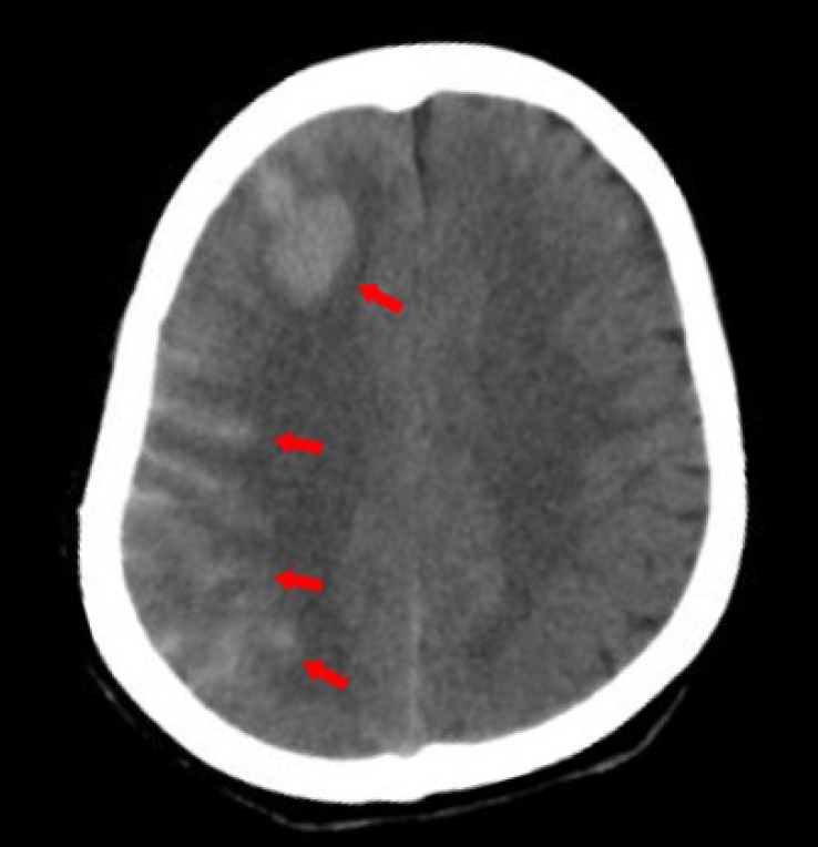
麦卡德尔病表现为多发性大血管病变。

IF 2.5
Rheumatology and immunology research Pub Date : 2025-01-09 eCollection Date: 2024-12-01 DOI:10.1515/rir-2024-0032
Shuning Guo, Yanping Wei, Wu Di, Jing Li
{"title":"麦卡德尔病表现为多发性大血管病变。","authors":"Shuning Guo, Yanping Wei, Wu Di, Jing Li","doi":"10.1515/rir-2024-0032","DOIUrl":null,"url":null,"abstract":"","PeriodicalId":74736,"journal":{"name":"Rheumatology and immunology research","volume":"5 4","pages":"235-237"},"PeriodicalIF":2.5000,"publicationDate":"2025-01-09","publicationTypes":"Journal Article","fieldsOfStudy":null,"isOpenAccess":false,"openAccessPdf":"https://www.ncbi.nlm.nih.gov/pmc/articles/PMC11720467/pdf/","citationCount":"0","resultStr":"{\"title\":\"McArdle's disease presents with multiple large vessel lesions.\",\"authors\":\"Shuning Guo, Yanping Wei, Wu Di, Jing Li\",\"doi\":\"10.1515/rir-2024-0032\",\"DOIUrl\":null,\"url\":null,\"abstract\":\"\",\"PeriodicalId\":74736,\"journal\":{\"name\":\"Rheumatology and immunology research\",\"volume\":\"5 4\",\"pages\":\"235-237\"},\"PeriodicalIF\":2.5000,\"publicationDate\":\"2025-01-09\",\"publicationTypes\":\"Journal Article\",\"fieldsOfStudy\":null,\"isOpenAccess\":false,\"openAccessPdf\":\"https://www.ncbi.nlm.nih.gov/pmc/articles/PMC11720467/pdf/\",\"citationCount\":\"0\",\"resultStr\":null,\"platform\":\"Semanticscholar\",\"paperid\":null,\"PeriodicalName\":\"Rheumatology and immunology research\",\"FirstCategoryId\":\"1085\",\"ListUrlMain\":\"https://doi.org/10.1515/rir-2024-0032\",\"RegionNum\":0,\"RegionCategory\":null,\"ArticlePicture\":[],\"TitleCN\":null,\"AbstractTextCN\":null,\"PMCID\":null,\"EPubDate\":\"2024/12/1 0:00:00\",\"PubModel\":\"eCollection\",\"JCR\":\"\",\"JCRName\":\"\",\"Score\":null,\"Total\":0}","platform":"Semanticscholar","paperid":null,"PeriodicalName":"Rheumatology and immunology research","FirstCategoryId":"1085","ListUrlMain":"https://doi.org/10.1515/rir-2024-0032","RegionNum":0,"RegionCategory":null,"ArticlePicture":[],"TitleCN":null,"AbstractTextCN":null,"PMCID":null,"EPubDate":"2024/12/1 0:00:00","PubModel":"eCollection","JCR":"","JCRName":"","Score":null,"Total":0}
引用次数: 0

摘要

本文章由计算机程序翻译,如有差异,请以英文原文为准。

McArdle's disease presents with multiple large vessel lesions.

McArdle's disease presents with multiple large vessel lesions.
求助全文
通过发布文献求助,成功后即可免费获取论文全文。 去求助
来源期刊
CiteScore
1.40
自引率
0.00%
发文量
0
×
引用
GB/T 7714-2015
复制
MLA
复制
APA
复制
导出至
BibTeX EndNote RefMan NoteFirst NoteExpress
×
提示
您的信息不完整,为了账户安全,请先补充。
现在去补充
×
提示
您因"违规操作"
具体请查看互助需知
我知道了
×
提示
确定
请完成安全验证×
copy
已复制链接
快去分享给好友吧!
我知道了
右上角分享
点击右上角分享
0
联系我们:info@booksci.cn Book学术提供免费学术资源搜索服务,方便国内外学者检索中英文文献。致力于提供最便捷和优质的服务体验。 Copyright © 2023 布克学术 All rights reserved.
京ICP备2023020795号-1
ghs 京公网安备 11010802042870号
Book学术文献互助
Book学术文献互助群
群 号:604180095
Book学术官方微信