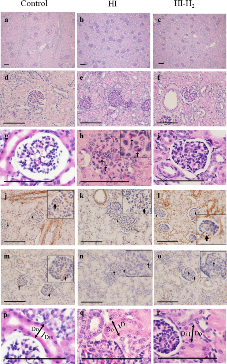
在窒息仔猪模型中吸入氢气可改善缺氧缺血性损伤后的肾小球肿大。

IF 3.9 2区 综合性期刊 Q1 MULTIDISCIPLINARY SCIENCES
Takuma Iwaki, Shinji Nakamura, Takayuki Wakabayashi, Yasuhiro Nakao, Yinmon Htun, Toui Tsuchiya, Tsutomu Mitsuie, Kosuke Koyano, Aya Morimoto, Noriko Fuke, Takayuki Yokota, Sonoko Kondo, Yukihiko Konishi, Takanori Miki, Masaki Ueno, Takashi Iwase, Takashi Kusaka
{"title":"在窒息仔猪模型中吸入氢气可改善缺氧缺血性损伤后的肾小球肿大。","authors":"Takuma Iwaki, Shinji Nakamura, Takayuki Wakabayashi, Yasuhiro Nakao, Yinmon Htun, Toui Tsuchiya, Tsutomu Mitsuie, Kosuke Koyano, Aya Morimoto, Noriko Fuke, Takayuki Yokota, Sonoko Kondo, Yukihiko Konishi, Takanori Miki, Masaki Ueno, Takashi Iwase, Takashi Kusaka","doi":"10.1038/s41598-025-85231-8","DOIUrl":null,"url":null,"abstract":"<p><p>Acute kidney injury (AKI) has been reported to occur in 30-70% of asphyxiated neonates. Hydrogen (H<sub>2</sub>) gas became a major research focus in neonatal medicine after the identification of its robust antioxidative properties. However, the ability of H<sub>2</sub> gas to ameliorate AKI is unknown. We examined histopathological injuries in the piglet renal cortex on day 5 after a hypoxic-ischemic (HI) insult and if H<sub>2</sub> gas can alleviate kidney injuries. Twenty piglets were divided into three groups: no insult (Control, n = 6), HI insult alone (HI, n = 8), and HI insult with H<sub>2</sub> gas ventilation (HI-H<sub>2</sub>, 2.1-2.7% for 24 h, n = 6). The total glomerular cell count was significantly higher in the HI group than in the other groups, with no difference between the HI-H<sub>2</sub> and control groups. Proximal tubular lumen narrowing was significantly increased in the HI group versus control, but not in the HI-H<sub>2</sub> group. In this piglet model, glomerular enlargement with an increase in glomerular cell number due to tubular lumen narrowing was observed on day 5 after HI insult. H<sub>2</sub> gas effectively suppressed this glomerular cell increase and tubular lumen narrowing.</p>","PeriodicalId":21811,"journal":{"name":"Scientific Reports","volume":"15 1","pages":"1677"},"PeriodicalIF":3.9000,"publicationDate":"2025-01-11","publicationTypes":"Journal Article","fieldsOfStudy":null,"isOpenAccess":false,"openAccessPdf":"https://www.ncbi.nlm.nih.gov/pmc/articles/PMC11724992/pdf/","citationCount":"0","resultStr":"{\"title\":\"Hydrogen gas inhalation ameliorates glomerular enlargement after hypoxic-ischemic insult in asphyxiated piglet model.