BRAF调节circPSD3/miR-526b/RAP2A轴阻碍甲状腺乳头状癌进展。

IF 2.7 3区 生物学 Q4 CELL BIOLOGY
Chuang Li, Xiaojuan Zhao, Jingge Zhao, Jing Zhao, Lemei An, Gang Wu
{"title":"BRAF调节circPSD3/miR-526b/RAP2A轴阻碍甲状腺乳头状癌进展。","authors":"Chuang Li, Xiaojuan Zhao, Jingge Zhao, Jing Zhao, Lemei An, Gang Wu","doi":"10.1186/s12860-024-00528-2","DOIUrl":null,"url":null,"abstract":"<p><strong>Background: </strong>Papillary thyroid carcinoma (PTC) is a common malignant tumor. BRAF<sup>V600E</sup> mutation has become a common molecular event in PTC pathogenesis. Circular RNA PSD3 (circPSD3) is known to be highly expressed in PTC. However, the bio-functional role of circPSD3 and its possible relationship with the BRAF in PTC is not clear. This study aims to probe the biofunction and molecular mechanism of circPSD3 in PTC pathogenesis.</p><p><strong>Methods: </strong>RT-qPCR was utilized to measure the expression of circPSD3 and BRAF in PTC tissues and cells. The CCK-8 and EdU assays were employed to assess cell viability and proliferation. Cell apoptosis was quantified using flow cytometry. The migratory and invasive capabilities of the cells were evaluated via wound healing and transwell assays. The interaction between RNAs was investigated using luciferase reporter assay. Additionally, xenograft tumor experiments were conducted to validate our findings in vivo.</p><p><strong>Results: </strong>Data showed that circPSD3 was highly expressed in PTC patients and cell lines. CircPSD3 was found to promote cell growth and migration and inhibit apoptosis in PTC cells. Results also revealed that circPSD3 upregulated RAP2A expression by specifically sponging miR-526b. Interestingly, inhibiting miR-526b reversed the tumorigenic properties of circPSD3 in PTC. Additionally, BRAF expression was low in PTC patients, and overexpression of BRAF hampered PTC development by downregulating circPSD3 and RAP2A while upregulating miR-526b expressions.</p><p><strong>Conclusions: </strong>Our study reveals that circPSD3 is a key regulator promoting PTC progression via the circPSD3/miR-526b/RAP2A pathway. Furthermore, we found that overexpressing BRAF, which inhibits circPSD3, significantly hampers the progression of PTC.</p>","PeriodicalId":9099,"journal":{"name":"BMC Molecular and Cell Biology","volume":"26 1","pages":"6"},"PeriodicalIF":2.7000,"publicationDate":"2025-01-21","publicationTypes":"Journal Article","fieldsOfStudy":null,"isOpenAccess":false,"openAccessPdf":"https://www.ncbi.nlm.nih.gov/pmc/articles/PMC11753155/pdf/","citationCount":"0","resultStr":"{\"title\":\"BRAF regulates circPSD3/miR-526b/RAP2A axis to hinder papillary thyroid carcinoma progression.\",\"authors\":\"Chuang Li, Xiaojuan Zhao, Jingge Zhao, Jing Zhao, Lemei An, Gang Wu\",\"doi\":\"10.1186/s12860-024-00528-2\",\"DOIUrl\":null,\"url\":null,\"abstract\":\"<p><strong>Background: </strong>Papillary thyroid carcinoma (PTC) is a common malignant tumor. BRAF<sup>V600E</sup> mutation has become a common molecular event in PTC pathogenesis. Circular RNA PSD3 (circPSD3) is known to be highly expressed in PTC. However, the bio-functional role of circPSD3 and its possible relationship with the BRAF in PTC is not clear. This study aims to probe the biofunction and molecular mechanism of circPSD3 in PTC pathogenesis.</p><p><strong>Methods: </strong>RT-qPCR was utilized to measure the expression of circPSD3 and BRAF in PTC tissues and cells. The CCK-8 and EdU assays were employed to assess cell viability and proliferation. Cell apoptosis was quantified using flow cytometry. The migratory and invasive capabilities of the cells were evaluated via wound healing and transwell assays. The interaction between RNAs was investigated using luciferase reporter assay. Additionally, xenograft tumor experiments were conducted to validate our findings in vivo.</p><p><strong>Results: </strong>Data showed that circPSD3 was highly expressed in PTC patients and cell lines. CircPSD3 was found to promote cell growth and migration and inhibit apoptosis in PTC cells. Results also revealed that circPSD3 upregulated RAP2A expression by specifically sponging miR-526b. Interestingly, inhibiting miR-526b reversed the tumorigenic properties of circPSD3 in PTC. Additionally, BRAF expression was low in PTC patients, and overexpression of BRAF hampered PTC development by downregulating circPSD3 and RAP2A while upregulating miR-526b expressions.</p><p><strong>Conclusions: </strong>Our study reveals that circPSD3 is a key regulator promoting PTC progression via the circPSD3/miR-526b/RAP2A pathway. Furthermore, we found that overexpressing BRAF, which inhibits circPSD3, significantly hampers the progression of PTC.</p>\",\"PeriodicalId\":9099,\"journal\":{\"name\":\"BMC Molecular and Cell Biology\",\"volume\":\"26 1\",\"pages\":\"6\"},\"PeriodicalIF\":2.7000,\"publicationDate\":\"2025-01-21\",\"publicationTypes\":\"Journal Article\",\"fieldsOfStudy\":null,\"isOpenAccess\":false,\"openAccessPdf\":\"https://www.ncbi.nlm.nih.gov/pmc/articles/PMC11753155/pdf/\",\"citationCount\":\"0\",\"resultStr\":null,\"platform\":\"Semanticscholar\",\"paperid\":null,\"PeriodicalName\":\"BMC Molecular and Cell Biology\",\"FirstCategoryId\":\"3\",\"ListUrlMain\":\"https://doi.org/10.1186/s12860-024-00528-2\",\"RegionNum\":3,\"RegionCategory\":\"生物学\",\"ArticlePicture\":[],\"TitleCN\":null,\"AbstractTextCN\":null,\"PMCID\":null,\"EPubDate\":\"\",\"PubModel\":\"\",\"JCR\":\"Q4\",\"JCRName\":\"CELL BIOLOGY\",\"Score\":null,\"Total\":0}","platform":"Semanticscholar","paperid":null,"PeriodicalName":"BMC Molecular and Cell Biology","FirstCategoryId":"3","ListUrlMain":"https://doi.org/10.1186/s12860-024-00528-2","RegionNum":3,"RegionCategory":"生物学","ArticlePicture":[],"TitleCN":null,"AbstractTextCN":null,"PMCID":null,"EPubDate":"","PubModel":"","JCR":"Q4","JCRName":"CELL BIOLOGY","Score":null,"Total":0}
引用次数: 0

