脑内脑脊液(CSF)间隙中的脂肪滴。

IF 2.7 Q2 NEUROSCIENCES
AIMS Neuroscience Pub Date : 2024-11-27 eCollection Date: 2024-01-01 DOI:10.3934/Neuroscience.2024029
Mark Reed, Christopher Miller, Cortney Connor, Jason S Chang, Forshing Lui
{"title":"脑内脑脊液(CSF)间隙中的脂肪滴。","authors":"Mark Reed, Christopher Miller, Cortney Connor, Jason S Chang, Forshing Lui","doi":"10.3934/Neuroscience.2024029","DOIUrl":null,"url":null,"abstract":"<p><p>It is rare to find free floating fat droplets in the cerebral spinal fluid (CSF) spaces of the brain. When fat droplets are seen in the CSF spaces, the most common cause is the rupture of a dermoid cyst. Dermoid cysts are congenital inclusion cysts that form during the neural tube closure between the third and fifth weeks of embryogenesis. In this case report, we describe a case of a 74-year-old, right-handed female who presented with an acute onset of visual disturbances and left-hand numbness. Computed tomography (CT) and magnetic resonance imaging (MRI) of the head revealed hypodense \"lesions\" in the lateral ventricles and basal cisterns. The CT Hounsfield unit was between -41 to -83 Hounsfield Units, which is compatible with fat rather than air. The T1 weighted and FLAIR MRI showed hyperintense lesions \"floating\" on top of the CSF in the lateral ventricles, which is typical for fat droplets, presumably caused by a ruptured dermoid cyst. This case emphasizes the importance of analyzing Hounsfield Units to distinguish lesions by density, where fat ranges from -50 to -150 Hounsfield Units and air is -1000 Hounsfield Units. Pneumocephalus is the presence of air in the epidural, subdural, or subarachnoid space and can cause confusion, nausea, seizures and focal neurological symptoms. A careful analysis of the neuroimaging findings in the CT with or without MRI is important in making a correct diagnosis of a ruptured dermoid cyst versus pneumocephalus.</p>","PeriodicalId":7732,"journal":{"name":"AIMS Neuroscience","volume":"11 4","pages":"484-489"},"PeriodicalIF":2.7000,"publicationDate":"2024-11-27","publicationTypes":"Journal Article","fieldsOfStudy":null,"isOpenAccess":false,"openAccessPdf":"https://www.ncbi.nlm.nih.gov/pmc/articles/PMC11712232/pdf/","citationCount":"0","resultStr":"{\"title\":\"Fat droplets in the cerebrospinal fluid (CSF) spaces of the brain.\",\"authors\":\"Mark Reed, Christopher Miller, Cortney Connor, Jason S Chang, Forshing Lui\",\"doi\":\"10.3934/Neuroscience.2024029\",\"DOIUrl\":null,\"url\":null,\"abstract\":\"<p><p>It is rare to find free floating fat droplets in the cerebral spinal fluid (CSF) spaces of the brain. When fat droplets are seen in the CSF spaces, the most common cause is the rupture of a dermoid cyst. Dermoid cysts are congenital inclusion cysts that form during the neural tube closure between the third and fifth weeks of embryogenesis. In this case report, we describe a case of a 74-year-old, right-handed female who presented with an acute onset of visual disturbances and left-hand numbness. Computed tomography (CT) and magnetic resonance imaging (MRI) of the head revealed hypodense \\\"lesions\\\" in the lateral ventricles and basal cisterns. The CT Hounsfield unit was between -41 to -83 Hounsfield Units, which is compatible with fat rather than air. The T1 weighted and FLAIR MRI showed hyperintense lesions \\\"floating\\\" on top of the CSF in the lateral ventricles, which is typical for fat droplets, presumably caused by a ruptured dermoid cyst. This case emphasizes the importance of analyzing Hounsfield Units to distinguish lesions by density, where fat ranges from -50 to -150 Hounsfield Units and air is -1000 Hounsfield Units. Pneumocephalus is the presence of air in the epidural, subdural, or subarachnoid space and can cause confusion, nausea, seizures and focal neurological symptoms. A careful analysis of the neuroimaging findings in the CT with or without MRI is important in making a correct diagnosis of a ruptured dermoid cyst versus pneumocephalus.</p>\",\"PeriodicalId\":7732,\"journal\":{\"name\":\"AIMS Neuroscience\",\"volume\":\"11 4\",\"pages\":\"484-489\"},\"PeriodicalIF\":2.7000,\"publicationDate\":\"2024-11-27\",\"publicationTypes\":\"Journal Article\",\"fieldsOfStudy\":null,\"isOpenAccess\":false,\"openAccessPdf\":\"https://www.ncbi.nlm.nih.gov/pmc/articles/PMC11712232/pdf/\",\"citationCount\":\"0\",\"resultStr\":null,\"platform\":\"Semanticscholar\",\"paperid\":null,\"PeriodicalName\":\"AIMS Neuroscience\",\"FirstCategoryId\":\"1085\",\"ListUrlMain\":\"https://doi.org/10.3934/Neuroscience.2024029\",\"RegionNum\":0,\"RegionCategory\":null,\"ArticlePicture\":[],\"TitleCN\":null,\"AbstractTextCN\":null,\"PMCID\":null,\"EPubDate\":\"2024/1/1 0:00:00\",\"PubModel\":\"eCollection\",\"JCR\":\"Q2\",\"JCRName\":\"NEUROSCIENCES\",\"Score\":null,\"Total\":0}","platform":"Semanticscholar","paperid":null,"PeriodicalName":"AIMS Neuroscience","FirstCategoryId":"1085","ListUrlMain":"https://doi.org/10.3934/Neuroscience.2024029","RegionNum":0,"RegionCategory":null,"ArticlePicture":[],"TitleCN":null,"AbstractTextCN":null,"PMCID":null,"EPubDate":"2024/1/1 0:00:00","PubModel":"eCollection","JCR":"Q2","JCRName":"NEUROSCIENCES","Score":null,"Total":0}
引用次数: 0

