姜黄素负载聚己内酯支架对大鼠跟腱修复的影响。

IF 1.1 4区 农林科学 Q3 ZOOLOGY
Veterinary Research Forum Pub Date : 2024-01-01 Epub Date: 2024-11-15 DOI:10.30466/vrf.2024.2029563.4286
Narges Sufian, Mehdi Behfar, Rahim Hobbenaghi, Siamak Asri-Rezaei
{"title":"姜黄素负载聚己内酯支架对大鼠跟腱修复的影响。","authors":"Narges Sufian, Mehdi Behfar, Rahim Hobbenaghi, Siamak Asri-Rezaei","doi":"10.30466/vrf.2024.2029563.4286","DOIUrl":null,"url":null,"abstract":"<p><p>Scaffolds play a crucial role in tendon healing by providing structural support, promoting cell infiltration, and guiding tissue regeneration. Polycaprolactone (PCL) has been used as a polymer in biological scaffolds for several tissue engineering studies. This study aimed to investigate the effects of curcumin-loaded PCL scaffold on Achilles tendon using a tenotomy model in rats. Twenty adult male Wistar rats were randomized into two groups. In control group, tenotomy and suture placement were performed. The identical intervention followed by the implantation of curcumin-loaded PCL scaffold around the tendon stumps was performed in the treatment group. The nanofibrous PCL scaffold containing 5.00% curcumin was fabricated by electrospinning. Walking track analysis was performed weekly. Then, after 6 weeks, histopathological examination and tendon mechanical tests were performed. The weekly walking track analysis revealed a significant improvement in Achilles functional index in scaffold-treated rats from week three to six. The rate of functional improvement was remarkably slower in the control group. Histopathological examination revealed aseptic inflammation and enhanced neovascularization in the treatment group. Also, collagen arrangement and density were significantly improved in this group compared to the control samples including less regular orientation and loose organization of collagen fibers. Significant increase in mechanical properties, except for strain, was observed in the treatment group. The present study demonstrated that implantation of curcumin-loaded PCL scaffold resulted in increased fibrillar architecture, as well as improved mechanical properties and Achilles functional index in rats. To reduce the biodegradation-induced inflammation, an anti-inflammatory treatment is recommended.</p>","PeriodicalId":23989,"journal":{"name":"Veterinary Research Forum","volume":"15 11","pages":"621-627"},"PeriodicalIF":1.1000,"publicationDate":"2024-01-01","publicationTypes":"Journal Article","fieldsOfStudy":null,"isOpenAccess":false,"openAccessPdf":"https://www.ncbi.nlm.nih.gov/pmc/articles/PMC11725294/pdf/","citationCount":"0","resultStr":"{\"title\":\"Effect of curcumin-loaded polycaprolactone scaffold on Achilles tendon repair in rats.\",\"authors\":\"Narges Sufian, Mehdi Behfar, Rahim Hobbenaghi, Siamak Asri-Rezaei\",\"doi\":\"10.30466/vrf.2024.2029563.4286\",\"DOIUrl\":null,\"url\":null,\"abstract\":\"<p><p>Scaffolds play a crucial role in tendon healing by providing structural support, promoting cell infiltration, and guiding tissue regeneration. Polycaprolactone (PCL) has been used as a polymer in biological scaffolds for several tissue engineering studies. This study aimed to investigate the effects of curcumin-loaded PCL scaffold on Achilles tendon using a tenotomy model in rats. Twenty adult male Wistar rats were randomized into two groups. In control group, tenotomy and suture placement were performed. The identical intervention followed by the implantation of curcumin-loaded PCL scaffold around the tendon stumps was performed in the treatment group. The nanofibrous PCL scaffold containing 5.00% curcumin was fabricated by electrospinning. Walking track analysis was performed weekly. Then, after 6 weeks, histopathological examination and tendon mechanical tests were performed. The weekly walking track analysis revealed a significant improvement in Achilles functional index in scaffold-treated rats from week three to six. The rate of functional improvement was remarkably slower in the control group. Histopathological examination revealed aseptic inflammation and enhanced neovascularization in the treatment group. Also, collagen arrangement and density were significantly improved in this group compared to the control samples including less regular orientation and loose organization of collagen fibers. Significant increase in mechanical properties, except for strain, was observed in the treatment group. The present study demonstrated that implantation of curcumin-loaded PCL scaffold resulted in increased fibrillar architecture, as well as improved mechanical properties and Achilles functional index in rats. To reduce the biodegradation-induced inflammation, an anti-inflammatory treatment is recommended.</p>\",\"PeriodicalId\":23989,\"journal\":{\"name\":\"Veterinary Research Forum\",\"volume\":\"15 11\",\"pages\":\"621-627\"},\"PeriodicalIF\":1.1000,\"publicationDate\":\"2024-01-01\",\"publicationTypes\":\"Journal Article\",\"fieldsOfStudy\":null,\"isOpenAccess\":false,\"openAccessPdf\":\"https://www.ncbi.nlm.nih.gov/pmc/articles/PMC11725294/pdf/\",\"citationCount\":\"0\",\"resultStr\":null,\"platform\":\"Semanticscholar\",\"paperid\":null,\"PeriodicalName\":\"Veterinary Research Forum\",\"FirstCategoryId\":\"97\",\"ListUrlMain\":\"https://doi.org/10.30466/vrf.2024.2029563.4286\",\"RegionNum\":4,\"RegionCategory\":\"农林科学\",\"ArticlePicture\":[],\"TitleCN\":null,\"AbstractTextCN\":null,\"PMCID\":null,\"EPubDate\":\"2024/11/15 0:00:00\",\"PubModel\":\"Epub\",\"JCR\":\"Q3\",\"JCRName\":\"ZOOLOGY\",\"Score\":null,\"Total\":0}","platform":"Semanticscholar","paperid":null,"PeriodicalName":"Veterinary Research Forum","FirstCategoryId":"97","ListUrlMain":"https://doi.org/10.30466/vrf.2024.2029563.4286","RegionNum":4,"RegionCategory":"农林科学","ArticlePicture":[],"TitleCN":null,"AbstractTextCN":null,"PMCID":null,"EPubDate":"2024/11/15 0:00:00","PubModel":"Epub","JCR":"Q3","JCRName":"ZOOLOGY","Score":null,"Total":0}
引用次数: 0

