干扰素- γ自身抗体综合征背景下的弥散性非结核分枝杆菌感染:1例报告和文献复习。

European journal of microbiology & immunology Pub Date : 2025-01-10 Print Date: 2025-03-19 DOI:10.1556/1886.2024.00123
Victoria Jordan, Robert Pickles
{"title":"干扰素- γ自身抗体综合征背景下的弥散性非结核分枝杆菌感染:1例报告和文献复习。","authors":"Victoria Jordan, Robert Pickles","doi":"10.1556/1886.2024.00123","DOIUrl":null,"url":null,"abstract":"<p><p>Interferon-gamma (IFN-γ) autoantibody syndrome is an emerging clinical entity that has been associated with disseminated non-tuberculous mycobacterial infection (dNTM) particularly in healthy young people, a population not previously thought to be at particular risk. A 29-year-old South-East Asian man presented with several weeks of fever, cough, lymphadenopathy, and constitutional symptoms while working on an international cargo ship, deteriorating rapidly with a sepsis-like syndrome. Eventually lymph node and sputum cultures revealed a diagnosis of dNTM infection with growth of both Mycobacterium persicum and Mycobacterium abscessus. He was commenced on rituximab as well as combination anti-mycobacterial therapy with good clinical response. This case highlights some of the difficulties faced by patients with dNTM in the context of IFN-γ autoantibodies, particularly delayed diagnosis, and lack of evidence base surrounding optimal management. Further research into long-term outcomes and treatment is required as well as increased awareness among clinicians.</p>","PeriodicalId":93998,"journal":{"name":"European journal of microbiology & immunology","volume":" ","pages":"57-61"},"PeriodicalIF":0.0000,"publicationDate":"2025-01-10","publicationTypes":"Journal Article","fieldsOfStudy":null,"isOpenAccess":false,"openAccessPdf":"https://www.ncbi.nlm.nih.gov/pmc/articles/PMC11925191/pdf/","citationCount":"0","resultStr":"{\"title\":\"Disseminated nontuberculous mycobacterial infection in the context of interferon-gamma autoantibody syndrome: A case report and review of the literature.\",\"authors\":\"Victoria Jordan, Robert Pickles\",\"doi\":\"10.1556/1886.2024.00123\",\"DOIUrl\":null,\"url\":null,\"abstract\":\"<p><p>Interferon-gamma (IFN-γ) autoantibody syndrome is an emerging clinical entity that has been associated with disseminated non-tuberculous mycobacterial infection (dNTM) particularly in healthy young people, a population not previously thought to be at particular risk. A 29-year-old South-East Asian man presented with several weeks of fever, cough, lymphadenopathy, and constitutional symptoms while working on an international cargo ship, deteriorating rapidly with a sepsis-like syndrome. Eventually lymph node and sputum cultures revealed a diagnosis of dNTM infection with growth of both Mycobacterium persicum and Mycobacterium abscessus. He was commenced on rituximab as well as combination anti-mycobacterial therapy with good clinical response. This case highlights some of the difficulties faced by patients with dNTM in the context of IFN-γ autoantibodies, particularly delayed diagnosis, and lack of evidence base surrounding optimal management. Further research into long-term outcomes and treatment is required as well as increased awareness among clinicians.</p>\",\"PeriodicalId\":93998,\"journal\":{\"name\":\"European journal of microbiology & immunology\",\"volume\":\" \",\"pages\":\"57-61\"},\"PeriodicalIF\":0.0000,\"publicationDate\":\"2025-01-10\",\"publicationTypes\":\"Journal Article\",\"fieldsOfStudy\":null,\"isOpenAccess\":false,\"openAccessPdf\":\"https://www.ncbi.nlm.nih.gov/pmc/articles/PMC11925191/pdf/\",\"citationCount\":\"0\",\"resultStr\":null,\"platform\":\"Semanticscholar\",\"paperid\":null,\"PeriodicalName\":\"European journal of microbiology & immunology\",\"FirstCategoryId\":\"1085\",\"ListUrlMain\":\"https://doi.org/10.1556/1886.2024.00123\",\"RegionNum\":0,\"RegionCategory\":null,\"ArticlePicture\":[],\"TitleCN\":null,\"AbstractTextCN\":null,\"PMCID\":null,\"EPubDate\":\"2025/3/19 0:00:00\",\"PubModel\":\"Print\",\"JCR\":\"\",\"JCRName\":\"\",\"Score\":null,\"Total\":0}","platform":"Semanticscholar","paperid":null,"PeriodicalName":"European journal of microbiology & immunology","FirstCategoryId":"1085","ListUrlMain":"https://doi.org/10.1556/1886.2024.00123","RegionNum":0,"RegionCategory":null,"ArticlePicture":[],"TitleCN":null,"AbstractTextCN":null,"PMCID":null,"EPubDate":"2025/3/19 0:00:00","PubModel":"Print","JCR":"","JCRName":"","Score":null,"Total":0}
引用次数: 0

