体积MRI脉冲序列3D VISTA(体积同位素涡轮自旋回波采集)在肛周瘘描述和表征中的价值。

Polish journal of radiology Pub Date : 2024-11-04 eCollection Date: 2024-01-01 DOI:10.5114/pjr/193232
Ahmed I Tawfik, Amir M Eltantawy, Mohamed Mohsen, Mohamed M Harraz
{"title":"体积MRI脉冲序列3D VISTA(体积同位素涡轮自旋回波采集)在肛周瘘描述和表征中的价值。","authors":"Ahmed I Tawfik, Amir M Eltantawy, Mohamed Mohsen, Mohamed M Harraz","doi":"10.5114/pjr/193232","DOIUrl":null,"url":null,"abstract":"<p><strong>Purpose: </strong>Diagnosis of perianal fistula represents a challenge for surgeons. It is well known that magnetic resonance imaging (MRI) plays an important role in that. The new 3D MRI sequence VISTA (Volume ISotopic Turbo spin echo Acquisition) can improve detection and characterization of perianal fistula compared with two-dimensional (2D) sequences. The aim of the study was to compare the diagnostic performance of the new 3D MRI sequence VISTA with the widely routinely used T2 FSE pulse sequence in depiction and characterization of perianal fistula by using the contrast-enhanced (CE) 3D T1 sequence THRIVE (T1-weighted high-resolution isotropic volume examination) as a reference standard.</p><p><strong>Material and methods: </strong>Forty adult patients were enrolled in this prospective study. They underwent MRI perianal region examination using routine T2 TSE and CE 3D T1 sequence THRIVE with addition of the new 3D MRI sequence VISTA. T2, 3D VISTA and (CE) 3D T1 sequence THRIVE images were evaluated by two radiologists separately for detection and characterization of perianal fistula, then comparison between of T2 and 3D VISTA sequences was done using (CE) 3D T1 sequence THRIVE as a reference. Each sequence sensitivity, specificity and accuracy were calculated by both readers.</p><p><strong>Results: </strong>For reader 1, the sensitivity, specificity and accuracy were 92.5%, 90.5% and 93.6% for 3D VISTA and 84.1%, 83.7% and 87.3% for T2 FSE. For reader 2, the sensitivity, specificity and accuracy were 91.5%, 92.8% and 94.8% for 3D VISTA and 82.9%, 84.5% and 86.7% for T2 FSE.</p><p><strong>Conclusions: </strong>Using CE 3D T1 sequence THRIVE as the reference standard, 3D VISTA pulse sequence on the perianal region has better diagnostic performance in the detection and characterization of perianal fistula as compared to the routinely used T2 FSE sequence.</p>","PeriodicalId":94174,"journal":{"name":"Polish journal of radiology","volume":"89 ","pages":"e517-e523"},"PeriodicalIF":0.0000,"publicationDate":"2024-11-04","publicationTypes":"Journal Article","fieldsOfStudy":null,"isOpenAccess":false,"openAccessPdf":"https://www.ncbi.nlm.nih.gov/pmc/articles/PMC11704945/pdf/","citationCount":"0","resultStr":"{\"title\":\"Added value of volumetric MRI pulse sequence 3D VISTA (Volume ISotopic Turbo spin echo Acquisition) in perianal fistula depiction and characterization.\",\"authors\":\"Ahmed I Tawfik, Amir M Eltantawy, Mohamed Mohsen, Mohamed M Harraz\",\"doi\":\"10.5114/pjr/193232\",\"DOIUrl\":null,\"url\":null,\"abstract\":\"<p><strong>Purpose: </strong>Diagnosis of perianal fistula represents a challenge for surgeons. It is well known that magnetic resonance imaging (MRI) plays an important role in that. The new 3D MRI sequence VISTA (Volume ISotopic Turbo spin echo Acquisition) can improve detection and characterization of perianal fistula compared with two-dimensional (2D) sequences. The aim of the study was to compare the diagnostic performance of the new 3D MRI sequence VISTA with the widely routinely used T2 FSE pulse sequence in depiction and characterization of perianal fistula by using the contrast-enhanced (CE) 3D T1 sequence THRIVE (T1-weighted high-resolution isotropic volume examination) as a reference standard.</p><p><strong>Material and methods: </strong>Forty adult patients were enrolled in this prospective study. They underwent MRI perianal region examination using routine T2 TSE and CE 3D T1 sequence THRIVE with addition of the new 3D MRI sequence VISTA. T2, 3D VISTA and (CE) 3D T1 sequence THRIVE images were evaluated by two radiologists separately for detection and characterization of perianal fistula, then comparison between of T2 and 3D VISTA sequences was done using (CE) 3D T1 sequence THRIVE as a reference. Each sequence sensitivity, specificity and accuracy were calculated by both readers.</p><p><strong>Results: </strong>For reader 1, the sensitivity, specificity and accuracy were 92.5%, 90.5% and 93.6% for 3D VISTA and 84.1%, 83.7% and 87.3% for T2 FSE. For reader 2, the sensitivity, specificity and accuracy were 91.5%, 92.8% and 94.8% for 3D VISTA and 82.9%, 84.5% and 86.7% for T2 FSE.</p><p><strong>Conclusions: </strong>Using CE 3D T1 sequence THRIVE as the reference standard, 3D VISTA pulse sequence on the perianal region has better diagnostic performance in the detection and characterization of perianal fistula as compared to the routinely used T2 FSE sequence.</p>\",\"PeriodicalId\":94174,\"journal\":{\"name\":\"Polish journal of radiology\",\"volume\":\"89 \",\"pages\":\"e517-e523\"},\"PeriodicalIF\":0.0000,\"publicationDate\":\"2024-11-04\",\"publicationTypes\":\"Journal Article\",\"fieldsOfStudy\":null,\"isOpenAccess\":false,\"openAccessPdf\":\"https://www.ncbi.nlm.nih.gov/pmc/articles/PMC11704945/pdf/\",\"citationCount\":\"0\",\"resultStr\":null,\"platform\":\"Semanticscholar\",\"paperid\":null,\"PeriodicalName\":\"Polish journal of radiology\",\"FirstCategoryId\":\"1085\",\"ListUrlMain\":\"https://doi.org/10.5114/pjr/193232\",\"RegionNum\":0,\"RegionCategory\":null,\"ArticlePicture\":[],\"TitleCN\":null,\"AbstractTextCN\":null,\"PMCID\":null,\"EPubDate\":\"2024/1/1 0:00:00\",\"PubModel\":\"eCollection\",\"JCR\":\"\",\"JCRName\":\"\",\"Score\":null,\"Total\":0}","platform":"Semanticscholar","paperid":null,"PeriodicalName":"Polish journal of radiology","FirstCategoryId":"1085","ListUrlMain":"https://doi.org/10.5114/pjr/193232","RegionNum":0,"RegionCategory":null,"ArticlePicture":[],"TitleCN":null,"AbstractTextCN":null,"PMCID":null,"EPubDate":"2024/1/1 0:00:00","PubModel":"eCollection","JCR":"","JCRName":"","Score":null,"Total":0}
引用次数: 0