摘要

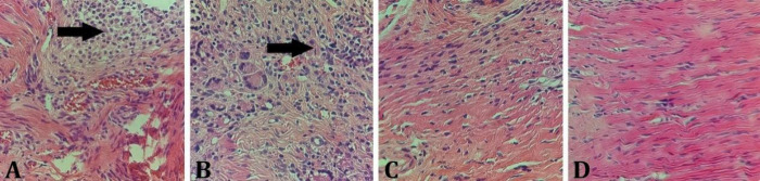
支架通过提供结构支持、促进细胞浸润和引导组织再生,在肌腱愈合中起着至关重要的作用。聚己内酯(PCL)已作为一种高分子材料用于生物支架的组织工程研究。本研究旨在探讨姜黄素负载PCL支架对大鼠跟腱断裂模型的影响。20只成年雄性Wistar大鼠随机分为两组。对照组行肌腱切开术和缝合术。治疗组进行相同的干预,随后在肌腱残端周围植入姜黄素负载的PCL支架。采用静电纺丝法制备了含5.00%姜黄素的PCL纳米纤维支架。每周进行步行轨迹分析。6周后进行组织病理学检查和肌腱力学试验。每周步行轨迹分析显示,支架治疗大鼠的跟腱功能指数从第3周到第6周有显著改善。对照组的功能改善速度明显较慢。组织病理学检查显示治疗组无菌性炎症和新生血管增强。此外,与对照样品相比,胶原蛋白的排列和密度显著改善,胶原纤维的取向不那么规则,组织松散。除应变外,治疗组的力学性能均有显著提高。本研究表明,植入加载姜黄素的PCL支架可增加大鼠的纤维结构,改善其力学性能和跟腱功能指数。为了减少生物降解引起的炎症,建议进行抗炎治疗。
本文章由计算机程序翻译,如有差异,请以英文原文为准。

Effect of curcumin-loaded polycaprolactone scaffold on Achilles tendon repair in rats.