摘要

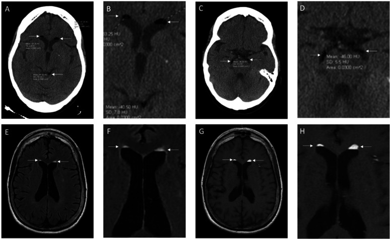
在大脑的脑脊液(CSF)空间中发现自由漂浮的脂肪滴是罕见的。当脂肪滴出现在脑脊液间隙时,最常见的原因是皮样囊肿破裂。皮样囊肿是先天性包涵性囊肿,在胚胎发生的第三至第五周神经管闭合期间形成。在这个病例报告中,我们描述了一个74岁的右撇子女性,她表现出急性视觉障碍和左手麻木。头部计算机断层扫描(CT)和磁共振成像(MRI)显示侧脑室和基底池低密度“病变”。CT Hounsfield单位在-41到-83 Hounsfield单位之间,与脂肪而不是空气兼容。T1加权和FLAIR MRI显示侧脑室脑脊液顶部“漂浮”的高强度病变,这是典型的脂肪滴,可能是由皮样囊肿破裂引起的。本病例强调了分析Hounsfield单位以区分病变密度的重要性,其中脂肪范围为-50至-150 Hounsfield单位,空气为-1000 Hounsfield单位。脑气是指硬膜外、硬膜下或蛛网膜下腔存在空气,可引起意识不清、恶心、癫痫发作和局灶性神经症状。仔细分析有或无MRI的CT神经影像学表现,对于正确诊断皮样囊肿破裂与脑积水是很重要的。
本文章由计算机程序翻译,如有差异,请以英文原文为准。

Fat droplets in the cerebrospinal fluid (CSF) spaces of the brain.

Fat droplets in the cerebrospinal fluid (CSF) spaces of the brain.

It is rare to find free floating fat droplets in the cerebral spinal fluid (CSF) spaces of the brain. When fat droplets are seen in the CSF spaces, the most common cause is the rupture of a dermoid cyst. Dermoid cysts are congenital inclusion cysts that form during the neural tube closure between the third and fifth weeks of embryogenesis. In this case report, we describe a case of a 74-year-old, right-handed female who presented with an acute onset of visual disturbances and left-hand numbness. Computed tomography (CT) and magnetic resonance imaging (MRI) of the head revealed hypodense "lesions" in the lateral ventricles and basal cisterns. The CT Hounsfield unit was between -41 to -83 Hounsfield Units, which is compatible with fat rather than air. The T1 weighted and FLAIR MRI showed hyperintense lesions "floating" on top of the CSF in the lateral ventricles, which is typical for fat droplets, presumably caused by a ruptured dermoid cyst. This case emphasizes the importance of analyzing Hounsfield Units to distinguish lesions by density, where fat ranges from -50 to -150 Hounsfield Units and air is -1000 Hounsfield Units. Pneumocephalus is the presence of air in the epidural, subdural, or subarachnoid space and can cause confusion, nausea, seizures and focal neurological symptoms. A careful analysis of the neuroimaging findings in the CT with or without MRI is important in making a correct diagnosis of a ruptured dermoid cyst versus pneumocephalus.

求助全文
通过发布文献求助,成功后即可免费获取论文全文。 去求助
来源期刊
AIMS Neuroscience
AIMS Neuroscience NEUROSCIENCES-
CiteScore
4.20
自引率
0.00%
发文量
26
审稿时长
8 weeks
期刊介绍: AIMS Neuroscience is an international Open Access journal devoted to publishing peer-reviewed, high quality, original papers from all areas in the field of neuroscience. The primary focus is to provide a forum in which to expedite the speed with which theoretical neuroscience progresses toward generating testable hypotheses. In the presence of current and developing technology that offers unprecedented access to functions of the nervous system at all levels, the journal is designed to serve the role of providing the widest variety of the best theoretical views leading to suggested studies. Single blind peer review is provided for all articles and commentaries.
×
引用
GB/T 7714-2015
复制
MLA
复制
APA
复制
导出至
BibTeX EndNote RefMan NoteFirst NoteExpress
×
提示
您的信息不完整,为了账户安全,请先补充。
现在去补充
×
提示
您因"违规操作"
具体请查看互助需知
我知道了
×
提示
确定
请完成安全验证×
copy
已复制链接
快去分享给好友吧!
我知道了
右上角分享
点击右上角分享
0
联系我们:info@booksci.cn Book学术提供免费学术资源搜索服务,方便国内外学者检索中英文文献。致力于提供最便捷和优质的服务体验。 Copyright © 2023 布克学术 All rights reserved.
京ICP备2023020795号-1
ghs 京公网安备 11010802042870号
Book学术文献互助
Book学术文献互助群
群 号:604180095
Book学术官方微信