摘要

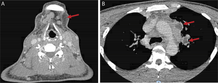
干扰素-γ (IFN-γ)自身抗体综合征是一种新兴的临床实体,与播散性非结核分枝杆菌感染(dNTM)有关,特别是在健康年轻人中,这一人群以前未被认为具有特别的风险。一名29岁东南亚男子在一艘国际货船上工作时出现数周的发热、咳嗽、淋巴结病和体质症状,病情迅速恶化并出现败血症样综合征。淋巴结和痰培养最终诊断为dNTM感染,同时生长有仙桃分枝杆菌和脓肿分枝杆菌。他开始使用利妥昔单抗和联合抗分枝杆菌治疗,临床反应良好。该病例突出了dNTM患者在IFN-γ自身抗体背景下面临的一些困难,特别是诊断延迟,以及缺乏围绕最佳管理的证据基础。需要对长期结果和治疗进行进一步研究,并提高临床医生的认识。
本文章由计算机程序翻译,如有差异,请以英文原文为准。

Disseminated nontuberculous mycobacterial infection in the context of interferon-gamma autoantibody syndrome: A case report and review of the literature.

Disseminated nontuberculous mycobacterial infection in the context of interferon-gamma autoantibody syndrome: A case report and review of the literature.

Disseminated nontuberculous mycobacterial infection in the context of interferon-gamma autoantibody syndrome: A case report and review of the literature.

Interferon-gamma (IFN-γ) autoantibody syndrome is an emerging clinical entity that has been associated with disseminated non-tuberculous mycobacterial infection (dNTM) particularly in healthy young people, a population not previously thought to be at particular risk. A 29-year-old South-East Asian man presented with several weeks of fever, cough, lymphadenopathy, and constitutional symptoms while working on an international cargo ship, deteriorating rapidly with a sepsis-like syndrome. Eventually lymph node and sputum cultures revealed a diagnosis of dNTM infection with growth of both Mycobacterium persicum and Mycobacterium abscessus. He was commenced on rituximab as well as combination anti-mycobacterial therapy with good clinical response. This case highlights some of the difficulties faced by patients with dNTM in the context of IFN-γ autoantibodies, particularly delayed diagnosis, and lack of evidence base surrounding optimal management. Further research into long-term outcomes and treatment is required as well as increased awareness among clinicians.

求助全文
通过发布文献求助,成功后即可免费获取论文全文。 去求助
来源期刊
自引率
0.00%
发文量
0
×
引用
GB/T 7714-2015
复制
MLA
复制
APA
复制
导出至
BibTeX EndNote RefMan NoteFirst NoteExpress
×
提示
您的信息不完整,为了账户安全,请先补充。
现在去补充
×
提示
您因"违规操作"
具体请查看互助需知
我知道了
×
提示
确定
请完成安全验证×
copy
已复制链接
快去分享给好友吧!
我知道了
右上角分享
点击右上角分享
0
联系我们:info@booksci.cn Book学术提供免费学术资源搜索服务,方便国内外学者检索中英文文献。致力于提供最便捷和优质的服务体验。 Copyright © 2023 布克学术 All rights reserved.
京ICP备2023020795号-1
ghs 京公网安备 11010802042870号
Book学术文献互助
Book学术文献互助群
群 号:604180095
Book学术官方微信