摘要

背景:甲状腺乳头状癌是一种常见的恶性肿瘤。BRAFV600E突变已成为PTC发病中常见的分子事件。环状RNA PSD3 (circPSD3)已知在PTC中高表达。然而,circPSD3在PTC中的生物功能作用及其与BRAF的可能关系尚不清楚。本研究旨在探讨circPSD3在PTC发病中的生物功能和分子机制。方法:采用RT-qPCR检测circPSD3和BRAF在PTC组织和细胞中的表达。CCK-8和EdU检测细胞活力和增殖。流式细胞术定量检测细胞凋亡。通过伤口愈合和transwell试验评估细胞的迁移和侵袭能力。采用荧光素酶报告基因法研究rna之间的相互作用。此外,异种移植肿瘤实验在体内验证了我们的发现。结果:数据显示circPSD3在PTC患者和细胞系中高表达。CircPSD3可促进PTC细胞的生长和迁移,抑制PTC细胞的凋亡。结果还显示circPSD3通过特异性海绵化miR-526b上调RAP2A的表达。有趣的是,抑制miR-526b逆转了PTC中circPSD3的致瘤特性。此外,BRAF在PTC患者中的表达较低,BRAF的过表达通过下调circPSD3和RAP2A而上调miR-526b表达来阻碍PTC的发展。结论:我们的研究表明,circPSD3是通过circPSD3/miR-526b/RAP2A途径促进PTC进展的关键调节因子。此外,我们发现过表达抑制circPSD3的BRAF显著阻碍了PTC的进展。
本文章由计算机程序翻译,如有差异,请以英文原文为准。

BRAF regulates circPSD3/miR-526b/RAP2A axis to hinder papillary thyroid carcinoma progression.