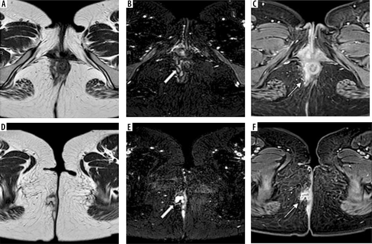
摘要

目的:肛瘘的诊断对外科医生来说是一个挑战。众所周知,磁共振成像(MRI)在其中起着重要作用。与二维(2D)序列相比,新的三维MRI序列VISTA(体积同位素涡轮自旋回波采集)可以改善肛周瘘的检测和表征。本研究的目的是通过对比增强(CE) 3D T1序列THRIVE (T1加权高分辨率各向同性体积检查)作为参考标准,比较新的3D MRI序列VISTA与广泛常规使用的T2 FSE脉冲序列在描述和表征肛周瘘方面的诊断性能。材料和方法:40名成年患者被纳入这项前瞻性研究。他们接受了常规T2 TSE和CE 3D T1 THRIVE序列的MRI肛周检查,并添加了新的3D MRI序列VISTA。T2、3D VISTA和(CE) 3D T1序列THRIVE影像分别由两名放射科医师评估,用于检测和表征肛周瘘,然后以(CE) 3D T1序列THRIVE作为参考,比较T2和3D VISTA序列。每个序列的敏感性、特异性和准确性由两名读取器计算。结果:阅读器1对3D VISTA的敏感性、特异性和准确性分别为92.5%、90.5%和93.6%,对T2 FSE的敏感性、特异性和准确性分别为84.1%、83.7%和87.3%。阅读器2对3D VISTA的敏感性、特异性和准确性分别为91.5%、92.8%和94.8%,对T2 FSE的敏感性、特异性和准确性分别为82.9%、84.5%和86.7%。结论:以CE 3D T1序列THRIVE为参照标准,与常规使用T2 FSE序列相比,肛周区3D VISTA脉冲序列在检测和表征肛周瘘方面具有更好的诊断性能。
本文章由计算机程序翻译,如有差异,请以英文原文为准。

