多模态成像在遗传性视网膜变性临床诊断中的应用。

IF 1.2 Q4 OPHTHALMOLOGY
Taiwan Journal of Ophthalmology Pub Date : 2024-12-03 eCollection Date: 2024-10-01 DOI:10.4103/tjo.TJO-D-24-00066
Brian J H Lee, Christopher Z Y Sun, Charles J T Ong, Kanika Jain, Tien-En Tan, Choi Mun Chan, Ranjana S Mathur, Rachael W C Tang, Yasmin Bylstra, Sylvia P R Kam, Weng Khong Lim, Beau J Fenner
{"title":"多模态成像在遗传性视网膜变性临床诊断中的应用。","authors":"Brian J H Lee, Christopher Z Y Sun, Charles J T Ong, Kanika Jain, Tien-En Tan, Choi Mun Chan, Ranjana S Mathur, Rachael W C Tang, Yasmin Bylstra, Sylvia P R Kam, Weng Khong Lim, Beau J Fenner","doi":"10.4103/tjo.TJO-D-24-00066","DOIUrl":null,"url":null,"abstract":"<p><p>Inherited retinal degeneration (IRD) is a heterogeneous group of genetic disorders of variable onset and severity, with vision loss being a common endpoint in most cases. More than 50 distinct IRD phenotypes and over 280 causative genes have been described. Establishing a clinical phenotype for patients with IRD is particularly challenging due to clinical variability even among patients with similar genotypes. Clinical phenotyping provides a foundation for understanding disease progression and informing subsequent genetic investigations. Establishing a clear clinical phenotype for IRD cases is required to corroborate the data obtained from exome and genome sequencing, which often yields numerous variants in genes associated with IRD. In the current work, we review the use of contemporary retinal imaging modalities, including ultra-widefield and autofluorescence imaging, optical coherence tomography, and multispectral imaging, in the diagnosis of IRD.</p>","PeriodicalId":44978,"journal":{"name":"Taiwan Journal of Ophthalmology","volume":"14 4","pages":"486-496"},"PeriodicalIF":1.2000,"publicationDate":"2024-12-03","publicationTypes":"Journal Article","fieldsOfStudy":null,"isOpenAccess":false,"openAccessPdf":"https://www.ncbi.nlm.nih.gov/pmc/articles/PMC11717338/pdf/","citationCount":"0","resultStr":"{\"title\":\"Utility of multimodal imaging in the clinical diagnosis of inherited retinal degenerations.\",\"authors\":\"Brian J H Lee, Christopher Z Y Sun, Charles J T Ong, Kanika Jain, Tien-En Tan, Choi Mun Chan, Ranjana S Mathur, Rachael W C Tang, Yasmin Bylstra, Sylvia P R Kam, Weng Khong Lim, Beau J Fenner\",\"doi\":\"10.4103/tjo.TJO-D-24-00066\",\"DOIUrl\":null,\"url\":null,\"abstract\":\"<p><p>Inherited retinal degeneration (IRD) is a heterogeneous group of genetic disorders of variable onset and severity, with vision loss being a common endpoint in most cases. More than 50 distinct IRD phenotypes and over 280 causative genes have been described. Establishing a clinical phenotype for patients with IRD is particularly challenging due to clinical variability even among patients with similar genotypes. Clinical phenotyping provides a foundation for understanding disease progression and informing subsequent genetic investigations. Establishing a clear clinical phenotype for IRD cases is required to corroborate the data obtained from exome and genome sequencing, which often yields numerous variants in genes associated with IRD. In the current work, we review the use of contemporary retinal imaging modalities, including ultra-widefield and autofluorescence imaging, optical coherence tomography, and multispectral imaging, in the diagnosis of IRD.</p>\",\"PeriodicalId\":44978,\"journal\":{\"name\":\"Taiwan Journal of Ophthalmology\",\"volume\":\"14 4\",\"pages\":\"486-496\"},\"PeriodicalIF\":1.2000,\"publicationDate\":\"2024-12-03\",\"publicationTypes\":\"Journal Article\",\"fieldsOfStudy\":null,\"isOpenAccess\":false,\"openAccessPdf\":\"https://www.ncbi.nlm.nih.gov/pmc/articles/PMC11717338/pdf/\",\"citationCount\":\"0\",\"resultStr\":null,\"platform\":\"Semanticscholar\",\"paperid\":null,\"PeriodicalName\":\"Taiwan Journal of Ophthalmology\",\"FirstCategoryId\":\"1085\",\"ListUrlMain\":\"https://doi.org/10.4103/tjo.TJO-D-24-00066\",\"RegionNum\":0,\"RegionCategory\":null,\"ArticlePicture\":[],\"TitleCN\":null,\"AbstractTextCN\":null,\"PMCID\":null,\"EPubDate\":\"2024/10/1 0:00:00\",\"PubModel\":\"eCollection\",\"JCR\":\"Q4\",\"JCRName\":\"OPHTHALMOLOGY\",\"Score\":null,\"Total\":0}","platform":"Semanticscholar","paperid":null,"PeriodicalName":"Taiwan Journal of Ophthalmology","FirstCategoryId":"1085","ListUrlMain":"https://doi.org/10.4103/tjo.TJO-D-24-00066","RegionNum":0,"RegionCategory":null,"ArticlePicture":[],"TitleCN":null,"AbstractTextCN":null,"PMCID":null,"EPubDate":"2024/10/1 0:00:00","PubModel":"eCollection","JCR":"Q4","JCRName":"OPHTHALMOLOGY","Score":null,"Total":0}
引用次数: 0

