鹦鹉热衣原体感染性心内膜炎并发肺炎1例。

IF 0.8 Q4 INFECTIOUS DISEASES
Case Reports in Infectious Diseases Pub Date : 2025-01-11 eCollection Date: 2025-01-01 DOI:10.1155/crdi/7536462
Dongmei Zhao, Li Zhang, Qiulin Sun, Jun Cheng
{"title":"鹦鹉热衣原体感染性心内膜炎并发肺炎1例。","authors":"Dongmei Zhao, Li Zhang, Qiulin Sun, Jun Cheng","doi":"10.1155/crdi/7536462","DOIUrl":null,"url":null,"abstract":"<p><p>Psittacosis is a zoonotic disease caused by <i>Chlamydia psittaci</i> and is commonly found in birds and poultry. Human infection is uncommon, and most cases are sporadic. Infection of extrapulmonary organs by <i>Chlamydia psittaci</i> is extremely rare. A rare case of infective endocarditis complicated by pneumonia caused by <i>Chlamydia psittaci</i> was reported, which was diagnosed using metagenomic next-generation sequencing (mNGS). The patient recovered after receiving appropriate anti-infective treatment. Discussion on the pathogenesis, diagnosis, and treatment of this disease based on recent literature reports aimed to improve the prognosis of similar patients and enhance the understanding of clinicians.</p>","PeriodicalId":9608,"journal":{"name":"Case Reports in Infectious Diseases","volume":"2025 ","pages":"7536462"},"PeriodicalIF":0.8000,"publicationDate":"2025-01-11","publicationTypes":"Journal Article","fieldsOfStudy":null,"isOpenAccess":false,"openAccessPdf":"https://www.ncbi.nlm.nih.gov/pmc/articles/PMC11742074/pdf/","citationCount":"0","resultStr":"{\"title\":\"A Case Report of <i>Chlamydia psittaci</i> Infective Endocarditis Complicated With Pneumonia.\",\"authors\":\"Dongmei Zhao, Li Zhang, Qiulin Sun, Jun Cheng\",\"doi\":\"10.1155/crdi/7536462\",\"DOIUrl\":null,\"url\":null,\"abstract\":\"<p><p>Psittacosis is a zoonotic disease caused by <i>Chlamydia psittaci</i> and is commonly found in birds and poultry. Human infection is uncommon, and most cases are sporadic. Infection of extrapulmonary organs by <i>Chlamydia psittaci</i> is extremely rare. A rare case of infective endocarditis complicated by pneumonia caused by <i>Chlamydia psittaci</i> was reported, which was diagnosed using metagenomic next-generation sequencing (mNGS). The patient recovered after receiving appropriate anti-infective treatment. Discussion on the pathogenesis, diagnosis, and treatment of this disease based on recent literature reports aimed to improve the prognosis of similar patients and enhance the understanding of clinicians.</p>\",\"PeriodicalId\":9608,\"journal\":{\"name\":\"Case Reports in Infectious Diseases\",\"volume\":\"2025 \",\"pages\":\"7536462\"},\"PeriodicalIF\":0.8000,\"publicationDate\":\"2025-01-11\",\"publicationTypes\":\"Journal Article\",\"fieldsOfStudy\":null,\"isOpenAccess\":false,\"openAccessPdf\":\"https://www.ncbi.nlm.nih.gov/pmc/articles/PMC11742074/pdf/\",\"citationCount\":\"0\",\"resultStr\":null,\"platform\":\"Semanticscholar\",\"paperid\":null,\"PeriodicalName\":\"Case Reports in Infectious Diseases\",\"FirstCategoryId\":\"1085\",\"ListUrlMain\":\"https://doi.org/10.1155/crdi/7536462\",\"RegionNum\":0,\"RegionCategory\":null,\"ArticlePicture\":[],\"TitleCN\":null,\"AbstractTextCN\":null,\"PMCID\":null,\"EPubDate\":\"2025/1/1 0:00:00\",\"PubModel\":\"eCollection\",\"JCR\":\"Q4\",\"JCRName\":\"INFECTIOUS DISEASES\",\"Score\":null,\"Total\":0}","platform":"Semanticscholar","paperid":null,"PeriodicalName":"Case Reports in Infectious Diseases","FirstCategoryId":"1085","ListUrlMain":"https://doi.org/10.1155/crdi/7536462","RegionNum":0,"RegionCategory":null,"ArticlePicture":[],"TitleCN":null,"AbstractTextCN":null,"PMCID":null,"EPubDate":"2025/1/1 0:00:00","PubModel":"eCollection","JCR":"Q4","JCRName":"INFECTIOUS DISEASES","Score":null,"Total":0}
引用次数: 0

摘要

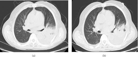
鹦鹉热是由鹦鹉热衣原体引起的一种人畜共患疾病,常见于鸟类和家禽。人类感染并不常见,大多数病例是散发的。肺外器官感染由鹦鹉热衣原体是极为罕见的。本文报道1例罕见的由鹦鹉热衣原体引起的感染性心内膜炎合并肺炎,并采用新一代宏基因组测序(mNGS)对其进行诊断。患者接受适当的抗感染治疗后痊愈。结合近期文献报道,对本病的发病机制、诊断及治疗进行探讨,旨在改善同类患者的预后,提高临床医生对本病的认识。
本文章由计算机程序翻译,如有差异,请以英文原文为准。

A Case Report of <i>Chlamydia psittaci</i> Infective Endocarditis Complicated With Pneumonia.

A Case Report of <i>Chlamydia psittaci</i> Infective Endocarditis Complicated With Pneumonia.

A Case Report of Chlamydia psittaci Infective Endocarditis Complicated With Pneumonia.

Psittacosis is a zoonotic disease caused by Chlamydia psittaci and is commonly found in birds and poultry. Human infection is uncommon, and most cases are sporadic. Infection of extrapulmonary organs by Chlamydia psittaci is extremely rare. A rare case of infective endocarditis complicated by pneumonia caused by Chlamydia psittaci was reported, which was diagnosed using metagenomic next-generation sequencing (mNGS). The patient recovered after receiving appropriate anti-infective treatment. Discussion on the pathogenesis, diagnosis, and treatment of this disease based on recent literature reports aimed to improve the prognosis of similar patients and enhance the understanding of clinicians.

求助全文
通过发布文献求助,成功后即可免费获取论文全文。 去求助
来源期刊
自引率
0.00%
发文量
64
审稿时长
13 weeks
×
引用
GB/T 7714-2015
复制
MLA
复制
APA
复制
导出至
BibTeX EndNote RefMan NoteFirst NoteExpress
×
提示
您的信息不完整,为了账户安全,请先补充。
现在去补充
×
提示
您因"违规操作"
具体请查看互助需知
我知道了
×
提示
确定
请完成安全验证×
copy
已复制链接
快去分享给好友吧!
我知道了
右上角分享
点击右上角分享
0
联系我们:info@booksci.cn Book学术提供免费学术资源搜索服务,方便国内外学者检索中英文文献。致力于提供最便捷和优质的服务体验。 Copyright © 2023 布克学术 All rights reserved.
京ICP备2023020795号-1
ghs 京公网安备 11010802042870号
Book学术文献互助
Book学术文献互助群
群 号:604180095
Book学术官方微信