\"fieldsOfStudy\":null,\"isOpenAccess\":false,\"openAccessPdf\":\"https://www.ncbi.nlm.nih.gov/pmc/articles/PMC11732285/pdf/\",\"citationCount\":\"0\",\"resultStr\":null,\"platform\":\"Semanticscholar\",\"paperid\":null,\"PeriodicalName\":\"Case Reports in Surgery\",\"FirstCategoryId\":\"1085\",\"ListUrlMain\":\"https://doi.org/10.1155/cris/4069182\",\"RegionNum\":0,\"RegionCategory\":null,\"ArticlePicture\":[],\"TitleCN\":null,\"AbstractTextCN\":null,\"PMCID\":null,\"EPubDate\":\"2025/1/1 0:00:00\",\"PubModel\":\"eCollection\",\"JCR\":\"Q4\",\"JCRName\":\"SURGERY\",\"Score\":null,\"Total\":0}","platform":"Semanticscholar","paperid":null,"PeriodicalName":"Case Reports in Surgery","FirstCategoryId":"1085","ListUrlMain":"https://doi.org/10.1155/cris/4069182","RegionNum":0,"RegionCategory":null,"ArticlePicture":[],"TitleCN":null,"AbstractTextCN":null,"PMCID":null,"EPubDate":"2025/1/1 0:00:00","PubModel":"eCollection","JCR":"Q4","JCRName":"SURGERY","Score":null,"Total":0}
引用次数: 0

摘要

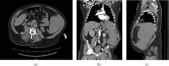
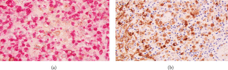
脾破裂导致大出血,需要立即手术治疗。脾破裂是由外伤或潜在疾病引起的。淋巴瘤是一种罕见的非外伤性脾破裂(ASR)的原因,死亡率高。我们报告一例由富含t细胞/组织细胞的大b细胞淋巴瘤(THRLBCL)引起的ASR,需要脾切除术和大容量输血。本病例报告强调了对血液动力学不稳定的ASR及时手术干预和大量输血的必要性。本报告还讨论了大量输血方案(MTP)及其在非创伤性手术患者中的有限应用。
本文章由计算机程序翻译,如有差异,请以英文原文为准。

A Case of Atraumatic Splenic Rupture Due to T-Cell/Histiocyte-Rich Large B-Cell Lymphoma and a Potential Role for Massive Transfusion Protocol.

A Case of Atraumatic Splenic Rupture Due to T-Cell/Histiocyte-Rich Large B-Cell Lymphoma and a Potential Role for Massive Transfusion Protocol.

A Case of Atraumatic Splenic Rupture Due to T-Cell/Histiocyte-Rich Large B-Cell Lymphoma and a Potential Role for Massive Transfusion Protocol.

A Case of Atraumatic Splenic Rupture Due to T-Cell/Histiocyte-Rich Large B-Cell Lymphoma and a Potential Role for Massive Transfusion Protocol.

Splenic rupture leads to massive hemorrhage and requires immediate surgical intervention. Splenic rupture results from trauma or from underlying disease processes. Lymphoma is a rare cause of atraumatic splenic rupture (ASR) with high mortality rates. We present a case of ASR due to T-cell/histiocyte-rich large B-cell lymphoma (THRLBCL) requiring splenectomy and large-volume transfusion. This case report highlights the necessity of prompt surgical intervention and massive transfusion for hemodynamically unstable ASR. This report also discusses massive transfusion protocol (MTP) and its limited use in nontraumatic surgical patients.

求助全文
通过发布文献求助,成功后即可免费获取论文全文。 去求助
来源期刊
自引率
0.00%
发文量
60
审稿时长
13 weeks
×
引用
GB/T 7714-2015
复制
MLA
复制
APA
复制
导出至
BibTeX EndNote RefMan NoteFirst NoteExpress
×
提示
您的信息不完整,为了账户安全,请先补充。
现在去补充
×
提示
您因"违规操作"
具体请查看互助需知
我知道了
×
提示
确定
请完成安全验证×
copy
已复制链接
快去分享给好友吧!
我知道了
右上角分享
点击右上角分享
0
联系我们:info@booksci.cn Book学术提供免费学术资源搜索服务,方便国内外学者检索中英文文献。致力于提供最便捷和优质的服务体验。 Copyright © 2023 布克学术 All rights reserved.
京ICP备2023020795号-1
ghs 京公网安备 11010802042870号
Book学术文献互助
Book学术文献互助群
群 号:604180095
Book学术官方微信