摘要

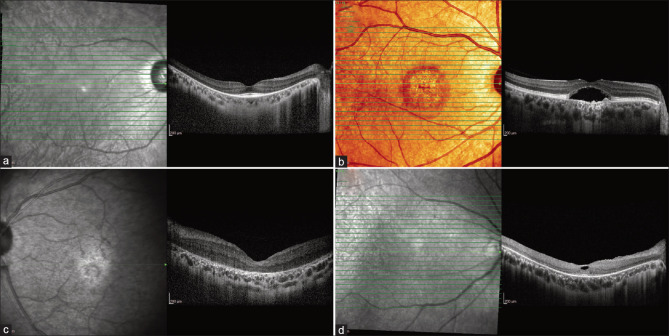
遗传性视网膜变性(IRD)是一种异质性的遗传性疾病,具有不同的发病和严重程度,在大多数情况下,视力丧失是一个共同的终点。已有超过50种不同的IRD表型和超过280种致病基因被描述。建立IRD患者的临床表型尤其具有挑战性,因为即使在具有相似基因型的患者中也存在临床差异。临床表型为了解疾病进展和告知后续遗传调查提供了基础。需要为IRD病例建立明确的临床表型,以证实从外显子组和基因组测序中获得的数据,这些数据通常会产生与IRD相关的基因的大量变异。在当前的工作中,我们回顾了当代视网膜成像方式的使用,包括超宽视场和自身荧光成像,光学相干断层扫描和多光谱成像,在诊断视网膜视网膜病变中的应用。
本文章由计算机程序翻译,如有差异,请以英文原文为准。

Utility of multimodal imaging in the clinical diagnosis of inherited retinal degenerations.

Utility of multimodal imaging in the clinical diagnosis of inherited retinal degenerations.

Utility of multimodal imaging in the clinical diagnosis of inherited retinal degenerations.

Utility of multimodal imaging in the clinical diagnosis of inherited retinal degenerations.

Inherited retinal degeneration (IRD) is a heterogeneous group of genetic disorders of variable onset and severity, with vision loss being a common endpoint in most cases. More than 50 distinct IRD phenotypes and over 280 causative genes have been described. Establishing a clinical phenotype for patients with IRD is particularly challenging due to clinical variability even among patients with similar genotypes. Clinical phenotyping provides a foundation for understanding disease progression and informing subsequent genetic investigations. Establishing a clear clinical phenotype for IRD cases is required to corroborate the data obtained from exome and genome sequencing, which often yields numerous variants in genes associated with IRD. In the current work, we review the use of contemporary retinal imaging modalities, including ultra-widefield and autofluorescence imaging, optical coherence tomography, and multispectral imaging, in the diagnosis of IRD.

求助全文
通过发布文献求助,成功后即可免费获取论文全文。 去求助
来源期刊
CiteScore
1.80
自引率
9.10%
发文量
68
审稿时长
19 weeks
×
引用
GB/T 7714-2015
复制
MLA
复制
APA
复制
导出至
BibTeX EndNote RefMan NoteFirst NoteExpress
×
提示
您的信息不完整,为了账户安全,请先补充。
现在去补充
×
提示
您因"违规操作"
具体请查看互助需知
我知道了
×
提示
确定
请完成安全验证×
copy
已复制链接
快去分享给好友吧!
我知道了
右上角分享
点击右上角分享
0
联系我们:info@booksci.cn Book学术提供免费学术资源搜索服务,方便国内外学者检索中英文文献。致力于提供最便捷和优质的服务体验。 Copyright © 2023 布克学术 All rights reserved.
京ICP备2023020795号-1
ghs 京公网安备 11010802042870号
Book学术文献互助
Book学术文献互助群
群 号:604180095
Book学术官方微信