Effect of curcumin-loaded polycaprolactone scaffold on Achilles tendon repair in rats.

Effect of curcumin-loaded polycaprolactone scaffold on Achilles tendon repair in rats.

Effect of curcumin-loaded polycaprolactone scaffold on Achilles tendon repair in rats.

Scaffolds play a crucial role in tendon healing by providing structural support, promoting cell infiltration, and guiding tissue regeneration. Polycaprolactone (PCL) has been used as a polymer in biological scaffolds for several tissue engineering studies. This study aimed to investigate the effects of curcumin-loaded PCL scaffold on Achilles tendon using a tenotomy model in rats. Twenty adult male Wistar rats were randomized into two groups. In control group, tenotomy and suture placement were performed. The identical intervention followed by the implantation of curcumin-loaded PCL scaffold around the tendon stumps was performed in the treatment group. The nanofibrous PCL scaffold containing 5.00% curcumin was fabricated by electrospinning. Walking track analysis was performed weekly. Then, after 6 weeks, histopathological examination and tendon mechanical tests were performed. The weekly walking track analysis revealed a significant improvement in Achilles functional index in scaffold-treated rats from week three to six. The rate of functional improvement was remarkably slower in the control group. Histopathological examination revealed aseptic inflammation and enhanced neovascularization in the treatment group. Also, collagen arrangement and density were significantly improved in this group compared to the control samples including less regular orientation and loose organization of collagen fibers. Significant increase in mechanical properties, except for strain, was observed in the treatment group. The present study demonstrated that implantation of curcumin-loaded PCL scaffold resulted in increased fibrillar architecture, as well as improved mechanical properties and Achilles functional index in rats. To reduce the biodegradation-induced inflammation, an anti-inflammatory treatment is recommended.

求助全文
通过发布文献求助,成功后即可免费获取论文全文。 去求助
来源期刊
Veterinary Research Forum
Veterinary Research Forum Veterinary-General Veterinary
CiteScore
1.50
自引率
0.00%
发文量
0
审稿时长
8 weeks
期刊介绍: Veterinary Research Forum (VRF) is a quarterly international journal committed to publish worldwide contributions on all aspects of veterinary science and medicine, including anatomy and histology, physiology and pharmacology, anatomic and clinical pathology, parasitology, microbiology, immunology and epidemiology, food hygiene, poultry science, fish and aquaculture, anesthesia and surgery, large and small animal internal medicine, large and small animal reproduction, biotechnology and diagnostic imaging of domestic, companion and farm animals.
×
引用
GB/T 7714-2015
复制
MLA
复制
APA
复制
导出至
BibTeX EndNote RefMan NoteFirst NoteExpress
×
提示
您的信息不完整,为了账户安全,请先补充。
现在去补充
×
提示
您因"违规操作"
具体请查看互助需知
我知道了
×
提示
确定
请完成安全验证×
copy
已复制链接
快去分享给好友吧!
我知道了
右上角分享
点击右上角分享
0
联系我们:info@booksci.cn Book学术提供免费学术资源搜索服务,方便国内外学者检索中英文文献。致力于提供最便捷和优质的服务体验。 Copyright © 2023 布克学术 All rights reserved.
京ICP备2023020795号-1
ghs 京公网安备 11010802042870号
Book学术文献互助
Book学术文献互助群
群 号:604180095
Book学术官方微信