\",\"authors\":\"Takuma Iwaki, Shinji Nakamura, Takayuki Wakabayashi, Yasuhiro Nakao, Yinmon Htun, Toui Tsuchiya, Tsutomu Mitsuie, Kosuke Koyano, Aya Morimoto, Noriko Fuke, Takayuki Yokota, Sonoko Kondo, Yukihiko Konishi, Takanori Miki, Masaki Ueno, Takashi Iwase, Takashi Kusaka\",\"doi\":\"10.1038/s41598-025-85231-8\",\"DOIUrl\":null,\"url\":null,\"abstract\":\"<p><p>Acute kidney injury (AKI) has been reported to occur in 30-70% of asphyxiated neonates. Hydrogen (H<sub>2</sub>) gas became a major research focus in neonatal medicine after the identification of its robust antioxidative properties. However, the ability of H<sub>2</sub> gas to ameliorate AKI is unknown. We examined histopathological injuries in the piglet renal cortex on day 5 after a hypoxic-ischemic (HI) insult and if H<sub>2</sub> gas can alleviate kidney injuries. Twenty piglets were divided into three groups: no insult (Control, n = 6), HI insult alone (HI, n = 8), and HI insult with H<sub>2</sub> gas ventilation (HI-H<sub>2</sub>, 2.1-2.7% for 24 h, n = 6). The total glomerular cell count was significantly higher in the HI group than in the other groups, with no difference between the HI-H<sub>2</sub> and control groups. Proximal tubular lumen narrowing was significantly increased in the HI group versus control, but not in the HI-H<sub>2</sub> group. In this piglet model, glomerular enlargement with an increase in glomerular cell number due to tubular lumen narrowing was observed on day 5 after HI insult. H<sub>2</sub> gas effectively suppressed this glomerular cell increase and tubular lumen narrowing.</p>\",\"PeriodicalId\":21811,\"journal\":{\"name\":\"Scientific Reports\",\"volume\":\"15 1\",\"pages\":\"1677\"},\"PeriodicalIF\":3.9000,\"publicationDate\":\"2025-01-11\",\"publicationTypes\":\"Journal Article\",\"fieldsOfStudy\":null,\"isOpenAccess\":false,\"openAccessPdf\":\"https://www.ncbi.nlm.nih.gov/pmc/articles/PMC11724992/pdf/\",\"citationCount\":\"0\",\"resultStr\":null,\"platform\":\"Semanticscholar\",\"paperid\":null,\"PeriodicalName\":\"Scientific Reports\",\"FirstCategoryId\":\"103\",\"ListUrlMain\":\"https://doi.org/10.1038/s41598-025-85231-8\",\"RegionNum\":2,\"RegionCategory\":\"综合性期刊\",\"ArticlePicture\":[],\"TitleCN\":null,\"AbstractTextCN\":null,\"PMCID\":null,\"EPubDate\":\"\",\"PubModel\":\"\",\"JCR\":\"Q1\",\"JCRName\":\"MULTIDISCIPLINARY SCIENCES\",\"Score\":null,\"Total\":0}","platform":"Semanticscholar","paperid":null,"PeriodicalName":"Scientific Reports","FirstCategoryId":"103","ListUrlMain":"https://doi.org/10.1038/s41598-025-85231-8","RegionNum":2,"RegionCategory":"综合性期刊","ArticlePicture":[],"TitleCN":null,"AbstractTextCN":null,"PMCID":null,"EPubDate":"","PubModel":"","JCR":"Q1","JCRName":"MULTIDISCIPLINARY SCIENCES","Score":null,"Total":0}
引用次数: 0