Added value of volumetric MRI pulse sequence 3D VISTA (Volume ISotopic Turbo spin echo Acquisition) in perianal fistula depiction and characterization.

Added value of volumetric MRI pulse sequence 3D VISTA (Volume ISotopic Turbo spin echo Acquisition) in perianal fistula depiction and characterization.

Added value of volumetric MRI pulse sequence 3D VISTA (Volume ISotopic Turbo spin echo Acquisition) in perianal fistula depiction and characterization.

Added value of volumetric MRI pulse sequence 3D VISTA (Volume ISotopic Turbo spin echo Acquisition) in perianal fistula depiction and characterization.

Purpose: Diagnosis of perianal fistula represents a challenge for surgeons. It is well known that magnetic resonance imaging (MRI) plays an important role in that. The new 3D MRI sequence VISTA (Volume ISotopic Turbo spin echo Acquisition) can improve detection and characterization of perianal fistula compared with two-dimensional (2D) sequences. The aim of the study was to compare the diagnostic performance of the new 3D MRI sequence VISTA with the widely routinely used T2 FSE pulse sequence in depiction and characterization of perianal fistula by using the contrast-enhanced (CE) 3D T1 sequence THRIVE (T1-weighted high-resolution isotropic volume examination) as a reference standard.

Material and methods: Forty adult patients were enrolled in this prospective study. They underwent MRI perianal region examination using routine T2 TSE and CE 3D T1 sequence THRIVE with addition of the new 3D MRI sequence VISTA. T2, 3D VISTA and (CE) 3D T1 sequence THRIVE images were evaluated by two radiologists separately for detection and characterization of perianal fistula, then comparison between of T2 and 3D VISTA sequences was done using (CE) 3D T1 sequence THRIVE as a reference. Each sequence sensitivity, specificity and accuracy were calculated by both readers.

Results: For reader 1, the sensitivity, specificity and accuracy were 92.5%, 90.5% and 93.6% for 3D VISTA and 84.1%, 83.7% and 87.3% for T2 FSE. For reader 2, the sensitivity, specificity and accuracy were 91.5%, 92.8% and 94.8% for 3D VISTA and 82.9%, 84.5% and 86.7% for T2 FSE.

Conclusions: Using CE 3D T1 sequence THRIVE as the reference standard, 3D VISTA pulse sequence on the perianal region has better diagnostic performance in the detection and characterization of perianal fistula as compared to the routinely used T2 FSE sequence.

求助全文
通过发布文献求助,成功后即可免费获取论文全文。 去求助
来源期刊
CiteScore
2.10
自引率
0.00%
发文量
0
×
引用
GB/T 7714-2015
复制
MLA
复制
APA
复制
导出至
BibTeX EndNote RefMan NoteFirst NoteExpress
×
提示
您的信息不完整,为了账户安全,请先补充。
现在去补充
×
提示
您因"违规操作"
具体请查看互助需知
我知道了
×
提示
确定
请完成安全验证×
copy
已复制链接
快去分享给好友吧!
我知道了
右上角分享
点击右上角分享
0
联系我们:info@booksci.cn Book学术提供免费学术资源搜索服务,方便国内外学者检索中英文文献。致力于提供最便捷和优质的服务体验。 Copyright © 2023 布克学术 All rights reserved.
京ICP备2023020795号-1
ghs 京公网安备 11010802042870号
Book学术文献互助
Book学术文献互助群
群 号:604180095
Book学术官方微信