BRAF regulates circPSD3/miR-526b/RAP2A axis to hinder papillary thyroid carcinoma progression.

BRAF regulates circPSD3/miR-526b/RAP2A axis to hinder papillary thyroid carcinoma progression.

BRAF regulates circPSD3/miR-526b/RAP2A axis to hinder papillary thyroid carcinoma progression.

Background: Papillary thyroid carcinoma (PTC) is a common malignant tumor. BRAFV600E mutation has become a common molecular event in PTC pathogenesis. Circular RNA PSD3 (circPSD3) is known to be highly expressed in PTC. However, the bio-functional role of circPSD3 and its possible relationship with the BRAF in PTC is not clear. This study aims to probe the biofunction and molecular mechanism of circPSD3 in PTC pathogenesis.

Methods: RT-qPCR was utilized to measure the expression of circPSD3 and BRAF in PTC tissues and cells. The CCK-8 and EdU assays were employed to assess cell viability and proliferation. Cell apoptosis was quantified using flow cytometry. The migratory and invasive capabilities of the cells were evaluated via wound healing and transwell assays. The interaction between RNAs was investigated using luciferase reporter assay. Additionally, xenograft tumor experiments were conducted to validate our findings in vivo.

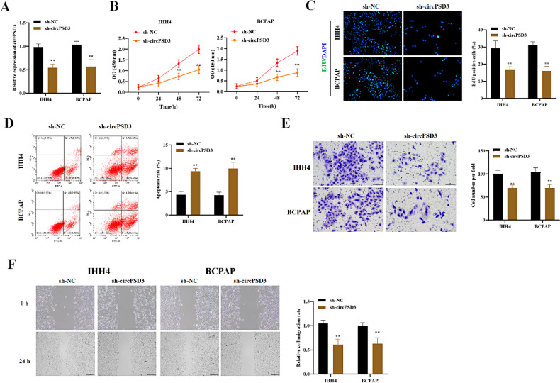
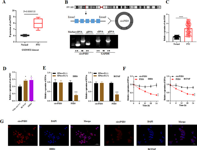
Results: Data showed that circPSD3 was highly expressed in PTC patients and cell lines. CircPSD3 was found to promote cell growth and migration and inhibit apoptosis in PTC cells. Results also revealed that circPSD3 upregulated RAP2A expression by specifically sponging miR-526b. Interestingly, inhibiting miR-526b reversed the tumorigenic properties of circPSD3 in PTC. Additionally, BRAF expression was low in PTC patients, and overexpression of BRAF hampered PTC development by downregulating circPSD3 and RAP2A while upregulating miR-526b expressions.

Conclusions: Our study reveals that circPSD3 is a key regulator promoting PTC progression via the circPSD3/miR-526b/RAP2A pathway. Furthermore, we found that overexpressing BRAF, which inhibits circPSD3, significantly hampers the progression of PTC.

求助全文
通过发布文献求助,成功后即可免费获取论文全文。 去求助
来源期刊
BMC Molecular and Cell Biology
BMC Molecular and Cell Biology Biochemistry, Genetics and Molecular Biology-Cell Biology
CiteScore
5.50
自引率
0.00%
发文量
46
审稿时长
27 weeks
×
引用
GB/T 7714-2015
复制
MLA
复制
APA
复制
导出至
BibTeX EndNote RefMan NoteFirst NoteExpress
×
提示
您的信息不完整,为了账户安全,请先补充。
现在去补充
×
提示
您因"违规操作"
具体请查看互助需知
我知道了
×
提示
确定
请完成安全验证×
copy
已复制链接
快去分享给好友吧!
我知道了
右上角分享
点击右上角分享
0
联系我们:info@booksci.cn Book学术提供免费学术资源搜索服务,方便国内外学者检索中英文文献。致力于提供最便捷和优质的服务体验。 Copyright © 2023 布克学术 All rights reserved.
京ICP备2023020795号-1
ghs 京公网安备 11010802042870号
Book学术文献互助
Book学术文献互助群
群 号:604180095
Book学术官方微信