摘要

急性肾损伤(AKI)已报道发生在30-70%的窒息新生儿。氢(H2)气体在其强大的抗氧化特性被发现后成为新生儿医学的主要研究热点。然而,氢气改善AKI的能力尚不清楚。我们在缺氧缺血(HI)损伤后第5天检测了仔猪肾皮质的组织病理学损伤,以及H2气体是否可以减轻肾损伤。将20头仔猪分为3组,分别为不侮辱组(对照组,n = 6)、单纯HI侮辱组(HI, n = 8)和HI侮辱加H2气体通气组(HI-H2, 2.1-2.7%,持续24 h, n = 6)。HI组肾小球细胞总数明显高于其他组,HI- h2组与对照组无差异。与对照组相比,HI组近端管腔狭窄明显增加,但HI- h2组没有。在该仔猪模型中,在HI损伤后第5天,观察到肾小球增大,肾小球细胞数量增加,导致小管管腔狭窄。氢气有效地抑制了肾小球细胞的增加和小管腔的狭窄。
本文章由计算机程序翻译,如有差异,请以英文原文为准。

Hydrogen gas inhalation ameliorates glomerular enlargement after hypoxic-ischemic insult in asphyxiated piglet model.

Hydrogen gas inhalation ameliorates glomerular enlargement after hypoxic-ischemic insult in asphyxiated piglet model.

Hydrogen gas inhalation ameliorates glomerular enlargement after hypoxic-ischemic insult in asphyxiated piglet model.

Hydrogen gas inhalation ameliorates glomerular enlargement after hypoxic-ischemic insult in asphyxiated piglet model.

Acute kidney injury (AKI) has been reported to occur in 30-70% of asphyxiated neonates. Hydrogen (H2) gas became a major research focus in neonatal medicine after the identification of its robust antioxidative properties. However, the ability of H2 gas to ameliorate AKI is unknown. We examined histopathological injuries in the piglet renal cortex on day 5 after a hypoxic-ischemic (HI) insult and if H2 gas can alleviate kidney injuries. Twenty piglets were divided into three groups: no insult (Control, n = 6), HI insult alone (HI, n = 8), and HI insult with H2 gas ventilation (HI-H2, 2.1-2.7% for 24 h, n = 6). The total glomerular cell count was significantly higher in the HI group than in the other groups, with no difference between the HI-H2 and control groups. Proximal tubular lumen narrowing was significantly increased in the HI group versus control, but not in the HI-H2 group. In this piglet model, glomerular enlargement with an increase in glomerular cell number due to tubular lumen narrowing was observed on day 5 after HI insult. H2 gas effectively suppressed this glomerular cell increase and tubular lumen narrowing.

求助全文
通过发布文献求助,成功后即可免费获取论文全文。 去求助
来源期刊
Scientific Reports
Scientific Reports Natural Science Disciplines-
CiteScore
7.50
自引率
4.30%
发文量
19567
审稿时长
3.9 months
期刊介绍: We publish original research from all areas of the natural sciences, psychology, medicine and engineering. You can learn more about what we publish by browsing our specific scientific subject areas below or explore Scientific Reports by browsing all articles and collections. Scientific Reports has a 2-year impact factor: 4.380 (2021), and is the 6th most-cited journal in the world, with more than 540,000 citations in 2020 (Clarivate Analytics, 2021). •Engineering Engineering covers all aspects of engineering, technology, and applied science. It plays a crucial role in the development of technologies to address some of the world''s biggest challenges, helping to save lives and improve the way we live. •Physical sciences Physical sciences are those academic disciplines that aim to uncover the underlying laws of nature — often written in the language of mathematics. It is a collective term for areas of study including astronomy, chemistry, materials science and physics. •Earth and environmental sciences Earth and environmental sciences cover all aspects of Earth and planetary science and broadly encompass solid Earth processes, surface and atmospheric dynamics, Earth system history, climate and climate change, marine and freshwater systems, and ecology. It also considers the interactions between humans and these systems. •Biological sciences Biological sciences encompass all the divisions of natural sciences examining various aspects of vital processes. The concept includes anatomy, physiology, cell biology, biochemistry and biophysics, and covers all organisms from microorganisms, animals to plants. •Health sciences The health sciences study health, disease and healthcare. This field of study aims to develop knowledge, interventions and technology for use in healthcare to improve the treatment of patients.
×
引用
GB/T 7714-2015
复制
MLA
复制
APA
复制
导出至
BibTeX EndNote RefMan NoteFirst NoteExpress
×
提示
您的信息不完整,为了账户安全,请先补充。
现在去补充
×
提示
您因"违规操作"
具体请查看互助需知
我知道了
×
提示
确定
请完成安全验证×
copy
已复制链接
快去分享给好友吧!
我知道了
右上角分享
点击右上角分享
0
联系我们:info@booksci.cn Book学术提供免费学术资源搜索服务,方便国内外学者检索中英文文献。致力于提供最便捷和优质的服务体验。 Copyright © 2023 布克学术 All rights reserved.
京ICP备2023020795号-1
ghs 京公网安备 11010802042870号
Book学术文献互助
Book学术文献互助群
群 号:604180095
Book学术官方微信